TAP1 Antibody
-
中文名稱:TAP1兔多克隆抗體
-
貨號:CSB-PA023120ESR1HU
-
規格:¥440
-
圖片:
-
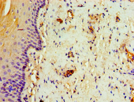
Immunohistochemistry of paraffin-embedded human cervical cancer using CSB-PA023120ESR1HU at dilution of 1:100
-
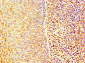
Immunohistochemistry of paraffin-embedded human tonsil tissue using CSB-PA023120ESR1HU at dilution of 1:100
-
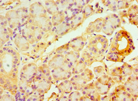
Immunohistochemistry of paraffin-embedded human pancreatic tissue using CSB-PA023120ESR1HU at dilution of 1:100
-
-
其他:
產品詳情
-
產品名稱:Rabbit anti-Homo sapiens (Human) TAP1 Polyclonal antibody
-
Uniprot No.:
-
基因名:
-
別名:ABC 17 antibody; ABC transporter MHC 1 antibody; ABC17 antibody; ABCB 2 antibody; ABCB2 antibody; Antigen peptide transporter 1 antibody; APT 1 antibody; APT1 antibody; ATP binding cassette sub family B (MDR/TAP) member 2 antibody; ATP binding cassette sub family B member 2 antibody; ATP binding cassette transporter antibody; ATP-binding cassette sub-family B member 2 antibody; D6S114E antibody; FLJ26666 antibody; FLJ41500 antibody; Peptide supply factor 1 antibody; Peptide transporter involved in antigen processing 1 antibody; Peptide transporter PSF 1 antibody; Peptide transporter PSF1 antibody; Peptide transporter TAP 1 antibody; Peptide transporter TAP1 antibody; PSF 1 antibody; PSF-1 antibody; PSF1 antibody; Really interesting new gene 4 protein antibody; RING 4 antibody; RING4 antibody; TAP 1 antibody; TAP1 antibody; TAP1*0102N antibody; TAP1_HUMAN antibody; TAP1N antibody; Transporter 1 ATP binding cassette sub family B (MDR/TAP) antibody; Transporter 1 ATP binding cassette sub family B antibody; Transporter associated with antigen processing antibody; Transporter ATP binding cassette major histocompatibility complex 1 antibody; Y3 antibody
-
宿主:Rabbit
-
反應種屬:Human
-
免疫原:Recombinant Human Antigen peptide transporter 1 protein (524-808AA)
-
免疫原種屬:Homo sapiens (Human)
-
標記方式:Non-conjugated
-
克隆類型:Polyclonal
-
抗體亞型:IgG
-
純化方式:Antigen Affinity Purified
-
濃度:It differs from different batches. Please contact us to confirm it.
-
保存緩沖液:PBS with 0.02% sodium azide, 50% glycerol, pH7.3.
-
產品提供形式:Liquid
-
應用范圍:ELISA, IHC
-
推薦稀釋比:
Application Recommended Dilution IHC 1:20-1:200 -
Protocols:
-
儲存條件:Upon receipt, store at -20°C or -80°C. Avoid repeated freeze.
-
貨期:Basically, we can dispatch the products out in 1-3 working days after receiving your orders. Delivery time maybe differs from different purchasing way or location, please kindly consult your local distributors for specific delivery time.
-
用途:For Research Use Only. Not for use in diagnostic or therapeutic procedures.
相關產品
靶點詳情
-
功能:ABC transporter associated with antigen processing. In complex with TAP2 mediates unidirectional translocation of peptide antigens from cytosol to endoplasmic reticulum (ER) for loading onto MHC class I (MHCI) molecules. Uses the chemical energy of ATP to export peptides against the concentration gradient. During the transport cycle alternates between 'inward-facing' state with peptide binding site facing the cytosol to 'outward-facing' state with peptide binding site facing the ER lumen. Peptide antigen binding to ATP-loaded TAP1-TAP2 induces a switch to hydrolysis-competent 'outward-facing' conformation ready for peptide loading onto nascent MHCI molecules. Subsequently ATP hydrolysis resets the transporter to the 'inward facing' state for a new cycle. Typically transports intracellular peptide antigens of 8 to 13 amino acids that arise from cytosolic proteolysis via IFNG-induced immunoproteasome. Binds peptides with free N- and C-termini, the first three and the C-terminal residues being critical. Preferentially selects peptides having a highly hydrophobic residue at position 3 and hydrophobic or charged residues at the C-terminal anchor. Proline at position 2 has the most destabilizing effect. As a component of the peptide loading complex (PLC), acts as a molecular scaffold essential for peptide-MHCI assembly and antigen presentation.
-
基因功能參考文獻:
- Our finding suggested that TAP1-rs1135216, TAP1-rs4148873, TAP2-rs2228396, TAP2-rs241447 and TAP2-rs4148873 might not be involved in cancer risk, but the T allele of TAP2-rs4148876 might be a potential biomarker for judging cancer risk [review, meta-analysis] PMID: 30082158
- In a meta-analyses of 6 studies with 415 cases and 659 controls, a significant association was found between TAP1-333Val, TAP1-637Gly, and TAP2-565Thr and ankylosing spondylitis compared with combined control group. PMID: 28405734
- Both TAP1 and TAP2 overexpression in breast cancer might be an indicator of an aggressive breast tumor PMID: 29091951
- The structure shows that herpes simplex virus ICP47 traps human TAP in an inactive conformation distinct from the normal transport cycle. PMID: 27935481
- PSMB8 rs2071464 was associated with generalized and active vitiligo from Gujarat whereas TAP1 rs1135216 showed no association. The down-regulation of PSMB8 in patients with risk genotype 'CC' advocates the vital role of PSMB8 in the autoimmune basis of vitiligo. PMID: 28700671
- Study compared the biochemical properties of the nucleotide-binding domains (NBD) of human and rat TAP1; suggests that although the D-helix sequence is not conserved in ABC transporters, its precise positioning within the NBD structure has a critical role in NBD dimerization. PMID: 28542489
- Significant associations between sorafenib exposure and the studied polymorphisms were observed for ABCB2 PMID: 28289864
- this study shows that TAP1 plays a novel role in the negative regulation of virus-triggered NF-kappaB signaling and the innate immune response by targeting the TAK1 complex PMID: 28356387
- there was no significant difference with respect to the genotypic frequencies of the SNPs in PSMB8, TAP1, and TAP2 loci in Parkinson's disease patients PMID: 27098790
- The disruption of TAP1 and TAPBP generates pluripotent embryonic stem cells with reduced immunogenicity. PMID: 27068360
- TAP1/2 gene polymorphisms might be associated with pulmonary tuberculosis susceptibility among patients in Zahedan, southeast Iran. PMID: 26996113
- The results suggest an association between a TAP1 promoter SNP (rs2071480) and susceptibility to alopecia areata in a Korean population. PMID: 26782532
- IFNalpha upregulates TAP1 expression in peripheral blood mononuclear cells (PBMCs) of patients with malignant melanoma receiving adjuvant high-dose immunotherapy. PMID: 26735690
- cryo-electron microscopy structure of human TAP in complex with its inhibitor ICP47, a small protein produced by the herpes simplex virus I PMID: 26789246
- this ultrasensitive method for the first time permits quantification of TAP activity under close to physiological conditions in scarce primary cell subsets such as antigen cross-presenting dendritic cells. PMID: 25656091
- PSF1 expression correlates with a more aggressive phenotype as well as worse prognosis in hepatocellular carcinoma patients. PMID: 25198552
- PSF1 is expressed in high-grade prostate cancer and may be a useful biomarker to identify patients with a poor prognosis at the time of diagnosis PMID: 25403418
- Studies indicate that ABC transporters associated with antigen processing TAP1/2 (ABCB2/3) is a crucial element of the adaptive immune system. PMID: 24923865
- None of TAP1 alleles showed a signi fi cant di ff erence in phenotype frequency between pulmonary tuberculosis and controls, and among subgroups of pulmonary tuberculosis. PMID: 25846714
- The TAP1-rs1135216 and PSMB9-rs17587 variants are significantly associated with vitiligo, and even one copy of these mutant alleles can influence the risk among Saudis. PMID: 25548428
- PSF1 was overexpressed in lung cancer. PMID: 25398693
- TAP1 I333V gene polymorphism was significantly associated with increased type 1 diabetes mellitus risk. PMID: 24655325
- Participants with a mutated allele had an increased risk for CRC. The adjusted odds ratios for the C/T, T/T, and the mutation type (C/T + T/T) compared to that of wild type (C/C) were 2.27, 1.95, and 2.22 respectively. PMID: 24803408
- Results suggested an association of TAP1-333 polymorphism with multiple myeloma. PMID: 24175803
- TAP1 AND TAP2 polymorphisms are associated with a reduced risk for developing cervical intraepithelial neoplasia. PMID: 24288424
- In this study, we map the respective binding site in TAP1 to the polar face of the amphipathic TM helix TM9 and identify key residues that are essential to establish the interaction. PMID: 24501197
- Cif is the first bacterial factor identified that inhibits TAP1 function and MHC class I antigen presentation PMID: 24247241
- We observed significantly higher prevalence of Ile333Ile TAP1 allele in patients whose first-degree relatives had a positive family history of psoriasis. PMID: 23834030
- TAP1-TAP2 NBD dimers are not fully stabilized by nucleotides alone, and substrate binding plays a key role in inducing the transition state conformations of the NBD. PMID: 24196954
- The TAP-1 p.697Gly allele in donors was associated with increased incidence of early acute cellular rejection following living-donor liver transplantation. PMID: 23799215
- the TAP1 gene variant (rs1135216 Asp637Gly) influences the susceptibility to clinically classified leprosy patients in Indian population. PMID: 23395648
- The degree of differentiation of hepatocellular carcinoma was correlated with TNF-alpha expression (p<0.05), but not TAP1 expression (p>0.05). PMID: 23682387
- Preprocalcitonin (ppCT16-25) human tumor epitope requires low TAP expression for efficient presentation. PMID: 23302073
- TAP1 is a downstream target gene of SHH signaling pathway PMID: 23340176
- There was no association of TAP1 * rs1057141, rs1135216 gene G allele and allergic rhinitis in the Xinjiang Han people. PMID: 23272491
- The results suggest that TAP1 and TAP2 gene polymorphisms are associated with not only the susceptibility to hepatitis B virus infection, but also with inflammation progress, advanced fibrogenesis and cancer development. PMID: 22989262
- TAP1 methylation is significantly associated with cervical HPV infection in Uyghur women. PMID: 22932452
- the N-terminal extension of the TAP1 subunit represents an autonomous domain, which is correctly targeted to and inserted into the endoplasmic reticulum membrane PMID: 22638925
- X-ray diffraction data sets were collected for apo and complexed ATPase domain of human TAP1 using an in-house X-ray diffraction facility at a wavelength of 1.5418 A PMID: 22684063
- The data suggest that patients with low or defective TAP1 or calnexin in primary breast cancers may be at higher risks for developing brain metastasis due to the defects in T cell-based immunosurveillance. PMID: 22065046
- Role of metalloproteases in vaccinia virus epitope processing for transporter associated with antigen processing (TAP)-independent human leukocyte antigen (HLA)-B7 class I antigen presentation. PMID: 22298786
- TAP1 polymorphisms showed no relations to both AERD and FEV1 decline after aspirin challenge (P>0.05). PMID: 21796142
- Six vaccinia virus ligands were presented by HLA-B51 and/or HLA-Cw1 class I molecules in human TAP-deficient cells. PMID: 22031944
- The unfolded protein response (UPR)-activated transcription factor X-box-binding protein 1 (XBP1) induces microRNA-346 expression that targets the human antigen peptide transporter 1 (TAP1) mRNA and governs immune regulatory genes. PMID: 22002058
- The GG genotype at TAP1 position 333 and GA genotype at TAP1 position 637 are positively associated with HIV-TB co-infection and these genotypes may act as a risk factor for developing TB co-infection in HIV-positive individuals. PMID: 21843574
- Allele-dependent processing pathways generate the endogenous human leukocyte antigen (HLA) class I peptide repertoire in transporters associated with antigen processing (TAP)-deficient cells PMID: 21914809
- ppCT(16-25) is the first human tumor epitope whose surface expression requires loss or downregulation of TAP PMID: 22025554
- tap1*0101 and tap2*0101 are most common alleles in Chinese Hans. PMID: 19549407
- HLA-I, TAP1, CNX, LMP7, Erp57, Tapasin and ERAP1 were down-regulated in 68%, 44%, 48%, 40%, 52%, 32% and 20% of esophageal squamous cell carcinoma lesions then, respectively. PMID: 21362330
- TAP is localized to the ERGIC (ER-Golgi intermediate compartment) and the Golgi of both fibroblasts and lymphocytes. PMID: 21098634
顯示更多
收起更多
-
相關疾病:Bare lymphocyte syndrome 1 (BLS1)
-
亞細胞定位:Endoplasmic reticulum membrane; Multi-pass membrane protein. Note=The transmembrane segments seem to form a pore in the membrane.
-
蛋白家族:ABC transporter superfamily, ABCB family, MHC peptide exporter (TC 3.A.1.209) subfamily
-
組織特異性:Higly expressed in professional APCs monocytes and dendritic cells as well as in lymphocyte subsets T cells, B cells and NK cells.
-
數據庫鏈接:
Most popular with customers
-
YWHAB Recombinant Monoclonal Antibody
Applications: ELISA, WB, IHC, IF, FC
Species Reactivity: Human, Mouse, Rat
-
Phospho-YAP1 (S127) Recombinant Monoclonal Antibody
Applications: ELISA, WB, IHC
Species Reactivity: Human
-
-
-
-
-
-















