SOX13 Antibody
-
中文名稱:SOX13兔多克隆抗體
-
貨號:CSB-PA699917
-
規格:¥1100
-
圖片:
-
The image on the left is immunohistochemistry of paraffin-embedded Human tonsil tissue using CSB-PA699917(SOX13 Antibody) at dilution 1/50, on the right is treated with synthetic peptide. (Original magnification: ×200)
-
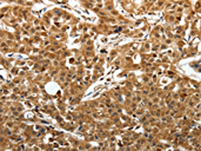
The image on the left is immunohistochemistry of paraffin-embedded Human lung cancer tissue using CSB-PA699917(SOX13 Antibody) at dilution 1/50, on the right is treated with synthetic peptide. (Original magnification: ×200)
-
Gel: 10%SDS-PAGE, Lysate: 40 μg, Lane: Mouse liver tissue, Primary antibody: CSB-PA699917(SOX13 Antibody) at dilution 1/800, Secondary antibody: Goat anti rabbit IgG at 1/8000 dilution, Exposure time: 1 minute
-
-
其他:
產品詳情
-
Uniprot No.:
-
基因名:SOX13
-
別名:ICA 12 antibody; ICA12 antibody; Islet cell antibody 12 antibody; Islet cell antigen 12 antibody; MGC117216 antibody; SOX 13 antibody; SOX 13 protein antibody; sox13 antibody; SOX13 protein antibody; SOX13_HUMAN antibody; SRY (Sex determining region Y)-box 13 antibody; SRY box 13 antibody; SRY box containing gene 13 antibody; SRY related HMG box gene 13 antibody; SRY sex determining region Y box 13 antibody; Transcription factor SOX 13 antibody; Transcription factor Sox-13 antibody; Type 1 diabetes autoantigen antibody; Type 1 diabetes autoantigen ICA 12 antibody; Type 1 diabetes autoantigen ICA12 antibody
-
宿主:Rabbit
-
反應種屬:Human,Mouse
-
免疫原:Synthetic peptide of Human SOX13
-
免疫原種屬:Homo sapiens (Human)
-
標記方式:Non-conjugated
-
抗體亞型:IgG
-
純化方式:Antigen affinity purification
-
濃度:It differs from different batches. Please contact us to confirm it.
-
保存緩沖液:-20°C, pH7.4 PBS, 0.05% NaN3, 40% Glycerol
-
產品提供形式:Liquid
-
應用范圍:ELISA,WB,IHC
-
推薦稀釋比:
Application Recommended Dilution ELISA 1:2000-1:5000 WB 1:500-1:2000 IHC 1:50-1:200 -
Protocols:
-
儲存條件:Upon receipt, store at -20°C or -80°C. Avoid repeated freeze.
-
貨期:Basically, we can dispatch the products out in 1-3 working days after receiving your orders. Delivery time maybe differs from different purchasing way or location, please kindly consult your local distributors for specific delivery time.
-
用途:For Research Use Only. Not for use in diagnostic or therapeutic procedures.
相關產品
靶點詳情
-
功能:Transcription factor that binds to DNA at the consensus sequence 5'-AACAAT-3'. Binds to the proximal promoter region of the myelin protein MPZ gene, and may thereby be involved in the differentiation of oligodendroglia in the developing spinal tube. Binds to the gene promoter of MBP and acts as a transcriptional repressor. Binds to and modifies the activity of TCF7/TCF1, thereby inhibiting transcription and modulates normal gamma-delta T-cell development and differentiation of IL17A expressing gamma-delta T-cells. Regulates expression of BLK in the differentiation of IL17A expressing gamma-delta T-cells. Promotes brown adipocyte differentiation. Inhibitor of WNT signaling.
-
基因功能參考文獻:
- the interaction between Hhex and SOX13 may contribute to control Wnt/TCF1 signaling in the early embryo. PMID: 20028982
-
亞細胞定位:Nucleus. Cytoplasm.
-
組織特異性:Expressed in exocrine cells and islets of Langerhans in the pancreas (at protein level). Expressed in the pancreas, placenta, kidney, brain, heart, lung, and liver. Expressed in adipose tissue, cervix, colon, esophagus, ovary, prostate, small intestine, s
-
數據庫鏈接:
Most popular with customers
-
-
YWHAB Recombinant Monoclonal Antibody
Applications: ELISA, WB, IHC, IF, FC
Species Reactivity: Human, Mouse, Rat
-
Phospho-YAP1 (S127) Recombinant Monoclonal Antibody
Applications: ELISA, WB, IHC
Species Reactivity: Human
-
-
-
-
-















