STIP1 Antibody
-
中文名稱:STIP1兔多克隆抗體
-
貨號:CSB-PA022831HA01HU
-
規格:¥440
-
圖片:
-
Western blot
All lanes: STIP1 antibody at 12µg/ml
Lane 1: Hela whole cell lysate
Lane 2: HepG2 whole cell lysate
Lane 3: NIH/3T3 whole cell lysate
Lane 4: Jurkat whole cell lysate
Lane 5: Rat gonadal tissue
Secondary
Goat polyclonal to rabbit IgG at 1/10000 dilution
Predicted band size: 63, 69, 60 kDa
Observed band size: 63 kDa -
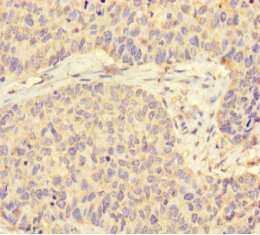
Immunohistochemistry of paraffin-embedded human ovarian cancer using CSB-PA022831HA01HU at dilution of 1:100
-
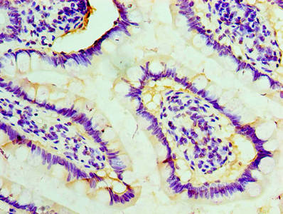
Immunohistochemistry of paraffin-embedded human small intestine tissue using CSB-PA022831HA01HU at dilution of 1:100
-
-
其他:
產品詳情
-
產品名稱:Rabbit anti-Homo sapiens (Human) STIP1 Polyclonal antibody
-
Uniprot No.:
-
基因名:STIP1
-
別名:Epididymis secretory sperm binding protein Li 94n antibody; HEL S 94n antibody; Hop antibody; Hsc70/Hsp90 organizing protein antibody; Hsc70/Hsp90-organizing protein antibody; IEF SSP 3521 antibody; NY REN 11 antigen antibody; P60 antibody; Renal carcinoma antigen NY-REN-11 antibody; STI1 antibody; STI1L antibody; STIP1 antibody; STIP1_HUMAN antibody; Stress induced phosphoprotein 1 antibody; Stress-induced-phosphoprotein 1 antibody; Transformation sensitive protein IEF SSP 3521 antibody; Transformation-sensitive protein IEF SSP 3521 antibody
-
宿主:Rabbit
-
反應種屬:Human, Mouse, Rat
-
免疫原:Recombinant Human Stress-induced-phosphoprotein 1 protein (1-543AA)
-
免疫原種屬:Homo sapiens (Human)
-
標記方式:Non-conjugated
本頁面中的產品,STIP1 Antibody (CSB-PA022831HA01HU),的標記方式是Non-conjugated。對于STIP1 Antibody,我們還提供其他標記。見下表:
-
克隆類型:Polyclonal
-
抗體亞型:IgG
-
純化方式:>95%, Protein G purified
-
濃度:It differs from different batches. Please contact us to confirm it.
-
保存緩沖液:Preservative: 0.03% Proclin 300
Constituents: 50% Glycerol, 0.01M PBS, PH 7.4 -
產品提供形式:Liquid
-
應用范圍:ELISA, WB, IHC
-
推薦稀釋比:
Application Recommended Dilution WB 1:500-1:5000 IHC 1:20-1:200 -
Protocols:
-
儲存條件:Upon receipt, store at -20°C or -80°C. Avoid repeated freeze.
-
貨期:Basically, we can dispatch the products out in 1-3 working days after receiving your orders. Delivery time maybe differs from different purchasing way or location, please kindly consult your local distributors for specific delivery time.
-
用途:For Research Use Only. Not for use in diagnostic or therapeutic procedures.
相關產品
靶點詳情
-
功能:Acts as a co-chaperone for HSP90AA1. Mediates the association of the molecular chaperones HSPA8/HSC70 and HSP90.
-
基因功能參考文獻:
- The G/G allele of stress induced phosphoprotein 1(STIP1) single nucleotide polymorphism rs4980524 is associated with the increased expression of STIP1 in endometriosis PMID: 29673672
- Significant genetic association was identified at the rs2236647 (T/C) SNP in STIP1 and risk of asthma (p < 0.001). The C allele and CC genotype of this SNP were significantly higher in asthmatics compared with controls. PMID: 29749828
- Functional studies showed that STIP1 promoted the growth, colony formation and migration of cancer cells. However, knocking down the expression of STIP1 inhibited the growth, colony formation and migration of cancer cells. PMID: 29596884
- In vitro experiments revealed that STIP1 was capable of binding to the MMP-9 promoter and enhanced its transcriptional expression PMID: 29304094
- STIP1 modulates the function of the HSP90-JAK2-STAT3 complex PMID: 27409672
- Hsp70/Hsp90-organizing protein promoter activity was highest in Hs578T which expressed mutant or inactive p53. HRAS activation of the Hsp70/Hsp90-organizing protein promoter was inhibited by p53 overexpression. PMID: 27987076
- the modulation of HOP-PrP(C) engagement or the decrease of PrP(C) and HOP expression may represent a potential therapeutic intervention in glioblastoma. PMID: 28412969
- In conclusion, STIP1 is upregulated in HCC and associated with poor clinical prognosis. Blocking STIP1 activity suppresses HCC cell growth, providing the rationale for STIP1 as a potential therapeutic target in HCC. PMID: 28887036
- Data suggest that calcium signaling plays important role in prevention of protein misfolding; complexes of S100A1 and STIP1 are key players in this pathway; the stoichiometry of S100A1/STIP1 interaction appears to be three S100A1 dimers plus one STIP1 monomer; each S100A1-STIP1-binding interaction is entropically driven. (S100A1 = S100 calcium binding protein A1; STIP1 = stress-induced-phosphoprotein 1) [REVIEW] PMID: 28819010
- Results indicte the great potential of STIP1 (stress-induced phosphoprotein 1) as a biomarker and therapeutic target in renal cell carcinoma (RCC) bone metastasis. PMID: 28199984
- Data suggest that three dimers of S100A1 (S100 calcium binding protein A1) associate with one molecule of STIP1 (stress-inducible phosphoprotein 1) in a calcium-dependent manner; individual STIP1 TPR (tetratricopeptide repeat) domains, TPR1, TPR2A and TPR2B, bind a single S100A1 dimer with significantly different affinities; TPR2B domain possesses highest affinity for S100A1. PMID: 28408431
- Data confirmed the significant up-regulation of STIP1 in tumorous cholangiocytes relative to normal hepatocytes and non-tumorous cells and show prooved it as a reliable diagnostic biomarker when using immunohistochemistry. PMID: 25034945
- STIP1 and moesin may be novel and differential sero-diagnostic markers for psoriasis vulgaris and psoriatic arthritis PMID: 25010044
- Stip1 has a role in the male reproductive system and is expressed during the stress response PMID: 25311551
- Increased STIP1 expression is associated with poor survival outcome in epithelial ovarian cancer (EOC), and STIP1 may represent a useful therapeutic target in EOC patients. PMID: 24488757
- our findings provide evidences that positive expression of STIP1 in papillary thyroid carcinoma may be important in the acquisition of an aggressive phenotype PMID: 24163084
- These results indicate that HOP is a unique co-chaperone that undergoes an ATP-dependent conformational change. PMID: 24535459
- STIP1 histoscores may be useful in detecting invasive human ovarian cancer in patients with low serum CA125 levels. PMID: 23915849
- stress-inducible protein-1 has a role in recruitment of bone marrow derived cells into the ischemic brains PMID: 23836498
- results show phosphorylation of the C-terminal region of Hsp70 and Hsp90 is critical for the decision between folding or degradation of client proteins by altering the binding of CHIP and HOP; also show increased phosphorylation in cancer cells with increased levels of the co-chaperone HOP PMID: 22824801
- Luminal iron levels govern intestinal tumorigenesis after Apc loss in vivo. PMID: 22884369
- HOP as a novel regulator of angiogenesis that functions through promoting vascular endothelial cell polarization and migration PMID: 22558459
- STIP-1 is an antigenic target in cultured hippocampal neurons in sera and/or cerebrospinal fluids of patients with neuro-Behcet's disease. PMID: 21875754
- We found no genome-wide statistically significant associations but identified several plausible candidate genes among findings at p < 5E-05: STIP1, TMEM132D, LRRC7, SEMA3A, and ALK. PMID: 21784300
- High STIP1 is associated with pancreatic Cancer. PMID: 21470770
- This study has revealed that Rho GDP-dissociation inhibitor 2, Y-box binding protein 1, and the HSP70/90 organizing protein have a critical role to play in resistance to cyclin-depedent kinases inhibitor. PMID: 21067243
- show that stress-induced phosphoprotein 1 (STIP1) was secreted by ovarian cancer tissues into the peripheral blood of patients, resulting in a significant increase of serum levels of STIP1 in cancer patients compared with those in normal controls PMID: 20501939
- Presented: Hop-D456G, a Hop mutant within the TPR2B-domain, that is a mixture of monomeric and dimeric species, suggesting the TPR2B-domain may also play a role in dimerization. PMID: 19961430
- Sedimentation equilibrium AUC clearly shows that HOP is a monomer, with no indication of higher MW species. An in vivo coexpression assay that also supports the conclusion that HOP is a monomer. PMID: 19866486
- TPR1 and TPR2A domains of the Hsp70/Hsp90 adapter protein p60/Hop specifically bind to short peptides corresponding to the C-terminal tails of Hsp70 and Hsp90 PMID: 11877417
- Hsp70/Hsp90 organizing protein (Hop) coordinates Hsp70 and Hsp90 interactions during assembly of steroid receptor complexes. PMID: 15632128
- STI1 is secreted by and induces proliferation in glioma cells, an effect that is modulated by the Erk and PI3K pathways. STI1 does not induce proliferation of normal glia, in contrast to glioma cells. PMID: 17886292
- It is likely that Hop binds to both monomers of Hsp90 in the form of a clamp, interacting with residues in the middle domain of Hsp90, preventing ATP hydrolysis, possibly by the preventing binding of N-terminal and middle domains in Hsp90 monomers. PMID: 18485364
- STIP1 genetic variations might play a role in regulating corticosteroid response in asthmatic subjects with reduced lung function. PMID: 19254810
顯示更多
收起更多
-
亞細胞定位:Cytoplasm. Nucleus. Dynein axonemal particle.
-
數據庫鏈接:
Most popular with customers
-
-
YWHAB Recombinant Monoclonal Antibody
Applications: ELISA, WB, IHC, IF, FC
Species Reactivity: Human, Mouse, Rat
-
Phospho-YAP1 (S127) Recombinant Monoclonal Antibody
Applications: ELISA, WB, IHC
Species Reactivity: Human
-
-
-
-
-















