STX10 Antibody
-
中文名稱:STX10兔多克隆抗體
-
貨號:CSB-PA095978
-
規格:¥1100
-
圖片:
-
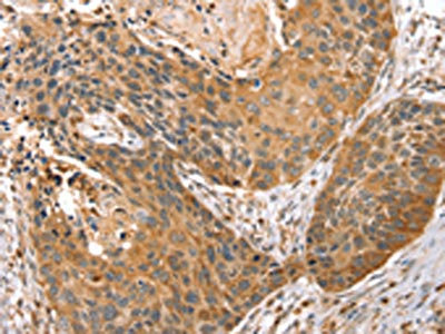
The image on the left is immunohistochemistry of paraffin-embedded Human esophagus cancer tissue using CSB-PA095978(STX10 Antibody) at dilution 1/45, on the right is treated with fusion protein. (Original magnification: ×200)
-
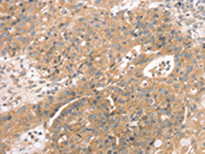
The image on the left is immunohistochemistry of paraffin-embedded Human breast cancer tissue using CSB-PA095978(STX10 Antibody) at dilution 1/45, on the right is treated with fusion protein. (Original magnification: ×200)
-
Gel: 12%SDS-PAGE, Lysate: 40 μg, Lane 1-3: Hela cells, lovo cells, A431 cells, Primary antibody: CSB-PA095978(STX10 Antibody) at dilution 1/800, Secondary antibody: Goat anti rabbit IgG at 1/8000 dilution, Exposure time: 5 seconds
-
-
其他:
產品詳情
-
Uniprot No.:
-
基因名:STX10
-
別名:STX10 antibody; SYN10 antibody; Syntaxin-10 antibody; Syn10 antibody
-
宿主:Rabbit
-
反應種屬:Human
-
免疫原:Fusion protein of Human STX10
-
免疫原種屬:Homo sapiens (Human)
-
標記方式:Non-conjugated
-
抗體亞型:IgG
-
純化方式:Antigen affinity purification
-
濃度:It differs from different batches. Please contact us to confirm it.
-
保存緩沖液:-20°C, pH7.4 PBS, 0.05% NaN3, 40% Glycerol
-
產品提供形式:Liquid
-
應用范圍:ELISA,WB,IHC
-
推薦稀釋比:
Application Recommended Dilution ELISA 1:2000-1:10000 WB 1:1000-1:5000 IHC 1:25-1:100 -
Protocols:
-
儲存條件:Upon receipt, store at -20°C or -80°C. Avoid repeated freeze.
-
貨期:Basically, we can dispatch the products out in 1-3 working days after receiving your orders. Delivery time maybe differs from different purchasing way or location, please kindly consult your local distributors for specific delivery time.
-
用途:For Research Use Only. Not for use in diagnostic or therapeutic procedures.
相關產品
靶點詳情
-
功能:SNARE involved in vesicular transport from the late endosomes to the trans-Golgi network.
-
基因功能參考文獻:
- Loss of syntaxin 10 leads to defects in normal chlamydial maturation including: variable inclusion size with fewer chlamydial organisms per inclusion, fewer infectious progeny, and delayed or halted reticulate body-elementary body differentiation. PMID: 26442221
- May have a hitherto unrecognized function in the trans-Golgi network-endosome boundary. PMID: 16154903
-
亞細胞定位:Golgi apparatus membrane; Single-pass type IV membrane protein.
-
蛋白家族:Syntaxin family
-
組織特異性:Expressed at high levels in heart, skeletal muscle and pancreas.
-
數據庫鏈接:
Most popular with customers
-
-
YWHAB Recombinant Monoclonal Antibody
Applications: ELISA, WB, IHC, IF, FC
Species Reactivity: Human, Mouse, Rat
-
Phospho-YAP1 (S127) Recombinant Monoclonal Antibody
Applications: ELISA, WB, IHC
Species Reactivity: Human
-
-
-
-
-















