STK36 Antibody
-
中文名稱:STK36兔多克隆抗體
-
貨號:CSB-PA065668
-
規格:¥1100
-
圖片:
-
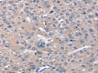
The image on the left is immunohistochemistry of paraffin-embedded Human liver cancer tissue using CSB-PA065668(STK36 Antibody) at dilution 1/20, on the right is treated with synthetic peptide. (Original magnification: ×200)
-
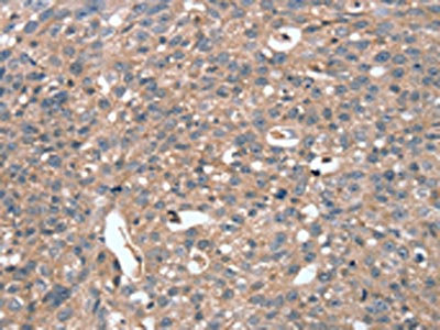
The image on the left is immunohistochemistry of paraffin-embedded Human breast cancer tissue using CSB-PA065668(STK36 Antibody) at dilution 1/20, on the right is treated with synthetic peptide. (Original magnification: ×200)
-
-
其他:
產品詳情
-
Uniprot No.:
-
基因名:STK36
-
別名:FU antibody; Fused homolog antibody; KIAA1278 antibody; Serine/threonine kinase 36, fused homolog antibody; Serine/threonine protein kinase 36 fused homolog antibody; Serine/threonine-protein kinase 36 antibody; STK36 antibody; STK36_HUMAN antibody
-
宿主:Rabbit
-
反應種屬:Human
-
免疫原:Synthetic peptide of Human STK36
-
免疫原種屬:Homo sapiens (Human)
-
標記方式:Non-conjugated
-
抗體亞型:IgG
-
純化方式:Antigen affinity purification
-
濃度:It differs from different batches. Please contact us to confirm it.
-
保存緩沖液:-20°C, pH7.4 PBS, 0.05% NaN3, 40% Glycerol
-
產品提供形式:Liquid
-
應用范圍:ELISA,IHC
-
推薦稀釋比:
Application Recommended Dilution ELISA 1:1000-1:2000 IHC 1:10-1:50 -
Protocols:
-
儲存條件:Upon receipt, store at -20°C or -80°C. Avoid repeated freeze.
-
貨期:Basically, we can dispatch the products out in 1-3 working days after receiving your orders. Delivery time maybe differs from different purchasing way or location, please kindly consult your local distributors for specific delivery time.
-
用途:For Research Use Only. Not for use in diagnostic or therapeutic procedures.
相關產品
靶點詳情
-
功能:Serine/threonine protein kinase which plays an important role in the sonic hedgehog (Shh) pathway by regulating the activity of GLI transcription factors. Controls the activity of the transcriptional regulators GLI1, GLI2 and GLI3 by opposing the effect of SUFU and promoting their nuclear localization. GLI2 requires an additional function of STK36 to become transcriptionally active, but the enzyme does not need to possess an active kinase catalytic site for this to occur. Required for postnatal development, possibly by regulating the homeostasis of cerebral spinal fluid or ciliary function. Essential for construction of the central pair apparatus of motile cilia.
-
基因功能參考文獻:
- Data identified homozygous loss-of-function mutations in STK36 in one PCD-affected individual with situs solitus. Transmission electron microscopy analysis demonstrates that STK36 is required for cilia orientation in human respiratory epithelial cells, with a probable localization of STK36 between the RS and CP. STK36 screening can now be included for this rare and difficult to diagnose PCD subgroup. PMID: 28543983
- Fu ubiquitination and cleavage is one of the key elements connecting the MID1-PP2A protein complex with GLI3 activity control PMID: 25278022
- The FU gene and its genomic structure was identified. PMID: 15268766
-
亞細胞定位:Cytoplasm. Nucleus.
-
蛋白家族:Protein kinase superfamily, Ser/Thr protein kinase family
-
組織特異性:Expressed at low levels in most fetal tissues, adult ovaries and at high levels in adult testis, where it is localized in germ cells.
-
數據庫鏈接:
Most popular with customers
-
-
YWHAB Recombinant Monoclonal Antibody
Applications: ELISA, WB, IHC, IF, FC
Species Reactivity: Human, Mouse, Rat
-
Phospho-YAP1 (S127) Recombinant Monoclonal Antibody
Applications: ELISA, WB, IHC
Species Reactivity: Human
-
-
-
-
-















