SPAG6 Antibody
-
中文名稱:SPAG6兔多克隆抗體
-
貨號:CSB-PA909564
-
規格:¥1100
-
圖片:
-
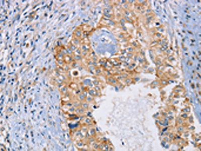
The image on the left is immunohistochemistry of paraffin-embedded Human liver cancer tissue using CSB-PA909564(SPAG6 Antibody) at dilution 1/30, on the right is treated with synthetic peptide. (Original magnification: ×200)
-
The image on the left is immunohistochemistry of paraffin-embedded Human cervical cancer tissue using CSB-PA909564(SPAG6 Antibody) at dilution 1/30, on the right is treated with synthetic peptide. (Original magnification: ×200)
-
-
其他:
產品詳情
-
Uniprot No.:
-
基因名:SPAG6
-
別名:axoneme central apparatus protein antibody; DKFZp434I153 antibody; MGC26276 antibody; PF16 antibody; PF16 protein homolog antibody; Protein PF16 homolog antibody; Repro SA 1 antibody; Repro-SA-1 antibody; SPAG6 antibody; SPAG6_HUMAN antibody; Sperm associated antigen 6 antibody; Sperm flagellar protein antibody; Sperm-associated antigen 6 antibody
-
宿主:Rabbit
-
反應種屬:Human,Mouse
-
免疫原:Synthetic peptide of Human SPAG6
-
免疫原種屬:Homo sapiens (Human)
-
標記方式:Non-conjugated
-
抗體亞型:IgG
-
純化方式:Antigen affinity purification
-
濃度:It differs from different batches. Please contact us to confirm it.
-
保存緩沖液:-20°C, pH7.4 PBS, 0.05% NaN3, 40% Glycerol
-
產品提供形式:Liquid
-
應用范圍:ELISA,IHC
-
推薦稀釋比:
Application Recommended Dilution ELISA 1:1000-1:5000 IHC 1:25-1:100 -
Protocols:
-
儲存條件:Upon receipt, store at -20°C or -80°C. Avoid repeated freeze.
-
貨期:Basically, we can dispatch the products out in 1-3 working days after receiving your orders. Delivery time maybe differs from different purchasing way or location, please kindly consult your local distributors for specific delivery time.
-
用途:For Research Use Only. Not for use in diagnostic or therapeutic procedures.
相關產品
靶點詳情
-
功能:Important for structural integrity of the central apparatus in the sperm tail and for flagellar motility.
-
基因功能參考文獻:
- These results demonstrate that SPAG6 silencing induces PTEN expression to regulate apoptosis though the PI3K/AKT pathway, indicating that SPAG6 may be a potential therapeutic target for myelodysplastic syndromes. PMID: 29749435
- SPAG6 and L1TD1 are tumor-specifically methylated in NSCLCs and that DNA methylation is involved in the transcriptional regulation of these genes. Moreover, in vitro as well as in vivo experiments revealed tumor-cell growth suppressing properties of L1TD1 in NSCLC cells. PMID: 28093071
- Study demonstrates that SPAG6 may regulate apoptosis through the TRAIL signal pathway by inhibiting the expression of FADD and the interactions between FADD and the TRAIL death receptors. PMID: 28393201
- studies demonstrate a role for Spag6 in the pathogenesis of OM in mice, possibly through its role in the regulation of cilia/basal body polarity through the PCP-dependent mechanisms in the middle ear and Eustachian tubes. PMID: 25393619
- These findings demonstrate that SPAG6 might have a role in malignant myeloid hematologic cell proliferation and apoptosis by regulating caspase proteins and p53, suggesting that SPAG6 may be a potential therapeutic target. PMID: 25405588
- SPAG6 is a S-SOX5 target gene, indicating a key role for S-SOX5 in the formation and function of motile cilia. PMID: 20668334
- Data describe the cloning of human and mouse Pf20 proteins that interact with Spag6 protein. PMID: 12391165
顯示更多
收起更多
-
亞細胞定位:Cytoplasm, cytoskeleton. Cell projection, cilium, flagellum. Cytoplasm, cytoskeleton, cilium axoneme.
-
組織特異性:Highly expressed in testis.
-
數據庫鏈接:
Most popular with customers
-
-
YWHAB Recombinant Monoclonal Antibody
Applications: ELISA, WB, IHC, IF, FC
Species Reactivity: Human, Mouse, Rat
-
Phospho-YAP1 (S127) Recombinant Monoclonal Antibody
Applications: ELISA, WB, IHC
Species Reactivity: Human
-
-
-
-
-















