STX18 Antibody
-
中文名稱:STX18兔多克隆抗體
-
貨號:CSB-PA041704
-
規格:¥1100
-
圖片:
-
The image on the left is immunohistochemistry of paraffin-embedded Human liver cancer tissue using CSB-PA041704(STX18 Antibody) at dilution 1/25, on the right is treated with fusion protein. (Original magnification: ×200)
-
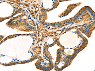
The image on the left is immunohistochemistry of paraffin-embedded Human thyroid cancer tissue using CSB-PA041704(STX18 Antibody) at dilution 1/25, on the right is treated with fusion protein. (Original magnification: ×200)
-
Gel: 8%SDS-PAGE, Lysate: 40 μg, Lane 1-3: Hepg2 cells, TM4 cells, Raw264.7 cells, Primary antibody: CSB-PA041704(STX18 Antibody) at dilution 1/300, Secondary antibody: Goat anti rabbit IgG at 1/8000 dilution, Exposure time: 20 seconds
-
-
其他:
產品詳情
-
Uniprot No.:
-
基因名:STX18
-
別名:Cell growth inhibiting gene 9 protein antibody; Cell growth-inhibiting gene 9 protein antibody; DKFZp686O15149 antibody; STX18 antibody; STX18_HUMAN antibody; Syntaxin-18 antibody; Ufe1 antibody
-
宿主:Rabbit
-
反應種屬:Human,Mouse,Rat
-
免疫原:Fusion protein of Human STX18
-
免疫原種屬:Homo sapiens (Human)
-
標記方式:Non-conjugated
-
抗體亞型:IgG
-
純化方式:Antigen affinity purification
-
濃度:It differs from different batches. Please contact us to confirm it.
-
保存緩沖液:-20°C, pH7.4 PBS, 0.05% NaN3, 40% Glycerol
-
產品提供形式:Liquid
-
應用范圍:ELISA,WB,IHC
-
推薦稀釋比:
Application Recommended Dilution ELISA 1:2000-1:5000 WB 1:500-1:2000 IHC 1:25-1:100 -
Protocols:
-
儲存條件:Upon receipt, store at -20°C or -80°C. Avoid repeated freeze.
-
貨期:Basically, we can dispatch the products out in 1-3 working days after receiving your orders. Delivery time maybe differs from different purchasing way or location, please kindly consult your local distributors for specific delivery time.
-
用途:For Research Use Only. Not for use in diagnostic or therapeutic procedures.
相關產品
靶點詳情
-
功能:Syntaxin that may be involved in targeting and fusion of Golgi-derived retrograde transport vesicles with the ER.
-
基因功能參考文獻:
- The SNP rs12644497 in the STX18 gene was associated with congenital heart diseases Chinese Han populations. PMID: 27816473
- RINT-1 coordinates the localization and function of ZW10 by serving as a link between ZW10 and the SNARE complex comprising syntaxin 18. PMID: 16571679
- Stx18 in involved in growth of human breast cancer cells and may possibly be used as a prognostic marker and a molecular target in the treatment of breast cancer. PMID: 18722709
- Suggest that syntaxin 18 has an important role in ER subdomain organization by mediating the fusion of retrograde membrane carriers with the ER membrane. PMID: 19401338
-
亞細胞定位:Endoplasmic reticulum membrane; Single-pass type IV membrane protein. Golgi apparatus membrane; Single-pass type IV membrane protein.
-
蛋白家族:Syntaxin family
-
組織特異性:Ubiquitous.
-
數據庫鏈接:
Most popular with customers
-
-
YWHAB Recombinant Monoclonal Antibody
Applications: ELISA, WB, IHC, IF, FC
Species Reactivity: Human, Mouse, Rat
-
Phospho-YAP1 (S127) Recombinant Monoclonal Antibody
Applications: ELISA, WB, IHC
Species Reactivity: Human
-
-
-
-
-















