SOCS7 Antibody
-
中文名稱:SOCS7兔多克隆抗體
-
貨號:CSB-PA062278
-
規格:¥1100
-
圖片:
-
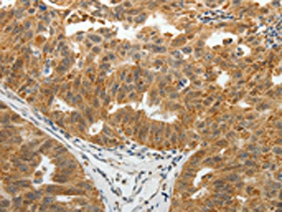
The image on the left is immunohistochemistry of paraffin-embedded Human liver cancer tissue using CSB-PA062278(SOCS7 Antibody) at dilution 1/30, on the right is treated with synthetic peptide. (Original magnification: ×200)
-
The image on the left is immunohistochemistry of paraffin-embedded Human ovarian cancer tissue using CSB-PA062278(SOCS7 Antibody) at dilution 1/30, on the right is treated with synthetic peptide. (Original magnification: ×200)
-
-
其他:
產品詳情
-
Uniprot No.:
-
基因名:
-
別名:Ash and phospholipase C gamma-binding protein antibody; NAP 4 antibody; NAP 4 Fragment antibody; NAP-4 antibody; NAP4 antibody; Nck antibody; Nck Ash and phospholipase C binding protein antibody; Nck Ash and phospholipase C gamma binding protein antibody; Nck associated protein 4 antibody; Nck-associated protein 4 antibody; NCKAP4 antibody; SH2 domain containing SOCS box protein antibody; SOCS 7 antibody; SOCS-7 antibody; SOCS4 antibody; SOCS6 antibody; Socs7 antibody; SOCS7_HUMAN antibody; Suppressor of cytokine signaling 7 antibody
-
宿主:Rabbit
-
反應種屬:Human,Mouse
-
免疫原:Synthetic peptide of Human SOCS7
-
免疫原種屬:Homo sapiens (Human)
-
標記方式:Non-conjugated
-
抗體亞型:IgG
-
純化方式:Antigen affinity purification
-
濃度:It differs from different batches. Please contact us to confirm it.
-
保存緩沖液:-20°C, pH7.4 PBS, 0.05% NaN3, 40% Glycerol
-
產品提供形式:Liquid
-
應用范圍:ELISA,IHC
-
推薦稀釋比:
Application Recommended Dilution ELISA 1:2000-1:5000 IHC 1:50-1:200 -
Protocols:
-
儲存條件:Upon receipt, store at -20°C or -80°C. Avoid repeated freeze.
-
貨期:Basically, we can dispatch the products out in 1-3 working days after receiving your orders. Delivery time maybe differs from different purchasing way or location, please kindly consult your local distributors for specific delivery time.
-
用途:For Research Use Only. Not for use in diagnostic or therapeutic procedures.
相關產品
靶點詳情
-
功能:Regulates signaling cascades probably through protein ubiquitination and/or sequestration. Functions in insulin signaling and glucose homeostasis through IRS1 ubiquitination and subsequent proteasomal degradation. Inhibits also prolactin, growth hormone and leptin signaling by preventing STAT3 and STAT5 activation, sequestering them in the cytoplasm and reducing their binding to DNA. May be a substrate recognition component of a SCF-like E3 ubiquitin-protein ligase complex which mediates the ubiquitination and subsequent proteasomal degradation of target proteins.
-
基因功能參考文獻:
- This study showed that increased protein levels of SOCS-4 and SOCS-7 in Alzheimer's disease brains. PMID: 25286386
- This SOCS7 knockdown-attributed effect could be due to a precise anti-PLCg-1 role. PMID: 25162020
- genetic variants in the SOCS7 gene do not impact variation in glucose homeostasis traits and only minimally impact risk of T2DM in the Old Order Amish PMID: 23767996
- Insulin Like Growth Factor I treatment and SOCS7 loss have synergistically resulted in increased growth and migration of MCF7 and in increased migration of MDA-MB-231 cells. PMID: 24046004
- The present report describes for the first time associations between common variants in SOCS7 gene and obesity, central obesity, insulin resistance and disorders of lipid metabolism in nondiabetic men from Argentina. PMID: 22397880
- SOCS7 functioned as an oncogene, the finding that revealed a novel mechanism of carcinogenesis in bladder cancer cells. PMID: 23392170
- LNCaP-S17 cells are resistant to exogenous IL-6-induced neuroendocrine differentiation due to increased levels of CIS/SOCS7 that block activation of JAK2-STAT3 pathways. PMID: 22213096
- Higher mRNA expression levels of SOCS1, 3, 4 and 7 are significantly associated with earlier tumour stage and better clinical outcome in human breast cancer. PMID: 20433750
- findings show that PPAR-gamma is involved in the regulation of SOCS-7 expression by hepatitis C virus core protein genotype 3a PMID: 20357037
- Taken together, our data indicate that SOCS-7 interacts with vinexin and the actin cytoskeleton. PMID: 15242778
- Results indicate that SOCS-7 is a dysregulator of prolactin, leptin, and growth hormone signaling and that its mode of action is a variation of SOCS protein inhibition of cytokine-inducible STAT3 and 5-mediated signal transduction. PMID: 15677474
- data suggest that SOCS7 is a potent regulator of glucose homeostasis and insulin signaling PMID: 16127460
顯示更多
收起更多
-
亞細胞定位:Cytoplasm. Cell membrane; Peripheral membrane protein; Cytoplasmic side. Nucleus. Note=Mostly cytoplasmic, but shuttles between the cytoplasm and the nucleus. Rapidly relocalizes to the nucleus after UV irradiation. Cytoplasmic location depends upon SEPT7 presence.
-
組織特異性:Expressed in brain and leukocytes. Also in fetal lung fibroblasts and fetal brain.
-
數據庫鏈接:
Most popular with customers
-
-
YWHAB Recombinant Monoclonal Antibody
Applications: ELISA, WB, IHC, IF, FC
Species Reactivity: Human, Mouse, Rat
-
Phospho-YAP1 (S127) Recombinant Monoclonal Antibody
Applications: ELISA, WB, IHC
Species Reactivity: Human
-
-
-
-
-















