SOCS1 Antibody
-
中文名稱:SOCS1兔多克隆抗體
-
貨號:CSB-PA277236
-
規格:¥1100
-
圖片:
-
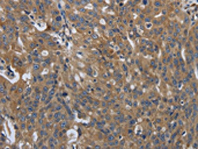
The image on the left is immunohistochemistry of paraffin-embedded Human liver cancer tissue using CSB-PA277236(SOCS1 Antibody) at dilution 1/90, on the right is treated with synthetic peptide. (Original magnification: ×200)
-
The image on the left is immunohistochemistry of paraffin-embedded Human ovarian cancer tissue using CSB-PA277236(SOCS1 Antibody) at dilution 1/90, on the right is treated with synthetic peptide. (Original magnification: ×200)
-
Gel: 10%SDS-PAGE, Lysate: 40 μg, Lane 1-2: HT29 cells, 231 cells, Primary antibody: CSB-PA277236(SOCS1 Antibody) at dilution 1/1700, Secondary antibody: Goat anti rabbit IgG at 1/8000 dilution, Exposure time: 1 minute
-
-
其他:
產品詳情
-
Uniprot No.:
-
基因名:
-
別名:CISH 1 antibody; CISH1 antibody; Cytokine inducible SH2 protein 1 antibody; JAB antibody; JAK binding protein antibody; JAK-binding protein antibody; Janus kinase binding protein antibody; SOCS 1 antibody; SOCS-1 antibody; Socs1 antibody; SOCS1_HUMAN antibody; SSI 1 antibody; SSI-1 antibody; SSI1 antibody; STAT induced STAT inhibitor 1 antibody; STAT-induced STAT inhibitor 1 antibody; Suppressor of cytokine signaling 1 antibody; Supressor of cytokine signalling 1 antibody; TEC interacting protein 3 antibody; Tec-interacting protein 3 antibody; TIP 3 antibody; TIP-3 antibody; TIP3 antibody
-
宿主:Rabbit
-
反應種屬:Human,Mouse,Rat
-
免疫原:Synthetic peptide of Human SOCS1
-
免疫原種屬:Homo sapiens (Human)
-
標記方式:Non-conjugated
-
抗體亞型:IgG
-
純化方式:Antigen affinity purification
-
濃度:It differs from different batches. Please contact us to confirm it.
-
保存緩沖液:-20°C, pH7.4 PBS, 0.05% NaN3, 40% Glycerol
-
產品提供形式:Liquid
-
應用范圍:ELISA,WB,IHC
-
推薦稀釋比:
Application Recommended Dilution ELISA 1:2000-1:10000 WB 1:500-1:2000 IHC 1:100-1:300 -
Protocols:
-
儲存條件:Upon receipt, store at -20°C or -80°C. Avoid repeated freeze.
-
貨期:Basically, we can dispatch the products out in 1-3 working days after receiving your orders. Delivery time maybe differs from different purchasing way or location, please kindly consult your local distributors for specific delivery time.
-
用途:For Research Use Only. Not for use in diagnostic or therapeutic procedures.
相關產品
靶點詳情
-
功能:SOCS family proteins form part of a classical negative feedback system that regulates cytokine signal transduction. SOCS1 is involved in negative regulation of cytokines that signal through the JAK/STAT pathway. Through binding to JAKs and IFNGR1, inhibits their kinase activity. In vitro, also suppresses Tec protein-tyrosine activity. Appears to be a major regulator of signaling by interleukin 6 (IL6) and leukemia inhibitory factor (LIF). Regulates interferon-gamma mediated sensory neuron survival. Probable substrate recognition component of an ECS (Elongin BC-CUL2/5-SOCS-box protein) E3 ubiquitin ligase complex which mediates the ubiquitination and subsequent proteasomal degradation of target proteins. Seems to recognize JAK2. SOCS1 appears to be a negative regulator in IGF1R signaling pathway.
-
基因功能參考文獻:
- High SOCS1 expression is associated with higher grade breast cancer. PMID: 30453988
- SOCS1 gene methylation caused gene silencing of SOCS1. PMID: 29916533
- SOCS1 is regulated in prostate cancer cells through miR-221-5p expression. PMID: 29506516
- The results indicate SOCS1 plays an important role in AML and its higher expression serves as a new biomarker to risk-stratify AML patients. PMID: 28753595
- reveal a vital contribution of miR-155 upregulation and consequent SOCS1 downregulation to an immune response triggered via IFN-gamma in BA PMID: 28355202
- Guar gum fiber increases SOCS-1 expression in Caco-2 cells. PMID: 28608623
- overexpression of SOCS-1 prevented TNF-alpha-mediated cell oxidative stress and apoptosis in human renal tubular epithelial cells PMID: 28732559
- we report here that SOCS1 impacts the pattern of secreted products in cells with active p53 and is required for the expression of a selective set of p53 target genes including those involved in ferroptosis. PMID: 29081404
- SOCS1 attenuates migration and invasion properties of hepatocellular carcinoma cells at least partly via modulation of MET-mediated epithelial-mesenchymal transition, and controls invasive tumor growth. PMID: 29085209
- Our findings revealed significantly higher rates of insulin resistance, obesity and dyslipidaemia in Turkish patients with polycystic ovary syndrome compared with age-matched healthy controls, while no difference between study groups in terms of the rate of SOCS1-1478 CA/del polymorphism along with no significant relation of SOCS1-1478 CA/del polymorphism to insulin resistance and PCOS status. PMID: 28569589
- polymorphisms of the SOCS1 gene are associated with the risk of ischemic stroke in a northern Chinese Han population, suggesting that SOCS1 gene polymorphisms may play an important role in the pathogenesis of ischemic stroke PMID: 27216615
- our findings demonstrate that 5-hmC loss is an epigenetic hallmark of hepatocellular carcinoma , and miR-29a is an important epigenetic modifier, promoting HCC metastasis through TET-SOCS1-MMP9 axis silencing. The results offer a new strategy for epigenetic cancer therapy PMID: 28661477
- SOCS-1, SOCS-2, and SOCS-3 proteins may directly or indirectly, have important roles in development and pathogenesis of papillary thyroid cancer PMID: 28643757
- Report simultaneous over-expression of miR-155 and SOCS1 that may be characteristic for Sjogren's syndrome. PMID: 26620207
- SOCS1 inhibits epithelial IL-13 signalling, supporting its key role in regulating Th2-driven eosinophilia in severe asthma PMID: 27338192
- SOCS1 antagonizes epithelial-mesenchymal transition by suppressing Src activity, leading to thioredoxin expression and down-regulation of ROS levels in colon cancer cells PMID: 27613835
- Our findings support the tumor suppressor role of SOCS1 in PCa and suggest that attenuation of MET signaling is one of the underlying mechanisms. SOCS1 in PCa cells also appears to prevent the tumor-promoting functions of cancer-associated fibroblasts. PMID: 27779203
- Findings indicate that miR-21 and miR-155 promote the development of non-small cell lung carcinoma (NSCLC) in part by downregulating three tumor suppressor genes suppressor of cytokine signaling 1 protein (SOCS1), SOCS6, and PTEN. PMID: 27811366
- Evaluating SOCS1 and p21 protein expression in prostatectomy specimens may have a prognostic value in identifying the aggressive prostate cancer. Inverse correlation between SOCS1 expression and disease severity was observed. However, SOCS1 expression did not correlate with that of p53, MET or p21 in the whole study cohort. PMID: 28235401
- In this study, the authors report that JOSD1 plays an important role in regulating type-I interferon (IFN-I)-mediated antiviral activity. JOSD1 physically interacts with SOCS1, which is an essential negative regulator of many cytokines signaling, and enhances SOCS1 stability by deubiquitinating K48-linked polyubiquitination of SOCS1. PMID: 28355105
- Co-immunoprecipitation experiments showed that SOCS1 mutations abolished JAK3 binding, revealing a key role for SOCS1 in regulating JAK3/STAT5 signaling PMID: 27144517
- C/EBPbeta overexpression or knockdown did not change the levels of IL-1beta-induced SOCS1. SOCS1 regulated the levels of C/EBPbeta mRNA by ubiquitination of C/EBPbeta as well as transcriptional regulation in human chondrocytes. PMID: 27339399
- patients with renal graft rejection expressed lower levels of SOCS1 PMID: 27423763
- Inhibiting the STAT3-Mcl-1 signaling axis by ectopic SOCS1 improved radiosensitivity by inducing apoptosis and enhancing DNA damage after radiotherapy, offering a mechanistic rationale for a new esophageal squamous cell carcinoma treatment. PMID: 29042418
- an overview of the mechanisms underlying SOCS1 function as a tumor suppressor and discuss the emerging evidences of SOCS1 activity as an oncogene. PMID: 26811119
- MiRNA sponges against miR-19 or miR-155 inhibit the functions of these miRNAs and potentiate the induction of SOCS1 and p53 in mouse leukemia cells and in human myeloma cells. PMID: 26841929
- Mutations of CREBBP and SOCS1 are independent prognostic factors in diffuse large B cell lymphoma; SOCS1 mutations were associated with better progression-free survival. PMID: 28302137
- These results suggest that miR146a may regulate SOCS1/STAT3 and cytokine signalling in monocytes, directing T-cell differentiation and balancing immune clearance and immune injury during chronic viral infection. PMID: 27004559
- IFN-lambda signaling is regulated by SOCS1 but not by SOCS3 or USP18. PMID: 28900038
- This study evaluation the roles of SOCS1, the regulator of TLR9, RIG-I, and CD152 in patients with liver fibrosis/cirrhosis; the use of polymorphisms as markers for genetic risk is reported. PMID: 28762092
- SOCS1 rs33932899 genotype was significantly related to severe necroinflammatory activity (NIA) grade of chronic hepatitis C patients. PMID: 28704535
- Studies indicate that suppressors of cytokine signaling (SOCS) proteins CIS, SOCS1, and SOCS3 can be considered the third immunocheckpoint molecules since they regulate cytokine signals that control the polarization of CD4(+) T cells and the maturation of CD8(+) T cells. PMID: 28188673
- Results provide evidence that repression of SHP-1, SHP-2 and SOCS-1 gene expression in patient plasma cells supports the constitutive activation of the JAK/STAT3 pathway and probably leads to higher degrees of bone marrow invasion. PMID: 28369102
- Suppressor of cytokine signaling 1 (SOCS1) expression was upregulated in sustained virological responses (SVR) patients compared with non-SVR patients based on a multiplex reverse transcription-polymerase chain reaction analysis. Peripheral blood SOCS1 expression before treatment was not associated with SVR in hepatitis C virus (HCV) genotype 1 patients treated with pegylated IFN-alpha and ribavirin. PMID: 26786212
- tumor-suppressor functions of SOCS1 in the liver could be mediated, at least partly, via regulation of the expression, stability and subcellular distribution of p21 and its paradoxical oncogenic functions, namely, resistance to apoptosis and increased proliferation PMID: 26725321
- Suppressor Of Cytokine Signaling 1 (SOCS1) overexpression in retinal pigment epithelium cells inhibits some IFNgamma-mediated responses that lead to uveitis development. This notion raises the possibility that SOCS1 overexpression could be a novel target for treating non-infectious uveitis. PMID: 27478014
- nectin-4 serves as a stimulatory co-receptor for the prolactin receptor by regulating the feedback inhibition of SOCS1 in the JAK2-STAT5a signaling pathway PMID: 28258213
- This study showed that SOCS5 expression was significantly down-regulated. PMID: 28196747
- this study shows that IL-7 induces the expression of SOCS1 through the JAK/STAT-5 pathway PMID: 27423467
- SOCS1 silencing can inhibit proliferation and induce apoptosis of MV3 and A357 melanoma cells in vivo and in vitro by inhibiting extracellular signal-regulated kinase and janus kinase signal transduction and activators of transcription signaling pathways. PMID: 28466787
- SOCS1 may promote apoptosis of intestinal epithelial cells at least partly through mediating p53 signaling. PMID: 27236107
- The results revealed that although the expression levels of SOCS1, SOCS3 and, in particular, pSHP2, tend to decrease in the four types of astrocytomas, PIAS3 downregulation is more negatively correlated with STAT3 activation in the stepwise progress of astrocytomas and would indicate an unfavorable outcome. PMID: 28035384
- findings provide novel insight into how dysregulated expression of SOCS increases IL-4 responses in allergic monocytes, and this may represent a new therapeutic avenue for managing allergic disease. PMID: 27507812
- Overexpression of SOCS1 has a potent antitumor effect against ESCC. PMID: 28233302
- IL-4 signaling plays a crucial role in the regulatory functions of SOCS1 in apoptosis and inflammation in human osteoarthritic chondrocytes. These findings provide a potential therapeutic target for the clinical treatment of osteoarthritis (OA) PMID: 28373981
- Through promoter hypermethylation, the SOCS-1 gene was severely down-regulated in the colorectal cancer tissue samples. PMID: 27133036
- Reduced SOCS1 protein levels in systemic lupus erythematosus patients are correlated with enhanced STAT1 activation. PMID: 27781323
- These data thus suggest that overexpression of SOCS1 and SOCS3 induced by denguevirus infection leads to impairment of antiviral response through the inhibition of STAT functionality. PMID: 26709547
- miR-203 and miR-221 regulate SOCS1 and SOCS3 in essential thrombocythemia PMID: 26990535
- The HBVX gene upregulated the mRNA and protein expression levels of DNMT3A/3B, downregulated the expression of SOCS1 and increased SOCS1 gene promoter CpG island methylation. PMID: 26573490
顯示更多
收起更多
-
亞細胞定位:Nucleus. Cytoplasmic vesicle. Note=Detected in perinuclear cytoplasmic vesicles upon interaction with FGFR3.
-
蛋白家族:SOCS1 family
-
組織特異性:Expressed in all tissues with high expression in spleen, small intestine and peripheral blood leukocytes.
-
數據庫鏈接:
Most popular with customers
-
-
Phospho-YAP1 (S127) Recombinant Monoclonal Antibody
Applications: ELISA, WB, IHC
Species Reactivity: Human
-
-
-
-
-
-
VDAC1 Recombinant Monoclonal Antibody
Applications: ELISA, WB, IHC
Species Reactivity: Human, Mouse, Rat















