SRPK1 Antibody
-
中文名稱:SRPK1兔多克隆抗體
-
貨號:CSB-PA029300
-
規格:¥1100
-
圖片:
-
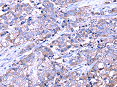
The image on the left is immunohistochemistry of paraffin-embedded Human thyroid cancer tissue using CSB-PA029300(SRPK1 Antibody) at dilution 1/35, on the right is treated with fusion protein. (Original magnification: ×200)
-
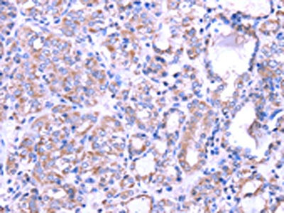
The image on the left is immunohistochemistry of paraffin-embedded Human breast cancer tissue using CSB-PA029300(SRPK1 Antibody) at dilution 1/35, on the right is treated with fusion protein. (Original magnification: ×200)
-
-
其他:
產品詳情
-
Uniprot No.:
-
基因名:SRPK1
-
別名:Serine/arginine rich protein specific kinase 1 antibody; Serine/arginine rich splicing factor kinase 1 antibody; Serine/arginine-rich protein-specific kinase 1 antibody; Serine/threonine protein kinase SRPK1 antibody; Serine/threonine-protein kinase SRPK1 antibody; SFRS protein kinase 1 antibody; SFRSK1 antibody; SR protein kinase 1 antibody; SR protein specific kinase 1 antibody; SR-protein-specific kinase 1 antibody; SRPK1 antibody; SRPK1_HUMAN antibody
-
宿主:Rabbit
-
反應種屬:Human,Mouse
-
免疫原:Fusion protein of Human SRPK1
-
免疫原種屬:Homo sapiens (Human)
-
標記方式:Non-conjugated
-
抗體亞型:IgG
-
純化方式:Antigen affinity purification
-
濃度:It differs from different batches. Please contact us to confirm it.
-
保存緩沖液:-20°C, pH7.4 PBS, 0.05% NaN3, 40% Glycerol
-
產品提供形式:Liquid
-
應用范圍:ELISA,IHC
-
推薦稀釋比:
Application Recommended Dilution ELISA 1:2000-1:10000 IHC 1:30-1:150 -
Protocols:
-
儲存條件:Upon receipt, store at -20°C or -80°C. Avoid repeated freeze.
-
貨期:Basically, we can dispatch the products out in 1-3 working days after receiving your orders. Delivery time maybe differs from different purchasing way or location, please kindly consult your local distributors for specific delivery time.
-
用途:For Research Use Only. Not for use in diagnostic or therapeutic procedures.
相關產品
靶點詳情
-
功能:Serine/arginine-rich protein-specific kinase which specifically phosphorylates its substrates at serine residues located in regions rich in arginine/serine dipeptides, known as RS domains and is involved in the phosphorylation of SR splicing factors and the regulation of splicing. Plays a central role in the regulatory network for splicing, controlling the intranuclear distribution of splicing factors in interphase cells and the reorganization of nuclear speckles during mitosis. Can influence additional steps of mRNA maturation, as well as other cellular activities, such as chromatin reorganization in somatic and sperm cells and cell cycle progression. Isoform 2 phosphorylates SFRS2, ZRSR2, LBR and PRM1. Isoform 2 phosphorylates SRSF1 using a directional (C-terminal to N-terminal) and a dual-track mechanism incorporating both processive phosphorylation (in which the kinase stays attached to the substrate after each round of phosphorylation) and distributive phosphorylation steps (in which the kinase and substrate dissociate after each phosphorylation event). The RS domain of SRSF1 binds first to a docking groove in the large lobe of the kinase domain of SRPK1. This induces certain structural changes in SRPK1 and/or RRM2 domain of SRSF1, allowing RRM2 to bind the kinase and initiate phosphorylation. The cycles continue for several phosphorylation steps in a processive manner (steps 1-8) until the last few phosphorylation steps (approximately steps 9-12). During that time, a mechanical stress induces the unfolding of the beta-4 motif in RRM2, which then docks at the docking groove of SRPK1. This also signals RRM2 to begin to dissociate, which facilitates SRSF1 dissociation after phosphorylation is completed. Isoform 2 can mediate hepatitis B virus (HBV) core protein phosphorylation. It plays a negative role in the regulation of HBV replication through a mechanism not involving the phosphorylation of the core protein but by reducing the packaging efficiency of the pregenomic RNA (pgRNA) without affecting the formation of the viral core particles. Isoform 1 and isoform 2 can induce splicing of exon 10 in MAPT/TAU. The ratio of isoform 1/isoform 2 plays a decisive role in determining cell fate in K-562 leukaemic cell line: isoform 2 favors proliferation where as isoform 1 favors differentiation.
-
基因功能參考文獻:
- We now show that the ability of SRPK1 to mobilize SRSF1 from speckles to the nucleoplasm is dependent on active CLK1. Diffusion from speckles is promoted by the formation of an SRPK1-CLK1 complex that facilitates dissociation of SRSF1 from CLK1 and enhances the phosphorylation of several serine-proline dipeptides in this SR protein PMID: 29335301
- SRPK1 is a direct target of miR-1296 in the epatocellular carcinoma. PMID: 28606154
- knockdown of the SRPK1 gene by RNAi inhibits the proliferation of K562 cells and induces apoptosis. PMID: 29138847
- Findings suggest MALAT1 increases AKAP-9 expression by promoting SRPK1-catalyzed SRSF1 phosphorylation in CRC cells. These results reveal a novel molecular mechanism by which MALAT1 regulates AKAP-9 expression in CRC cells. PMID: 26887056
- The frameshift mutation detected in the current study would result in premature stops of amino acid synthesis in PLA2R1 and SRPK1 proteins and hence resembles a typical inactivating mutation. PMID: 28212809
- Data suggest that ERH interacts directly in nucleus with C-terminal Arg-Gly-rich region of SAFB1/SAFB2 and this multimer co-localizes in insoluble nuclear fraction; binding of ERH reverses inhibition exerted by SAFB1/SAFB2 on SRPK1. (ERH = enhancer of rudimentary homolog protein; SAFB = scaffold attachment factor B; SRPK1 = splicing kinase SR protein kinase-1) PMID: 28627136
- SRPK1 interacts with an RS-like domain in the N terminus of CLK1 to facilitate the release of phosphorylated SR proteins, which then promotes efficient splice-site recognition and subsequent spliceosome assembly. PMID: 27397683
- Data indicate that proto-oncogene protein c-akt (Akt) phosphorylates distinct sites than SRPK1 protein within the arginine-serine (RS) domain of Lamin B Receptor (LBR). PMID: 27105349
- SRPK1 interference inhibits the growth and invasion of RCC cells. PMID: 27662590
- SRPK1 is overexpressed in HCC and may be a promising indicator of prognosis for HCC patients PMID: 26201897
- Overexpression of SRPK1 is associated with glioma. PMID: 26738865
- The mRNA level and the protein level of SRPK1 were up-regulated in NSCLC tissues. It activated the transcriptional activity of beta-catenin/T-cell factor complex. SRPK1 knockdown attenuated the expression of target genes of this complex. Silencing SRPK1 down-regulated the phosphorylation of GSK3beta. PMID: 26666824
- SRPK1 is upregulated in prostate cancer and correlates with disease stage and invasion. PMID: 26500332
- Data indicate serine/arginine-rich protein kinases SRPK1/2/SRPIN340 complexes by molecular docking and molecular dynamics. PMID: 26244849
- SRPK1 mediates TGF-beta-induced proliferation. PMID: 26099172
- SRPK1 may be a potential anticancer target to inhibit glioma progression. PMID: 25833691
- Modulation of SRPK1 and subsequent inhibition of tumour angiogenesis. PMID: 25381816
- SRPK1 is a regulator of Tra2beta1 splicing function and individual domains engage in considerable cross-talk, assuming novel functions with regard to RNA binding, splicing, and catalysis. PMID: 26013829
- SRPK1 was highly expressed in basal breast cancer. High SRPK1 expression correlated with poor breast cancer disease outcome and preferential metastasis to the lungs and brain. PMID: 25774502
- Increased expression of SRPK1 correlates with the progression of breast cancer.SRPK1 is upregulated in breast cancer at both mRNA and protein levels. PMID: 24961466
- Data suggest that proline phosphorylation by CLK1/CDC-like kinase 1 (but not by SRPK1/serine/arginine-rich splicing factor kinase 1) regulates conformation and alternative splicing function of SFRS1 (serine/arginine-rich splicing factor 1). PMID: 25529026
- Collectively, these data suggest that human papillomavirus type 1 E1;E4-mediated inhibition of SRPK1 could affect the functions of host serine-arginine proteins and those of the virus transcription/replication regulator E2. PMID: 25142587
- Authors show that MNK regulates SRPK via mTOR and AKT. PMID: 25187540
- ERK1/2 signal induced MNK catalytic activity enabled enterovirus type 1 internal ribosomal entry site-mediated translation/host cell cytotoxicity through negative regulation of the Ser/Arg (SR)-rich protein kinase (SRPK). PMID: 25187541
- Hypoxic stress decreased the miR-9 level in ARPE-19 cells, which increased the transcriptional level of SRPK-1, resulting in alternative splicing shift to pro-angiogenic isoforms of VEGF165 in human retinal pigment epithelial cells. PMID: 25007957
- Up-regulation of SRPK1 is associated with breast cancer. PMID: 25140042
- Inhibition of SRPK1 by knockdown or with pharmacological inhibitors reduces expression of pro-angiogenic forms of VEGF. PMID: 25010863
- The data show that the RS domain in SRSF1 is multifunctional and that sequences once thought to be catalytically silent can be recruited to enhance the efficiency of SR protein phosphorylation. PMID: 24984036
- positively regulates IFN-lambda1 genes during viral infection PMID: 23405030
- Data suggest that the conformation of SRPK1 is highly flexible and can readily adapt to changes in structure of arginine-serine rich domains in substrate proteins such as SRSF1 (serine-arginine-rich splicing protein 1). PMID: 24074032
- SRPK1 plays an oncogenic role in hepatocellular carcinoma through a possible mechanism involving PI3K/Akt. PMID: 23644876
- The data establish a new view of SRSF1 protein regulation in which SRPK1 and CLK1 partition activities based on Ser-Pro versus Arg-Ser placement rather than on N- and C-terminal preferences along the RS domain. PMID: 23707382
- These findings reveal a major signal transduction pathway for regulated splicing and place SRPKs in a central position in the pathway, consistent with their reputed roles in a large number of human cancers. PMID: 22727668
- The present immunohistochemical study reveals a region- and neuron-specific localization of SRPK1 in human brain. PMID: 22019390
- WT1 bound to the SRPK1 promoter, and repressed expression through a specific WT1 binding site PMID: 22172722
- protein kinase SRPK1 phosphorylates ~10 serines in the arginine--serine-rich domain (RS domain) of the SR protein SRSF1 in a C- to N-terminal direction, a modification that directs this essential splicing factor from the cytoplasm to the nucleus PMID: 21728354
- SRPK1a may play an important role in linking ribosomal assembly and/or function to erythroid differentiation in human leukaemic cells PMID: 20708644
- Our results demonstrate that SRPK1 and SRPK2 are host factors essential for Hepatitis C virus replication. PMID: 20498328
- Both SRPK1 and SRPK2 are most likely the cellular protein kinases mediating HBV core protein phosphorylation during viral infection and therefore represent important host cell targets for therapeutic intervention in HBV infection. PMID: 12134018
- negative role of SRPK1 and SRPK2 in the regulation of HBV replication through a mechanism not involving the phosphorylation of the core protein PMID: 16122776
- ASF/SF2 is phosphorylated by SRPK1 and Clk/Sty PMID: 16223727
- We describe crystallographic, molecular dynamics, and biochemical results that shed light on how SRPK1 preserves its constitutive active conformation. PMID: 17223538
- Serine-arginine protein kinase 1 overexpression is associated with tumorigenic imbalance in mitogen-activated protein kinase pathways. PMID: 17332336
- SRPK1 binding is associated with phosphorylation of human papillomavirus type 1 E1/E4 polypeptide and modulates autophosphorylation of the kinase. PMID: 17360743
- Sky1p utilizes the same docking groove to bind yeast SR-like protein Gbp2p and phosphorylates all three serines present in a contiguous RS dipeptide stretch PMID: 17517895
- These studies reveal that SRPK1 docks near the C-terminus of the RS1 segment of ASF protein and then moves in an N-terminal direction along the RS domain. PMID: 18155240
- Data show that a sliding docking interaction is essential for sequential and processive phosphorylation of an SR protein by SRPK1. PMID: 18342604
- Data show that adaptable molecular interactions guide phosphorylation of the SR protein ASF/SF2 by SRPK1. PMID: 18687337
- SRPK1, a ubiquitously expressed SR protein-specific kinase, directly binds to the cochaperones Hsp40/DNAjc8 and Aha1, which mediate dynamic interactions of the kinase with the major molecular chaperones Hsp70 and Hsp90 in mammalian cells PMID: 19240134
- while local RS/SR content steers regional preferences in the RS domain, distal contacts with SRPK1 guide initiation and directional phosphorylation within these regions. PMID: 19477182
顯示更多
收起更多
-
亞細胞定位:[Isoform 2]: Cytoplasm. Nucleus. Nucleus matrix. Microsome.
-
蛋白家族:Protein kinase superfamily, CMGC Ser/Thr protein kinase family
-
組織特異性:Isoform 2 is predominantly expressed in the testis but is also present at lower levels in heart, ovary, small intestine, liver, kidney, pancreas and skeletal muscle. Isoform 1 is only seen in the testis, at lower levels than isoform 2. Highly expressed in
-
數據庫鏈接:
Most popular with customers
-
YWHAB Recombinant Monoclonal Antibody
Applications: ELISA, WB, IHC, IF, FC
Species Reactivity: Human, Mouse, Rat
-
Phospho-YAP1 (S127) Recombinant Monoclonal Antibody
Applications: ELISA, WB, IHC
Species Reactivity: Human
-
-
-
-
-
-















