SNX2 Antibody
-
中文名稱:SNX2兔多克隆抗體
-
貨號:CSB-PA793628
-
規格:¥1100
-
圖片:
-
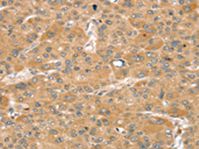
The image on the left is immunohistochemistry of paraffin-embedded Human liver cancer tissue using CSB-PA793628(SNX2 Antibody) at dilution 1/40, on the right is treated with synthetic peptide. (Original magnification: ×200)
-
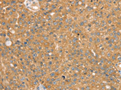
The image on the left is immunohistochemistry of paraffin-embedded Human breast cancer tissue using CSB-PA793628(SNX2 Antibody) at dilution 1/40, on the right is treated with synthetic peptide. (Original magnification: ×200)
-
Gel: 8%SDS-PAGE, Lysate: 40 μg, Lane 1-2: Hela cells, 293T cells, Primary antibody: CSB-PA793628(SNX2 Antibody) at dilution 1/300, Secondary antibody: Goat anti rabbit IgG at 1/8000 dilution, Exposure time: 10 seconds
-
-
其他:
產品詳情
-
Uniprot No.:
-
基因名:
-
別名:MGC5204 antibody; SNX 2 antibody; SNX2 antibody; SNX2_HUMAN antibody; Sorting nexin 2 antibody; Sorting nexin-2 antibody; Transformation related gene 9 protein antibody; Transformation-related gene 9 protein antibody; TRG 9 antibody; TRG-9 antibody; TRG9 antibody
-
宿主:Rabbit
-
反應種屬:Human,Mouse
-
免疫原:Synthetic peptide of Human SNX2
-
免疫原種屬:Homo sapiens (Human)
-
標記方式:Non-conjugated
-
抗體亞型:IgG
-
純化方式:Antigen affinity purification
-
濃度:It differs from different batches. Please contact us to confirm it.
-
保存緩沖液:-20°C, pH7.4 PBS, 0.05% NaN3, 40% Glycerol
-
產品提供形式:Liquid
-
應用范圍:ELISA,WB,IHC
-
推薦稀釋比:
Application Recommended Dilution ELISA 1:2000-1:5000 WB 1:500-1:2000 IHC 1:25-1:100 -
Protocols:
-
儲存條件:Upon receipt, store at -20°C or -80°C. Avoid repeated freeze.
-
貨期:Basically, we can dispatch the products out in 1-3 working days after receiving your orders. Delivery time maybe differs from different purchasing way or location, please kindly consult your local distributors for specific delivery time.
-
用途:For Research Use Only. Not for use in diagnostic or therapeutic procedures.
相關產品
靶點詳情
-
功能:Involved in several stages of intracellular trafficking. Interacts with membranes containing phosphatidylinositol 3-phosphate (PtdIns(3P)) or phosphatidylinositol 3,5-bisphosphate (PtdIns(3,5)P2). Acts in part as component of the retromer membrane-deforming SNX-BAR subcomplex. The SNX-BAR retromer mediates retrograde transport of cargo proteins from endosomes to the trans-Golgi network (TGN) and is involved in endosome-to-plasma membrane transport for cargo protein recycling. The SNX-BAR subcomplex functions to deform the donor membrane into a tubular profile called endosome-to-TGN transport carrier (ETC) (Probable). Can sense membrane curvature and has in vitro vesicle-to-membrane remodeling activity. Required for retrograde endosome-to-TGN transport of TGN38. Promotes KALRN- and RHOG-dependent but retromer-independent membrane remodeling such as lamellipodium formation; the function is dependent on GEF activity of KALRN.
-
基因功能參考文獻:
- SNX2 is highly expressed in 73.3% Graves disease patients and in 93.8% thyroid nodule patients. PMID: 23531855
- Silencing of SNX2 markedly alters sensitivity to anticancer drugs targeted to c-Met. PMID: 23360489
- SNX1 and SNX2 interact with the Rac1 and RhoG guanine nucleotide exchange factor Kalirin-7. Overexpression of SNX1 or SNX2 and Kalirin-7 partially redistributes both SNXs to the plasma membrane, and results in RhoG-dependent lamellipodia formation. PMID: 20604901
- Examined the effect of a PX domain-mutated SNX2 that is defective in vesicle localization on EGFR trafficking. PMID: 14978220
- The N-terminal domain of Abs interacts with the phox homology (PX) domain of SNX2 suggesting that PX domains may also participate in protein-protein interaction PMID: 15690390
- Data suggest that sorting nexin-2 is not essential for the regulation of endosome-to-trans Golgi network retrieval of the cation-independent mannose 6-phosphate receptor. PMID: 16179610
- study indicates that hVps34 and its product PI(3)P are involved in endosome to Golgi transport of ricin, and that SNX2 and SNX4 are likely to be effectors in this pathway PMID: 17319803
顯示更多
收起更多
-
亞細胞定位:Early endosome membrane; Peripheral membrane protein; Cytoplasmic side. Cell projection, lamellipodium.
-
蛋白家族:Sorting nexin family
-
數據庫鏈接:
Most popular with customers
-
-
YWHAB Recombinant Monoclonal Antibody
Applications: ELISA, WB, IHC, IF, FC
Species Reactivity: Human, Mouse, Rat
-
Phospho-YAP1 (S127) Recombinant Monoclonal Antibody
Applications: ELISA, WB, IHC
Species Reactivity: Human
-
-
-
-
-















