SUFU Antibody
-
中文名稱:SUFU兔多克隆抗體
-
貨號:CSB-PA954231
-
規格:¥1100
-
圖片:
-
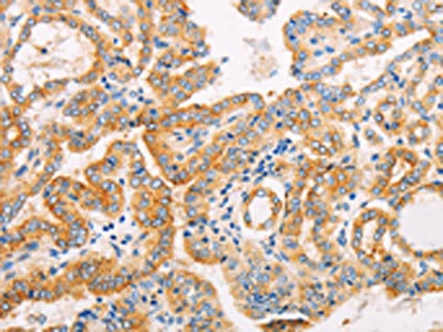
The image on the left is immunohistochemistry of paraffin-embedded Human thyroid cancer tissue using CSB-PA954231(SUFU Antibody) at dilution 1/10, on the right is treated with fusion protein. (Original magnification: ×200)
-
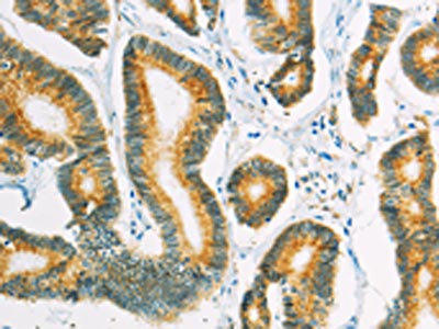
The image on the left is immunohistochemistry of paraffin-embedded Human colon cancer tissue using CSB-PA954231(SUFU Antibody) at dilution 1/10, on the right is treated with fusion protein. (Original magnification: ×200)
-
Gel: 10%SDS-PAGE, Lysate: 50 μg, Lane: Jurkat cells, Primary antibody: CSB-PA954231(SUFU Antibody) at dilution 1/100, Secondary antibody: Goat anti rabbit IgG at 1/8000 dilution, Exposure time: 10 seconds
-
-
其他:
產品詳情
-
Uniprot No.:
-
基因名:
-
別名:OTTHUMP00000020374 antibody; OTTHUMP00000020377 antibody; OTTHUMP00000020379 antibody; PRO1280 antibody; SU FU antibody; SU(F)U antibody; Su(fu) antibody; SUFU antibody; SUFU negative regulator of hedgehog signaling antibody; SUFU_HUMAN antibody; SUFUH antibody; SUFUXL antibody; Suppressor of Fused antibody; Suppressor of fused homolog (Drosophila) antibody; Suppressor of fused homolog antibody
-
宿主:Rabbit
-
反應種屬:Human,Mouse
-
免疫原:Fusion protein of Human SUFU
-
免疫原種屬:Homo sapiens (Human)
-
標記方式:Non-conjugated
-
抗體亞型:IgG
-
純化方式:Antigen affinity purification
-
濃度:It differs from different batches. Please contact us to confirm it.
-
保存緩沖液:-20°C, pH7.4 PBS, 0.05% NaN3, 40% Glycerol
-
產品提供形式:Liquid
-
應用范圍:ELISA,WB,IHC
-
推薦稀釋比:
Application Recommended Dilution ELISA 1:1000-1:2000 WB 1:200-1:1000 IHC 1:15-1:50 -
Protocols:
-
儲存條件:Upon receipt, store at -20°C or -80°C. Avoid repeated freeze.
-
貨期:Basically, we can dispatch the products out in 1-3 working days after receiving your orders. Delivery time maybe differs from different purchasing way or location, please kindly consult your local distributors for specific delivery time.
-
用途:For Research Use Only. Not for use in diagnostic or therapeutic procedures.
相關產品
靶點詳情
-
功能:Negative regulator in the hedgehog/smoothened signaling pathway. Down-regulates GLI1-mediated transactivation of target genes. Down-regulates GLI2-mediated transactivation of target genes. Part of a corepressor complex that acts on DNA-bound GLI1. May also act by linking GLI1 to BTRC and thereby targeting GLI1 to degradation by the proteasome. Sequesters GLI1, GLI2 and GLI3 in the cytoplasm, this effect is overcome by binding of STK36 to both SUFU and a GLI protein. Negative regulator of beta-catenin signaling. Regulates the formation of either the repressor form (GLI3R) or the activator form (GLI3A) of the full-length form of GLI3 (GLI3FL). GLI3FL is complexed with SUFU in the cytoplasm and is maintained in a neutral state. Without the Hh signal, the SUFU-GLI3 complex is recruited to cilia, leading to the efficient processing of GLI3FL into GLI3R. When Hh signaling is initiated, SUFU dissociates from GLI3FL and the latter translocates to the nucleus, where it is phosphorylated, destabilized, and converted to a transcriptional activator (GLI3A). Required for normal embryonic development. Required for the proper formation of hair follicles and the control of epidermal differentiation.
-
基因功能參考文獻:
- Down-regulation of microRNA-224 inhibits growth and epithelial-to-mesenchymal transition phenotype via modulating SUFU expression in bladder cancer cells. PMID: 28780419
- Itch/beta-arrestin2 complex binds SuFu and induces its Lys63-linked polyubiquitylation without affecting its stability. PMID: 29515120
- Patients with SUFU pathogenic variants were significantly more likely to develop a medulloblastoma, a meningioma or an ovarian fibroma, but were less likely to develop a jaw cyst. PMID: 28596197
- Nek2A is found to stabilize SuFu at least partly depending on its kinase activity, thereby triggering phosphorylation of the SuFu protein. PMID: 27297360
- Extra-mitochondrial prosurvival BCL-2 proteins regulate gene transcription by inhibiting the SUFU tumour suppressor. PMID: 28945232
- Missense mutation in SUFU gene is associated with Joubert Syndrome with Cranio-facial and Skeletal Defects. PMID: 28965847
- In conclusion, this study showed the potential of miR-342-3p as a therapeutic target to promote bone regeneration by modulating expression of Sufu in UCMSCs. PMID: 28765042
- miRNA-194 is oncogenic and promotes gastric cancer cell proliferation and migration by activating Wnt signaling, at least in part, via suppression of SUFU. PMID: 27810403
- SUFU's role in Hedgehog signaling, tumor progression, and highlight a way in which BCCs can arise PMID: 28030567
- In summary, these findings reveal Fbxl17 as a novel regulator of the Hedgehog signaling pathway and highlight the perturbation of the Fbxl17-Sufu axis in the pathogenesis of medulloblastoma. PMID: 27234298
- there was a positive correlation between VDR status and the expression of Suppressor of fused gene (SuFu), a hedgehog pathway inhibitor. miR-214 on the other hand suppressed SuFu protein expression. PMID: 27693451
- The data indicate that there exists a novel transcript variant of SUFU which can be transcribed and translated into corresponding protein and its transcription is related with metastasis of lymph nodes in pancreatic ductal adenocarcinoma. PMID: 27840902
- We showed that the supplementation of the osteogenic differentiation medium with PTHrP inhibited the alkaline phosphatase activity and the expression of the transcription factor DLX3, but the depletion of PTHrP did not support the differentiation of DFCs.We showed that SUFU (Suppressor Of Fused Homolog) was not regulated during the osteogenic differentiation in DFCs PMID: 27368119
- This study uncovers a previously unappreciated miR-214-Sufu pathway in controlling EMT and metastasis of lung adenocarcinoma. PMID: 26462018
- A germline SUFU mutation was present in a patient with MHIBCC, and additional acquired SUFU mutations underlie the development of infundibulocystic basal cell carcinomas PMID: 26677003
- SUFU germline polymorphism is associated with acute GVHD PMID: 26067905
- Sufu has a role in repressing Gli1 transcription and nuclear accumulation, inhibiting glioma cell proliferation, invasion and vasculogenic mimicry, improving glioma chemo-sensitivity and prognosis PMID: 25373737
- suggest childhood brain magnetic resonance imaging surveillance is justified in SUFU-related, but not PTCH1-related, Gorlin syndrome PMID: 25403219
- SUFU polymorphisms are associated with neural tube defects in a high-risk population in China. PMID: 24070372
- Functionally, RIOK3 acts as a SUFU-dependent positive regulator of Hedgehog signaling. PMID: 24018050
- Data indicate a significant role of hedgehog receptor PTCH1 and SUFU in the pathogenesis of keratocystic odontogenic tumor (KCOT). PMID: 23951062
- It is demonstrated that GLI binding is associated with major conformational changes in SUFU, including an intrinsically disordered loop that is also crucial for pathway activation. PMID: 24311597
- The 'closed' form of Sufu is stabilized by Gli binding and inhibited by Hh treatment, whereas the 'open' state of Sufu is promoted by Gli-dissociation and Hh signaling. PMID: 24217340
- Polymorphisms in the SUFU gene (encoding for a negative regulator of the hedgehog signaling pathway) are associated with protection from Enterobacteriacea bacteremia related organ injury and sepsis severity. PMID: 23538333
- SUFU germline mutation is associated with nevoid basal cell carcinoma syndrome associated with meningioma. PMID: 22829011
- Our genetic and functional analyses indicate that germline mutations in SUFU also predispose to meningiomas, particularly to multiple meningiomas. PMID: 22958902
- mechanism of action on Hedgehog signaling by a suppressor of fused carboxy terminal variant PMID: 22666390
- germline SUFU mutations are responsible for a high proportion of desmoplastic medulloblastoma in children younger than 3 years of age PMID: 22508808
- Rab23 directly associates with Su(Fu) and inhibits Gli1 function in a Su(Fu)-dependent manner. PMID: 22365972
- inactivating germline mutations of SUFU cause ~2-3% of sporadic medulloblastomas and > 10% of desmoplastic medulloblastomas. PMID: 21188540
- We found that hedgehog-interacting protein, PDGFRalpha, smoothened and Su(Fu) gene highly expressed in the primary esophageal squamous cell carcinomas PMID: 21210262
- Glis3 interacts with Suppressor of Fused (SUFU) PMID: 21543335
- ciliary localization of Sufu is dependent on ciliary-localized Gli proteins, and is inhibited by PKA activation PMID: 21209912
- Dual Phosphorylation of suppressor of fused (Sufu) by PKA and GSK3beta regulates its stability and localization in the primary cilium. PMID: 21317289
- Suppressor of fused transgene negatively regulates hedgehog signaling and proliferation in retinal progenitor cells (RPCs); unexpectedly, Sufu-null RPCs fail to maintain their multipotency, differentiating as amacrine and horizontal neurons. PMID: 21451052
- Germline SUFU mutations were identified in two families with several children under 3 years of age diagnosed with medulloblastoma. PMID: 19833601
- Suppressor of Fused represses Gli-mediated transcription by recruiting the SAP18-mSin3 corepressor complex. PMID: 11960000
- Mutations in SUFU predispose to medulloblastoma. PMID: 12068298
- loss of SUFU function results in overactivity of both the Sonic Hedgehog, and the WNT signaling pathways, leading to excessive proliferation and failure to differentiate resulting in medulloblastomas. PMID: 15077159
- Overexpression of SUFU is associated with Split-hand/split-foot malformation 3 PMID: 16691619
- A role for SIL in derepressing GLI1 from the negative control of SUFU. PMID: 18829525
- Shh signaling regulates Sufu activity by inducing its turnover via the ubiquitin-proteasome system. PMID: 18997815
- expression induced by 4-Hydroxynonenal,one of several lipid oxidation products, in human leukemia cells, HL-60; this tumor suppressor protein is a target of miR-378 PMID: 19022373
- human tumor suppressor SUFU has a role in Hedgehog signaling [review] PMID: 19055941
- Suppressor of fused was overexpressed in endometrial carcinoma compared with the hyperplastic endometrium PMID: 19432668
- First report of a germ line SUFU mutation associated with Gorlin syndrome. PMID: 19533801
顯示更多
收起更多
-
相關疾?。?/div>Medulloblastoma (MDB); Joubert syndrome 32 (JBTS32)亞細胞定位:Cytoplasm. Nucleus.蛋白家族:SUFU family組織特異性:Ubiquitous in adult tissues. Detected in osteoblasts of the perichondrium in the developing limb of 12-week old embryos. Isoform 1 is detected in fetal brain, lung, kidney and testis. Isoform 2 is detected in fetal testis, and at much lower levels in feta數據庫鏈接:
Most popular with customers
-
-
YWHAB Recombinant Monoclonal Antibody
Applications: ELISA, WB, IHC, IF, FC
Species Reactivity: Human, Mouse, Rat
-
Phospho-YAP1 (S127) Recombinant Monoclonal Antibody
Applications: ELISA, WB, IHC
Species Reactivity: Human
-
-
-
-
-















