STAT2 Antibody
-
中文名稱:STAT2兔多克隆抗體
-
貨號:CSB-PA276122
-
規格:¥1100
-
圖片:
-
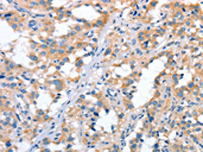
The image on the left is immunohistochemistry of paraffin-embedded Human gastic cancer tissue using CSB-PA276122(STAT2 Antibody) at dilution 1/40, on the right is treated with synthetic peptide. (Original magnification: ×200)
-
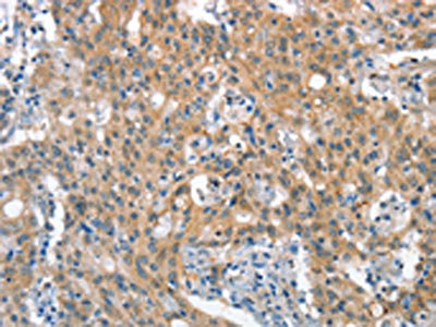
The image on the left is immunohistochemistry of paraffin-embedded Human thyroid cancer tissue using CSB-PA276122(STAT2 Antibody) at dilution 1/40, on the right is treated with synthetic peptide. (Original magnification: ×200)
-
-
其他:
產品詳情
-
Uniprot No.:
-
基因名:
-
別名:Homo sapiens interferon alpha induced transcriptional activator antibody; interferon alpha induced transcriptional activator antibody; ISGF 3 antibody; ISGF3 antibody; MGC59816 antibody; P113 antibody; signal transducer and activator of transcription 2 113kD antibody; Signal transducer and activator of transcription 2 antibody; STAT113 antibody; Stat2 antibody; STAT2_HUMAN antibody
-
宿主:Rabbit
-
反應種屬:Human
-
免疫原:Synthetic peptide of Human STAT2
-
免疫原種屬:Homo sapiens (Human)
-
標記方式:Non-conjugated
-
抗體亞型:IgG
-
純化方式:Antigen affinity purification
-
濃度:It differs from different batches. Please contact us to confirm it.
-
保存緩沖液:-20°C, pH7.4 PBS, 0.05% NaN3, 40% Glycerol
-
產品提供形式:Liquid
-
應用范圍:ELISA,IHC
-
推薦稀釋比:
Application Recommended Dilution ELISA 1:1000-1:2000 IHC 1:25-1:100 -
Protocols:
-
儲存條件:Upon receipt, store at -20°C or -80°C. Avoid repeated freeze.
-
貨期:Basically, we can dispatch the products out in 1-3 working days after receiving your orders. Delivery time maybe differs from different purchasing way or location, please kindly consult your local distributors for specific delivery time.
-
用途:For Research Use Only. Not for use in diagnostic or therapeutic procedures.
相關產品
靶點詳情
-
功能:Signal transducer and activator of transcription that mediates signaling by type I interferons (IFN-alpha and IFN-beta). Following type I IFN binding to cell surface receptors, Jak kinases (TYK2 and JAK1) are activated, leading to tyrosine phosphorylation of STAT1 and STAT2. The phosphorylated STATs dimerize, associate with IRF9/ISGF3G to form a complex termed ISGF3 transcription factor, that enters the nucleus. ISGF3 binds to the IFN stimulated response element (ISRE) to activate the transcription of interferon stimulated genes, which drive the cell in an antiviral state. In addition, has also a negative feedback regulatory role in the type I interferon signaling by recruiting USP18 to the type I IFN receptor subunit IFNAR2 thereby mitigating the response to type I IFNs. Acts as a regulator of mitochondrial fission by modulating the phosphorylation of DNM1L at 'Ser-616' and 'Ser-637' which activate and inactivate the GTPase activity of DNM1L respectively.
-
基因功能參考文獻:
- Priming cells with IFNbeta synergistically enhances IL6 induction in response to treatments that activate NF-kappaB, in a process that depends upon the recruitment of STAT2, IRF9. PMID: 29581268
- Surface features in the interacting domains of IRF9 and STAT2 have diverged to enable specific interaction between these family members and to enable the antiviral response. PMID: 29317535
- mRNA expression of survivin was positively correlated with STAT2 mRNA in psoriasis vulgaris lesion tissues PMID: 29089085
- Based on the proposition that NS5 utilizes SIAH2-mediated proteasomal degradation of STAT2, an in-silico study was carried out to characterize the protein-protein interactions between NS5, SIAH2 and STAT2 proteins. PMID: 28365387
- The pathways related to tumorigenicity and tumor progression, STAT2 and AdipoR1/AMPK/SIRT1 could be restrained by miR-3908. In conclusion, restoration of miR-3908 expression induced suppression of cancer progression and glioblastoma tumorigenicity. PMID: 28440504
- highlight the existence of a STAT1-independent IFN-I signaling pathway, where STAT2/IRF9 can potentially substitute for the role of ISGF3 and offer a back-up response against viral infection. PMID: 27053489
- Decreased phosphorylated STAT2 expression was accompanied by increased replication of hepatitis C virus and hepatitis E virus. PMID: 28442624
- data suggest that STAT2 plays a role in the psoriasis pathogenesis by regulating the expression of CXCL11 and CCL5, and thereby attracting IFNgamma-producing immune cells to the skin PMID: 28472186
- Interferon-alpha-enhanced IL-10 expression in human CD4 T cells is regulated by STAT3, STAT2, and BATF transcription factors. PMID: 28242623
- the rate-limiting transition state for binding between the TAZ1 domain of CREB binding protein and the intrinsically disordered transactivation domain of STAT2 (TAD-STAT2) by site-directed mutagenesis and kinetic experiments (Phi-value analysis) and found that the native protein-protein binding interface is not formed at the transition state for binding. PMID: 28707474
- these studies identify phosphorylation of S734-STAT2 as a new regulatory mechanism that negatively controls the type I IFN-antiviral response. PMID: 27802159
- study demonstrates that overexpression of Porcine deltacoronavirus (PDCoV) nsp5 also antagonizes IFN signaling by cleaving STAT2, an essential component of transcription factor complex ISGF3, and that PDCoV infection reduces the levels of STAT2, which may affect the innate immune response PMID: 28250121
- PKV VP3 associated with STAT2 and IRF9, and interfered with the formation of the STAT2-IRF9 and STAT2-STAT2 complex. PMID: 28441586
- The authors have discovered a novel phosphorylation of STAT2 on T387 that negatively regulates signal from the type I interferon receptor to the genome by transcription factor ISGF3. PMID: 27852626
- STAT2 recruits USP18 to the type I IFN receptor subunit IFNAR2 via its constitutive membrane-distal STAT2-binding site. PMID: 28165510
- These findings indicate that overexpression of IFITM1 enhances the aggressive phenotype of triple-negative SUM149 IBC cells and that this effect is dependent on STAT2/BRG1 interaction. PMID: 26897526
- IFN-beta exhibited significant cytotoxicity in HepG2 cells mainly through phosphorylation of STAT2. PMID: 25773664
- STAT2 rs2066807 polymorphism is not associated with cervical cancer. PMID: 25921106
- Respiratory syncytial virus NS1 upregulates SOCS1 expression in a RIG-I- and TLR3-independent pathway, to inhibit STAT2 phosphorylation. PMID: 24480984
- Data indicate that the RVB1/2 chromatin-remodeling complex is required for efficient Pol II recruitment and initiation at IFN-alpha-stimulated genes (ISGs) promoters and is recruited through interaction with the STAT2 transactivation domain. PMID: 23878400
- Dengue virus co-opts UBR4 to degrade STAT2 and antagonize type I interferon signaling. PMID: 23555265
- Sequencing of genomic DNA and RNA revealed a homozygous mutation in intron 4 of STAT2 that prevented correct splicing in patient cells PMID: 23391734
- In systemic lupus erythematosus but not in healthy control leukocytes, Jak1 and STAT2 were constitutively phosphorylated, even in the absence of disease activity. PMID: 22859983
- STAT2 serine 287 is a novel regulatory phosphorylation site in type I interferon-induced cellular responses PMID: 23139419
- These results indicate the importance that herpes simplex virus 2 has assigned to STAT2, investing significant genomic currency throughout its replicative lifecycle for continuous targeted destruction and inhibition of this protein. PMID: 22634037
- A haplotype at STAT2 introgressed from neanderthals serves as a candidate of positive selection in Papua New Guinea. PMID: 22883142
- STAT2 is functionally involved in the immunosuppressive activity of hcMSCs as a novel regulator under inflammatory conditions. PMID: 22523757
- Co-immunoprecipitation/immunoblot analyses showed that STAT2 enhanced RCAN1 ubiquitination through the ubiquitin E3 ligase FBW7.. PMID: 22426484
- Data show that, in response to IFNalpha, STAT2 is recruited onto the endogenous P2p73 promoter together with the polycomb group protein Ezh2. PMID: 21399658
- Chromatin dynamics of gene activation and repression in response to interferon alpha (IFN(alpha)) reveal new roles for phosphorylated and unphosphorylated forms of the transcription factor STAT2. PMID: 21498520
- STAT2 may interact with IRF-9 in a STAT1-independent manner. The complex STAT2/IRF-9 is the key factor mediating the expression of RIG-G gene regulated by IFN-alpha. PMID: 20403236
- Signals ensued by IFN-alpha and IL-4 induce cytoplasmic sequestration of IL-4-activated STAT6 and IFN-alpha-activated STAT2:p48 in B cells through the formation of pY-STAT6:pY-STAT2:p48 complex. PMID: 21268015
- Dengue virus 2 NS5 is able to bind and degrade human STAT2. PMID: 21075352
- STAT2 and IRF-1 comppete at binding interferon-stimulated response elements (ISREs) located on the retinoic acid-induced gene G (RIG-G) promoter in RIG-G. PMID: 20533260
- Defects in the expression or nuclear localization of STAT2 could lessen the efficacy of type I IFN immunotherapy. PMID: 20068068
- In this study we have characterized the Stat2-IFNaR2 interaction and examined its role in IFNalpha signaling PMID: 11786546
- IFNtau did not affect IRF-1 expression in Stat2-deficient cells PMID: 11804954
- acts as a host range determinant for species-specific paramyxovirus interferon antagonism and simian virus 5 replication PMID: 12050355
- Stat2 binds more avidly to subunit 2 of the interferon alpha receptor (IRNaR2) than to phosphorylated IFNaR1. PMID: 12220192
- Nipah virus V protein evades alpha and gamma interferons by preventing STAT2 activation and nuclear accumulation PMID: 12388709
- results suggest that the STAT2 activation process is a crucial target for the blockade of IFN-alpha signaling PMID: 12610111
- Measles virus V protein blocks INF-alpha/beta by inhibiting STAT2 phosphorylation. PMID: 12804771
- Hendra virus V protein inhibits cellular responses to IFN through binding and cytoplasmic sequestration of STAT2. PMID: 14557668
- there is a critical motif in Stat2 required for its transcriptional activity, and resistance to type one IFNs can be mediated by mutations in Stat2 PMID: 14722125
- expression of STAT-2 induced by Epstein-Barr virus (EBV) LMP-1 (latent membrane protein) and may be part of the viral programming that regulates viral latency and cellular transformation PMID: 15165826
- The regulation of STAT2 nuclear trafficking is distinct from the previously characterized STAT1 factor. PMID: 15175343
- IFNalpha-induced nuclear accumulation of STAT2 was partially blocked in cell lines expressing high levels of HCV core protein. Subsequently PMID: 15221897
- STAT2 activation and interferon signaling blocked by West Nile Virus nonstructural proteins PMID: 15650219
- the conserved DNA-binding domain of STAT2 has a role specific to the activity of ISGF3-independent STAT2-containing complexes PMID: 15668228
- IFNaR2 intracellular domain transcriptional modulation is dependent upon the carboxyl-terminal transactivation domain of Stat2. PMID: 15717316
顯示更多
收起更多
-
相關疾病:Immunodeficiency 44 (IMD44)
-
亞細胞定位:Cytoplasm. Nucleus.
-
蛋白家族:Transcription factor STAT family
-
數據庫鏈接:
Most popular with customers
-
-
YWHAB Recombinant Monoclonal Antibody
Applications: ELISA, WB, IHC, IF, FC
Species Reactivity: Human, Mouse, Rat
-
Phospho-YAP1 (S127) Recombinant Monoclonal Antibody
Applications: ELISA, WB, IHC
Species Reactivity: Human
-
-
-
-
-















