STX2 Antibody
-
中文名稱:STX2兔多克隆抗體
-
貨號:CSB-PA615896
-
規格:¥1100
-
圖片:
-
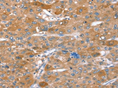
The image on the left is immunohistochemistry of paraffin-embedded Human liver cancer tissue using CSB-PA615896(STX2 Antibody) at dilution 1/40, on the right is treated with synthetic peptide. (Original magnification: ×200)
-
The image on the left is immunohistochemistry of paraffin-embedded Human brain tissue using CSB-PA615896(STX2 Antibody) at dilution 1/40, on the right is treated with synthetic peptide. (Original magnification: ×200)
-
Gel: 8%SDS-PAGE, Lysate: 40 μg, Lane: A172 cells, Primary antibody: CSB-PA615896(STX2 Antibody) at dilution 1/400, Secondary antibody: Goat anti rabbit IgG at 1/8000 dilution, Exposure time: 2 minutes
-
-
其他:
產品詳情
-
Uniprot No.:
-
基因名:
-
別名:STX2; EPIM; STX2A; STX2B; STX2C; Syntaxin-2; Epimorphin
-
宿主:Rabbit
-
反應種屬:Human,Mouse,Rat
-
免疫原:Synthetic peptide of Human STX2
-
免疫原種屬:Homo sapiens (Human)
-
標記方式:Non-conjugated
-
抗體亞型:IgG
-
純化方式:Antigen affinity purification
-
濃度:It differs from different batches. Please contact us to confirm it.
-
保存緩沖液:-20°C, pH7.4 PBS, 0.05% NaN3, 40% Glycerol
-
產品提供形式:Liquid
-
應用范圍:ELISA,WB,IHC
-
推薦稀釋比:
Application Recommended Dilution ELISA 1:2000-1:5000 WB 1:500-1:2000 IHC 1:25-1:100 -
Protocols:
-
儲存條件:Upon receipt, store at -20°C or -80°C. Avoid repeated freeze.
-
貨期:Basically, we can dispatch the products out in 1-3 working days after receiving your orders. Delivery time maybe differs from different purchasing way or location, please kindly consult your local distributors for specific delivery time.
-
用途:For Research Use Only. Not for use in diagnostic or therapeutic procedures.
相關產品
靶點詳情
-
功能:Essential for epithelial morphogenesis. May mediate Ca(2+)-regulation of exocytosis acrosomal reaction in sperm.
-
基因功能參考文獻:
- Munc134 mediates human neutrophil elastaseinduced airway mucin5AC hypersecretion by interacting with syntaxin2 PMID: 29767240
- TGF-beta, bFGF and epimorphin in the extracellular microenvironment cooperatively affect HSF behaviors under the control of a highly sulfated chondroitin sulfate PMID: 28209294
- The effects of HIV/HCV co-infection on hepatic fibrosis might be mediated in part by epimorphin (EPM). Strategies to limit the expression of EPM might represent a novel therapeutic approach to prevent the progression of hepatic fibrosis during HIV/HCV co-infection. PMID: 27362846
- Identify 3 loci associated with circulating tPA levels, the PLAT region, STXBP5, and STX2. Functional studies implicate a novel role for STXBP5 and STX2 in regulating tPA release. PMID: 24578379
- Epimorphin can revert ovarian cancer cells away from their mesenchymal phenotype and toward an epithelial phenotype. PMID: 24039787
- Genetic variation in STX2 is associated with von Willebrand factor:Ag levels in patients diagnosed with type 1 von Willebrand Disease. PMID: 22792389
- EPM, secreted by activated stellate cells within stroma, promotes invasion and metastasis of hepatocellular cancer cells by activating MMP-9 expression through the FAK-ERK pathway. PMID: 22045676
- Genetic variability in STXBP5 and STX2 affects both VWF concentration and activity in young individuals with premature arterial thrombosis. PMID: 21156930
- Munc18b binds to syntaxins 1A, 2, and 3 and regulates vesicle transport to the apical plasma membrane PMID: 12198139
- These findings suggest that epimorphin contributes to repair of pulmonary fibrosis in nonspecific interstitial pneumonia, perhaps partly by inducing expression of matrix metalloproteinase 2, which is an important proteolytic factor in lung remodeling. PMID: 15651999
- expression of SNAP-23 and syntaxin-2 on the extracellular surface of the platelet plasma membrane. PMID: 17485553
- Inadequate epimorphin elicits an abnormal differentiation response in keratinocytes, and indicate a causal function of the epimorphin signaling gradient for the establishment of differentiated epidermal structure in the skin. PMID: 18273050
- Homology with vesicle fusion mediator syntaxin-1a predicts determinants of epimorphin/syntaxin-2 function in mammary epithelial morphogenesis.( PMID: 19129200
顯示更多
收起更多
-
亞細胞定位:Membrane; Single-pass type IV membrane protein.
-
蛋白家族:Syntaxin family
-
數據庫鏈接:
Most popular with customers
-
-
YWHAB Recombinant Monoclonal Antibody
Applications: ELISA, WB, IHC, IF, FC
Species Reactivity: Human, Mouse, Rat
-
Phospho-YAP1 (S127) Recombinant Monoclonal Antibody
Applications: ELISA, WB, IHC
Species Reactivity: Human
-
-
-
-
-















