TAX1BP1 Antibody
-
中文名稱:TAX1BP1兔多克隆抗體
-
貨號:CSB-PA217735
-
規格:¥1100
-
圖片:
-
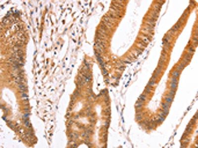
The image on the left is immunohistochemistry of paraffin-embedded Human colon cancer tissue using CSB-PA217735(TAX1BP1 Antibody) at dilution 1/40, on the right is treated with fusion protein. (Original magnification: ×200)
-
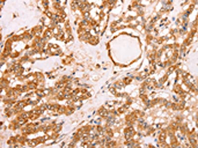
The image on the left is immunohistochemistry of paraffin-embedded Human thyroid cancer tissue using CSB-PA217735(TAX1BP1 Antibody) at dilution 1/40, on the right is treated with fusion protein. (Original magnification: ×200)
-
-
其他:
產品詳情
-
Uniprot No.:
-
基因名:
-
別名:1200003J11Rik antibody; 1700069J21Rik antibody; Aa1076 antibody; AA930106 antibody; CALCOCO 3 antibody; CALCOCO3 antibody; D6Ertd404e antibody; D6Ertd772e antibody; Human T cell leukemia virus type 1-binding protein antibody; Liver regeneration-related protein LRRG004 antibody; MGC94031 antibody; PRO0105 antibody; T6BP antibody; Tax1 (human T cell leukemia virus type I) binding protein antibody; Tax1 (human T cell leukemia virus type I) binding protein 1 antibody; Tax1 binding protein 1 antibody; Tax1 binding protein antibody; Tax1-binding protein 1 antibody; Tax1-binding protein 1 homolog antibody; TAX1BP1 antibody; TAX1BP1 protein antibody; tax1bp1b antibody; TAXB1_HUMAN antibody; TRAF 6 binding protein antibody; TRAF6 binding protein antibody; TRAF6 binding protein T6BP antibody; TRAF6-binding protein antibody; TRAF6-interacting protein antibody; TXBP 151 antibody; TXBP151 antibody; wu:fc20c12 antibody; wu:fc56e11 antibody; zgc:73219 antibody; zgc:77129 antibody
-
宿主:Rabbit
-
反應種屬:Human,Mouse,Rat
-
免疫原:Fusion protein of Human TAX1BP1
-
免疫原種屬:Homo sapiens (Human)
-
標記方式:Non-conjugated
-
抗體亞型:IgG
-
純化方式:Antigen affinity purification
-
濃度:It differs from different batches. Please contact us to confirm it.
-
保存緩沖液:-20°C, pH7.4 PBS, 0.05% NaN3, 40% Glycerol
-
產品提供形式:Liquid
-
應用范圍:ELISA,IHC
-
推薦稀釋比:
Application Recommended Dilution ELISA 1:2000-1:10000 IHC 1:50-1:200 -
Protocols:
-
儲存條件:Upon receipt, store at -20°C or -80°C. Avoid repeated freeze.
-
貨期:Basically, we can dispatch the products out in 1-3 working days after receiving your orders. Delivery time maybe differs from different purchasing way or location, please kindly consult your local distributors for specific delivery time.
-
用途:For Research Use Only. Not for use in diagnostic or therapeutic procedures.
相關產品
靶點詳情
-
功能:Inhibits TNF-induced apoptosis by mediating the TNFAIP3 anti-apoptotic activity. Degraded by caspase-3-like family proteins upon TNF-induced apoptosis. May also play a role in the pro-inflammatory cytokine IL-1 signaling cascade.
-
基因功能參考文獻:
- Results show that TAX1BP1 translocates to mitochondria in response to RNA virus infection and inducibly interacts with the MAVS adaptor protein and indicate that TAX1BP1 functions as an adaptor molecule for Itch to target MAVS during RNA virus infection and thus restrict virus-induced apoptosis. PMID: 27736772
- TAX1BP1 downregulation by EBV-miR-BART15-3p enhances chemosensitivity of gastric cancer cells to 5-fluorouracil. PMID: 27757686
- The induction of antibodies to an AQP4 epitope in mice immunized with the TAX1BP1-derived peptide suggests that a latent HTLV-1 infection could lead to TAX1BP1 antigen presentation and the production of anti-AQP4 antibodies in human neuromyelitis optica. PMID: 26287441
- we demonstrate that myosin VI and TAX1BP1 are recruited to ubiquitylated Salmonella and play a key role in xenophagy PMID: 26451915
- A protein construct corresponding to the SKICH domain plus the linker region was expressed, purified and crystallized for TAX1BP1. PMID: 24817723
- RNF11 functions together with TAX1BP1 to restrict antiviral signaling and IFN-beta production. PMID: 23308279
- Autophagy of Tax1bp1/Ndp52 promotes non-canonical NF-kappaB signalling. PMID: 23209807
- Allele frequencies of three Alu insertions that are located in MEF2C (two of them) and TAX1BP1 genes significantly differ between cohorts of healthy donors and ALL(acute lymphoblastic leukemia) patients. PMID: 22997707
- ABIN1 requires its ubiquitin binding domain and cooperates with TAX1BP1 and A20 to restrict antiviral signaling. PMID: 21885437
- In a link with T cell leukemia virus-1-associated myelopathy/tropical spastic paraparesis, an alphabeta T cell receptor recognizes a self peptide from neuronal protein HuD in context of histocompatibility antigen HLA-A2. PMID: 21282516
- There is evidence of the association between the TAX1BP1 polymorphism and oral cavity cancer but there are no differences in the distribution of the polymorphism among patients with head and neck cancer and individuals without history of neoplasm. PMID: 20549079
- results demonstrate TBK1-IKKi to be novel substrates for A20 and further identify a novel mechanism whereby A20 and TAX1BP1 restrict antiviral signaling by disrupting a TRAF3-TBK1-IKKi signaling complex PMID: 20304918
- myosin VI-T6BP interactions may link membrane trafficking pathways with cell adhesion and cytokine-dependent cell signalling. PMID: 17635994
顯示更多
收起更多
-
組織特異性:Expressed in all tissues tested.
-
數據庫鏈接:
Most popular with customers
-
-
YWHAB Recombinant Monoclonal Antibody
Applications: ELISA, WB, IHC, IF, FC
Species Reactivity: Human, Mouse, Rat
-
Phospho-YAP1 (S127) Recombinant Monoclonal Antibody
Applications: ELISA, WB, IHC
Species Reactivity: Human
-
-
-
-
-















