TAT Antibody
-
中文名稱:TAT兔多克隆抗體
-
貨號:CSB-PA023175LA01HU
-
規格:¥550
-
圖片:
-
Western Blot
Positive WB detected in: MCF-7 whole cell lysate
All lanes: SPCS3 antibody at 1:1000
Secondary
Goat polyclonal to rabbit IgG at 1/50000 dilution
Predicted band size: 51 kDa
Observed band size: 51kDa -
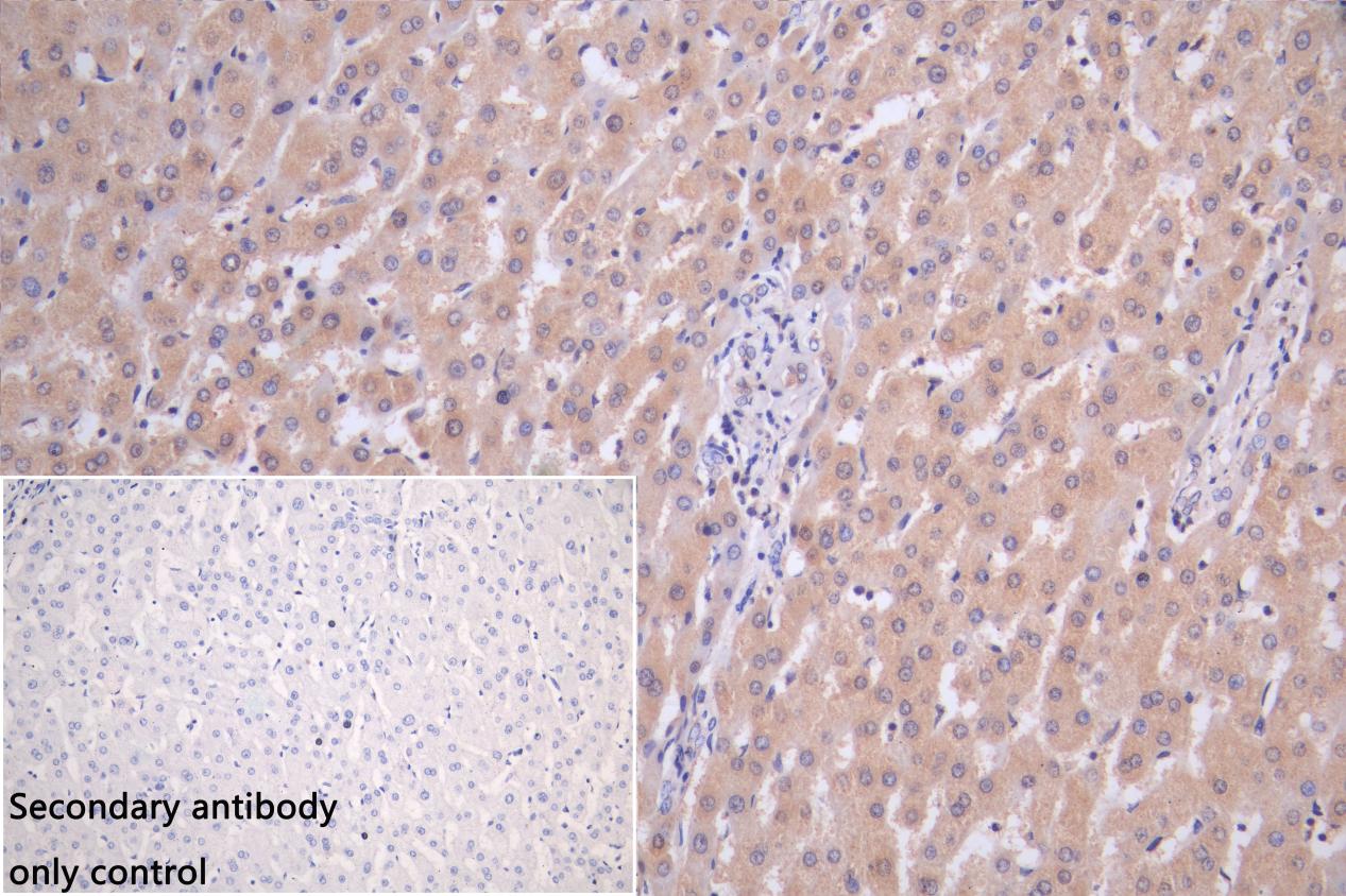
IHC image of CSB-PA023175LA01HU diluted at 1:100 and staining in paraffin-embedded human liver tissue performed on a Leica BondTM system. After dewaxing and hydration, antigen retrieval was mediated by high pressure in a citrate buffer (pH 6.0). Section was blocked with 10% normal goat serum 30min at RT. Then primary antibody (1% BSA) was incubated at 4°C overnight. The primary is detected by a Goat anti-rabbit polymer IgG labeled by HRP and visualized using 0.05% DAB. Secondary antibody only control: uses 1% BSA instead of primary antibody
-
IHC image of CSB-PA023175LA01HU diluted at 1:100 and staining in paraffin-embedded human liver cancer performed on a Leica BondTM system. After dewaxing and hydration, antigen retrieval was mediated by high pressure in a citrate buffer (pH 6.0). Section was blocked with 10% normal goat serum 30min at RT. Then primary antibody (1% BSA) was incubated at 4°C overnight. The primary is detected by a Goat anti-rabbit polymer IgG labeled by HRP and visualized using 0.05% DAB. Secondary antibody only control: uses 1% BSA instead of primary antibody
-
-
其他:
產品詳情
-
產品名稱:Rabbit anti-Homo sapiens (Human) TAT Polyclonal antibody
-
Uniprot No.:
-
基因名:TAT
-
別名:ATTY_HUMAN antibody; L-tyrosine:2-oxoglutarate aminotransferase antibody; TAT antibody; Tyrosine aminotransferase antibody; Tyrosine aminotransferase; cytosolic antibody
-
宿主:Rabbit
-
反應種屬:Human
-
免疫原:Recombinant Human Tyrosine aminotransferase protein
-
免疫原種屬:Homo sapiens (Human)
-
克隆類型:Polyclonal
-
抗體亞型:IgG
-
純化方式:Antigen affinity purification
-
濃度:It differs from different batches. Please contact us to confirm it.
-
保存緩沖液:pH7.4 PBS, 0.05% NaN3, 40% Glycerol
-
產品提供形式:Liquid
-
應用范圍:ELISA, WB, IHC
-
推薦稀釋比:
Application Recommended Dilution WB 1:500-1:2000 IHC 1:50-1:200 -
Protocols:
-
儲存條件:Upon receipt, store at -20°C or -80°C. Avoid repeated freeze.
-
貨期:Basically, we can dispatch the products out in 1-3 working days after receiving your orders. Delivery time maybe differs from different purchasing way or location, please kindly consult your local distributors for specific delivery time.
-
用途:For Research Use Only. Not for use in diagnostic or therapeutic procedures.
相關產品
靶點詳情
-
功能:Transaminase involved in tyrosine breakdown. Converts tyrosine to p-hydroxyphenylpyruvate. Can catalyze the reverse reaction, using glutamic acid, with 2-oxoglutarate as cosubstrate (in vitro). Has much lower affinity and transaminase activity towards phenylalanine.
-
基因功能參考文獻:
- Data analysis did not reveal a genotype-phenotype correlation, but stressed the need of early diagnosis: All patients improved the oculocutaneous lesions after dietary treatment but neurological symptoms prevailed. The discovery of founder mutations in isolated populations, and the benefits of early intervention, should increase diagnostic awareness in newborns. PMID: 28255985
- Sequencing of TAT indicated two new homozygous mutations p.L312P (c.935T>C) and p.T408M (c.1223C>T) for the proband and his asymptomatic sister. PMID: 27285949
- Two known mutations and one novel mutation was found in the TAT gene of Tunesian Richner-Hanhart syndrome patients. The geographical distribution of RHS mutations shows regional specificities. PMID: 23954227
- A paternal inherited frameshift mutation c.1213delCinsAG at codon 405 causing a premature stop codon, and a maternally inherited deletion of 193kb encompassing the complete TAT gene yield the first complete TAT deletion in tyrosinaemia type II described. PMID: 21636300
- tumor suppressive mechanism of TAT was associated with its proapoptotic role in a mitochondrial-dependent manner by promoting cytochrome-c release and activating caspase-9 and PARP. PMID: 20209601
- two novel missense mutations were identified - (C151Y) and (L273P) within exon 5 and exon 8, respectively in tyrosinemia type II in three unrelated consanguinous Tunisian families PMID: 16574453
- a silent exonic transversion in TAT causes complete missplicing by exon 11 skipping in oculocutaneous tyrosinaemia type II PMID: 16917729
- Genetically modified adenoviral vector with the protein transduction domain of Tat improves gene transfer to CAR-deficient cells. PMID: 18721127
- a heterozygous insertion mutation (c.446_447insA; p.D149DfsX28) was found in exon 4 leading to a frameshift and finally resulting in a premature stop codon and a heterozygous missense mutation (c.658C>T; p.P220S) was identified in exon 5. PMID: 18945316
顯示更多
收起更多
-
相關疾病:Tyrosinemia 2 (TYRSN2)
-
蛋白家族:Class-I pyridoxal-phosphate-dependent aminotransferase family
-
數據庫鏈接:
Most popular with customers
-
-
YWHAB Recombinant Monoclonal Antibody
Applications: ELISA, WB, IHC, IF, FC
Species Reactivity: Human, Mouse, Rat
-
Phospho-YAP1 (S127) Recombinant Monoclonal Antibody
Applications: ELISA, WB, IHC
Species Reactivity: Human
-
-
-
-
-















