STK17A Antibody
-
中文名稱:STK17A兔多克隆抗體
-
貨號:CSB-PA288472
-
規格:¥1100
-
圖片:
-
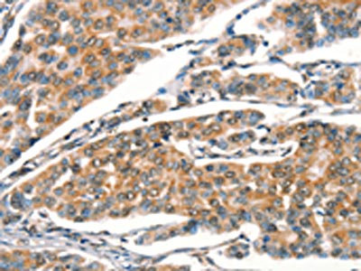
The image on the left is immunohistochemistry of paraffin-embedded Human gastic cancer tissue using CSB-PA288472(STK17A Antibody) at dilution 1/25, on the right is treated with synthetic peptide. (Original magnification: ×200)
-
The image on the left is immunohistochemistry of paraffin-embedded Human breast cancer tissue using CSB-PA288472(STK17A Antibody) at dilution 1/25, on the right is treated with synthetic peptide. (Original magnification: ×200)
-
Gel: 10%SDS-PAGE, Lysate: 40 μg, Lane 1-2: Raji cells, 293T cells, Primary antibody: CSB-PA288472(STK17A Antibody) at dilution 1/900, Secondary antibody: Goat anti rabbit IgG at 1/8000 dilution, Exposure time: 1 minute
-
-
其他:
產品詳情
-
Uniprot No.:
-
基因名:STK17A
-
別名:DAP kinase-related apoptosis-inducing protein kinase 1 antibody; death-associated protein kinase-related 1 antibody; DRAK1 antibody; EC 2.7.11.1 antibody; Serine / threonine kinase 17a death associated protein kinase related 1 antibody; Serine/threonine kinase 17a antibody; Serine/threonine protein kinase 17a antibody; Serine/threonine-protein kinase 17A antibody; ST17A_HUMAN antibody; STK17 A antibody; STK17A antibody
-
宿主:Rabbit
-
反應種屬:Human
-
免疫原:Synthetic peptide of Human STK17A
-
免疫原種屬:Homo sapiens (Human)
-
標記方式:Non-conjugated
-
抗體亞型:IgG
-
純化方式:Antigen affinity purification
-
濃度:It differs from different batches. Please contact us to confirm it.
-
保存緩沖液:-20°C, pH7.4 PBS, 0.05% NaN3, 40% Glycerol
-
產品提供形式:Liquid
-
應用范圍:ELISA,WB,IHC
-
推薦稀釋比:
Application Recommended Dilution ELISA 1:2000-1:5000 WB 1:500-1:2000 IHC 1:25-1:100 -
Protocols:
-
儲存條件:Upon receipt, store at -20°C or -80°C. Avoid repeated freeze.
-
貨期:Basically, we can dispatch the products out in 1-3 working days after receiving your orders. Delivery time maybe differs from different purchasing way or location, please kindly consult your local distributors for specific delivery time.
-
用途:For Research Use Only. Not for use in diagnostic or therapeutic procedures.
相關產品
靶點詳情
-
功能:Acts as a positive regulator of apoptosis. Also acts as a regulator of cellular reactive oxygen species.
-
基因功能參考文獻:
- These findings suggest that DRAK1 translocates in response to stimuli and induces apoptosis through its interaction with specific binding partners, p53 and/or ANT2. PMID: 29397938
- the present study was the first to find localization of STK17A in normal bile canaliculi. PMID: 26305096
- DRAK1 was predominantly localized in the cytoplasm and bound to Smad3, thereby interrupting Smad3/Smad4 complex formation, which is the core process for the induction of tumor suppressor genes by TGF-beta1 PMID: 25531329
- STK17A provides a proliferative and survival advantage to GBM cells PMID: 24312360
- When analyzing STK17A haplotypes distribution, we found association between TGGTC, TAGTC and AAGAT haplotypes and risk to develop SLE PMID: 23860322
- identified STK17A as a novel direct target of p53 and a modulator of cisplatin toxicity and reactive oxygen species in testicular cancer cells. PMID: 21489989
顯示更多
收起更多
-
亞細胞定位:Nucleus.
-
蛋白家族:Protein kinase superfamily, CAMK Ser/Thr protein kinase family, DAP kinase subfamily
-
組織特異性:Highly expressed in placenta. Lower levels in heart, lung, skeletal muscle, kidney and pancreas.
-
數據庫鏈接:
Most popular with customers
-
-
YWHAB Recombinant Monoclonal Antibody
Applications: ELISA, WB, IHC, IF, FC
Species Reactivity: Human, Mouse, Rat
-
Phospho-YAP1 (S127) Recombinant Monoclonal Antibody
Applications: ELISA, WB, IHC
Species Reactivity: Human
-
-
-
-
-















