-
中文名稱:STRA8兔多克隆抗體
-
貨號:CSB-PA767212LA01HU
-
規格:¥440
-
圖片:
-
Western Blot
Positive WB detected in: MCF-7 whole cell lysate, Jurkat whole cell lysate
All lanes: STRA8 antibody at 3.4μg/ml
Secondary
Goat polyclonal to rabbit IgG at 1/50000 dilution
Predicted band size: 37 kDa
Observed band size: 60 kDa -
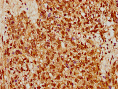
IHC image of CSB-PA767212LA01HU diluted at 1:500 and staining in paraffin-embedded human ovarian cancer performed on a Leica BondTM system. After dewaxing and hydration, antigen retrieval was mediated by high pressure in a citrate buffer (pH 6.0). Section was blocked with 10% normal goat serum 30min at RT. Then primary antibody (1% BSA) was incubated at 4°C overnight. The primary is detected by a biotinylated secondary antibody and visualized using an HRP conjugated SP system.
-
-
其他:
產品詳情
-
產品名稱:Rabbit anti-Homo sapiens (Human) STRA8 Polyclonal antibody
-
Uniprot No.:
-
基因名:STRA8
-
別名:Stimulated by retinoic acid 8 antibody; stimulated by retinoic acid 8 homolog antibody; Stimulated by retinoic acid Gene 8 antibody; stimulated by retinoic acid gene 8 homolog antibody; Stimulated by retinoic acid gene 8 protein homolog antibody; STRA 8 antibody; STRA8 antibody; STRA8_HUMAN antibody
-
宿主:Rabbit
-
反應種屬:Human
-
免疫原:Recombinant Human Stimulated by retinoic acid gene 8 protein homolog protein (115-241AA)
-
免疫原種屬:Homo sapiens (Human)
-
標記方式:Non-conjugated
本頁面中的產品,STRA8 Antibody (CSB-PA767212LA01HU),的標記方式是Non-conjugated。對于STRA8 Antibody,我們還提供其他標記。見下表:
-
克隆類型:Polyclonal
-
抗體亞型:IgG
-
純化方式:>95%, Protein G purified
-
濃度:It differs from different batches. Please contact us to confirm it.
-
保存緩沖液:Preservative: 0.03% Proclin 300
Constituents: 50% Glycerol, 0.01M PBS, pH 7.4 -
產品提供形式:Liquid
-
應用范圍:ELISA, WB, IHC
-
推薦稀釋比:
Application Recommended Dilution WB 1:500-1:5000 IHC 1:500-1:1000 -
Protocols:
-
儲存條件:Upon receipt, store at -20°C or -80°C. Avoid repeated freeze.
-
貨期:Basically, we can dispatch the products out in 1-3 working days after receiving your orders. Delivery time maybe differs from different purchasing way or location, please kindly consult your local distributors for specific delivery time.
-
用途:For Research Use Only. Not for use in diagnostic or therapeutic procedures.
引用文獻
相關產品
靶點詳情
-
功能:Meiosis-inducer required for the transition into meiosis for both female and male germ cells. In female germ cells, acts downstream of ZGLP1 as a key effector of the meiotic program: required for premeiotic DNA replication and subsequent events in meiotic prophase. During spermatogenesis, next to its role in meiotic initiation, promotes (but is not required for) spermatogonial differentiation. In complex with MEIOSIN, directly activates the transcription of a subset of critical meiotic genes playing a central role in cell-cycle switching from mitosis to meiosis.
-
基因功能參考文獻:
- The genetic variant rs10269148 of STRA8 gene shows higher risk of spermatogenic impairment in the groups of abnormospermia than the controls PMID: 23320086
- Functional characterization of an homologous mouse gene. PMID: 18799751
- Observational study of gene-disease association. (HuGE Navigator) PMID: 20378615
- Expression restricted to testis (STRA8) PMID: 12489526
-
亞細胞定位:Cytoplasm. Nucleus.
-
組織特異性:Expressed specifically in testis and fetal ovaries.
-
數據庫鏈接:
Most popular with customers
-
-
YWHAB Recombinant Monoclonal Antibody
Applications: ELISA, WB, IHC, IF, FC
Species Reactivity: Human, Mouse, Rat
-
Phospho-YAP1 (S127) Recombinant Monoclonal Antibody
Applications: ELISA, WB, IHC
Species Reactivity: Human
-
-
-
-
-















