SPATA16 Antibody
-
中文名稱:SPATA16兔多克隆抗體
-
貨號:CSB-PA871597LA01HU
-
規格:¥440
-
圖片:
-
其他:
產品詳情
-
產品名稱:Rabbit anti-Homo sapiens (Human) SPATA16 Polyclonal antibody
-
Uniprot No.:
-
基因名:SPATA16
-
別名:NYD SP12 antibody; NYD-SP12 antibody; NYDSP12 antibody; SPATA16 antibody; Spermatogenesis associated 16 antibody; Spermatogenesis-associated protein 16 antibody; SPGF6 antibody; SPT16_HUMAN antibody; Testis development protein antibody; Testis development protein NYD-SP12 antibody; Testis specific Golgi protein antibody
-
宿主:Rabbit
-
反應種屬:Human
-
免疫原:Recombinant Human Spermatogenesis-associated protein 16 protein (238-475AA)
-
免疫原種屬:Homo sapiens (Human)
-
標記方式:Non-conjugated
本頁面中的產品,SPATA16 Antibody (CSB-PA871597LA01HU),的標記方式是Non-conjugated。對于SPATA16 Antibody,我們還提供其他標記。見下表:
-
克隆類型:Polyclonal
-
抗體亞型:IgG
-
純化方式:>95%, Protein G purified
-
濃度:It differs from different batches. Please contact us to confirm it.
-
保存緩沖液:Preservative: 0.03% Proclin 300
Constituents: 50% Glycerol, 0.01M PBS, PH 7.4 -
產品提供形式:Liquid
-
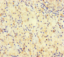
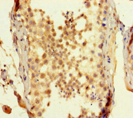
應用范圍:ELISA, IHC
-
推薦稀釋比:
Application Recommended Dilution IHC 1:20-1:200 -
Protocols:
-
儲存條件:Upon receipt, store at -20°C or -80°C. Avoid repeated freeze.
-
貨期:Basically, we can dispatch the products out in 1-3 working days after receiving your orders. Delivery time maybe differs from different purchasing way or location, please kindly consult your local distributors for specific delivery time.
-
用途:For Research Use Only. Not for use in diagnostic or therapeutic procedures.
相關產品
靶點詳情
-
功能:Involved in the formation of sperm acrosome, which implicated its potential role in spermatogenesis and sperm-egg fusion.
-
基因功能參考文獻:
- This study demonstrates that Spata16 is indispensable for male fertility in mice, as well as in humans. PMID: 29065458
- Mutation of SPATA16 is associated with globozoospermia. PMID: 27086357
- Case Report: report of a pregnancy obtained in a man with homozygous SPATA16 mutated globozoospermia. PMID: 24825417
- results suggest that NYD-SP12 is involved in spermatogenesis, and that NYD-SP12-encoded protein might function in the Golgi apparatus PMID: 12529416
- study demonstrated NYD-SP12 protein was involved in the formation of the acrosome during spermatogenesis PMID: 16372119
- Results indicate that NYD-SP12 evolves rapidly in both the human and the chimpanzee lineages, which is likely caused by Darwinian positive selection and/or sexual selection. PMID: 17665087
- consanguineous family with three affected brothers, in whom we have identified a homozygous mutation in the spermatogenesis-specific gene SPATA16. This is the first example of a nonsyndromic male infertility condition caused by an autosomal gene defect. PMID: 17847006
顯示更多
收起更多
-
相關疾病:Spermatogenic failure 6 (SPGF6)
-
亞細胞定位:Golgi apparatus. Note=Localized to the perinuclear region.
-
蛋白家族:SPATA16 family
-
組織特異性:Expressed in testis.
-
數據庫鏈接:
Most popular with customers
-
-
YWHAB Recombinant Monoclonal Antibody
Applications: ELISA, WB, IHC, IF, FC
Species Reactivity: Human, Mouse, Rat
-
Phospho-YAP1 (S127) Recombinant Monoclonal Antibody
Applications: ELISA, WB, IHC
Species Reactivity: Human
-
-
-
-
-















