SULT1C2 Antibody
-
中文名稱:SULT1C2兔多克隆抗體
-
貨號:CSB-PA022938ESR1HU
-
規格:¥440
-
圖片:
-
其他:
產品詳情
-
產品名稱:Rabbit anti-Homo sapiens (Human) SULT1C2 Polyclonal antibody
-
Uniprot No.:
-
基因名:SULT1C2
-
別名:humSULTC2 antibody; ST1C1 antibody; ST1C2 antibody; ST1C2_HUMAN antibody; Sulfotransferase 1C1 antibody; Sulfotransferase 1C2 antibody; Sulfotransferase family cytosolic 1C member 1 antibody; Sulfotransferase family cytosolic 1C member 2 antibody; SULT1C#1 antibody; SULT1C1 antibody; SULT1C2 antibody
-
宿主:Rabbit
-
反應種屬:Human
-
免疫原:Recombinant Human Sulfotransferase 1C2 protein (1-120AA)
-
免疫原種屬:Homo sapiens (Human)
-
標記方式:Non-conjugated
-
克隆類型:Polyclonal
-
抗體亞型:IgG
-
純化方式:Antigen Affinity Purified
-
濃度:It differs from different batches. Please contact us to confirm it.
-
保存緩沖液:PBS with 0.02% sodium azide, 50% glycerol, pH7.3.
-
產品提供形式:Liquid
-
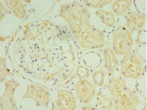
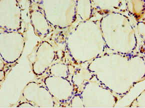
應用范圍:ELISA, IHC
-
推薦稀釋比:
Application Recommended Dilution IHC 1:20-1:200 -
Protocols:
-
儲存條件:Upon receipt, store at -20°C or -80°C. Avoid repeated freeze.
-
貨期:Basically, we can dispatch the products out in 1-3 working days after receiving your orders. Delivery time maybe differs from different purchasing way or location, please kindly consult your local distributors for specific delivery time.
-
用途:For Research Use Only. Not for use in diagnostic or therapeutic procedures.
相關產品
靶點詳情
-
功能:Sulfotransferase that utilizes 3'-phospho-5'-adenylyl sulfate (PAPS) as sulfonate donor to catalyze the sulfate conjugation. Sulfonates p-nitrophenol, a small phenolic compond. Does not sulfonate steroids, dopamine, acetaminophen, or alpha-naphthol. Catalyzes the sulfonation of the carcinogenic N-Hydroxy-2-acetylaminofluorene leading to highly reactive intermediates capable of forming DNA adducts, potentially resulting in mutagenesis.
-
基因功能參考文獻:
- Vitamin D receptor can interact directly with the SULT1C2 VDRE sequence to transcriptionally regulation SULT1C2 expression in colorectal tumor cells. PMID: 27130351
- Our findings are the first to characterize the regulation of human SULT1C2 and SULT1C3 expression by several transcription factor activators. PMID: 24335393
- gene resequencing and functional genomic studies PMID: 11740338
- crystal structures of two members of SULT1 family, SULT1B1 and SULT1C1, both in complex with the product of the PAPS cofactor, adenosine-3-5-diphosphate (PAP). PMID: 16804942
-
亞細胞定位:Cytoplasm. Lysosome.
-
蛋白家族:Sulfotransferase 1 family
-
組織特異性:Found in adult stomach, kidney and thyroid gland, and in fetal kidney and liver.
-
數據庫鏈接:
Most popular with customers
-
-
YWHAB Recombinant Monoclonal Antibody
Applications: ELISA, WB, IHC, IF, FC
Species Reactivity: Human, Mouse, Rat
-
-
-
-
-
-















