SUV39H2 Antibody
-
中文名稱:SUV39H2兔多克隆抗體
-
貨號:CSB-PA872500ESR2HU
-
規格:¥440
-
圖片:
-
Western blot
All lanes: Histone-lysine N-methyltransferase SUV39H2 antibody at 0.32μg/ml
Lane 1: HepG2 whole cell lysate
Lane 2: Hela whole cell lysate
Secondary
Goat polyclonal to rabbit IgG at 1/10000 dilution
Predicted band size: 47, 40, 27 kDa
Observed band size: 47 kDa -
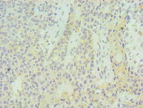
Immunohistochemistry of paraffin-embedded human breast cancer using CSB-PA872500ESR2HU at dilution of 1:100
-
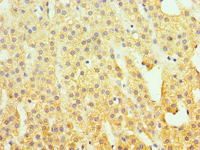
Immunohistochemistry of paraffin-embedded human adrenal gland tissue using CSB-PA872500ESR2HU at dilution of 1:100
-
-
其他:
產品詳情
-
產品名稱:Rabbit anti-Homo sapiens (Human) SUV39H2 Polyclonal antibody
-
Uniprot No.:
-
基因名:SUV39H2
-
別名:FLJ23414 antibody; H3 K9 HMTase 2 antibody; H3-K9-HMTase 2 antibody; Histone H3 K9 methyltransferase 2 antibody; Histone H3-K9 methyltransferase 2 antibody; Histone lysine N methyltransferase H3 lysine 9 specific 2 antibody; Histone lysine N methyltransferase SUV39H2 antibody; Histone-lysine N-methyltransferase SUV39H2 antibody; KMT1B antibody; Lysine N methyltransferase 1B antibody; Lysine N-methyltransferase 1B antibody; sSuppressor of variegation 3 9 homolog 2 (Drosophila) antibody; Su(var)3 9 Drosophila homolog of 2 antibody; Su(var)3 9 homolog 2 antibody; Su(var)3-9 homolog 2 antibody; Suppressor of variegation 3 9 homolog 2 antibody; Suppressor of variegation 3-9 homolog 2 antibody; Suv39h2 antibody; SUV92_HUMAN antibody
-
宿主:Rabbit
-
反應種屬:Human
-
免疫原:Recombinant Human Histone-lysine N-methyltransferase SUV39H2 protein (201-410AA)
-
免疫原種屬:Homo sapiens (Human)
-
標記方式:Non-conjugated
-
克隆類型:Polyclonal
-
抗體亞型:IgG
-
純化方式:Antigen Affinity Purified
-
濃度:It differs from different batches. Please contact us to confirm it.
-
保存緩沖液:PBS with 0.02% sodium azide, 50% glycerol, pH7.3.
-
產品提供形式:Liquid
-
應用范圍:ELISA, WB, IHC
-
推薦稀釋比:
Application Recommended Dilution WB 1:500-1:5000 IHC 1:20-1:200 -
Protocols:
-
儲存條件:Upon receipt, store at -20°C or -80°C. Avoid repeated freeze.
-
貨期:Basically, we can dispatch the products out in 1-3 working days after receiving your orders. Delivery time maybe differs from different purchasing way or location, please kindly consult your local distributors for specific delivery time.
-
用途:For Research Use Only. Not for use in diagnostic or therapeutic procedures.
相關產品
靶點詳情
-
功能:Histone methyltransferase that specifically trimethylates 'Lys-9' of histone H3 using monomethylated H3 'Lys-9' as substrate. H3 'Lys-9' trimethylation represents a specific tag for epigenetic transcriptional repression by recruiting HP1 (CBX1, CBX3 and/or CBX5) proteins to methylated histones. Mainly functions in heterochromatin regions, thereby playing a central role in the establishment of constitutive heterochromatin at pericentric and telomere regions. H3 'Lys-9' trimethylation is also required to direct DNA methylation at pericentric repeats. SUV39H1 is targeted to histone H3 via its interaction with RB1 and is involved in many processes, such as cell cycle regulation, transcriptional repression and regulation of telomere length. May participate in regulation of higher-order chromatin organization during spermatogenesis. Recruited by the large PER complex to the E-box elements of the circadian target genes such as PER2 itself or PER1, contributes to the conversion of local chromatin to a heterochromatin-like repressive state through H3 'Lys-9' trimethylation.
-
基因功能參考文獻:
- Our finding unveils a novel autoregulatory mechanism of SUV39H2 through lysine automethylation PMID: 26988914
- Our data show that the differential expression of SUV39H1 and SUV39H2 is associated with genomic instability and that the modulation of these HMTases can be an attractive approach to prevent CLL evolution PMID: 28833505
- SUV39H2 functioned cooperatively with MAGE-A11 to increase androgen-dependent AR transcriptional activity. PMID: 28042025
- histone H3 lysine 9 methylation reduction, which may be due to the downregulation of methyltransferase SUV39H2 and the upregulation of demethylase KDM4C, was found in CD4(+) T lymphocytes of Latent autoimmune diabetes in adults patients PMID: 28396876
- data cannot finally exclude H2AX methylation of SUV39H2 in cells, additional experimental evidence is required to validate this claim. PMID: 27177470
- Our results reveal the regulatory mechanism of LSD1 protein through its lysine methylation by SUV39H2 in human cancer cells PMID: 26183527
- We also demonstrate that the N324K mutant in the SET domain of SUV39H2 that has been shown to cause an inherited nasal skin disease in Labrador Retrievers renders SUV39H2 inactive PMID: 25459750
- genetic association studies in a Finnish population with type I diabetes: The minor T allele of exonic SNP rs17353856 in SUV39H2 is associated with diabetic retinopathy (in a larger meta-analysis); thus an genetic variation may be protective. PMID: 21896933
- findings suggest that Suv39H1 and Suv39H2 are key hypoxia-induced methyltransferases; their decline in fetal lung during late gestation is critical for epigenetic changes resulting in the developmental induction of SP-A PMID: 21402781
- a novel SUV39H2 polymorphism may have a role in lung cancer susceptibility for smokers PMID: 16774942
- The SUV39H2 gene is found in tetrapods (e.g., human, mouse and frog) but not in zebrafish, suggesting that this gene is generated by a tetrapod lineage-specific gene duplication event. PMID: 18231586
顯示更多
收起更多
-
亞細胞定位:Nucleus. Chromosome, centromere.
-
蛋白家族:Class V-like SAM-binding methyltransferase superfamily, Histone-lysine methyltransferase family, Suvar3-9 subfamily
-
數據庫鏈接:
Most popular with customers
-
-
YWHAB Recombinant Monoclonal Antibody
Applications: ELISA, WB, IHC, IF, FC
Species Reactivity: Human, Mouse, Rat
-
Phospho-YAP1 (S127) Recombinant Monoclonal Antibody
Applications: ELISA, WB, IHC
Species Reactivity: Human
-
-
-
-
-















