SRPX Antibody
-
中文名稱:SRPX兔多克隆抗體
-
貨號:CSB-PA792007
-
規格:¥1100
-
圖片:
-
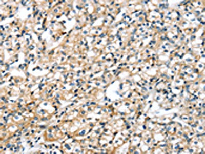
The image on the left is immunohistochemistry of paraffin-embedded Human prostate cancer tissue using CSB-PA792007(SRPX Antibody) at dilution 1/30, on the right is treated with fusion protein. (Original magnification: ×200)
-
The image on the left is immunohistochemistry of paraffin-embedded Human brain tissue using CSB-PA792007(SRPX Antibody) at dilution 1/30, on the right is treated with fusion protein. (Original magnification: ×200)
-
Gel: 8%SDS-PAGE,Lysate: 40 μg,,Primary antibody: CSB-PA792007(SRPX Antibody) at dilution 1/500 dilution,Secondary antibody: Goat anti rabbit IgG at 1/8000 dilution,Exposure time: 15 seconds
-
-
其他:
產品詳情
-
Uniprot No.:
-
基因名:SRPX
-
別名:SRPX antibody; ETX1 antibody; Sushi repeat-containing protein SRPX antibody
-
宿主:Rabbit
-
反應種屬:Human
-
免疫原:Fusion protein of Human SRPX
-
免疫原種屬:Homo sapiens (Human)
-
標記方式:Non-conjugated
-
抗體亞型:IgG
-
純化方式:Antigen affinity purification
-
濃度:It differs from different batches. Please contact us to confirm it.
-
保存緩沖液:-20°C, pH7.4 PBS, 0.05% NaN3, 40% Glycerol
-
產品提供形式:Liquid
-
應用范圍:ELISA,WB,IHC
-
推薦稀釋比:
Application Recommended Dilution ELISA 1:2000-1:10000 WB 1:1000-1:5000 IHC 1:25-1:100 -
Protocols:
-
儲存條件:Upon receipt, store at -20°C or -80°C. Avoid repeated freeze.
-
貨期:Basically, we can dispatch the products out in 1-3 working days after receiving your orders. Delivery time maybe differs from different purchasing way or location, please kindly consult your local distributors for specific delivery time.
-
用途:For Research Use Only. Not for use in diagnostic or therapeutic procedures.
相關產品
靶點詳情
-
功能:May be involved in phagocytosis during disk shedding, cell adhesion to cells other than the pigment epithelium or signal transduction.
-
基因功能參考文獻:
- SRPX1 co-accumulated with Abeta deposits in cerebral blood vessels of all autopsied cases with severe cerebral amyloid angiopathy (CAA); no SRPX1 co-accumulated with Abeta deposits in senile plaques. Furthermore, we demonstrated that both Abeta40 and Abeta42 bound to SRPX1 in vitro and enhanced SRPX1 expression in primary cultures of cerebrovascular smooth muscle cells. SRPX1 enhanced caspase activity induced by Abeta40. PMID: 28478503
- The SRPX protein contains the P-DUDES structural domain in its C-terminal region. This domain has significant albeit remote sequence similarity to thioredoxin-like domains, and is predicted to possess an oxidoreductase function. PMID: 209648
- PELO is subcellularly localized at the actin cytoskeleton, interacts with HAX1, EIF3G and SRPX proteins and that this interaction occurs at the cytoskeleton; this interaction may facilitate PELO to detect and degrade aberrant mRNAs. PMID: 20406461
- An apoptosis-inducing protein localized in the endoplasmic reticulum which increases efficiency of apoptosis PMID: 15021917
- expression of drs mRNA in well-differentiated, moderately differentiated, and poorly differentiated lung adenocarcinoma tissues (drs; down-regulated by v-scr) PMID: 12152160
- down-regulation of drs mRNA is closely correlated with carcinomas which arise from adenomatous polyps in the course of the adenoma-carcinoma sequence, but most carcinomas arising de novo are independent of the tumor suppressor function of the drs gene PMID: 12716466
- Down-regulation of drs mRNA is closely correlated with development of prostate carcinoma, suggesting a tumor-suppressor function of the drs gene in this cancer. PMID: 12874760
- Downregulation of drs tumor suppressor gene in highly malignant human pulmonary neuroendocrine tumors. PMID: 19424611
- This is the first report demonstrating overexpression of ETX1 in glaucomatous trabecular meshwork. PMID: 19862339
顯示更多
收起更多
-
亞細胞定位:Cell surface. Note=Possibly surface of photoreceptor cell.
-
組織特異性:Retina and heart; less in placenta, pancreas, lung, liver, skeletal muscle, kidney and brain.
-
數據庫鏈接:
Most popular with customers
-
YWHAB Recombinant Monoclonal Antibody
Applications: ELISA, WB, IHC, IF, FC
Species Reactivity: Human, Mouse, Rat
-
Phospho-YAP1 (S127) Recombinant Monoclonal Antibody
Applications: ELISA, WB, IHC
Species Reactivity: Human
-
-
-
-
-
-















