SPR Antibody
-
中文名稱:SPR兔多克隆抗體
-
貨號:CSB-PA214577
-
規格:¥1100
-
圖片:
-
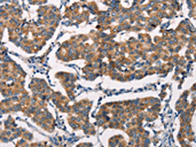
The image on the left is immunohistochemistry of paraffin-embedded Human breast cancer tissue using CSB-PA214577(SPR Antibody) at dilution 1/20, on the right is treated with synthetic peptide. (Original magnification: ×200)
-
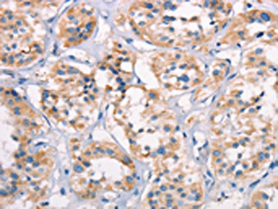
The image on the left is immunohistochemistry of paraffin-embedded Human thyroid cancer tissue using CSB-PA214577(SPR Antibody) at dilution 1/20, on the right is treated with synthetic peptide. (Original magnification: ×200)
-
Gel: 10%SDS-PAGE, Lysate: 40 μg, Lane 1-3: Mouse liver tissue, human chromaffin cell tumor tissue, hepG2 cells, Primary antibody: CSB-PA214577(SPR Antibody) at dilution 1/1500, Secondary antibody: Goat anti rabbit IgG at 1/8000 dilution, Exposure time: 10 seconds
-
-
其他:
產品詳情
-
Uniprot No.:
-
基因名:SPR
-
別名:OTTHUMP00000160199 antibody; SDR38C1 antibody; Sepiapterin reductase (7,8 dihydrobiopterin:NADP+ oxidoreductase) antibody; Sepiapterin reductase antibody; Short chain dehydrogenase/reductase family 38C, member 1 antibody; SPR antibody; SPRE_HUMAN antibody
-
宿主:Rabbit
-
反應種屬:Human,Mouse
-
免疫原:Synthetic peptide of Human SPR
-
免疫原種屬:Homo sapiens (Human)
-
標記方式:Non-conjugated
-
抗體亞型:IgG
-
純化方式:Antigen affinity purification
-
濃度:It differs from different batches. Please contact us to confirm it.
-
保存緩沖液:-20°C, pH7.4 PBS, 0.05% NaN3, 40% Glycerol
-
產品提供形式:Liquid
-
應用范圍:ELISA,WB,IHC
-
推薦稀釋比:
Application Recommended Dilution ELISA 1:2000-1:10000 WB 1:1000-1:5000 IHC 1:25-1:100 -
Protocols:
-
儲存條件:Upon receipt, store at -20°C or -80°C. Avoid repeated freeze.
-
貨期:Basically, we can dispatch the products out in 1-3 working days after receiving your orders. Delivery time maybe differs from different purchasing way or location, please kindly consult your local distributors for specific delivery time.
-
用途:For Research Use Only. Not for use in diagnostic or therapeutic procedures.
相關產品
靶點詳情
-
功能:Catalyzes the final one or two reductions in tetra-hydrobiopterin biosynthesis to form 5,6,7,8-tetrahydrobiopterin.
-
基因功能參考文獻:
- The allele frequencies for the SPR c.596-2A > G (0.7%) polymorphism is not a major cause of Parkinson's disease in the Maltese. PMID: 27613114
- We earlier presented evidence for a physical interaction between ODC and SPR and we showed that RNAi-mediated knockdown of SPR expression significantly reduced native ODC enzyme activity and impeded Neuroblastoma cell proliferation. PMID: 26093909
- new homozygous mutation in the SPR gene was found in two sisters with dopa-responsive dystonia PMID: 24588500
- Authors identified SPR as a novel regulator of ODC enzyme activity and, based on clinical evidence, present a model in which SPR drives ODC-mediated malignant progression in neuroblastoma. PMID: 24096079
- SPR-mediated reduction of sepiapterin and redox cycling occur by distinct mechanisms PMID: 23640889
- SRD can manifest as early-onset parkinsonism, widening the spectrum of the disease phenotype and adding to the genetic heterogeneity of the disease PMID: 22018912
- this large association study for the SPR gene revealed no association for Parkinson disease worldwide. PMID: 21782285
- We examine the sleep, sleep-wake rhythms, CSF neurotransmitters, and melatonin profile in a patient with sepiapterin reductase deficiency. PMID: 20337188
- haploinsufficiency of SPR can be a rare cause of dopa-responsive dystonia PMID: 15241655
- Potentially modulates the onset of or risk for Parkinson's disease. PMID: 16443856
- Although association of SPR to Parkinson's disease (PD) is not strong enough to support that this is the PARK3 gene, this study further implicates a role for SPR in idiopathic PD. PMID: 17270157
- Genomic DNA revealed the same homozygous point mutation introducing a premature stop codon in the SPR gene in 2 siblings. PMID: 18502672
- This reduced transcription rate for SPR promoter haplotypes 2 and 3 may impact on antidepressant response and susceptibility to bipolar disorder. PMID: 19415819
顯示更多
收起更多
-
相關疾病:Dystonia, DOPA-responsive, due to sepiapterin reductase deficiency (DRDSPRD)
-
亞細胞定位:Cytoplasm.
-
蛋白家族:Sepiapterin reductase family
-
數據庫鏈接:
Most popular with customers
-
-
YWHAB Recombinant Monoclonal Antibody
Applications: ELISA, WB, IHC, IF, FC
Species Reactivity: Human, Mouse, Rat
-
Phospho-YAP1 (S127) Recombinant Monoclonal Antibody
Applications: ELISA, WB, IHC
Species Reactivity: Human
-
-
-
-
-















