SOAT1 Antibody
-
中文名稱:SOAT1兔多克隆抗體
-
貨號:CSB-PA022385DSR1HU
-
規格:¥440
-
圖片:
-
IHC image of CSB-PA022385DSR1HU diluted at 1:100 and staining in paraffin-embedded human adrenal gland tissueperformed on a Leica BondTM system. After dewaxing and hydration, antigen retrieval was mediated by high pressure in a citrate buffer (pH 6.0). Section was blocked with 10% normal goat serum 30min at RT. Then primary antibody (1% BSA) was incubated at 4°C overnight. The primary is detected by a Goat anti-rabbit polymer IgG labeled by HRP and visualized using 0.05% DAB.
-
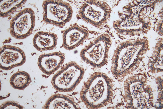
IHC image of CSB-PA022385DSR1HU diluted at 1:100 and staining in paraffin-embedded human small intestine tissue performed on a Leica BondTM system. After dewaxing and hydration, antigen retrieval was mediated by high pressure in a citrate buffer (pH 6.0). Section was blocked with 10% normal goat serum 30min at RT. Then primary antibody (1% BSA) was incubated at 4°C overnight. The primary is detected by a Goat anti-rabbit polymer IgG labeled by HRP and visualized using 0.05% DAB.
-
Immunofluorescence staining of A549 cell with CSB-PA022385DSR1HU at 1:50, counter-stained with DAPI. The cells were fixed in 4% formaldehyde, permeabilized using 0.2% Triton X-100 and blocked in 10% normal Goat Serum. The cells were then incubated with the antibody overnight at 4°C. The secondary antibody was Alexa Fluor 488-congugated AffiniPure Goat Anti-Rabbit IgG(H+L).
-
-
其他:
產品詳情
-
產品描述:
The SOAT1 antibody is a polyclonal antibody that is raised against the recombinant human sterol O-acyltransferase 1 protein (1-130aa) and synthesized in rabbits. SOAT1 protein is an integral membrane protein that plays a crucial role in cholesterol metabolism by catalyzing the transfer of fatty acids onto cholesterol to form cholesteryl esters. The antibody was purified through antigen affinity chromatography.
The SOAT1 polyclonal antibody is designed to recognize and bind to the SOAT1 protein, allowing for its detection and measurement in human samples. The SOAT1 antibody is recommended for use in a variety of research applications, including ELISA, WB, and IHC.
-
產品名稱:Rabbit anti-Homo sapiens (Human) SOAT1 Polyclonal antibody
-
Uniprot No.:
-
基因名:
-
別名:SOAT1; ACACT; ACACT1; ACAT; ACAT1; SOAT; STAT; Sterol O-acyltransferase 1; Acyl-coenzyme A:cholesterol acyltransferase 1; ACAT-1; Cholesterol acyltransferase 1
-
宿主:Rabbit
-
反應種屬:Human
-
免疫原:Recombinant Human Sterol O-acyltransferase 1 protein (1-130AA)
-
免疫原種屬:Homo sapiens (Human)
-
標記方式:Non-conjugated
-
克隆類型:Polyclonal
-
抗體亞型:IgG
-
純化方式:Antigen Affinity Purified
-
濃度:It differs from different batches. Please contact us to confirm it.
-
保存緩沖液:PBS with 0.02% sodium azide, 50% glycerol, pH7.3.
-
產品提供形式:Liquid
-
應用范圍:ELISA, IHC, IF
-
推薦稀釋比:
Application Recommended Dilution IHC 1:20-1:200 IF 1:20-1:200 -
Protocols:
-
儲存條件:Upon receipt, store at -20°C or -80°C. Avoid repeated freeze.
-
貨期:Basically, we can dispatch the products out in 1-3 working days after receiving your orders. Delivery time maybe differs from different purchasing way or location, please kindly consult your local distributors for specific delivery time.
-
用途:For Research Use Only. Not for use in diagnostic or therapeutic procedures.
相關產品
靶點詳情
-
功能:Catalyzes the formation of fatty acid-cholesterol esters, which are less soluble in membranes than cholesterol. Plays a role in lipoprotein assembly and dietary cholesterol absorption. Utilizes oleoyl-CoA ((9Z)-octadecenoyl-CoA) preferentially as susbstrate: shows a higher activity towards an acyl-CoA substrate with a double bond at the delta-9 position (9Z) than towards saturated acyl-CoA or an unsaturated acyl-CoA with a double bond at the delta-7 (7Z) or delta-11 (11Z) positions.
-
基因功能參考文獻:
- Soat-1 role in atherosclerosis PMID: 29567472
- Several residues in one subunit closely interact with the same residues in the other subunit; mutating these res. to Cys does not lead to loss in enzyme activity. Mutating residues F453, A457, or H460 to Cys causes large loss in enzyme activity. PMID: 17691824
- increase in the in vitro ACAT1 activity in PC-3 prostate cancer cells treated with androgen PMID: 18000807
- The results suggest that rs1044925 polymorphism in ACAT1 gene is not only associated with serum LDL-C and nHDLC levels in healthy Chinese subjects in Chengdu area, but also with HDL-C level in subjects with endogenous hypertriglyceridemia. PMID: 18393248
- RNA secondary structures located in the vicinity of the GGC(1274-1276) codon are required for production of the 56-kDa isoform. PMID: 18542101
- ACAT inhibition may stimulate cholesterol-catabolic (cytochrome P450) pathway in lesion-macrophages. PMID: 18779653
- Angiotensin II enhances foam cell formation by upregulating ACAT1 expression predominantly through the actions of AT(1) receptor via the G protein/c-Src/PKC/MAPK pathway in human monocyte-macrophages PMID: 18971559
- Docosahexaenoic acid can act as a substrate for ACAT1. In the manner of a poor substrate, docosahexaenoic acid also inhibited the activity of ACAT1. PMID: 19217763
- Results suggest that the ERK, p38MAPK and JNK signaling pathways may be involved in insulin-mediated regulation of ACAT1, but no PI3K and PLC-gamma signaling pathways were involved in the present study. PMID: 19269342
- Leptin accelerates cholesteryl ester accumulation in human monocyte-derived macrophages by increasing ACAT-1 expression. PMID: 19625677
- High ACAT1 expression is associated with estrogen receptor negative basal-like breast cancer. PMID: 19851860
- Macrophages cope with cholesterol loading by using a novel mechanism: they produce more ER-derived vesicles with elevated ACAT1 enzyme activity without having to produce more ACAT1 protein. PMID: 20460577
- the plaque-modulating effects of K-604 can be explained by stimulation of procollagen production independent of ACAT inhibition in addition to potent inhibition of macrophage ACAT-1 PMID: 20843517
- Visfatin may down-regulate the ABCA1 expression and up-regulate the ACAT1 expression via PPARgamma signal transduction pathway, which decreases the outflow of free cholesterol, increases the content of cholesterol esters, and then induces foam cell formation. PMID: 20945045
- In THP-1-derived macrophages and foam cells, the expression level of ACAT-1 and cellular cholesterol content increased significantly in response to asymmetric dimethylarginine treatment in a time- and concentration-dependent manner. PMID: 21177161
- The present study shows that the C allele carriers of ACAT-1 rs1044925 SNP in male hyperlipidemic subjects had higher serum total cholesterol, HDL-cholesterol and ApoAI levels than the C allele noncarriers. PMID: 22243772
- Essential oil of Pinus koraiensis leaves significantly inhibited hACAT1 levels in HepG2 cells. PMID: 22275303
- Several lipid-related gene polymorphisms interact with overweight/obesity to modulate blood pressure levels. PMID: 23109900
- ABCA1 and ACAT1 DNA methylation induced by homocysteine may play a potential role in ABCA1 and ACAT1 expression and the accumulation of cholesterol in monocyte-derived foam cells PMID: 23305686
- The molecular mechanism of insulin action is mediated via interaction of the functional IRE upstream of the ACAT1 P1 promoter with C/EBPalpha and is MAPK-dependent. PMID: 23564383
- The exo-endo trans-splicing is dependent on the interchromosomal region of the 4.3-kb human ACAT1 chimeric mRNA, and that the chimeric mRNA is necessary for the production of the ACAT1 56-kDa isoform. PMID: 23835473
- Induction of apoptosis and necroptosis by 24(S)-hydroxycholesterol is dependent on activity ACAT1. PMID: 24407243
- the enzyme activity of ACAT1 with Gln526 is less active than that of ACAT1 with Arg526 by 40%; Pro347 located near transmembrane domain 5 plays an important role in modulating enzyme catalysis PMID: 24517390
- Data show that the C allele of acyl-CoA acyltransferase-1 (ACAT-1) rs1044925 was associated with a decreased risk of coronary artery disease and ischemic stroke patients. PMID: 24577316
- Acat1 gene knock-out increases phagocytic uptake of amyloid beta-protein (1-42). PMID: 25339759
- ACAT1 regulates glioblastoma-cell proliferation via modification of the Akt and/or the ERK1/2 pathway. PMID: 26252415
- Our results demonstrated the contrasting effects of STC1 and STC2-derived peptides on human macrophage foam cell formation associated with ACAT1 expression and on HASMC migration. PMID: 27346255
- TLR4 siRNA inhibits cell proliferation, migration and invasion by suppressing ACAT1 expression, suggesting that TLR4 may be a potential therapeutic target for the treatment of colorectal cancer PMID: 27177773
- these results illustrate that ACAT1-catalyzed esterification of 24S-OHC with long-chain unsaturated fatty acid followed by formation of atypical LD-like structures at the ER membrane is a critical requirement for 24S-OHC-induced cell death. PMID: 27647838
- ACAT1 has a role in regulating the dynamics of free cholesterols in plasma membrane which leads to the APP-alpha-processing alteration PMID: 26474739
- Intracranial GBM xenografts were used to determine the effects of genetically silencing SOAT1 and SREBP-1 on tumor growth. PMID: 27281560
- Higher Gleason grade was associated with lower LDLR expression, lower SOAT1 and higher SQLE expression. Besides high SQLE expression, cancers that became lethal despite primary treatment were characterized by low LDLR expression (odds ratio for highest versus lowest quintile, 0.37; 95% CI 0.18-0.76) and by low SOAT1 expression (odds ratio, 0.41; 95% CI 0.21-0.83). PMID: 28595267
- Data indicate that mitotane confers adrenal-specific cytotoxicity and down-regulates steroidogenesis by inhibition of sterol-O-acyl-transferase 1 (SOAT1) leading to lipid-induced endoplasmic reticulum (ER) stress. PMID: 26305886
- Suggest retinal pigment epithelium metabolism of 7-ketocholesterol occurs by esterification to fatty acids via cPLA2alpha and SOAT1 followed by selective efflux to HDL. PMID: 25617738
- PLA/AT-1 is at least partly responsible for the generation of N-acylphosphatidylethanolamine in mammalian cells. PMID: 23994608
- These studies demonstrate that both SIAE and SOAT activities seem to be responsible for the enhanced level of Neu5,9Ac(2) in lymphoblasts, which is a hallmark in acute lymphoblastic leukemia PMID: 21803834
- the polymorphism of rs1044925 in the ACAT-1 gene is mainly associated with female serum total cholesterol, LDL-C and ApoB levels in the Bai Ku Yao population PMID: 21143839
- These findings suggest the potential involvement of MAPK and STAT pathways in norcantharidin-induced apoptogenesis. PMID: 21266192
- SF-1-dependent up-regulation of SOAT1 may be important for maintaining readily-releasable cholesterol reserves needed for active steroidogenesis and during episodes of recurrent stress. PMID: 21239516
- Observational study of gene-disease association, gene-environment interaction, and pharmacogenomic / toxicogenomic. (HuGE Navigator) PMID: 20628086
- Results show that signaling through ACAT/cholesterol esterification is a novel pathway for the CCK2R that contributes to tumor cell proliferation and invasion. PMID: 19502590
- allosteric activation by cholesterol PMID: 12533546
- polymorphism of the gene encoding acyl-coenzyme A: cholesterol acyltransferase 1 (SOAT1) is involved in the regulation of beta-amyloid peptide generation, is associated with low brain amyloid load and with low cerebrospinal fluid levels of cholesterol PMID: 12851640
- ACAT-1 transcripts predominate in human liver and ACAT-2 transcripts predominate in human duodenum and support the notion that ACAT-2 has an important regulatory role in liver and intestine. PMID: 14729857
- expression in monocytes infiltrating from the circulation to vascular walls may be enhanced by pre-existing transforming growth factor-beta1 PMID: 15219857
- A stable upstream stem-loop structure enhances selection of the first 5'-ORF-AUG as a main start codon for translation initiation of ACAT1 mRNA. PMID: 15253151
- increasing DGAT1, ACAT1, or ACAT2 expression stimulates the assembly and secretion of VLDL from liver cells PMID: 15308631
- a glucocorticoid response element (GRE) located within human ACAT1 gene P1 promoter to response to the elevation of human ACAT1 gene expression by dexamethasone could be functionally bound with glucocorticoid receptor (GR) proteins. PMID: 15353128
- The results of a comprehensive genetic assessment of SOAT1 variants in the NIMH AD Genetics Initiative study sample are presented. PMID: 15768051
- Disulfide linkage map shows that cysteine(C)92 is located on the cytoplasmic side of the endoplasmic reticulum (ER) membrane and the disulfide is located in the ER lumen, while all other free Cs are located within the hydrophobic region(s) of the enzyme. PMID: 15850387
顯示更多
收起更多
-
亞細胞定位:Endoplasmic reticulum membrane; Multi-pass membrane protein.
-
蛋白家族:Membrane-bound acyltransferase family, Sterol o-acyltransferase subfamily
-
數據庫鏈接:
Most popular with customers
-
-
YWHAB Recombinant Monoclonal Antibody
Applications: ELISA, WB, IHC, IF, FC
Species Reactivity: Human, Mouse, Rat
-
Phospho-YAP1 (S127) Recombinant Monoclonal Antibody
Applications: ELISA, WB, IHC
Species Reactivity: Human
-
-
-
-
-















