SPATA6 Antibody
-
中文名稱:SPATA6兔多克隆抗體
-
貨號:CSB-PA161929
-
規格:¥1100
-
圖片:
-
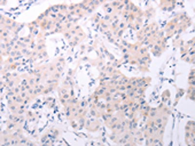
The image on the left is immunohistochemistry of paraffin-embedded Human liver cancer tissue using CSB-PA161929(SPATA6 Antibody) at dilution 1/50, on the right is treated with fusion protein. (Original magnification: ×200)
-
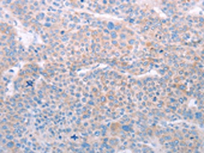
The image on the left is immunohistochemistry of paraffin-embedded Human lung cancer tissue using CSB-PA161929(SPATA6 Antibody) at dilution 1/50, on the right is treated with fusion protein. (Original magnification: ×200)
-
-
其他:
產品詳情
-
Uniprot No.:
-
基因名:SPATA6
-
別名:1700062C23Rik antibody; AI790763 antibody; FLJ10007 antibody; Hash antibody; KRP antibody; Mash antibody; RP23 402I22.1 antibody; SPAT6_HUMAN antibody; SPATA6 antibody; spermatogenesis associated 6 antibody; Spermatogenesis-associated protein 6 antibody; SRF 1 antibody; SRF1 antibody
-
宿主:Rabbit
-
反應種屬:Human,Mouse,Rat
-
免疫原:Fusion protein of Human SPATA6
-
免疫原種屬:Homo sapiens (Human)
-
標記方式:Non-conjugated
-
抗體亞型:IgG
-
純化方式:Antigen affinity purification
-
濃度:It differs from different batches. Please contact us to confirm it.
-
保存緩沖液:-20°C, pH7.4 PBS, 0.05% NaN3, 40% Glycerol
-
產品提供形式:Liquid
-
應用范圍:ELISA,IHC
-
推薦稀釋比:
Application Recommended Dilution ELISA 1:2000-1:5000 IHC 1:25-1:100 -
Protocols:
-
儲存條件:Upon receipt, store at -20°C or -80°C. Avoid repeated freeze.
-
貨期:Basically, we can dispatch the products out in 1-3 working days after receiving your orders. Delivery time maybe differs from different purchasing way or location, please kindly consult your local distributors for specific delivery time.
-
用途:For Research Use Only. Not for use in diagnostic or therapeutic procedures.
相關產品
靶點詳情
-
功能:Required for formation of the sperm connecting piece during spermiogenesis. Sperm connecting piece is essential for linking the developing flagellum to the head during late spermiogenesis. May be involved in myosin-based microfilament transport through interaction with myosin subunits.
-
基因功能參考文獻:
- SPATA6 may play an important role in testicular germ cell tumors, and down-regulation of SPATA6 could lead to apoptosis of testicular germ cell tumors. PMID: 26464655
-
亞細胞定位:Secreted. Cell projection, cilium, flagellum.
-
蛋白家族:SPATA6 family
-
數據庫鏈接:
Most popular with customers
-
-
YWHAB Recombinant Monoclonal Antibody
Applications: ELISA, WB, IHC, IF, FC
Species Reactivity: Human, Mouse, Rat
-
Phospho-YAP1 (S127) Recombinant Monoclonal Antibody
Applications: ELISA, WB, IHC
Species Reactivity: Human
-
-
-
-
-















