STMN1 (Ab-25) Antibody
-
中文名稱:STMN1 (Ab-25)兔多克隆抗體
-
貨號:CSB-PA030924
-
規格:¥2024
-
圖片:
-
Western blot analysis of extracts from 293 and Hela cells using Stathmin 1(Ab-25) Antibody.
-
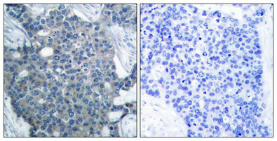
Immunohistochemical analysis of paraffin-embedded human breast carcinoma tissue using Stathmin 1(Ab-25) Antibody(left) or the same antibody preincubated with blocking peptide(right).
-
Immunofluorescence staining of methanol-fixed Hela cells using Stathmin 1(Ab-25) Antibody.
-
-
其他:
產品詳情
-
產品名稱:Rabbit anti-Homo sapiens (Human) STMN1 Polyclonal antibody
-
Uniprot No.:
-
基因名:
-
宿主:Rabbit
-
反應種屬:Human,Mouse,Rat
-
免疫原:Peptide sequence around aa. 23~27 (I-L-S-P-R) derived from Human Stathmin 1.
-
免疫原種屬:Homo sapiens (Human)
-
克隆類型:Polyclonal
-
純化方式:Antibodies were produced by immunizing rabbits with synthetic peptide and KLH conjugates. Antibodies were purified by affinity-chromatography using epitope-specific peptide.
-
濃度:It differs from different batches. Please contact us to confirm it.
-
產品提供形式:Liquid
-
應用范圍:ELISA,WB,IHC,IF
-
推薦稀釋比:
Application Recommended Dilution WB 1:500-1:1000 IHC 1:50-1:200 IF 1:100-1:200 -
Protocols:
-
儲存條件:Upon receipt, store at -20°C or -80°C. Avoid repeated freeze.
-
貨期:Basically, we can dispatch the products out in 1-3 working days after receiving your orders. Delivery time maybe differs from different purchasing way or location, please kindly consult your local distributors for specific delivery time.
-
用途:For Research Use Only. Not for use in diagnostic or therapeutic procedures.
相關產品
靶點詳情
-
功能:Involved in the regulation of the microtubule (MT) filament system by destabilizing microtubules. Prevents assembly and promotes disassembly of microtubules. Phosphorylation at Ser-16 may be required for axon formation during neurogenesis. Involved in the control of the learned and innate fear.
-
基因功能參考文獻:
- these data indicate that activation of autophagy reduces expression of STMN1 and p53, and the migration and invasion of cancer cells contributes to the anti-cancer effects of the Halofuginone. These findings may provide new insight into breast cancer prevention and therapy. PMID: 29231257
- Low expression of STMN1 was found in 43.62%, and high expression of STMN1 was found in 56.38% of cases of osteosarcoma. High tumor expression of STMN1 was a prognostic marker for poor prognosis, poor response to chemotherapy, the presence of metastases, advanced Enneking surgical stage and the chondroblastic osteosarcoma subtype. The expression STMN1 was identified as an independent prognostic biomarker of osteosarcoma . PMID: 30169496
- a transcription-independent mechanism for Stat3-mediated centrosome clustering that involves Stathmin, a Stat3 interactor involved in microtubule depolymerization, and the mitotic kinase PLK1, is reported. PMID: 28474672
- Results suggest that stathmin is essential in bipolar spindle formation to maintain genomic stability during mitosis, and the depletion of stathmin prevents the initiation of chromosome instability by inducing senescence in human normal fibroblasts. PMID: 28885720
- Results showed that STMN1 overexpression was significantly associated with lymphatic metastatic recurrence in pN0 esophageal squamous cell carcinoma (ESCC) patients. STMN1 levels are regulated by the PI3K pathway, and STMN1 can act as a surrogate marker of PI3K pathway signaling related to tumor recurrence. PMID: 29251330
- The investigation confirmed that stathmin expression was correlated with more aggressive behavior of cervical cancer. PMID: 29953794
- High STMN1 Expression is Associated with Cancer Progression and Chemo-Resistance in Lung Squamous Cell Carcinoma. PMID: 28933054
- STMN1 expression was significantly associated with prognosis and tumour differentiation in ESCC, indicating that STMN1 expression is an independent prognostic factor for ESCC and could be a potential biomarker. Regulating the expression of STMN1 could influence tumour cell motility, invasion and proliferation PMID: 29039594
- T3-mediated suppression of STMN1 supports the theory that T3 plays an inhibitory role in HCC tumor growth, and suggests that the lack of normal THR function leads to elevated STMN1 expression and malignant growth PMID: 27934948
- These results suggest that stathmin acts as an oncogene and is transcriptionally regulated by mutant p53, but not by wild-type p53. Stathmin could be a potential anti-tumor therapeutic target in oral squamous cell carcinoma PMID: 28806997
- Results suggest that Stathmin 1 (STMN1) plays an important role in cell proliferation and migration. PMID: 27349455
- STMN1 expression was higher in basal-type cell lines than in luminal-type cell lines, and overall survival and post-progression survival in the high STMN1 expression breast cancer patients were shorter than in low STMN1 expression patients. High STMN1 expression is a possible marker of breast cancer aggressiveness in association with proliferation, phenotype and cancer stem cell type PMID: 28766688
- we found upregulated expression of STMN1 in the atypical/anaplastic meningioma group, relative to that in the benign meningioma group. STMN1, therefore, is a promising target to improve cure rates in meningioma cases. PMID: 28625575
- An increased risk of sporadic atypical meningioma recurrence can be found in cases with elevated expression of STMN1. PMID: 28622584
- The miR-34a/STMN1/betaIII-tubulin axis maintains the microtubule cytoskeleton in osteosarcoma, and combining miR-34a with microtubule inhibitors can be investigated as a novel therapeutic strategy. PMID: 28275089
- These findings suggest that Cdc2 is positively associatd with the development of taxol resistance. The Cdc2 inhibitor, purvalanol A, enhanced the cytotoxic effects of taxol through Op18/stathmin. PMID: 28534969
- these results showed that stathmin expression was significantly up-regulated in LAC, which may act as a biomarker for LAC. Furthermore, silence of stathmin inhibiting LAC cell growth indicated that stathmin may be a promising molecular target for LAC therapy. PMID: 27494889
- Increased stathmin correlated with pathologic grade, lymphatic invasion, advanced stage and poor survival of non-small cell lung cancer (NSCLC), which indicated that stathmin could serve as a potential biomarker of NSCLC PMID: 28282798
- Results showed that patients with cancer displayed a higher stathmin expression than those of non-cancer individuals, and overexpression of stathmin correlated with tumor cell differentiation, lymph node invasion and high TNM stage. [review] PMID: 27806343
- High STMN1 Expression Is Associated with Tumor Differentiation and Metastasis in Pancreatic Cancer. PMID: 29374725
- miR-223 might serve as an onco-suppressor that enhances susceptibility to docetaxel by downregulating STMN1 in gallbladder cancer, highlighting its promising therapeutic value. PMID: 27577078
- overexpression correlates with poorer prognosis and interacts with p53 in oral squamous cell carcinoma PMID: 27591090
- study elucidated a novel Malat1-miR-101-STMN1/RAB5A/ATG4D regulatory network that Malat1 activates autophagy and promotes cell proliferation by sponging miR-101 and upregulating STMN1, RAB5A and ATG4D expression in glioma cells PMID: 28834690
- STMN1 gene and miRNA-223 expression profiles in non-tumor liver tissues were predictive of the risk for multicentric hepatocellular carcinoma recurrence. PMID: 28982915
- The crucial role of FOXM1 and STMN1 in TKI-induced enrichment of CSC and drug resistance was demonstrated by knockdown of STMN1 and FOXM1 in NSCLC cells. PMID: 28850563
- Our finding demonstrates that RSK2 directly phosphorylates stathmin and regulates microtubule polymerization to provide a pro-invasive and pro-metastatic advantage to cancer cells. Therefore, the RSK2-stathmin pathway represents a promising therapeutic target and a prognostic marker for metastatic human cancers. PMID: 27041561
- stathmin expression was significantly associated with shorter progression-free survival and overall survival for all analyzed cases of endometrial cancer; findings demonstrate that high stathmin expression is a poor prognostic marker in endometrial cancer PMID: 28532857
- STMN1 is a possible biomarker for paclitaxel sensitivity and poor prognosis in gastric cancer (GC) and could be a novel therapeutic target in metastatic GC. PMID: 28334732
- STMN1,COF1 and PAIRBP1 thus represent proteins associated with proliferative and aggressive tumors of high grades, while TSP2 and POSTN were connected to low grade tumors with better prognosis PMID: 28216224
- The phosphorylation-specific association of STMN1 with GRP78 promotes breast cancer metastasis. PMID: 27130664
- hese results suggested that STMN1 plays an important role in proliferation and migration of hypopharyngeal squamous cell carcinoma and may be used as a potential prognostic biomarker or therapeutic target of hypopharyngeal squamous cell carcinoma (HSCC) . PMID: 27878293
- High STMN1 expression is associated with invasion in endometrial carcinoma. PMID: 26815505
- High expression of stathmin 1 predicts poor outcome in oral squamous cell carcinoma patients treated by docetaxel-containing regimens. PMID: 26590596
- The expressions of TYMS, TUBB3 and STMN1 were significantly associated with the clinicopathological characteristics of age, gender and family history of gastric cancer, but not with differentiation, growth patterns, metastasis and TNM staging in patients with gastric cancer. PMID: 28056823
- Stathmin is a highly sensitive and specific biomarker for the diagnosis of vulvar high-grade squamous intraepithelial lesions. PMID: 27226646
- STMN1 silencing by siRNA may enhance the sensitivity of esophageal cancer cells Eca-109 to paclitaxel and induce apoptosis. PMID: 26782519
- SNP in STMN1 gene may have a potential predictive role in taxane-based chemotherapy in advanced non-small cell lung cancer. PMID: 26148901
- After silencing stathmin-1 in gastric cancer cells, the resistance index was reduced. PMID: 26802649
- Results show that the STMN1-E/P/C signature is a reliable prognostic indicator for luminal subtype breast cancer and may predict the therapeutic response to paclitaxel-based treatments, potentially facilitating individualized management. PMID: 26087399
- STMN1 may play an important role in the development and tumor progression of cutaneous squamous cell carcinoma PMID: 26235036
- Studies indicate that phosphorylation of stathmin controls its biological activity by reducing its affinity for tubulin and hence preventing microtubule disassembly. PMID: 26450904
- FANCC interacts and co-localizes with STMN1 at centrosomes during mitosis. We also showed that FANCC is required for STMN1 phosphorylation. PMID: 26466335
- PDAC patients with higher STMN1 expression died sooner than those with lower STMN1 expression. PMID: 25791566
- stathmin-1 may play a key role in regulating trophoblast invasion PMID: 26272359
- These results suggest that SEPTIN2-mediated cytoskeletal rearrangement and STATHMIN-mediated differentiation may contribute to changes in cell morphology and differentiation of H/RS cells with CD99 upregulation in Hodgkin lymphoma. PMID: 26000982
- miR-223 regulates STMN1 in malignant pleural mesothelioma, and both are in turn regulated by the JNK signaling pathway. As such, miR-223 and STMN1 play an important role in regulating MPM cell motility. PMID: 25824152
- Report that STMN1 is a highly sensitive marker for leiomyosarcoma but is suboptimally specific for diagnostic purposes. PMID: 26045786
- MiR-101 sensitizes human nasopharyngeal carcinoma cells to radiation by targeting stathmin 1 PMID: 25607713
- High level of stathmin exhibited poor response to chemotherapy (for mRNA, P = 0.041; for protein, P = 0.017). Overexpression of stathmin was associated with shorter overall survival (for mRNA, P = 0.012) and progression-free survival PMID: 25894372
- STMN1 overexpression is associated with drug resistance in esophageal squamous cell carcinoma. PMID: 25944168
顯示更多
收起更多
-
亞細胞定位:Cytoplasm, cytoskeleton.
-
蛋白家族:Stathmin family
-
組織特異性:Ubiquitous. Expression is strongest in fetal and adult brain, spinal cord, and cerebellum, followed by thymus, bone marrow, testis, and fetal liver. Expression is intermediate in colon, ovary, placenta, uterus, and trachea, and is readily detected at subs
-
數據庫鏈接:
Most popular with customers
-
-
YWHAB Recombinant Monoclonal Antibody
Applications: ELISA, WB, IHC, IF, FC
Species Reactivity: Human, Mouse, Rat
-
Phospho-YAP1 (S127) Recombinant Monoclonal Antibody
Applications: ELISA, WB, IHC
Species Reactivity: Human
-
-
-
-
-















