SOX30 Antibody
-
中文名稱:SOX30兔多克隆抗體
-
貨號:CSB-PA022430LA01HU
-
規格:¥440
-
圖片:
-
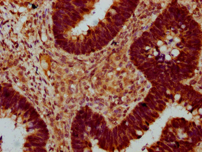
IHC image of CSB-PA022430LA01HU diluted at 1:400 and staining in paraffin-embedded human ovarian cancer performed on a Leica BondTM system. After dewaxing and hydration, antigen retrieval was mediated by high pressure in a citrate buffer (pH 6.0). Section was blocked with 10% normal goat serum 30min at RT. Then primary antibody (1% BSA) was incubated at 4°C overnight. The primary is detected by a biotinylated secondary antibody and visualized using an HRP conjugated SP system.
-
Immunofluorescence staining of HepG2 cells with CSB-PA022430LA01HU at 1:133, counter-stained with DAPI. The cells were fixed in 4% formaldehyde, permeabilized using 0.2% Triton X-100 and blocked in 10% normal Goat Serum. The cells were then incubated with the antibody overnight at 4°C. The secondary antibody was Alexa Fluor 488-congugated AffiniPure Goat Anti-Rabbit IgG(H+L).
-
-
其他:
產品詳情
-
產品名稱:Rabbit anti-Homo sapiens (Human) SOX30 Polyclonal antibody
-
Uniprot No.:
-
基因名:SOX30
-
別名:SOX30 antibody; Transcription factor SOX-30 antibody
-
宿主:Rabbit
-
反應種屬:Human
-
免疫原:Recombinant Human Transcription factor SOX-30 protein (84-206AA)
-
免疫原種屬:Homo sapiens (Human)
-
標記方式:Non-conjugated
本頁面中的產品,SOX30 Antibody (CSB-PA022430LA01HU),的標記方式是Non-conjugated。對于SOX30 Antibody,我們還提供其他標記。見下表:
-
克隆類型:Polyclonal
-
抗體亞型:IgG
-
純化方式:>95%, Protein G purified
-
濃度:It differs from different batches. Please contact us to confirm it.
-
保存緩沖液:Preservative: 0.03% Proclin 300
Constituents: 50% Glycerol, 0.01M PBS, pH 7.4 -
產品提供形式:Liquid
-
應用范圍:ELISA, IHC, IF
-
推薦稀釋比:
Application Recommended Dilution IHC 1:200-1:500 IF 1:50-1:200 -
Protocols:
-
儲存條件:Upon receipt, store at -20°C or -80°C. Avoid repeated freeze.
-
貨期:Basically, we can dispatch the products out in 1-3 working days after receiving your orders. Delivery time maybe differs from different purchasing way or location, please kindly consult your local distributors for specific delivery time.
-
用途:For Research Use Only. Not for use in diagnostic or therapeutic procedures.
相關產品
靶點詳情
-
功能:Acts as both a transcriptional activator and repressor. Binds to the DNA sequence 5'-ACAAT-3' and shows a preference for guanine residues surrounding this core motif. Binds to its own promoter and activates its own transcription. Required to activate the expression of postmeiotic genes involved in spermiogenesis. Binds to the promoter region of CTNNB1 and represses its transcription which leads to inhibition of Wnt signaling. Also inhibits Wnt signaling by binding to the CTNNB1 protein, preventing interaction of CTNNB1 with TCF7L2/TCF4.
-
基因功能參考文獻:
- these results highlight an important role and mechanism of SOX30 in lung cancer metastasis, providing a potential therapeutic target for anti-metastasis. PMID: 29739711
- SOX30 expression represents an important prognostic factor for survival time in lung adenocarcinoma patients. PMID: 26330328
- Blockade of p53 attenuates the tumor inhibition of SOX30. PMID: 25435374
-
亞細胞定位:Nucleus. Cytoplasm.
-
數據庫鏈接:
Most popular with customers
-
-
YWHAB Recombinant Monoclonal Antibody
Applications: ELISA, WB, IHC, IF, FC
Species Reactivity: Human, Mouse, Rat
-
Phospho-YAP1 (S127) Recombinant Monoclonal Antibody
Applications: ELISA, WB, IHC
Species Reactivity: Human
-
-
-
-
-















