STAT5B Antibody
-
中文名稱:STAT5B兔多克隆抗體
-
貨號:CSB-PA699319
-
規格:¥1100
-
圖片:
-
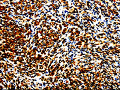
The image is immunohistochemistry of paraffin-embedded Human lymphoma tissue using CSB-PA699319(STAT5B Antibody) at dilution 1/10. (Original magnification: ×200)
-
The image is immunohistochemistry of paraffin-embedded Human breast cancer tissue using CSB-PA699319(STAT5B Antibody) at dilution 1/10. (Original magnification: ×200)
-
-
其他:
產品詳情
-
Uniprot No.:
-
基因名:
-
別名:Signal transducer and activator of transcription 5B antibody; STA5B_HUMAN antibody; STAT5 antibody; Stat5b antibody; Transcription factor STAT5B antibody
-
宿主:Rabbit
-
反應種屬:Human,Mouse,Rat
-
免疫原:Fusion protein of Human STAT5B
-
免疫原種屬:Homo sapiens (Human)
-
標記方式:Non-conjugated
-
抗體亞型:IgG
-
純化方式:Antigen affinity purification
-
濃度:It differs from different batches. Please contact us to confirm it.
-
保存緩沖液:-20°C, pH7.4 PBS, 0.05% NaN3, 40% Glycerol
-
產品提供形式:Liquid
-
應用范圍:ELISA,IHC
-
推薦稀釋比:
Application Recommended Dilution ELISA 1:500-1:10000 IHC 1:10-1:50 -
Protocols:
-
儲存條件:Upon receipt, store at -20°C or -80°C. Avoid repeated freeze.
-
貨期:Basically, we can dispatch the products out in 1-3 working days after receiving your orders. Delivery time maybe differs from different purchasing way or location, please kindly consult your local distributors for specific delivery time.
-
用途:For Research Use Only. Not for use in diagnostic or therapeutic procedures.
相關產品
靶點詳情
-
功能:Carries out a dual signal transduction and activation of transcription. Mediates cellular responses to the cytokine KITLG/SCF and other growth factors. Binds to the GAS element and activates PRL-induced transcription. Positively regulates hematopoietic/erythroid differentiation.
-
基因功能參考文獻:
- STAT5B germline mutation variants exert dominant-negative effects through distinct pathomechanisms, manifesting in milder clinical growth hormone insensitivity syndrome with general sparing of the immune system. PMID: 29844444
- Study investigated whether RGS4 could participate in signalling pathways to regulate neurotropic events. These observations suggest that RGS4 is implicated in opioid dependent neuronal differentiation and neurite outgrowth via a "non-canonical" signaling pathway regulating STAT5B-directed responses. PMID: 28219718
- Somatic STAT5B N642H gain-of-function mutation in early onset nonclonal eosinophilia, urticaria, dermatitis, and diarrhea in two young patients. PMID: 27956386
- High incidence of activating STAT5B mutations in CD4-positive T-cell large granular lymphocyte leukemia. PMID: 27697773
- STAT5 signaling drives antigen restimulation-induced T cell death in effector memory T cells PMID: 29187589
- Data show that BACH2 and STAT5B are activated by viral insertions, generating chimeric mRNAs specifically enriched in T regulatory cells favoring their persistence. PMID: 28887441
- The findings, specifically frequent mutations of STAT5B, PIK3CD, and the histone methyltransferase SETD2, may help guide translational efforts to target hepatosplenic T-cell lymphoma PMID: 28373165
- this study shows that musculin inhibits human T-helper 17 cell response to interleukin 2 by controlling STAT5B activity PMID: 28612433
- Molecular interactions of EphA4, growth hormone receptor, Jak2, and STAT5B have been described. PMID: 28686668
- All merkel cell carcinoma (MCC) cases with a good outcome expressed pSTAT5B, whereas all MCC cases with a poor outcome did not express pSTAT5B; hence, pSTAT5B expression may be an indicator of positive prognosis in patients with MCC. PMID: 28476799
- STAT5b confers gemcitabine chemoresistance and promotes cell adherence and invasiveness in pancreatic cancer cells. PMID: 27035235
- STAT5 activation by EGF constitutes an important cascade for the regulation of cell proliferation and invasion in trophoblast cells. PMID: 25862676
- MSM decreased the ability of STAT5b to bind the promoter of the HER2 gene. PMID: 26648017
- Results confirm that STAT5B is mutated in T-PLL and underscore the potential therapeutical relevance of epigenetic regulator. PMID: 26917488
- ABL-N administration induced apoptosis of PC3 cells in a dose-dependent manner, along with the enhanced activity of caspases and increased Bax/Bcl-2 ratio. Expression of KLF5, Stat5b and ICAM-1 was significantly downregulated in PC3 cells. PMID: 26397390
- Interference of STAT 5b expression by siRNA targeting enhanced the chemo-sensitivity of gastric cancer cells to gefitinib by promoting mitochondrial pathway-mediated cell apoptosis. PMID: 25997700
- Our study also assessed the regulation of signaling molecules implicated in the growth, progression, differentiation, and migration of cancer cells, such as Jak2, STAT5b, insulin-like growth factor-1Rbeta, and their phosphorylation status PMID: 26084564
- Statistically significant positive correlation has been found between STAT5B and COX-2, and significant negative correlation between STAT5B and PIAS3. PMID: 25137041
- STAT5B mutations in the heterozygous state have a significant negative impact on height ( approximately 3.9 cm). This effect is milder than the effect seen in the homozygous state, with height usually within the normal range. PMID: 26034074
- Expression of STAT5B was significantly correlated with astrocytoma tumor grade and Karnofsky Performance Scale score. High expressions of NPM, p-JAK2, and STAT5B were associated with a short survival time. PMID: 25907517
- study showed that a common mutation of STAT5B results in constitutive STAT5B phosphorylation, growth factor-independent proliferation in cell-based assays, activation of downstream targets in leukemia cells of children with T-cell acute lymphoblastic leukemia and a higher risk of relapse PMID: 24972766
- STAT5b rs2293157 G/T genotype was at increased risk of glioma. Furthermore, rs2293157T allele was more significantly prognostic in patients suffering from glioblastoma compared to other subtypes of gliomas PMID: 24878107
- Data indicate no STAT5 transcription factor STAT5B mutation was identified in 65 adult T-cell acute lymphoblastic leukemia (T-ALL) patients, and only one STAT5B N642H mutation was detected in 28 pediatric patients. PMID: 25749351
- Results identify miR-134 as a novel RTK-regulated tumor-suppressive hub that mediates RTK and RTK-inhibitor effects on GBM malignancy by controlling KRAS and STAT5B. PMID: 24440911
- We report a high frequency of STAT5B and STAT5 mutations in gamma-delta hepatosplenic T-cell lymphoma. PMID: 24947020
- Macrophage migration inhibitory factor induced accumulation of mast cells in vivo is associated with activation of STAT5. PMID: 24091309
- STAT5B homozygous mutation is responsible for a new growth hormone insensitivity syndrome associated to immunological dysfunction. PMID: 23896798
- Data indicate that cyclooxygenase-2 (COX-2) expression is dependent on STAT5 phosphorylation. PMID: 23601296
- our data suggest that the CD82/STAT5/IL-10 signaling pathway is involved in the survival of CD34(+)/CD38(-)acute myelogenous leukemia cells PMID: 23797738
- SNP rs16967637 in the STAT5 gene was the only SNP associated with Crohn's disease without enteritis; homozygosity for the at-risk allele demonstrated the strongest association with this phenotype; results suggest a role for this SNP in development of inflammatory bowel disease of the large intestine PMID: 23929016
- aligned IL-2 regulated genes detected by Affymetrix gene expression microarrays with the STAT5 cistrome identified by chip-on-ChIP analysis in an IL-2-dependent human leukemia cell line, Kit225 PMID: 23451206
- STAT5B-RARA positive acute promyelocytic leukemia variant is unresponsive to both all trans retinoic acid and arsenic trioxide. PMID: 23271512
- This is the first time somatic STAT5 mutations are discovered in human cancer and further emphasizes the role of STAT family genes in the pathogenesis of large granular lymphocytic leukemia. PMID: 23596048
- Human STAT5b A630P mutation, like STAT5b F646S is prone to aggregation, as evidenced by its detection in the insoluble fraction, the presence of dimers and higher-order proto-aggregates. PMID: 23160480
- Protein level of the signal transducer and activator of transcription, STAT5b, is transiently decreased at temperatures above 37 degrees C. PMID: 23166650
- Data suggest that cross-talk occurs between cAMP/PKA and the IL-2R beta/Jak3/Stat5b cascade in T-cells. PMID: 23341462
- High STAT5b expression is associated with tumor growth, angiogenesis, and metastases in pancreatic cancer. PMID: 23097626
- No association has been found between the STAT5b rs6503691 (C>T) single nucleotide polymorphisms and myeloproliferative neoplasms. PMID: 23130760
- These data suggest that STAT5AB is required for the self-renewal of leukemic stem cells PMID: 23149921
- results delineate a novel association of nuclear DeltaEGFR with STAT5b, which promotes oncogenesis and treatment resistance in glioblastoma by direct regulation of anti-apoptotic gene, Bcl-XL PMID: 22729867
- results point out to a hitherto undescribed link between STAT5 and oxidative stress and provide new insights into STAT5 functions and their roles in leukemogenesis PMID: 22522791
- NR0B2 physically interacted with STAT5 and inhibited STAT5 recruitment on the PEPCK gene promoter. PMID: 22977252
- pSTAT5 expression was significantly associated with an increased risk of death and of relapse after achieving complete remission PMID: 22725130
- Heterozygous STAT5B mutations, with or without heterozygous IGFALS defects, may be associated with growth hormone insensitivity. PMID: 22678306
- STAT5b pathway regulates Hsp90alpha expression under hypoxic conditions PMID: 22552610
- Ser-193 phosphorylation is associated with Stat5b proto-oncogenic activity and therefore may serve as a novel therapeutic target for treating hematopoietic malignancies. PMID: 22442148
- STAT5 phosphorylation levels of EPO and TPO receptors are elevated in bone marrow cells of patients with paroxysmal nocturnal hemoglobinuria. PMID: 22093990
- a novel negative cross talk between the NFAT1- and Stat5-signaling cascades that may affect breast tumor formation, growth, and metastasis PMID: 21964595
- Stat5-dependent transcriptional regulation is displaced by strong cytosolic iron starvation status induced by mitochondrial ferritin. PMID: 21712541
- Genetic variants in STAT5B are associated with total cholesterol and low-density lipoprotein cholesterol levels among six populations. PMID: 21752895
顯示更多
收起更多
-
相關疾病:Growth hormone insensitivity with immunodeficiency (GHII)
-
亞細胞定位:Cytoplasm. Nucleus.
-
蛋白家族:Transcription factor STAT family
-
數據庫鏈接:
Most popular with customers
-
-
Phospho-YAP1 (S127) Recombinant Monoclonal Antibody
Applications: ELISA, WB, IHC
Species Reactivity: Human
-
-
-
-
-
-















