SULT1A3 Antibody
-
中文名稱:SULT1A3兔多克隆抗體
-
貨號:CSB-PA00887A0Rb
-
規格:¥440
-
圖片:
-
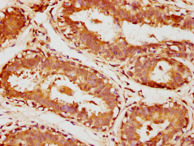
IHC image of CSB-PA00887A0Rb diluted at 1:1000 and staining in paraffin-embedded human breast cancer performed on a Leica BondTM system. After dewaxing and hydration, antigen retrieval was mediated by high pressure in a citrate buffer (pH 6.0). Section was blocked with 10% normal goat serum 30min at RT. Then primary antibody (1% BSA) was incubated at 4°C overnight. The primary is detected by a biotinylated secondary antibody and visualized using an HRP conjugated SP system.
-
Immunofluorescence staining of HepG2 cells with CSB-PA00887A0Rb at 1:166, counter-stained with DAPI. The cells were fixed in 4% formaldehyde, permeabilized using 0.2% Triton X-100 and blocked in 10% normal Goat Serum. The cells were then incubated with the antibody overnight at 4°C. The secondary antibody was Alexa Fluor 488-congugated AffiniPure Goat Anti-Rabbit IgG(H+L).
-
Western blot
All lanes: SULT1A3 antibody at 20µg/ml
Lane 1: A549 whole cell lysate
Lane 2: Colo320 whole cell lysate
Lane 3: Mouse brain tissue
Lane 4: Mouse kidney tissue
Secondary
Goat polyclonal to rabbit IgG at 1/10000 dilution
Predicted band size: 35, 23 kDa
Observed band size: 35 kDa
-
-
其他:
產品詳情
-
產品名稱:Rabbit anti-Homo sapiens (Human) SULT1A3 Polyclonal antibody
-
Uniprot No.:
-
基因名:SULT1A3
-
別名:SULT1A3 antibody; STM antibody; Sulfotransferase 1A3 antibody; ST1A3 antibody; EC 2.8.2.1 antibody; Aryl sulfotransferase 1A3/1A4 antibody; Catecholamine-sulfating phenol sulfotransferase antibody; HAST3 antibody; M-PST antibody; Monoamine-sulfating phenol sulfotransferase antibody; Placental estrogen sulfotransferase antibody; Sulfotransferase 1A3/1A4 antibody; Sulfotransferase antibody; monoamine-preferring antibody; Thermolabile phenol sulfotransferase antibody; TL-PST antibody
-
宿主:Rabbit
-
反應種屬:Human, Mouse
-
免疫原:Recombinant Human Sulfotransferase 1A3 protein (1-295AA)
-
免疫原種屬:Homo sapiens (Human)
-
標記方式:Non-conjugated
本頁面中的產品,SULT1A3 Antibody (CSB-PA00887A0Rb),的標記方式是Non-conjugated。對于SULT1A3 Antibody,我們還提供其他標記。見下表:
-
克隆類型:Polyclonal
-
抗體亞型:IgG
-
純化方式:>95%, Protein G purified
-
濃度:It differs from different batches. Please contact us to confirm it.
-
保存緩沖液:Preservative: 0.03% Proclin 300
Constituents: 50% Glycerol, 0.01M PBS, PH 7.4 -
產品提供形式:Liquid
-
應用范圍:ELISA, WB, IHC, IF
-
推薦稀釋比:
Application Recommended Dilution WB 1:1000-1:5000 IHC 1:500-1:1000 IF 1:50-1:200 -
Protocols:
-
儲存條件:Upon receipt, store at -20°C or -80°C. Avoid repeated freeze.
-
貨期:Basically, we can dispatch the products out in 1-3 working days after receiving your orders. Delivery time maybe differs from different purchasing way or location, please kindly consult your local distributors for specific delivery time.
-
用途:For Research Use Only. Not for use in diagnostic or therapeutic procedures.
相關產品
靶點詳情
-
功能:Sulfotransferase that utilizes 3'-phospho-5'-adenylyl sulfate (PAPS) as sulfonate donor to catalyze the sulfate conjugation of phenolic monoamines (neurotransmitters such as dopamine, norepinephrine and serotonin) and phenolic and catechol drugs.
-
亞細胞定位:Cytoplasm.
-
蛋白家族:Sulfotransferase 1 family
-
組織特異性:Liver, colon, kidney, lung, brain, spleen, small intestine, placenta and leukocyte.
-
數據庫鏈接:
Most popular with customers
-
-
YWHAB Recombinant Monoclonal Antibody
Applications: ELISA, WB, IHC, IF, FC
Species Reactivity: Human, Mouse, Rat
-
Phospho-YAP1 (S127) Recombinant Monoclonal Antibody
Applications: ELISA, WB, IHC
Species Reactivity: Human
-
-
-
-
-















