-
中文名稱:SPDEF兔多克隆抗體
-
貨號:CSB-PA874773
-
規格:¥1100
-
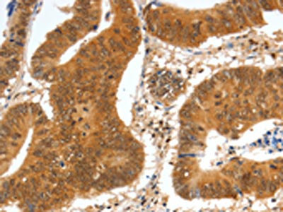
圖片:
-
The image on the left is immunohistochemistry of paraffin-embedded Human colon cancer tissue using CSB-PA874773(SPDEF Antibody) at dilution 1/60, on the right is treated with fusion protein. (Original magnification: ×200)
-
The image on the left is immunohistochemistry of paraffin-embedded Human tonsil tissue using CSB-PA874773(SPDEF Antibody) at dilution 1/60, on the right is treated with fusion protein. (Original magnification: ×200)
-
-
其他:
產品詳情
-
Uniprot No.:
-
基因名:SPDEF
-
別名:bA375E1.3 antibody; PDEF antibody; Prostate derived Ets factor antibody; PROSTATE EPITHELIUM SPECIFIC ETS TRANSCRIPTION FACTOR antibody; Prostate epithelium-specific Ets transcription factor antibody; Prostate specific Ets antibody; Prostate-derived Ets factor antibody; Prostate-specific Ets antibody; PSE antibody; RP11-375E1__A.3 antibody; SAM POINTED DOMAIN CONTAINING ETS TRANSCRIPTION FACTOR antibody; SAM pointed domain-containing Ets transcription factor antibody; Spdef antibody; SPDEF_HUMAN antibody
-
宿主:Rabbit
-
反應種屬:Human,Mouse
-
免疫原:Fusion protein of Human SPDEF
-
免疫原種屬:Homo sapiens (Human)
-
標記方式:Non-conjugated
-
抗體亞型:IgG
-
純化方式:Antigen affinity purification
-
濃度:It differs from different batches. Please contact us to confirm it.
-
保存緩沖液:-20°C, pH7.4 PBS, 0.05% NaN3, 40% Glycerol
-
產品提供形式:Liquid
-
應用范圍:ELISA,IHC
-
推薦稀釋比:
Application Recommended Dilution ELISA 1:2000-1:5000 IHC 1:50-1:200 -
Protocols:
-
儲存條件:Upon receipt, store at -20°C or -80°C. Avoid repeated freeze.
-
貨期:Basically, we can dispatch the products out in 1-3 working days after receiving your orders. Delivery time maybe differs from different purchasing way or location, please kindly consult your local distributors for specific delivery time.
-
用途:For Research Use Only. Not for use in diagnostic or therapeutic procedures.
引用文獻
相關產品
靶點詳情
-
功能:May function as an androgen-independent transactivator of the prostate-specific antigen (PSA) promoter. Binds to 5'-GGAT-3' DNA sequences. May play a role in the regulation of the prostate gland and/or prostate cancer development. Acts as a transcriptional activator for SERPINB5 promoter.
-
基因功能參考文獻:
- PSMA, TERT, and PDEF may serve as a reference for clinical diagnosis and as potential targets for the malignant tumor of the prostate therapeutics PMID: 28829509
- This is, to our knowledge, the first report of decreased expression of TFF3, SPDEF, KLF4, and goblet cell population in the colon of patients with HSCR. Altered goblet cell function may result in intestinal barrier dysfunction contributing to the development of HAEC. PMID: 29383490
- Loss of SPDEF promotes prostate cancer growth and metastasis and can be caused by dysregulation or therapeutic inhibition of androgen receptor signaling. PMID: 28811384
- Results demonstrated that SPDEF expression is increased during IL-13-induced goblet cell differentiation, which correlates to hypermethylation of CpG number 8 in the SPDEF promoter. These findings suggest that aberrant DNA methylation of SPDEF is one of the factors underlying mucus hypersecretion in COPD. PMID: 28450970
- Taken together, these results suggested a novel function for SPDEF wherein it represses canonical Wnt/b-catenin transcriptional activity through selectively displacing b-catenin from chromatin targets. PMID: 28390865
- these findings demonstrate PDEF to be an oncogenic driver of breast cancer and a biomarker of poor prognosis in this cancer. Based on this understanding and the limited expression of PDEF in normal human tissues, the development of PDEF-based therapeutics for prevention and treatment of breast cancer is also discussed PMID: 28468594
- These results indicate efficient SPDEF silencing and downregulation of mucus-related gene expression by epigenetic editing, in human lung epithelial cells. PMID: 28011616
- miR-125b inhibits SPDEF expression modulating goblet cell differentiation and mucus secretion in asthma PMID: 27112664
- PDEF regulates many genes, which participate in various stages of tumor development. PMID: 27612480
- PDEF gene expression is associated with the extent of bladder neoplasia and PDEF modulated the expressions of EMT-related genes. PMID: 26965996
- SPDEF inhibits prostate carcinogenesis by disrupting a positive feedback loop in regulation of the Foxm1 oncogene. PMID: 25254494
- We found significantly increased SPDEF and MUC5AC expression in CRSwNP patients compared to the controls (P < .05); the mRNA level of SPDEF was positively correlated with MUC5AC expression in CRS patients (P < .05). PMID: 25376946
- we identified four proteins with different expression in paclitaxel resistant cells, i.e., serpin B3, serpin B4, heat shock protein 27 (all three upregulated) and cytokeratin 18 (downregulated). PMID: 24898171
- PDEF undergoes DNA methylation in breast cancer cells. PMID: 23921628
- Host Kruppel-like factor 15, Slug, and SPDEF, stimulated the herpes simplex virus type 1 ICP0 promoter more than 150-fold. PMID: 24027338
- Data indicate that Il-9 and IL-13 regulate expressions of MUC5AC, SPDEF and matrix metalloproteinase 7 (MMP-7) in pediatric bronchial epithelial cell. PMID: 23671562
- these findings show that PDEF-CEACAM6 is a highly active oncogenic axis in breast cancer PMID: 23592399
- Data demonstrate that SPDEF is required for conjunctival goblet cell differentiation and down-regulation of SPDEF may play a role in human dry eye with goblet cell loss. PMID: 23665202
- Prostate-derived ETS factor (PDEF) is identified as a mediator of mammary luminal epithelial lineage-specific gene expression and as a factor required for tumorigenesis in a subset of breast cancers. PMID: 23764000
- In colorectal tumors from patients, loss of SPDEF was observed in approximately 85% of tumors and correlated with progression from normal tissue, to adenoma, to adenocarcinoma. PMID: 23376423
- Data show that SAM pointed domain ETS factor (SPDEF) was induced by rhinoviral infection of primary human airway cells. PMID: 23012424
- SPDEF functions as a tumor metastasis suppressor in vivo. PMID: 22761428
- PDEF may inhibit prostate cancer progression by transcriptional downregulation of oncogenic STMN expression. PMID: 22378487
- PDEF is a negative regulator of prostate tumor progression and the miR-204-PDEF regulatory axis contributes to PDEF protein loss and resultant cancer progression. PMID: 21446014
- Studies indicate that PDEF is a negative regulator of tumor progression and metastasis. PMID: 21764212
- Up-regulation of PDEF is associated with a favorable prognosis in patients with clinically localized prostate cancer. PMID: 21656828
- results show that SPDEF plays a critical role in regulating a transcriptional network mediating IL-13-induced MUC5AC synthesis dependent on STAT6 PMID: 21275604
- studies demonstrate for the first time negative regulation of MMP9 expression by PDEF, and that PDEF expression was lost in aggressive prostate cancer and was inversely associated with MMP9 expression in clinical samples of prostate cancer PMID: 20550708
- Transcriptional regulation of p21/CIP1 cell cycle inhibitor by PDEF controls cell proliferation and mammary tumor progression PMID: 20139077
- PDEF is a negative regulator of colon cancer cell growth and migration. PMID: 19830706
- Spdef was sufficient to inhibit proliferation of intestinal progenitors and induce differentiation into goblet cells. PMID: 19786015
- NKX-3.1 interacts with prostate-derived Ets factor and regulates the activity of the PSA promoter. PMID: 11809674
- PDEF upregulates p62 promoter activity at 2 sites. PSI downregulates PDEF-induced p62 promoter activation through one of these sites. PMID: 12700667
- Pdef loss may alter the expression of genes controlling progression to invasive breast cancer. PMID: 12907642
- identified novel protein-protein interaction domains within NKX-3.1 and PDEF that operate in concert with their respective DNA binding domains to mediate functional interactions between these growth regulatory transcription factors PMID: 15523673
- Despite common essential features that are shared among Ets members, the crystal structure of PDEF Ets domain demonstrates distinct patterns of interactions at different positions of DNA in achieving sequence specific recognition. PMID: 15882048
- RUNX factors participate in prostate epithelial cell function and cooperate with an Ets transcription factor to regulate PSA gene expression PMID: 16237704
- PDEF overexpression is associated with activation of ErbB2 and CSF-1R and breast tumor progression PMID: 16357167
- prostate-derived Ets factor is a potential marker and target in ovarian cancer PMID: 17197890
- SPDEF was induced following intratracheal allergen exposure and after Th2 cytokine stimulation and was sufficient to cause goblet cell differentiation of Clara cells in vivo. PMID: 17347682
- these results for the first time show frequent increased expression of PDEF protein in breast and prostate tumors and support a role for PDEF in breast and prostate cancer progression. PMID: 17521701
- PDEF mRNA expression could be useful in breast cancer molecular staging. PMID: 17971898
- increased PDEF expression along with reduced survivin was associated with prolonged survival of patients with ovarian cancer PMID: 18567002
- analysis of PDEF transcriptional networks regulating cell migration during cancer progression PMID: 18579687
- prostate derived Ets factor mRNA quantitation did not reveal any significant differences between breast cancer patients and healthy women PMID: 18846421
- PDEF may be regulated by Erbb2 or EGFR-activated signaling pathways in breast cancer cells. PMID: 19203193
- we hypothesize that SPDEF has a function in the specification of the progenitor cells of the luminal epithelial lineage that become targets of oncogenesis in luminal breast cancer. PMID: 19505923
顯示更多
收起更多
-
亞細胞定位:Nucleus.
-
蛋白家族:ETS family
-
組織特異性:Expressed in a very restricted set of primarily hormone-regulated epithelial tissues with particularly high expression in the prostate gland. Significantly lower expression is seen in other hormone regulated tissues such as mammary gland, salivary gland,
-
數據庫鏈接:
Most popular with customers
-
-
YWHAB Recombinant Monoclonal Antibody
Applications: ELISA, WB, IHC, IF, FC
Species Reactivity: Human, Mouse, Rat
-
Phospho-YAP1 (S127) Recombinant Monoclonal Antibody
Applications: ELISA, WB, IHC
Species Reactivity: Human
-
-
-
-
-















