SPDL1 Antibody
-
中文名稱:SPDL1兔多克隆抗體
-
貨號:CSB-PA842662LA01HU
-
規格:¥440
-
圖片:
-
Western blot
All lanes: SPDL1 antibody at 4µg/ml
Lane 1: Hela whole cell lysate
Lane 2: 293T whole cell lysate
Lane 3: Jurkat whole cell lysate
Lane 4: A549 whole cell lysate
Lane 5: K562 whole cell lysate
Secondary
Goat polyclonal to rabbit IgG at 1/10000 dilution
Predicted band size: 71, 59, 62 kDa
Observed band size: 71 kDa -
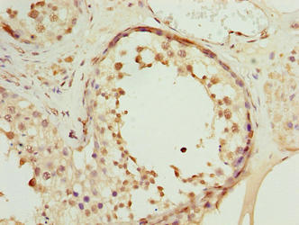
Immunohistochemistry of paraffin-embedded human testis tissue using CSB-PA842662LA01HU at dilution of 1:100
-
-
其他:
產品詳情
-
產品名稱:Rabbit anti-Homo sapiens (Human) SPDL1 Polyclonal antibody
-
Uniprot No.:
-
基因名:SPDL1
-
別名:AA409762 antibody; Arsenite related gene 1 protein antibody; Arsenite-related gene 1 protein antibody; CCDC 99 antibody; Ccdc99 antibody; Coiled coil domain containing 99 antibody; Coiled-coil domain-containing protein 99 antibody; FLJ20364 antibody; FLJ40690 antibody; hSpindly antibody; MGC124977 antibody; Protein Spindly antibody; rhabdomyosarcoma antigen MU RMS 40.4A antibody; Rhabdomyosarcoma antigen MU-RMS-40.4A antibody; Rrhabdomyosarcoma antigen protein MU RMS 40.4A antibody; SPDL1 antibody; SPDLY_HUMAN antibody; Spindle apparatus coiled coil domain containing protein 1 antibody; Spindle apparatus coiled coil protein 1 antibody; Spindly antibody; Spindly homolog antibody
-
宿主:Rabbit
-
反應種屬:Human
-
免疫原:Recombinant Human Protein Spindly protein (1-300AA)
-
免疫原種屬:Homo sapiens (Human)
-
標記方式:Non-conjugated
本頁面中的產品,SPDL1 Antibody (CSB-PA842662LA01HU),的標記方式是Non-conjugated。對于SPDL1 Antibody,我們還提供其他標記。見下表:
-
克隆類型:Polyclonal
-
抗體亞型:IgG
-
純化方式:>95%, Protein G purified
-
濃度:It differs from different batches. Please contact us to confirm it.
-
保存緩沖液:Preservative: 0.03% Proclin 300
Constituents: 50% Glycerol, 0.01M PBS, PH 7.4 -
產品提供形式:Liquid
-
應用范圍:ELISA, WB, IHC
-
推薦稀釋比:
Application Recommended Dilution WB 1:1000-1:5000 IHC 1:20-1:200 -
Protocols:
-
儲存條件:Upon receipt, store at -20°C or -80°C. Avoid repeated freeze.
-
貨期:Basically, we can dispatch the products out in 1-3 working days after receiving your orders. Delivery time maybe differs from different purchasing way or location, please kindly consult your local distributors for specific delivery time.
-
用途:For Research Use Only. Not for use in diagnostic or therapeutic procedures.
相關產品
靶點詳情
-
功能:Required for the localization of dynein and dynactin to the mitotic kintochore. Dynein is believed to control the initial lateral interaction between the kinetochore and spindle microtubules and to facilitate the subsequent formation of end-on kinetochore-microtubule attachments mediated by the NDC80 complex. Also required for correct spindle orientation. Does not appear to be required for the removal of spindle assembly checkpoint (SAC) proteins from the kinetochore upon bipolar spindle attachment. Acts as an adapter protein linking the dynein motor complex to various cargos and converts dynein from a non-processive to a highly processive motor in the presence of dynactin. Facilitates the interaction between dynein and dynactin and activates dynein processivity (the ability to move along a microtubule for a long distance without falling off the track). Plays a role in cell migration.
-
基因功能參考文獻:
- Farnesylation of Spindly is essential for its localization, & thus for proper localization of dynein & dynactin, to prometaphase kinetochores. Both Spindly and CENP-E farnesylation are required for efficient chromosome congression PMID: 25808490
- hSpindly is farnesylated in vivo and farnesylation is essential for its interaction with the RZZ complex and hence Kinetochore localization. PMID: 25825516
- Spindly is not only required for kinetochore localization of dynein but is a functional component of a mechanism that couples dynein-dependent poleward movement of chromosomes to their efficient attachment to microtubules. PMID: 20427577
- dynein-mediated removal of Spindly from microtubule-attached kinetochores, rather than poleward transport per se, is the critical reaction in checkpoint silencing PMID: 20439434
- [hSpindly] Localization of human Spindly (hSpindly) to kinetochores is controlled by the Rod/Zw10/Zwilch (RZZ) complex and Aurora B. PMID: 19468067
顯示更多
收起更多
-
亞細胞定位:Cytoplasm, cytoskeleton, microtubule organizing center, centrosome. Chromosome, centromere, kinetochore. Nucleus. Cytoplasm, cytoskeleton, spindle pole. Note=Localizes to the nucleus in interphase and to the kinetochore in early prometaphase. Relocalizes to the mitotic spindle pole before metaphase and is subsequently lost from the spindle poles after chromosome congression is completed. Removal of this protein from the kinetochore requires the dynein/dynactin complex.
-
蛋白家族:Spindly family
-
數據庫鏈接:
Most popular with customers
-
-
YWHAB Recombinant Monoclonal Antibody
Applications: ELISA, WB, IHC, IF, FC
Species Reactivity: Human, Mouse, Rat
-
Phospho-YAP1 (S127) Recombinant Monoclonal Antibody
Applications: ELISA, WB, IHC
Species Reactivity: Human
-
-
-
-
-















