SORT1 Antibody
-
中文名稱:SORT1兔多克隆抗體
-
貨號:CSB-PA194090
-
規格:¥1100
-
圖片:
-
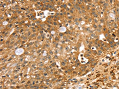
The image on the left is immunohistochemistry of paraffin-embedded Human liver cancer tissue using CSB-PA194090(SORT1 Antibody) at dilution 1/40, on the right is treated with synthetic peptide. (Original magnification: ×200)
-
The image on the left is immunohistochemistry of paraffin-embedded Human breast cancer tissue using CSB-PA194090(SORT1 Antibody) at dilution 1/40, on the right is treated with synthetic peptide. (Original magnification: ×200)
-
-
其他:
產品詳情
-
Uniprot No.:
-
基因名:
-
別名:100 kDa NT receptor antibody; Glycoprotein 95 antibody; Gp 95 antibody; Gp95 antibody; LDLCQ6 antibody; Neurotensin receptor 3 antibody; NT 3 antibody; NT3 antibody; NTR 3 antibody; NTR3 antibody; OTTHUMP00000013784 antibody; SORT 1 antibody; SORT_HUMAN antibody; SORT1 (gene name) antibody; Sort1 antibody; Sortilin 1 antibody; Sortilin antibody
-
宿主:Rabbit
-
反應種屬:Human,Mouse,Rat
-
免疫原:Synthetic peptide of Human SORT1
-
免疫原種屬:Homo sapiens (Human)
-
標記方式:Non-conjugated
-
抗體亞型:IgG
-
純化方式:Antigen affinity purification
-
濃度:It differs from different batches. Please contact us to confirm it.
-
保存緩沖液:-20°C, pH7.4 PBS, 0.05% NaN3, 40% Glycerol
-
產品提供形式:Liquid
-
應用范圍:ELISA,IHC
-
推薦稀釋比:
Application Recommended Dilution ELISA 1:2000-1:5000 IHC 1:40-1:150 -
Protocols:
-
儲存條件:Upon receipt, store at -20°C or -80°C. Avoid repeated freeze.
-
貨期:Basically, we can dispatch the products out in 1-3 working days after receiving your orders. Delivery time maybe differs from different purchasing way or location, please kindly consult your local distributors for specific delivery time.
-
用途:For Research Use Only. Not for use in diagnostic or therapeutic procedures.
相關產品
靶點詳情
-
功能:Functions as a sorting receptor in the Golgi compartment and as a clearance receptor on the cell surface. Required for protein transport from the Golgi apparatus to the lysosomes by a pathway that is independent of the mannose-6-phosphate receptor (M6PR). Lysosomal proteins bind specifically to the receptor in the Golgi apparatus and the resulting receptor-ligand complex is transported to an acidic prelysosomal compartment where the low pH mediates the dissociation of the complex. The receptor is then recycled back to the Golgi for another round of trafficking through its binding to the retromer. Also required for protein transport from the Golgi apparatus to the endosomes. Promotes neuronal apoptosis by mediating endocytosis of the proapoptotic precursor forms of BDNF (proBDNF) and NGFB (proNGFB). Also acts as a receptor for neurotensin. May promote mineralization of the extracellular matrix during osteogenic differentiation by scavenging extracellular LPL. Probably required in adipocytes for the formation of specialized storage vesicles containing the glucose transporter SLC2A4/GLUT4 (GLUT4 storage vesicles, or GSVs). These vesicles provide a stable pool of SLC2A4 and confer increased responsiveness to insulin. May also mediate transport from the endoplasmic reticulum to the Golgi.
-
基因功能參考文獻:
- The common variant rs12740374 associated with Lp(a) cholesterol is a quantitative trait locus for SORT1 which is independent of LDL cholesterol. PMID: 29973585
- High SORT1 expression is associated with Neuroendocrine Tumors. PMID: 29272741
- SORT1 is a genetic risk factor for frontotemporal dementia. PMID: 29555433
- Most rotavirus strains require the cation-independent mannose-6-phosphate receptor, sortilin-1, and cathepsins to enter cells. PMID: 29275103
- regulator of EGFR intracellular trafficking that promotes receptor internalization and limits signaling, which in turn impacts tumor growth PMID: 29084952
- Results provide evidence that progranulin destabilizes sortilin via ubiquitination and lysosomal degradation to override the negative modulatory functions of sortilin thereby assuring the sustainable pro-tumorigenic actions of progranulin in castration-resistant prostate cancer. PMID: 28433812
- we report that sortilin also plays a role in tau prion replication and may thus represent an exciting target for therapeutic intervention in tau-related diseases. PMID: 29203673
- The SNP rs17646665, located in a non-coding region of the SORT1 gene, remained significantly associated with decreased risk of Alzheimer's disease after multiple testing (pc = 0.0061). In addition, other SNPs were found to be nominally associated with risk of Alzheimer's disease, as well as altered cognitive function and the CSF biomarker Abeta42, but these associations did not survive correction for multiple testing. PMID: 27392867
- Sortilin was overexpressed in thyroid cancers compared with benign thyroid tissues PMID: 29037860
- Authors provide evidence that Mn-induced exit of GPP130 from the trans-Golgi network (TGN) toward lysosomes is mediated by the sorting receptor sortilin interacting with the lumenal stem domain of GPP130. PMID: 28768823
- increased plasma sSortilin levels may be associated with in vivo platelet activation and could be a risk factor for atherothrombosis PMID: 27085161
- The longitudinal quantification of the serum sortilin-derived propeptide concentration could assist psychiatrists in the diagnosis of antidepressant response efficacy PMID: 27838145
- Both circulating SORT1 and PCSK9 levels are elevated in coronary artery disease patients. PMID: 27846466
- Soluble sortilin exists in cerebrospinal fluid (CSF) in ten-fold molar excess compared to progranulin and observed a highly significant positive correlation between soluble sortilin and progranulin levels in CSF but not in plasma. The carriers of the minor allele of SNP rs646776 in SORT1 encoding sortilin displayed significantly increased soluble sortilin and reduced progranulin specifically in plasma but not in CSF. PMID: 27612602
- SORT1 single nucleotide polymorphism and it's association with LDL cholesterol level and risk of coronary heart disease in Pakistani population PMID: 27112212
- Four SNPs within the APOE cluster (rs7412, rs4420638), ABCC2 (rs2002042) and CELSR/SORT1/PSRC1 (rs646776), displayed a major impact on statin efficacy. The wGRS was significantly associated with lower LDL-C at age 75 and 80 PMID: 27943270
- In older men, higher serum sortilin levels associated with higher major adverse cerebrovascular/cardiovascular disease risk and severe abdominal aortic calcification. PMID: 28279970
- sortilin is a PIP3 binding protein with binding likely to occur at the C-terminal neurotensin binding site, and is a competitor of neurotensin PMID: 27666481
- TDP-43 functions within a network of hnRNP proteins to inhibit the production of a truncated human SORT1 receptor. PMID: 26614389
- no association was found between the SNPs of rs599839, rs464218 and rs6698843 at the CELSR2-PSRC1-SORT1 and the risk of coronary artery disease or ischemic stroke PMID: 26464717
- Inverse association between hepatic SORT1 gene expression and hepatic HBsAg expression indicates the possible role of sortilin in HBsAg particle formation. PMID: 26331452
- Sortilin mediates vascular calcification via its recruitment into extracellular vesicles. PMID: 26950419
- Sortilin has been found to inhibit the conversion of proBDNF into mature BDNF by plasmin and to protect neurons from the apoptotic properties of proBDNF. PMID: 26556286
- highly expressed by infiltrated perivascular myeloid cells, mainly in vessel cuffs, in the CNS of patients suffering from multiple sclerosi PMID: 26566674
- Variants near SORT1 is associated with dyslipidemia. PMID: 26375028
- SNPs in SORT1, CETP and GCKR were individually associated with lipid level variations in Algerian population. PMID: 26261636
- The study demostrated that the sortilin deficiency caused by the SORT1 p.G171A mutation may lead to defects in neurotransmission, giving rise to the development of tremor. PMID: 26297037
- We conclude that PCSK9 enhances the degradation of the LDLR independently of either APLP2 or sortilin both ex vivo and in mice. PMID: 26085104
- NRH2 enhanced the ratio of Bax/Bcl-2 by promoting the expressions of proNGF, sortilin and p75NTR, thereby inducing brain cell apoptosis. PMID: 25854576
- Results show that SORT1 and MYC SNPs were associated with incident coronary heart disease in African American individuals. We also provide evidence for fine-mapping at this locus, and identified an array wide association for a SNP in MYC. PMID: 25542012
- SORT1 protective allele has a role in attenuated postprandial lipaemia in young adults PMID: 25042869
- Sort1 may play a role in altered hepatic apoB100 metabolism in insulin-resistant conditions PMID: 25805502
- TrkB-EGFR-sortilin (TES) complex in exosomes has a function in the activation and migration of endothelial cells. PMID: 25037567
- SORT1 in the cholesterol gene cluster shows a significant association with coronary artery disease and its single nucleotide polymorphism regulates plasma cholesterol levels. PMID: 24674750
- sortilin affects LDL cholesterol.. regulates lipoprotein metabolism and hepatic lipoprotein export and may also allow to harness the power of the 1p13 SORT1 locus for the treatment of atherosclerosis PMID: 25101658
- This article describes the molecular mechanisms of sortilin action in protein sorting and signaling and how modulation of receptor function may offer therapeutic strategies for treatment of diseases of the cardiovascular and nervous systems. [review] PMID: 24838608
- These results point out a critical role for sortilin in regulating progranulin action in castration-resistant prostate cancer cells, suggesting that sortilin loss may contribute to prostate cancer progression. PMID: 25365768
- Data demonstrate that the SORT1-PGRN axis is a viable target for PGRN-based therapy, particularly in frontotemporal dementia-GRN patients. PMID: 24163244
- Here we review all the experiments that led to the identification of the new pathway connecting sortilin with plasma LDL levels and risk of myocardial infarction PMID: 23910371
- sortilin expression characterizes human atheromatous lesions and rat aortic post-injury neointima, and suggest that sortilin represents an important regulator of proNGF-induced SMC apoptosis and arterial remodeling. PMID: 24404198
- The rs599839 G allele of SORT1 is associated with abdominal aortic aneurysm. PMID: 23535823
- SORT1 forms a complex and binds with sortilin-related vacuolar protein sorting/targeting protein Vsp10 on cell membranes. PMID: 24128306
- sortilin is implicated in APP lysosomal and lipid raft targeting via its carboxyl-terminal F/YXXXXF/Y motif. PMID: 23704887
- No association of SORT1 gene polymorphism with sporadic Alzheimer's disease in the Chinese Han population. PMID: 23660633
- Genetic variants in SORT1 are associated with cognitive aging and appear to contribute differentially in men and women. PMID: 23318115
- Abeta oligomer increases sortilin gene and protein expression through p75(NTR) and RhoA signaling pathways PMID: 23895422
- A significant association was observed between the SORT1 locus and low-density lipoproteins in male subjects. SORT1 is a valuable target for identifying individuals who would most benefit from early interventions to prevent cardiovascular disease. PMID: 23438231
- non-palmitoylated sortilin is ubiquitinated and internalized into the lysosomal compartment via the ESCRT pathway for degradation PMID: 23485461
- Even though sortilin binds and internalizes LDL by receptor-mediated endocytosis, mutations in the SORT1 gene are unlikely to cause autosomal dominant hypercholesterolemia and may only have a marginal effect on plasma LDL cholesterol levels. PMID: 23102784
- Lysosomal storage disorders are associated with deficiencies of alternative lysosomal receptors LIMPII and sortilin and/or of their cargos. (Review) PMID: 22884962
顯示更多
收起更多
-
相關疾病:A common polymorphism located in a non-coding region between CELSR2 and PSRC1 alters a CEBP transcription factor binding site and is responsible for changes in hepatic expression of SORT1. Altered SORT1 expression in liver affects low density lipoprotein cholesterol levels in plasma and is associated with susceptibility to myocardial infarction.
-
亞細胞定位:Golgi apparatus, Golgi stack membrane; Single-pass type I membrane protein. Endosome membrane; Single-pass type I membrane protein. Endoplasmic reticulum membrane; Single-pass type I membrane protein. Nucleus membrane; Single-pass type I membrane protein. Cell membrane; Single-pass type I membrane protein; Extracellular side. Lysosome membrane; Single-pass type I membrane protein. Note=Localized to membranes of the endoplasmic reticulum, endosomes, Golgi stack, lysosomes and nucleus. A small fraction of the protein is also localized to the plasma membrane. May also be found in SLC2A4/GLUT4 storage vesicles (GSVs) in adipocytes. Localization to the plasma membrane in adipocytes may be enhanced by insulin.
-
蛋白家族:VPS10-related sortilin family, SORT1 subfamily
-
組織特異性:Expressed in brain and prostate (at protein level). Expressed at high levels in brain, spinal cord, heart, skeletal muscle, thyroid, placenta and testis. Expressed at lower levels in lymphoid organs, kidney, colon and liver.
-
數據庫鏈接:
Most popular with customers
-
-
YWHAB Recombinant Monoclonal Antibody
Applications: ELISA, WB, IHC, IF, FC
Species Reactivity: Human, Mouse, Rat
-
Phospho-YAP1 (S127) Recombinant Monoclonal Antibody
Applications: ELISA, WB, IHC
Species Reactivity: Human
-
-
-
-
-















