SOCS4 Antibody
-
中文名稱:SOCS4兔多克隆抗體
-
貨號:CSB-PA022393ESR1HU
-
規格:¥440
-
圖片:
-
Western blot
All lanes: SOCS4 antibody at 4.39 μg/ml
Lane 1: Mouse kidney tissue
Lane 2: Jurkat whole cell lysate
Lane 3: A549 whole cell lysate
Lane 4: 293T whole cell lysate
Secondary
Goat polyclonal to rabbit IgG at 1/10000 dilution
Predicted band size: 60 kDa
Observed band size: 60 kDa -
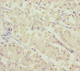
Immunohistochemistry of paraffin-embedded human colon cancer using CSB-PA022393ESR1HU at dilution of 1:100
-
Immunohistochemistry of paraffin-embedded human gastric cancer using CSB-PA022393ESR1HU at dilution of 1:100
-
-
其他:
產品詳情
-
產品名稱:Rabbit anti-Homo sapiens (Human) SOCS4 Polyclonal antibody
-
Uniprot No.:
-
基因名:
-
別名:CIS4 antibody; Cish4 antibody; Cytokine inducible SH2 protein 4 antibody; DKFZp686J1568 antibody; HSPC060 antibody; SH2 domain containing SOCS box protein antibody; SOCS-4 antibody; SOCS-7 antibody; SOCS4 antibody; SOCS4_HUMAN antibody; SOCS6 antibody; SOCS7 antibody; SSI4 antibody; STAI4 antibody; STAT induced STAT inhibitor 4 antibody; STAT4 antibody; STATI4 antibody; Suppressor of cytokine signaling 4 antibody; Suppressor of cytokine signaling 7 antibody
-
宿主:Rabbit
-
反應種屬:Human, Mouse
-
免疫原:Recombinant Human Suppressor of cytokine signaling 4 protein (1-270AA)
-
免疫原種屬:Homo sapiens (Human)
-
標記方式:Non-conjugated
-
克隆類型:Polyclonal
-
抗體亞型:IgG
-
純化方式:Antigen Affinity Purified
-
濃度:It differs from different batches. Please contact us to confirm it.
-
保存緩沖液:PBS with 0.02% sodium azide, 50% glycerol, pH7.3.
-
產品提供形式:Liquid
-
應用范圍:ELISA, WB, IHC
-
推薦稀釋比:
Application Recommended Dilution WB 1:1000-1:5000 IHC 1:20-1:200 -
Protocols:
-
儲存條件:Upon receipt, store at -20°C or -80°C. Avoid repeated freeze.
-
貨期:Basically, we can dispatch the products out in 1-3 working days after receiving your orders. Delivery time maybe differs from different purchasing way or location, please kindly consult your local distributors for specific delivery time.
-
用途:For Research Use Only. Not for use in diagnostic or therapeutic procedures.
相關產品
靶點詳情
-
功能:SOCS family proteins form part of a classical negative feedback system that regulates cytokine signal transduction. Substrate-recognition component of a SCF-like ECS (Elongin BC-CUL2/5-SOCS-box protein) E3 ubiquitin-protein ligase complex which mediates the ubiquitination and subsequent proteasomal degradation of target proteins. Inhibits EGF signaling by mediating the degradation of the Tyr-phosphorylated EGF receptor/EGFR.
-
基因功能參考文獻:
- Significantly higher levels of suppressor of cytokine signalling proteins SOCS3 and SOCS4 in non-healing chronic wounds compared to the healing/healed chronic wounds were observed at the transcript level. PMID: 27635428
- miR-25 promotes the migration and invasion of thyroid cancer cells by directly binding to the 3'-UTR of SOCS4 that leads to the inhibition of SOCS4. PMID: 26437444
- This study showed that increased protein levels of SOCS-4 and SOCS-7 in Alzheimer's disease brains. PMID: 25286386
- SOCS4 is a known inhibitor of epidermal growth factor (EGF) receptor signalling, and functional studies demonstrated specific upregulation of EGF-dependent immune stimulation in affected family members. PMID: 25639832
- Identified is a conserved region of about 70 residues in the N-terminal domains of SOCS4 and 5 that is predicted to be more ordered than the surrounding sequence. PMID: 22423360
- The expression of SOCS4 seems to be controlled epigenetically and is often weakly expressed in gastric cancer tissue and cell lines. SOCS4 methylation status could be a predictor of gastric cancer prognosis. PMID: 22127425
- Higher mRNA expression levels of SOCS1, 3, 4 and 7 are significantly associated with earlier tumour stage and better clinical outcome in human breast cancer. PMID: 20433750
- These data suggest that miRNAs play an important role in the regulation of cytokine-inducible Src homology and SOCS expression in epithelial cells in response to C. parvum infection. PMID: 20486857
- the expression of SOCS5 and its closest homolog SOCS4 is elevated in cells following treatment with EGF, similar to several negative feedback regulators of EGFR whose expression is up-regulated upon receptor activation. PMID: 15590694
- The structure of the SOCS4-ElonginC-ElonginB complex reveals a distinct SOCS structural class. PMID: 17997974
顯示更多
收起更多
-
數據庫鏈接:
Most popular with customers
-
-
YWHAB Recombinant Monoclonal Antibody
Applications: ELISA, WB, IHC, IF, FC
Species Reactivity: Human, Mouse, Rat
-
Phospho-YAP1 (S127) Recombinant Monoclonal Antibody
Applications: ELISA, WB, IHC
Species Reactivity: Human
-
-
-
-
-















