SPINK9 Antibody
-
中文名稱:SPINK9兔多克隆抗體
-
貨號:CSB-PA707717LA01HU
-
規格:¥440
-
圖片:
-
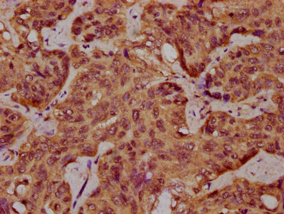
IHC image of CSB-PA707717LA01HU diluted at 1:400 and staining in paraffin-embedded human liver cancer performed on a Leica BondTM system. After dewaxing and hydration, antigen retrieval was mediated by high pressure in a citrate buffer (pH 6.0). Section was blocked with 10% normal goat serum 30min at RT. Then primary antibody (1% BSA) was incubated at 4°C overnight. The primary is detected by a biotinylated secondary antibody and visualized using an HRP conjugated SP system.
-
-
其他:
產品詳情
-
產品名稱:Rabbit anti-Homo sapiens (Human) SPINK9 Polyclonal antibody
-
Uniprot No.:
-
基因名:SPINK9
-
別名:SPINK9 antibody; LEKTI2Serine protease inhibitor Kazal-type 9 antibody; Lymphoepithelial Kazal-type-related inhibitor 2 antibody
-
宿主:Rabbit
-
反應種屬:Human
-
免疫原:Recombinant Human Serine protease inhibitor Kazal-type 9 protein (20-86AA)
-
免疫原種屬:Homo sapiens (Human)
-
標記方式:Non-conjugated
本頁面中的產品,SPINK9 Antibody (CSB-PA707717LA01HU),的標記方式是Non-conjugated。對于SPINK9 Antibody,我們還提供其他標記。見下表:
-
克隆類型:Polyclonal
-
抗體亞型:IgG
-
純化方式:>95%, Protein G purified
-
濃度:It differs from different batches. Please contact us to confirm it.
-
保存緩沖液:Preservative: 0.03% Proclin 300
Constituents: 50% Glycerol, 0.01M PBS, pH 7.4 -
產品提供形式:Liquid
-
應用范圍:ELISA, IHC
-
推薦稀釋比:
Application Recommended Dilution IHC 1:200-1:500 -
Protocols:
-
儲存條件:Upon receipt, store at -20°C or -80°C. Avoid repeated freeze.
-
貨期:Basically, we can dispatch the products out in 1-3 working days after receiving your orders. Delivery time maybe differs from different purchasing way or location, please kindly consult your local distributors for specific delivery time.
-
用途:For Research Use Only. Not for use in diagnostic or therapeutic procedures.
相關產品
靶點詳情
-
功能:Serine protease inhibitor which specifically inhibits KLK5. May contribute to the regulation of the desquamation process in skin by inhibiting KLK5.
-
基因功能參考文獻:
- SPINK9 has a role in stimulating metalloprotease/EGFR-dependent keratinocyte migration by purinergic receptor pathway activation PMID: 24441102
- the inhibition and binding of different SPINK9 variants towards KLK5, KLK7, KLK8 and KLK14 PMID: 22505519
- mSPINK12 shows an inhibitory activity against murine keratinocyte-derived trypsin-like proteolytic activity, and thus, appears orthologous to human LEKTI2 and may play an role in the regulation of epithelial cell functions. PMID: 21899598
- A new KLK5-inhibiting peptide encoded by a member of the Spink family, designated as Spink9 located on chromosome 5p33.1, was identified. PMID: 19190773
- possible role for SPINK9 in the site-specific epidermal differentiation of palms and soles PMID: 19194479
顯示更多
收起更多
-
亞細胞定位:Secreted.
-
組織特異性:Skin. Highly expressed at sites of hyperkeratosis. Also detected in thymus, tonsils, testis, pancreas, liver, placenta and brain. Expressed at stratum granulosum and stratum corneum at palmar and plantar sites (at protein level).
-
數據庫鏈接:
Most popular with customers
-
-
Phospho-YAP1 (S127) Recombinant Monoclonal Antibody
Applications: ELISA, WB, IHC
Species Reactivity: Human
-
-
-
-
-
-















