STRAP Antibody
-
中文名稱:STRAP兔多克隆抗體
-
貨號:CSB-PA958257
-
規格:¥1100
-
圖片:
-
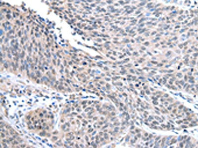
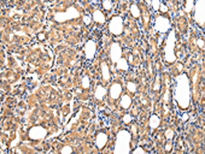
The image on the left is immunohistochemistry of paraffin-embedded Human lung cancer tissue using CSB-PA958257(STRAP Antibody) at dilution 1/25, on the right is treated with fusion protein. (Original magnification: ×200)
-
The image on the left is immunohistochemistry of paraffin-embedded Human thyroid cancer tissue using CSB-PA958257(STRAP Antibody) at dilution 1/25, on the right is treated with fusion protein. (Original magnification: ×200)
-
Gel: 8%SDS-PAGE, Lysate: 40 μg, Lane: Mouse brain tissue, Primary antibody: CSB-PA958257(STRAP Antibody) at dilution 1/400 dilution, Secondary antibody: Goat anti rabbit IgG at 1/8000 dilution, Exposure time: 10 seconds
-
-
其他:
產品詳情
-
Uniprot No.:
-
基因名:STRAP
-
別名:MAP activator with WD repeats antibody; MAWD antibody; PTWD antibody; Serine-threonine kinase receptor-associated protein antibody; serine/threonine kinase receptor associated protein antibody; strap antibody; STRAP_HUMAN antibody; UNR-interacting protein antibody; UNRIP antibody; WD 40 repeat protein PT WD antibody; WD-40 repeat protein PT-WD antibody
-
宿主:Rabbit
-
反應種屬:Human,Mouse,Rat
-
免疫原:Full length fusion protein
-
免疫原種屬:Homo sapiens (Human)
-
標記方式:Non-conjugated
-
抗體亞型:IgG
-
純化方式:Antigen affinity purification
-
濃度:It differs from different batches. Please contact us to confirm it.
-
保存緩沖液:-20°C, pH7.4 PBS, 0.05% NaN3, 40% Glycerol
-
產品提供形式:Liquid
-
應用范圍:ELISA,WB,IHC
-
推薦稀釋比:
Application Recommended Dilution ELISA 1:1000-1:2000 WB 1:200-1:1000 IHC 1:25-1:100 -
Protocols:
-
儲存條件:Upon receipt, store at -20°C or -80°C. Avoid repeated freeze.
-
貨期:Basically, we can dispatch the products out in 1-3 working days after receiving your orders. Delivery time maybe differs from different purchasing way or location, please kindly consult your local distributors for specific delivery time.
-
用途:For Research Use Only. Not for use in diagnostic or therapeutic procedures.
相關產品
靶點詳情
-
功能:The SMN complex catalyzes the assembly of small nuclear ribonucleoproteins (snRNPs), the building blocks of the spliceosome, and thereby plays an important role in the splicing of cellular pre-mRNAs. Most spliceosomal snRNPs contain a common set of Sm proteins SNRPB, SNRPD1, SNRPD2, SNRPD3, SNRPE, SNRPF and SNRPG that assemble in a heptameric protein ring on the Sm site of the small nuclear RNA to form the core snRNP (Sm core). In the cytosol, the Sm proteins SNRPD1, SNRPD2, SNRPE, SNRPF and SNRPG are trapped in an inactive 6S pICln-Sm complex by the chaperone CLNS1A that controls the assembly of the core snRNP. To assemble core snRNPs, the SMN complex accepts the trapped 5Sm proteins from CLNS1A forming an intermediate. Binding of snRNA inside 5Sm triggers eviction of the SMN complex, thereby allowing binding of SNRPD3 and SNRPB to complete assembly of the core snRNP. STRAP plays a role in the cellular distribution of the SMN complex. Negatively regulates TGF-beta signaling but positively regulates the PDPK1 kinase activity by enhancing its autophosphorylation and by significantly reducing the association of PDPK1 with 14-3-3 protein.
-
基因功能參考文獻:
- these results suggest that STRAP increases invasion and metastasis of colorectal cancer partly through inhibiting ubiquitin-dependent degradation of beta-catenin and promoting Wnt/beta-catenin signaling PMID: 26910283
- Findings illuminated a novel STRAP-NOTCH1-HES1 molecular axis as a CSC regulator in colorectal cancer. PMID: 28827371
- MAWD and MAWBP were downregulated and associated with the differentiation grade in GC tissues. PMID: 26373288
- STRAP inhibits the transactivation function of Sp1 either by directly blocking its DNA binding domain or destabilizing Sp1 protein through ubiquitin-proteasome pathway in cell cycle G1 phase. PMID: 25483064
- Strap augments the apoptotic effects of mitochondrial p53. PMID: 25168243
- Coexpression of MAWBP and MAWD inhibited epithelial mesenchymal transformation, and EMT-aided malignant cell progression was suppressed in gastric cancer. PMID: 23687415
- Data indicate serine-threonine kinase receptor-associated protein (STRAP) as a novel regulator of the coordinated translation of collagen alpha1(I) and alpha2(I) mRNAs. PMID: 23918805
- both of the TPR and OB-fold domains localize to the chromatin of p53 target genes and exhibit intrinsic regulatory activity necessary for the Strap-dependent p53 response PMID: 22362889
- STRAP protein decreases ubiquitination of intracellular domain of Notch3 and may help to stabilize it. PMID: 21502811
- B-MYB acts as a positive regulator of STRAP PMID: 21148321
- gonucleotide pulldown identified STRAP (serine/threonine kinase receptor-associated protein) as a further protein recruited to the MMP28 promoter and acting functionally with Sp1. PMID: 20144149
- STRAP can act as a negative regulator of ASK1. PMID: 19880523
- unrip functions in the pathway of small nuclear ribonucleoproteins biogenesis PMID: 15848170
- biochemical evidence for the existence of another, yet atypical, SMN complex component, termed unr-interacting protein (unrip) PMID: 16159890
- STRAP acts as an intermediate signaling molecule linking between the phosphatidylinositol 3-kinase/PDK1 and the TGF-beta signaling pathways PMID: 16251192
- Gemin8 has an essential role in the proper structural organization of the SMN complex and the involvement of the heteromeric subunit containing Gemin6, Gemin7, Gemin8, and Unrip in the recruitment of Sm proteins to the snRNP assembly pathway PMID: 17023415
- the direct interaction of NM23-H1 and STRAP is important for the regulation of TGF-beta-dependent biological activity as well as NM23-H1 activity PMID: 17314099
- These results indicate that upregulation of STRAP might play a role in tumor development as an early event for colorectal cancers. PMID: 17316412
- an interplay between PPM1G and unrip determine compartment-specific phosphorylation patterns, localization, and function of the SMN complex PMID: 17984321
- Strap regulation reflects the coordinated interplay between different DNA damage-activated protein kinases, ATM and Chk2 (Checkpoint kinase 2), where phosphorylation by each kinase provides a distinct functional consequence on the activity of Strap. PMID: 18833288
顯示更多
收起更多
-
亞細胞定位:Cytoplasm. Nucleus. Note=Localized predominantly in the cytoplasm but also found in the nucleus.
-
蛋白家族:WD repeat STRAP family
-
數據庫鏈接:
Most popular with customers
-
-
YWHAB Recombinant Monoclonal Antibody
Applications: ELISA, WB, IHC, IF, FC
Species Reactivity: Human, Mouse, Rat
-
-
-
-
-
-















