ST14 Antibody
-
中文名稱:ST14兔多克隆抗體
-
貨號:CSB-PA679683
-
規格:¥1100
-
圖片:
-
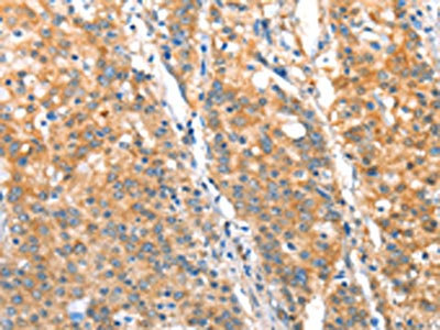
The image on the left is immunohistochemistry of paraffin-embedded Human gastic cancer tissue using CSB-PA679683(ST14 Antibody) at dilution 1/70, on the right is treated with fusion protein. (Original magnification: ×200)
-
The image on the left is immunohistochemistry of paraffin-embedded Human thyroid cancer tissue using CSB-PA679683(ST14 Antibody) at dilution 1/70, on the right is treated with fusion protein. (Original magnification: ×200)
-
-
其他:
產品詳情
-
Uniprot No.:
-
基因名:
-
別名:Epithin antibody; HAI antibody; Matriptase antibody; Membrane type serine protease 1 antibody; Membrane type serine protease antibody; Membrane-type serine protease 1 antibody; MT SP1 antibody; MT-SP1 antibody; MTSP 1 antibody; MTSP1 antibody; Prostamin antibody; PRSS 14 antibody; PRSS14 antibody; Serine protease 14 antibody; Serine protease TADG 15 antibody; Serine protease TADG-15 antibody; Serine protease TADG15 antibody; SNC 19 antibody; SNC19 antibody; ST 14 antibody; ST14 antibody; ST14_HUMAN antibody; Suppression of tumorigenicity 14 (colon carcinoma matriptase epithin) antibody; Suppression of tumorigenicity 14 (colon carcinoma) antibody; Suppression of tumorigenicity 14 antibody; Suppressor of tumorigenicity 14 protein antibody; Suppressor of tumorigenicity protein 14 antibody; TADG 15 antibody; TADG15 antibody; TMPRSS14 antibody; Tumor associated differentially expressed gene 15 protein antibody; Tumor-associated differentially-expressed gene 15 protein antibody
-
宿主:Rabbit
-
反應種屬:Human,Mouse
-
免疫原:Fusion protein of Human ST14
-
免疫原種屬:Homo sapiens (Human)
-
標記方式:Non-conjugated
-
抗體亞型:IgG
-
純化方式:Antigen affinity purification
-
濃度:It differs from different batches. Please contact us to confirm it.
-
保存緩沖液:-20°C, pH7.4 PBS, 0.05% NaN3, 40% Glycerol
-
產品提供形式:Liquid
-
應用范圍:ELISA,IHC
-
推薦稀釋比:
Application Recommended Dilution ELISA 1:2000-1:5000 IHC 1:50-1:200 -
Protocols:
-
儲存條件:Upon receipt, store at -20°C or -80°C. Avoid repeated freeze.
-
貨期:Basically, we can dispatch the products out in 1-3 working days after receiving your orders. Delivery time maybe differs from different purchasing way or location, please kindly consult your local distributors for specific delivery time.
-
用途:For Research Use Only. Not for use in diagnostic or therapeutic procedures.
相關產品
靶點詳情
-
功能:Degrades extracellular matrix. Proposed to play a role in breast cancer invasion and metastasis. Exhibits trypsin-like activity as defined by cleavage of synthetic substrates with Arg or Lys as the P1 site. Involved in the terminal differentiation of keratinocytes through prostasin (PRSS8) activation and filaggrin (FLG) processing.
-
基因功能參考文獻:
- the data strongly advocate this ST14 variant as the underlying genetic cause of autosomal recessive ichthyosis with hypotrichosis syndrome in this first reported affected family from Pakistan. Moreover, the present study adds to the spectrum of mutations in the ST14 gene, implicating them in the pathogenesis of autosomal recessive ichthyosis with hypotrichosis syndrome. PMID: 29611532
- limited role for HAI-2 in the inhibition of matriptase and prostasin is the result of its primarily intracellular localization in basal and spinous layer keratinocytes, which probably prevents the Kunitz inhibitor from interacting with active prostasin or matriptase PMID: 29438412
- Abrogation of matriptase expression by silencing with RNAi or inhibition of matriptase proteolytic activity with a synthetic inhibitor impairs the conversion of inactive pro-HGF to active HGF and subsequent c-Met-mediated signaling. PMID: 27528224
- Data, including data from studies using cadaver tissue, suggest that matriptase and matriptase mRNA are expressed in several regions of the brain with an enrichment in neurons; higher levels of matriptase RNA are expressed in young individuals as compared to older individuals; matriptase cleaves amyloid beta precursor protein at a specific arginine residue (Arg-102). PMID: 29054928
- Activation of proHGF by St14 induces mouse embryonic stem cell differentiation. PMID: 27316827
- The authors report that ST14/Prss14 is an emerging therapeutic target for breast cancer where HER2 is not applicable. PMID: 27167193
- These results identify EpCAM as a substrate of matriptase and link HAI-2, matriptase, EpCAM, and claudin-7 in a functionally important pathway that causes disease when it is dysregulated. PMID: 28094766
- Matriptase is present in macrophages from patients with mutated alpha-1 antitrypsin at high levels and contributes to their proteolytic activity on extracellular matrix. MMP-14 is a novel substrate for matriptase, which regulates the levels of MMP-14 on the cell surface. High levels of matriptase may contribute to increased ECM degradation by Z-M, both directly and through MMP-14 activation. PMID: 28362108
- Ultraviolet irradiation/reactive oxygen species induced matriptase proteolysis may have short term protective effects and contribute to the recovery from acute epidermal damage and/or pathology of skin with chronic sun damage. PMID: 26996264
- Given that matriptase-1 participates in terminal KC differentiation, its absence in psoriatic skin lesions indicates that this contributes to the barrier disturbances in this disease. PMID: 26513078
- Novel findings reveal a new paradigm in matriptase activation involving PDGF-D-specific signal transduction leading to extracellular acidosis. PMID: 26157007
- Maritriptase is required for pro-HGF/c-Met signaling and cell proliferation in breast cancer cells. PMID: 25873032
- Matriptase inhibition by HAI-2 requires the translocation of HAI-2 to the cell surface, a process which is observed in some breast cancer cells but not in mammary epithelial cells. PMID: 25786220
- Report potent/specific inhibition of matriptase by the cyclic microprotein MCoTI-II. PMID: 24696092
- Matriptase expression correlates with tumour progression and invasive capability in oral squamous cell carcinoma PMID: 24382204
- Matriptase can act as a cellular sensor of the chemical environment of the cell that allows the cell to respond to and protect itself from changes in the chemical milieu. PMID: 24705933
- It presents evidence that matriptase efficiently cleaves the HR1 portion of gp41 into a 22-residue chemotactic peptide MAT-1, the sequence of which is highly conserved across HIV-1 clades. PMID: 24617769
- Dysregulated pericellular proteolysis as a result of unregulated matriptase expression with limited HAI-1 may contribute to the pathological characteristics of several human B-cell lymphomas. PMID: 24070417
- Human matriptase may be involved in the regulation of keratinocyte growth and early differentiation, rather than terminal differentiation, providing mechanistic insights into the pathology of two congenital ichthyoses. PMID: 23900022
- matriptase expression and zymogen activation in hair follicles PMID: 24004857
- higher expression of matriptase is an independent prognostic factor involved in the progression of esophageal squamous cell carcinoma (ESCC). PMID: 24248283
- High matriptase expression is associated with prostate cancer. PMID: 23466486
- prostasin is a non-enzymatic co-factor for matriptase activation PMID: 23673661
- Matriptase mRNA was detected in B-cell-derived Namalwa and Raji cells PMID: 23044656
- Prostasin requires expression of endogenous matriptase to stimulate barrier formation since matriptase depletion by siRNA silencing abrogates prostasin barrier-forming activity. PMID: 23443662
- Authors identify and characterize matriptase as an influenza virus-activating protease capable of supporting multicycle viral replication in the human respiratory epithelium. PMID: 23365447
- H9N2 viruses with R-S-S-R or R-S-R-R cleavage sites in hemagglutinin are activated by matriptase in addition to HAT and TMPRSS2 and, therefore, can be activated in a wide range of tissues what may affect virus spread, tissue tropism and pathogenicity. PMID: 23192872
- Emergent active matriptase is a functional biomarker of the transformed epithelium and that its proteolytic activity can be exploited to noninvasively evaluate tumorigenesis in vivo. PMID: 23248318
- matriptase has the ability to cleave HA directly or indirectly by activating HA-cleaving zymogens PMID: 22811538
- Dsg-2 with a mutation at the predicted cleavage site is resistant to cleavage by matriptase. Thus Dsg-2 seems to be a functionally relevant physiological substrate of matriptase. PMID: 22783993
- Matriptase protein and ST14 mRNA levels are significantly downregulated in inflamed colonic tissues from Crohn's disease and ulcerative colitis PMID: 22081509
- there is much more active prostasin than active matriptase on the apical and basolateral surfaces of airway epithelial cells PMID: 22582115
- Matriptase protein expression was correlated with HER2 expression and highest expression was seen in HER2-positive cell lines, indicating a potential role in this subgroup. PMID: 22514623
- Study provided the gene expression profile of HBV-related HCC and presented differential expression patterns of SATB-1, TM4SF-1 and ST-14 between cancerous and noncancerous tissues in patients with HBV-related HCC. PMID: 22088470
- A reverse binding motif that contributes to specific protease inhibition by antibodies. PMID: 22154938
- Expression of matriptase and prostasin is closely correlated in breast cancer cell lines and in breast cancer tissues. Matriptase and prostasin display a near identical spatial expression pattern in the epithelial compartment of breast cancer tissue. PMID: 21678412
- matriptase as an initiator of c-Met-Akt-mTor-dependent signaling axis in tumors and mTor activation as an essential component of matriptase/c-Met-induced carcinogenesis PMID: 21217780
- Although activated matriptase is not detected in normal epidermis, a dramatic increase is seen in keratinocytes at the site of inflammation in 16 different skin diseases. PMID: 21123732
- Transport via the transcytotic pathway makes prostasin available as a substrate for matriptase. PMID: 21148558
- Epithin, which regulates endothelial Tie2 functions, plays a critical role in the fine tuning of transendothelial migration for normal and cancer cells. PMID: 21097670
- ErbB-2 signaling via the phosphatidylinositol 3-kinase pathway results in up-regulated matriptase zymogen activity, which contributes to prostate cancer cell invasion. PMID: 20971737
- The ST14 variant rs704624 and protein expression of matriptase have prognostic significance in breast cancer. PMID: 20716618
- Soluble form of the protein secreted from cancer cells contains active angiogenic potential PMID: 20652801
- Study unveiled a novel signaling axis of matriptase/PDGF-D/beta-PDGFR in PCa, providing new insights into functional interplay between serine protease and growth factor signaling networks. PMID: 21098708
- matriptase is expressed in glioma cells and that matriptase specifically cleaves ASIC1 in heterologous expression systems. PMID: 20601429
- results support a key role for matriptase in regulating intestinal epithelial barrier competence, and suggest an intriguing link between pericellular serine protease activity and tight junction assembly in polarized epithelia PMID: 20142489
- MT-SP1 activity as a useful biomarker to visualize epithelial cancers using a noninvasive antibody-based method. PMID: 20145119
- HGF is activated by the transmembrane serine proteases matriptase and hepsin, but not by the membrane-associated protease uPA. PMID: 20015050
- Matriptase activation is an early cellular response to acidosis PMID: 19940125
- Sphingosine 1-phosphate, present in serum-derived lipoproteins, activates matriptase PMID: 11792696
顯示更多
收起更多
-
相關疾病:Ichthyosis, congenital, autosomal recessive 11 (ARCI11)
-
亞細胞定位:Membrane; Single-pass type II membrane protein.
-
蛋白家族:Peptidase S1 family
-
數據庫鏈接:
Most popular with customers
-
-
YWHAB Recombinant Monoclonal Antibody
Applications: ELISA, WB, IHC, IF, FC
Species Reactivity: Human, Mouse, Rat
-
Phospho-YAP1 (S127) Recombinant Monoclonal Antibody
Applications: ELISA, WB, IHC
Species Reactivity: Human
-
-
-
-
-















