STK4 Antibody
-
中文名稱:STK4兔多克隆抗體
-
貨號:CSB-PA192084
-
規格:¥1100
-
圖片:
-
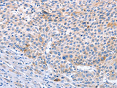
The image on the left is immunohistochemistry of paraffin-embedded Human liver cancer tissue using CSB-PA192084(STK3/STK4 Antibody) at dilution 1/70, on the right is treated with synthetic peptide. (Original magnification: ×200)
-
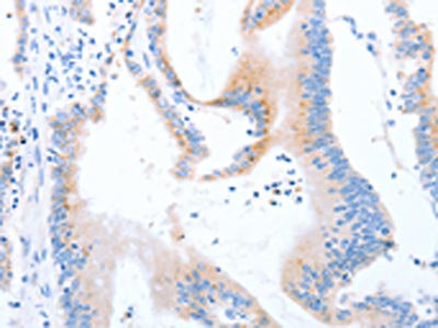
The image on the left is immunohistochemistry of paraffin-embedded Human colon cancer tissue using CSB-PA192084(STK3/STK4 Antibody) at dilution 1/70, on the right is treated with synthetic peptide. (Original magnification: ×200)
-
Gel: 6%SDS-PAGE, Lysate: 40 μg, Lane 1-3: Human bladder carcinoma tissue, A172 cells, human brain malignant glioma tissue, Primary antibody: CSB-PA192084(STK3/STK4 Antibody) at dilution 1/1000, Secondary antibody: Goat anti rabbit IgG at 1/8000 dilution, Exposure time: 10 seconds
-
-
其他:
產品詳情
-
Uniprot No.:
-
基因名:
-
別名:Kinase responsive to stress antibody; Krs2 antibody; Mammalian STE20 like protein kinase 1 antibody; Mammalian STE20-like protein kinase 1 antibody; Mammalian sterile 20 like 1 antibody; MST-1 antibody; MST1 antibody; Serine/threonine kinase 4 antibody; Serine/threonine protein kinase Krs 2 antibody; Serine/threonine-protein kinase 4 antibody; Serine/threonine-protein kinase Krs-2 antibody; STE20 like kinase MST1 antibody; STE20-like kinase MST1 antibody; STK4 antibody; STK4_HUMAN antibody; TIIAC antibody; YSK3 antibody
-
宿主:Rabbit
-
反應種屬:Human,Mouse
-
免疫原:Synthetic peptide of Human STK3/STK4
-
免疫原種屬:Homo sapiens (Human)
-
標記方式:Non-conjugated
-
抗體亞型:IgG
-
純化方式:Antigen affinity purification
-
濃度:It differs from different batches. Please contact us to confirm it.
-
保存緩沖液:-20°C, pH7.4 PBS, 0.05% NaN3, 40% Glycerol
-
產品提供形式:Liquid
-
應用范圍:ELISA,WB,IHC
-
推薦稀釋比:
Application Recommended Dilution ELISA 1:2000-1:5000 WB 1:500-1:2000 IHC 1:50-1:200 -
Protocols:
-
儲存條件:Upon receipt, store at -20°C or -80°C. Avoid repeated freeze.
-
貨期:Basically, we can dispatch the products out in 1-3 working days after receiving your orders. Delivery time maybe differs from different purchasing way or location, please kindly consult your local distributors for specific delivery time.
-
用途:For Research Use Only. Not for use in diagnostic or therapeutic procedures.
相關產品
靶點詳情
-
功能:Stress-activated, pro-apoptotic kinase which, following caspase-cleavage, enters the nucleus and induces chromatin condensation followed by internucleosomal DNA fragmentation. Key component of the Hippo signaling pathway which plays a pivotal role in organ size control and tumor suppression by restricting proliferation and promoting apoptosis. The core of this pathway is composed of a kinase cascade wherein STK3/MST2 and STK4/MST1, in complex with its regulatory protein SAV1, phosphorylates and activates LATS1/2 in complex with its regulatory protein MOB1, which in turn phosphorylates and inactivates YAP1 oncoprotein and WWTR1/TAZ. Phosphorylation of YAP1 by LATS2 inhibits its translocation into the nucleus to regulate cellular genes important for cell proliferation, cell death, and cell migration. STK3/MST2 and STK4/MST1 are required to repress proliferation of mature hepatocytes, to prevent activation of facultative adult liver stem cells (oval cells), and to inhibit tumor formation. Phosphorylates 'Ser-14' of histone H2B (H2BS14ph) during apoptosis. Phosphorylates FOXO3 upon oxidative stress, which results in its nuclear translocation and cell death initiation. Phosphorylates MOBKL1A, MOBKL1B and RASSF2. Phosphorylates TNNI3 (cardiac Tn-I) and alters its binding affinity to TNNC1 (cardiac Tn-C) and TNNT2 (cardiac Tn-T). Phosphorylates FOXO1 on 'Ser-212' and regulates its activation and stimulates transcription of PMAIP1 in a FOXO1-dependent manner. Phosphorylates SIRT1 and inhibits SIRT1-mediated p53/TP53 deacetylation, thereby promoting p53/TP53 dependent transcription and apoptosis upon DNA damage. Acts as an inhibitor of PKB/AKT1. Phosphorylates AR on 'Ser-650' and suppresses its activity by intersecting with PKB/AKT1 signaling and antagonizing formation of AR-chromatin complexes.
-
基因功能參考文獻:
- hWW45 is required to enhance MST1-mediated apoptosis in vivo and thus is a critical player in an MST1-driven cell death signaling pathway. PMID: 19212654
- MST1-FOXO1 signaling is an important link survival factor deprivation-induced neuronal cell death PMID: 19221179
- hSav1 is a newly identified protein that interacts with Mst1 and augments Mst1-mediated apoptosis. PMID: 19950692
- tolerance to increased levels of intracellular ROS provided by the Mst1-FoxOs signaling pathway is crucial for the maintenance of naive T cell homeostasis in the periphery PMID: 19956688
- The identified Mst1 as a binding partner that interacts with PHLPPs both in vivo and in vitro. PHLPPs dephosphorylate Mst1 on the T387 inhibitory site, which activate Mst1 and its downstream effectors p38 and JNK to induce apoptosis. PMID: 20513427
- H2AX is a substrate of MST1, which functions to induce apoptotic chromatin condensation and DNA fragmentation PMID: 20921231
- novel regulatory mechanism involving the phosphorylation of Sirt1 by MST1 kinase which leads to p53 activation, with implications for our understanding of signaling mechanisms during DNA damage-induced apoptosis PMID: 21212262
- Phage microarrays containing colorectal cancer cDNA libraries were prepared to identify phage-expressed peptides recognized by tumor-specific autoantibodies from patient sera. PMID: 21228115
- Mst1 exhibits a growth promoting activity in HCC cells upon NORE1B downregulation. PMID: 23347832
- Mst1 inactivates Prdx1 by phosphorylating it at Thr-90 and Thr-183, leading to accumulation of hydrogen peroxide in cells. PMID: 23386615
- results suggest that Mst1 coordinately regulates autophagy and apoptosis by phosphorylating Beclin1 and consequently modulating a three-way interaction among Bcl-2 proteins, Beclin1 and Bax PMID: 24141421
- MYC, in concert with EZH2, epigenetically attenuates MST1 expression and suggest that the loss of MST1/Hippo functions is critical for the MYC or EZH2 mediation of cancer cell survival. PMID: 24499724
- hMOB3 modulates MST1 apoptotic signaling and supports tumor growth in glioblastoma multiforme. PMID: 24872389
- MST1 protein gene expression is a prognostic indicator for patients diagnosed with colorectal cancer. PMID: 24976283
- Results suggest that Mst1 regulates proliferation of glioma cells via AKT/mTOR signaling pathway PMID: 25373346
- results suggest that the decreased expression of MST1 in regulatory T cells due to hypermethylation of the promoter contributes to the pathogenesis of IgG4-related AIP PMID: 26056943
- deacetylation of MST1 mediated by HBXIP-enhanced HDAC6 results in MST1 degradation in a chaperone-mediated autophagy (CMA) manner in promotion of breast cancer growth. PMID: 26657153
- Study found that MST1 is strongly activated in a diabetic beta cell and induces not only its death but also directly impairs insulin secretion through promoting proteasomal degradation of key beta cell transcription factor, pancreatic and duodenal homeobox 1 (PDX1), which is critical for insulin production. PMID: 27053234
- Mst1-induced defective mitophagy evoked cellular oxidative stress, energy metabolism and calcium overload. Through excessive mitochondrial fission and aberrant mitophagy, Mst1 launched caspase 9-related mitochondrial apoptosis and abrogated F-actin/lamellipodium-dependent cellular migration. PMID: 29448246
- MST1 and hMOB1 signaling controls centrosome duplication. PMID: 19836237
- MST1 directly phosphorylated Aurora B and inhibited its kinase activity in vitro; depletion of Aurora B restored the stability of kinetochore-microtubule attachment in cells depleted of MST1 or NDR1. PMID: 20171103
- In a yeast two-hybrid screen of a heart cDNA library with Mst1 as bait, glyceraldehyde-3-phosphate dehydrogenase (GAPDH) was identified as an Mst1-interacting protein. PMID: 23527007
- Phosphorylated by the MST1. PMID: 23893242
- In the present study, we investigated the expression of activated core Hippo pathway kinases (pMST1/2 and pLATS1/2) in a series of 57 HER2-positve and triple-negative breast cancer patients who received neoadjuvant therapy . PMID: 28387539
- MST1 plays a tumor suppressive role and is a prognostic factor in human breast cancer. PMID: 23737290
- Our data unveiled the role of MST1 as a negative feedback for TGFbeta1 and EGFregulated endometrial cancer cell invasiveness, migration and proliferation. PMID: 24841766
- Mst1 increases the acetylation of Foxp3 by inhibiting Sirt1 activity, which requires the Mst1 kinase activity. PMID: 26538561
- our results identified that mammalian sterile 20-like kinase 1 is a novel downstream target of pyruvate kinase M2, and knockdown of pyruvate kinase M2 contributes apoptosis via promoting nuclear translocation of mammalian sterile 20-like kinase 1 by enhancing Caspase-3-dependent cleavage. PMID: 28656802
- Mst1 as a novel physiological negative regulator of IRF3 activation provides mechanistic insights into innate antiviral defense and potential antiviral prevention strategies. PMID: 27125670
- Data indicate that two siblings with a serine/threonine kinase 4 (STK4) mutation with features of autosomal recessive (AR) hyperimmunoglobulin E syndrome and autoimmune cytopenias. PMID: 26117625
- STK4 was reduced in macrophages from human hepatoma patients and was inversely associated with the levels of IRAK1, IL-6, and phospho-p65 or phospho-STAT3. Serum STK4 levels were specifically decreased in HCC patients with high levels of IL-6. PMID: 26457732
- the kinase Mst1 controls selective CCR7-dependent functions in human mature dendritic cells. PMID: 26116501
- Genetic inactivation of STK4 restores YAP1 levels, triggering cell death in hematologic malignancies. PMID: 24813251
- Inhibition of Mst1 kinase activation in cardiomyocytes protects against cell hypoxia. PMID: 23647599
- Under diabetogenic conditions, MST1 was strongly activated in beta cells, and induced apoptosis via BIM upregulation, and impaired insulin secretion via phosphorylation of PDX1. PMID: 24633305
- PHLPP1 is a binding protein for Mst1 and it modulates the Hippo pathway by dephosphorylating Mst1 at the inhibitory Thr(387) of Mst1. PMID: 24393845
- Results indicated that Mst1 might be a promising anticancer target. PMID: 23419720
- Low expression of MST1 may be related with the pathogenesis and prognosis of acute leukemia. PMID: 22739148
- Data suggest that phosphoinositide-3-kinase/Akt and mammalian target of rapamycin (mTOR) pathway signaling differentially regulate phospho-Mst1-Thr-120/Thr-183. PMID: 22619175
- MST1 mutations in autosomal recessive primary immunodeficiency characterized by defective naive T-cell survival. PMID: 22174160
- STK4 deficiency is a novel human primary immunodeficiency syndrome. PMID: 22294732
- Data indicate that dimerization domain of MST1 is unstructured as monomer and undergoes dimerization-induced folding. Data indicate that inhibitory domain of MST1 is disordered region both as single domain and as construct with dimerization domain. PMID: 22112013
- results show a novel PRX-I function to cause cell death in response to high levels of oxidative stress by activating MST1, which underlies the p53-dependent cytotoxicity caused by anticancer agents PMID: 21516123
- Findings show a biological role for MICAL-1 in apoptosis and define a novel negative regulatory mechanism of MST-NDR signaling. PMID: 21730291
- MST1 was also found in androgen receptor (AR)-chromatin complexes, and enforced expression of MST1 reduced the binding of AR to a well-characterized, androgen-responsive region within the prostate-specific antigen promo PMID: 21512132
- Studies provide new insights into how MST1 substrate selectivity is modulated with implications for understanding apoptotic signaling through MST1 kinase. PMID: 18510339
- these findings indicate that MST1 is a major determinant of RASSF2 protein stability, and suggest that RASSF2 acts in a complex manner that extends beyond simple protein-protein association to play an important role in MST1 regulation. PMID: 19962960
- Caspase-catalyzed cleavage and activation of Mst1 correlates with eosinophil but not neutrophil apoptosis. PMID: 11964314
- promotion of MST1-induced apoptosis by DAP4 by enabling colocalization of MST with p53 PMID: 12384512
- Mammalian Sterile20-like kinase 1 has a role in the regulation of apoptosis [review] PMID: 15157167
顯示更多
收起更多
-
相關疾病:T-cell immunodeficiency, recurrent infections, and autoimmunity with or without cardiac malformations (TIIAC)
-
亞細胞定位:Cytoplasm. Nucleus. Note=The caspase-cleaved form cycles between the nucleus and cytoplasm.
-
蛋白家族:Protein kinase superfamily, STE Ser/Thr protein kinase family, STE20 subfamily
-
組織特異性:Expressed in prostate cancer and levels increase from the normal to the malignant state (at protein level). Ubiquitously expressed.
-
數據庫鏈接:
Most popular with customers
-
-
YWHAB Recombinant Monoclonal Antibody
Applications: ELISA, WB, IHC, IF, FC
Species Reactivity: Human, Mouse, Rat
-
Phospho-YAP1 (S127) Recombinant Monoclonal Antibody
Applications: ELISA, WB, IHC
Species Reactivity: Human
-
-
-
-
-















