STXBP2 Antibody
-
中文名稱:STXBP2兔多克隆抗體
-
貨號:CSB-PA297913
-
規格:¥1100
-
圖片:
-
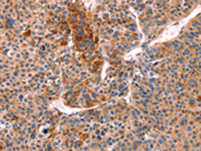
The image on the left is immunohistochemistry of paraffin-embedded Human thyroid cancer tissue using CSB-PA297913(STXBP2 Antibody) at dilution 1/20, on the right is treated with fusion protein. (Original magnification: ×200)
-
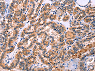
The image on the left is immunohistochemistry of paraffin-embedded Human liver cancer tissue using CSB-PA297913(STXBP2 Antibody) at dilution 1/20, on the right is treated with fusion protein. (Original magnification: ×200)
-
-
其他:
產品詳情
-
Uniprot No.:
-
基因名:STXBP2
-
別名:FHL5 antibody; Hunc18b antibody; MUNC18 2 antibody; pp10122 antibody; Protein unc-18 homolog 2 antibody; Protein unc-18 homolog B antibody; STXB2_HUMAN antibody; Stxbp2 antibody; syntaxin binding protein 2 antibody; Syntaxin-binding protein 2 antibody; Unc-18B antibody; UNC18 2 antibody; Unc18-2 antibody; UNC18B antibody
-
宿主:Rabbit
-
反應種屬:Human,Mouse,Rat
-
免疫原:Fusion protein of Human STXBP2
-
免疫原種屬:Homo sapiens (Human)
-
標記方式:Non-conjugated
-
抗體亞型:IgG
-
純化方式:Antigen affinity purification
-
濃度:It differs from different batches. Please contact us to confirm it.
-
保存緩沖液:-20°C, pH7.4 PBS, 0.05% NaN3, 40% Glycerol
-
產品提供形式:Liquid
-
應用范圍:ELISA,IHC
-
推薦稀釋比:
Application Recommended Dilution ELISA 1:2000-1:5000 IHC 1:25-1:100 -
Protocols:
-
儲存條件:Upon receipt, store at -20°C or -80°C. Avoid repeated freeze.
-
貨期:Basically, we can dispatch the products out in 1-3 working days after receiving your orders. Delivery time maybe differs from different purchasing way or location, please kindly consult your local distributors for specific delivery time.
-
用途:For Research Use Only. Not for use in diagnostic or therapeutic procedures.
相關產品
靶點詳情
-
功能:Involved in intracellular vesicle trafficking and vesicle fusion with membranes. Contributes to the granule exocytosis machinery through interaction with soluble N-ethylmaleimide-sensitive factor attachment protein receptor (SNARE) proteins that regulate membrane fusion. Regulates cytotoxic granule exocytosis in natural killer (NK) cells.
-
基因功能參考文獻:
- Neonatal platelets exhibit low levels of the Stx11-Munc18b complex (essential component of the SNARE machinery) and of beta1-tubulin. These developmental deficiencies are associated with defects in platelet adhesion, spreading and secretion. PMID: 29044293
- Among these nine polymorphisms, rs188212047 [G/T (L212F)] of STXBP2 was significantly (dominant model; P = 4.84 x 10-8; odds ratio, 2.94) associated with myocardial infarction. STXBP2 may thus be a novel susceptibility locus for myocardial infarction in Japanese. PMID: 28380445
- STXBP2 Gene Polymorphism is associated with Hemophagocytic Lymphohistocytosis. PMID: 27513731
- Mutation in STXBP2 gene is associated with hemophagocytic lymphohistiocytosis. PMID: 27781387
- Data show that Munc18b overexpression increased fusion of not only newcomer secretory granule (SG), but also predocked SGs in type-2 diabetes (T2D) human and Goto-Kakizaki Rat Islets. PMID: 28163042
- two novel mutations of STXBP2: c.184A>G and c.577A>C. c.184A>G (p.Asn62Asp) was located within a highly conserved region of the STXBP2 protein and predicted to be deleterious. PMID: 26451869
- mutations result in severe chronic active Epstein-Barr virus disease PMID: 25947952
- red blood cells express Munc18-2 and that erythroid cells from patients with FHL-5 exhibit intrinsic defects caused by STXBP2/Munc18-2 mutations. PMID: 26320718
- Munc18-2(R65Q) and Munc18-2(R65W) retain the ability to interact with and stabilize STX11. However, presence of Munc18-2(R65Q/W) in patient-derived lymphocytes and forced expression in control CTLs and NK cells diminishes degranulation and cytotoxicity. PMID: 25564401
- Data show that all but one patient with atypical familial hemophagocytic lymphohistiocytosis carried at least one splice-site mutation in UNC13D or STXBP2. PMID: 20823128
- Munc18-2 binds the N-terminal peptide of Stx11 with a ~20-fold higher affinity than Stx3, suggesting a potential role in selective binding. PMID: 24194549
- We report that FHL-5 neutrophils have a profound defect in granule mobilization, resulting in inadequate bacterial killing, in particular, of gram-negative Escherichia coli, but not of Staphylococcus aureus. PMID: 23687090
- Mutations in STXBP2 do not only affect cytotoxic T lymphocytes but also cause changes in the intestinal and renal epithelium resulting in severe, osmotic diarrhea and renal proximal tubular dysfunction PMID: 23382066
- Novel mutation in STXBP2 prevents IL-2-induced natural killer cell cytotoxicity in familial hemophagocytic lymphohistiocytosis. PMID: 22336081
- We report the largest cohort of patients with FHL5 so far, describe an extended disease spectrum, and demonstrate for the first time a clear genotype-phenotype correlation. PMID: 22451424
- Missense and splice-site sequence variants in PRF1, MUNC13-4, and STXBP2 were found in 25 (14%) of the adult patients. The A91V-PRF1 genotype was found in 12 of these patients (48%). PMID: 21881043
- Data show that 3 novel mutations of STXBP2 gene were confirmed. PMID: 21152410
- Biallelic STXBP2 mutations were identified in families with familial haemophagocytic lymphohistiocytosis. PMID: 20798128
- mutation analysis, clinical presentation, and functional analysis of NK cells in patients with mutations in STXBP2 encoding Munc18-2, recently associated with familial hemophagocytic lymphohistiocytosis type 5 PMID: 20558610
- STXBP2 is required at a late step of the secretory pathway for the release of cytotoxic granules by binding syntaxin 11, another component of the intracellular membrane fusion machinery. PMID: 19884660
- binds to syntaxins 1A, 2, and 3 and regulates vesicle transport to the apical plasma membrane PMID: 12198139
- Munc18-2 acts as a regulator of primary granule exocytosis, while Munc18-3 may preferentially regulate the fusion of secondary granules PMID: 18588921
- Familial hemophagocytic lymphohistiocytosis type 5 (FHL-5) is caused by mutations in Munc18-2 and impaired binding to syntaxin 11 PMID: 19804848
顯示更多
收起更多
-
相關疾病:Familial hemophagocytic lymphohistiocytosis 5 (FHL5)
-
蛋白家族:STXBP/unc-18/SEC1 family
-
組織特異性:Placenta, lung, liver, kidney and pancreas, as well as in peripheral blood lymphocytes.
-
數據庫鏈接:
Most popular with customers
-
-
Phospho-YAP1 (S127) Recombinant Monoclonal Antibody
Applications: ELISA, WB, IHC
Species Reactivity: Human
-
-
-
-
-
-















