SOD3 Antibody
-
中文名稱:SOD3兔多克隆抗體
-
貨號:CSB-PA022399LA01HU
-
規格:¥440
-
圖片:
-
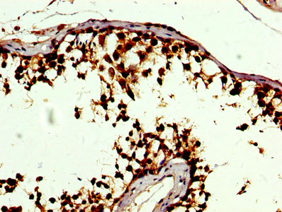
IHC image of CSB-PA022399LA01HU diluted at 1:500 and staining in paraffin-embedded human testis tissue performed on a Leica BondTM system. After dewaxing and hydration, antigen retrieval was mediated by high pressure in a citrate buffer (pH 6.0). Section was blocked with 10% normal goat serum 30min at RT. Then primary antibody (1% BSA) was incubated at 4°C overnight. The primary is detected by a biotinylated secondary antibody and visualized using an HRP conjugated SP system.
-
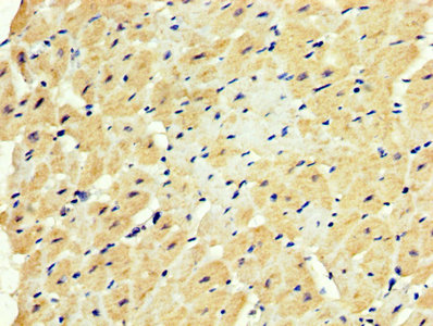
IHC image of CSB-PA022399LA01HU diluted at 1:500 and staining in paraffin-embedded human heart tissue performed on a Leica BondTM system. After dewaxing and hydration, antigen retrieval was mediated by high pressure in a citrate buffer (pH 6.0). Section was blocked with 10% normal goat serum 30min at RT. Then primary antibody (1% BSA) was incubated at 4°C overnight. The primary is detected by a biotinylated secondary antibody and visualized using an HRP conjugated SP system.
-
-
其他:
產品詳情
-
產品名稱:Rabbit anti-Homo sapiens (Human) SOD3 Polyclonal antibody
-
Uniprot No.:
-
基因名:
-
別名:EC SOD antibody; EC-SOD antibody; Extracellular superoxide dismutase [Cu Zn] antibody; Extracellular superoxide dismutase [Cu-Zn] antibody; Extracellular superoxide dismutase antibody; Extracellular superoxide dismutase precursor antibody; MGC20077 antibody; SOD 3 antibody; SOD3 antibody; SODE_HUMAN antibody; Superoxide Dismutase 3 antibody; Superoxide dismutase 3 extracellular antibody
-
宿主:Rabbit
-
反應種屬:Human
-
免疫原:Recombinant Human Extracellular superoxide dismutase [Cu-Zn] protein (19-160AA)
-
免疫原種屬:Homo sapiens (Human)
-
標記方式:Non-conjugated
本頁面中的產品,SOD3 Antibody (CSB-PA022399LA01HU),的標記方式是Non-conjugated。對于SOD3 Antibody,我們還提供其他標記。見下表:
-
克隆類型:Polyclonal
-
抗體亞型:IgG
-
純化方式:>95%, Protein G purified
-
濃度:It differs from different batches. Please contact us to confirm it.
-
保存緩沖液:Preservative: 0.03% Proclin 300
Constituents: 50% Glycerol, 0.01M PBS, PH 7.4 -
產品提供形式:Liquid
-
應用范圍:ELISA, IHC
-
推薦稀釋比:
Application Recommended Dilution IHC 1:500-1:1000 -
Protocols:
-
儲存條件:Upon receipt, store at -20°C or -80°C. Avoid repeated freeze.
-
貨期:Basically, we can dispatch the products out in 1-3 working days after receiving your orders. Delivery time maybe differs from different purchasing way or location, please kindly consult your local distributors for specific delivery time.
-
用途:For Research Use Only. Not for use in diagnostic or therapeutic procedures.
相關產品
靶點詳情
-
功能:Protect the extracellular space from toxic effect of reactive oxygen intermediates by converting superoxide radicals into hydrogen peroxide and oxygen.
-
基因功能參考文獻:
- High SOD3 expression is associated with cardiometabolic risk factors, and distal sensorimotor polyneuropathy. PMID: 29577557
- SOD3 might be a novel player in thyroid tumor stroma. PMID: 28216675
- SOD3 protects mesenchymal stem cells against the negative effects of serum deprivation via modulation of AMP-activated protein kinase/sirtulin 1, extracellular signalregulated kinase activation, and promoted Forkhead box O3a trafficking to the nucleus. PMID: 29921412
- Copper chaperone Atox-1 is involved in the induction of SOD3 in a monocyte cell line. PMID: 29168020
- the presence of terminal sialic acids in the N-glycans of EC-SOD enhanced both the secretion and furin-mediated C-terminal cleavage of EC-SOD. These results provide new insights into how the posttranslational modifications of EC-SOD control its functions. PMID: 29029079
- SOD3 reduced HIF prolyl hydroxylase domain protein activity, which increased hypoxia-inducible factor-2alpha (HIF-2alpha) stability and enhanced its binding to a specific vascular endothelial cadherin promoter region. PMID: 29422508
- EC-SOD released from activated neutrophils affects the redox conditions of the extracellular space and may offer protection against highly reactive oxygen species such as hydroxyl radicals otherwise generated as a result of respiratory burst activity of activated neutrophils. PMID: 27394172
- The results of the present study demonstrate that TET1 might function as one of the key molecules in SOD3 expression through its 5mC hydroxylation in A549 cells. PMID: 28351182
- The SOD3 enzyme plays a role in cardiovascular disease. PMID: 26901385
- SOD3 expression in human idiopathic pulmonary arterial hypertension is in part regulated by histone deacetylation. PMID: 27233998
- These data provide new insights into the functional actions of SOD3 on oxidative stress-induced cell damage. PMID: 27272114
- Study shows that patients with the Ala40Thr polymorphism in EC-SOD are at a higher risk of developing type 2 diabetes mellitus. PMID: 27966735
- Increased expression of SOD3 ameliorates H2O2-induced oxidative damage in neuroblastoma cells by inhibiting the mitochondrial pathway. PMID: 27084770
- Results describe the molecular cloning of both full length and truncated form of human SOD3 both expressed in Sf9 insect cells as monomers and dimer conformation, with enzymatic activity. PMID: 26912083
- study suggests that carriers of adiponectin gene promoter -11391G/A(AA) and EC-SOD (CG+GG) genotypes may have a high risk of nonalcoholic fatty liver disease (NAFLD), and the gene genotypes can interact with H. Pylori infection in the pathogenesis of NAFLD PMID: 27241145
- FXR may regulate SOD3 expression to suppress reactive oxygen species production, resulting in decreasing JNK activity. PMID: 25496033
- These results support the hypothesis that loss of extracellular SOD contributes to the invasive phenotype of pancreatic ductal adenocarcinoma PMID: 25634994
- The T-allele of rs2284659 in the promoter of SOD3 was associated with better cardiovascular outcomes in diabetic patients. PMID: 25855220
- SOD3 regulates the expression of multiple components of small G protein GTPase signal pathways. PMID: 25751262
- Expression of extracellular superoxide dismutase (EC-SOD) and expression of the prooxidant gene NADPH oxidase 4 was decreased significantly by trichostatin A. PMID: 25749103
- Extracellular superoxide dismutase ameliorates streptozotocin-induced rat diabetic nephropathy via inhibiting the ROS/ERK1/2 signaling. PMID: 26006040
- ECSOD Ala40Thr polymorphism, a significant association was observed between this polymorphism and HCC risk in non-hepatitis B virus (HBV) carriers but not in HBV carriers PMID: 25894370
- The combination of serum S100A9, SOD3, and MMP9 levels could achieve 92.5% sensitivity and 95% specificity to discriminate between pulmonary tuberculosis and healthy controls. PMID: 25332062
- Sod3 is a critical mediator of VEGF-C-induced breast cancer metastasis. PMID: 25358638
- the rs1799895 polymorphism in extracellular superoxide dismutase affects cardiopulmonary disease risk by altering protein distribution PMID: 25085920
- The treatment with E2 suppressed, whereas VC and Res prevented E2-mediated decrease in the expression levels of SOD3, NQO1, Nrf2 mRNA, and protein in MCF-10A cells PMID: 25130429
- No any significantly association between SOD3 rs2695232 polymorphism and seminal superoxide dismutase activity. PMID: 24658925
- These results demonstrate that the transcription factor HIF-1alpha and its important gene target VEGF can be modulated by the antioxidant enzyme EcSOD. PMID: 24509158
- Loss of SOD3 is associated with prostate cancer. PMID: 24922645
- Results suggest that there is no considerable influence of sequence variation in SOD3 on human longevity in Germans. PMID: 24146173
- the impact of Glutamate carboxypeptidase II (GCPII) haplotypes on the expression of PSMA, BNIP3, Ec-SOD, GSTP1 and RASSF1 genes were elucidated to understand the epigenetic basis of oxidative stress and prostate cancer risk. PMID: 23979608
- Data suggest that epigenetic silencing of EcSOD may contribute to mammary tumorigenesis and that restoring the extracellular superoxide scavenging activity could be an effective strategy for breast cancer treatment. PMID: 23318435
- The hEC-SOD protein was expressed in the egg white and showed antioxidant activity. PMID: 23977988
- The less common allele in SOD3 rs699473 was associated with an increased risk of high-grade prostate cancer (T > C: OR = 1.40, 95% CI: 1.04-1.89). PMID: 24038157
- Mesenchymal stem cell-derived chondrocytes, adipocytes, and osteocytes secrete an active and functional SOD3 enzyme. PMID: 22132904
- Overexpression of EC-SOD combined with neutrophil blockade protects transgenic mice from hyperoxia-induced lung injury. PMID: 22816678
- There is a positive relationship between the prolactinoma severity and serum EC-SOD. PMID: 23620962
- results suggest aberrations in one-carbon metabolism appear to induce altered gene expression of EC-SOD, GSTP1, and BNIP3, and thus contribute to the increased oxidative stress and increased susceptibility to coronary artery disease PMID: 23160801
- Antioxidant enzyme, SOD3, reverses DNA damage response and cellular transdifferentiation in aortic valve sclerosis. PMID: 23241403
- studies further demonstrate that SOD3, but not SOD2 and SOD1, is induced by antioxidants and is regulated through NRF2; SOD3 may thus be an important gene in defense against oxidative stress and in the prevention of estrogen-mediated breast cancer PMID: 23027624
- miR-21 promotes tumorigenesis and key targets of miR-21 in mediating this function were SOD3 and TNFalpha. PMID: 22836756
- results suggest that the expression of Extracellular-superoxide dismutase (EC-SOD)was increased by TPA administration, and it was speculated that the activation of PKC, MEK/ERK and an increase of intracellular ROS were necessary for the induction of EC-SOD in THP-1 cells PMID: 22313459
- There were no significant differences in the distribution of the different genotypes or allele gene frequencies in the EC-SOD genes between the patients and the controls. PMID: 21781513
- The SOD3 might provide an effective strategy for the treatment of HAF-mediated skin inflammation. PMID: 21957979
- The loss of EcSOD expression is unique among the superoxide dismutases in lung cancer and is the result of EcSOD promoter methylation and LOH, suggesting that its early loss may contribute to ECM remodeling and malignant progression. PMID: 22064654
- an alteration in SOD3 expression and activity could be associated to Systemic sclerosis (SSc) fibrosis. PMID: 22217996
- Mushroom lectin strongly prevented sodium arsenite-induced damage of SOD production pathway in hepatocytes. PMID: 21554548
- Extracellular superoxide dismutase cell-specific and interferon-gamma-inducible expression in pulmonary artery cells is regulated, to a major degree, by epigenetic mechanisms that include histone acetylation and DNA methylation. PMID: 21493784
- elevated sputum levels in smokers and in COPD patients PMID: 21621610
- Extracellular superoxide dismutase facilitates clearance of bacteria and limits inflammation in response to infection by promoting bacterial phagocytosis. PMID: 21641397
顯示更多
收起更多
-
亞細胞定位:Secreted, extracellular space. Golgi apparatus, trans-Golgi network. Note=99% of EC-SOD is anchored to heparan sulfate proteoglycans in the tissue interstitium, and 1% is located in the vasculature in equilibrium between the plasma and the endothelium.
-
蛋白家族:Cu-Zn superoxide dismutase family
-
組織特異性:Expressed in blood vessels, heart, lung, kidney and placenta. Major SOD isoenzyme in extracellular fluids such as plasma, lymph and synovial fluid.
-
數據庫鏈接:
Most popular with customers
-
-
YWHAB Recombinant Monoclonal Antibody
Applications: ELISA, WB, IHC, IF, FC
Species Reactivity: Human, Mouse, Rat
-
Phospho-YAP1 (S127) Recombinant Monoclonal Antibody
Applications: ELISA, WB, IHC
Species Reactivity: Human
-
-
-
-
-















