SNTA1 Antibody
-
中文名稱:SNTA1兔多克隆抗體
-
貨號:CSB-PA289378
-
規格:¥1100
-
圖片:
-
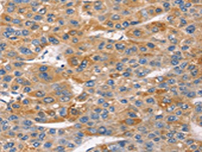
The image on the left is immunohistochemistry of paraffin-embedded Human liver cancer tissue using CSB-PA289378(SNTA1 Antibody) at dilution 1/20, on the right is treated with synthetic peptide. (Original magnification: ×200)
-
Gel: 8%SDS-PAGE, Lysate: 80 μg, Lane 1-2: Human colon cancer and normal stomach tissue, Primary antibody: CSB-PA289378(SNTA1 Antibody) at dilution 1/200 dilution, Secondary antibody: Goat anti rabbit IgG at 1/8000 dilution, Exposure time: 1 minute
-
-
其他:
產品詳情
-
Uniprot No.:
-
基因名:SNTA1
-
別名:59 kDa dystrophin-associated protein A1 acidic component 1 antibody; Acidic alpha 1 syntrophin antibody; Alpha 1 syntrophin antibody; Alpha-1-syntrophin antibody; dJ1187J4.5 antibody; Dystrophin associated protein A1 59kDa acidic component antibody; LQT12 antibody; OTTHUMP00000030650 antibody; Pro-TGF-alpha cytoplasmic domain-interacting protein 1 antibody; SNT1 antibody; Snta1 antibody; SNTA1_HUMAN antibody; Syntrophin 1 antibody; Syntrophin-1 antibody; TACIP1 antibody
-
宿主:Rabbit
-
反應種屬:Human,Mouse
-
免疫原:Synthetic peptide of Human SNTA1
-
免疫原種屬:Homo sapiens (Human)
-
標記方式:Non-conjugated
-
抗體亞型:IgG
-
純化方式:Antigen affinity purification
-
濃度:It differs from different batches. Please contact us to confirm it.
-
保存緩沖液:-20°C, pH7.4 PBS, 0.05% NaN3, 40% Glycerol
-
產品提供形式:Liquid
-
應用范圍:ELISA,WB,IHC
-
推薦稀釋比:
Application Recommended Dilution ELISA 1:1000-1:2000 WB 1:200-1:1000 IHC 1:25-1:100 -
Protocols:
-
儲存條件:Upon receipt, store at -20°C or -80°C. Avoid repeated freeze.
-
貨期:Basically, we can dispatch the products out in 1-3 working days after receiving your orders. Delivery time maybe differs from different purchasing way or location, please kindly consult your local distributors for specific delivery time.
-
用途:For Research Use Only. Not for use in diagnostic or therapeutic procedures.
相關產品
靶點詳情
-
功能:Adapter protein that binds to and probably organizes the subcellular localization of a variety of membrane proteins. May link various receptors to the actin cytoskeleton and the extracellular matrix via the dystrophin glycoprotein complex. Plays an important role in synapse formation and in the organization of UTRN and acetylcholine receptors at the neuromuscular synapse. Binds to phosphatidylinositol 4,5-bisphosphate.
-
基因功能參考文獻:
- not associated with sudden infant death syndrome PMID: 28520217
- Low SNTA expression is associated with non-alcoholic steatohepatitis but is unchanged in hepatocellular carcinoma. PMID: 28941732
- A novel SNTA1 variant is likely causative for drug induced long-QT syndrome by augmenting the late sodium current. PMID: 27028743
- In a nonreferred nationwide Danish cohort of SIDS cases, up to 5/66 (7.5%) of SIDS cases can be explained by genetic variants in the sodium channel complex genes. PMID: 25757662
- our results present a possible mechanism of Rac1 activation involving SNTA1 and emphasise its role in ROS generation, cell migration, and acquisition of malignancy. PMID: 24434436
- Ordered disorder of the astrocytic dystrophin-associated protein complex in the norm and pathology. PMID: 24014171
- alpha-Syntrophin, which resides in nuclei of myocytes, functions as the upstream mediator of nuclear nNOS translocation and nNOS-dependent mitochondrial biogenesis. PMID: 24235139
- Calcium homeostasis mishandling in Duchenne muscular dystrophy myotubes depends on store operated calcium entry under the influence alpha1-syntrophin regulation as well as TRPV2-dependant cation influx. PMID: 23426965
- The combined mutations of A261V-SNTA1 plus R800L-SCN5A increase the INa current late/peak ratio and time constants of current decay. PMID: 23376825
- In contrast to stomach, lung, colon and rectal cancers, SNTA1 protein was found to be downregulated in esophageal cancers and upregulated in breast cancer. PMID: 21091386
- alpha1D-adrenergic receptors are regulated by syntrophins through a PDZ domain-mediated interaction PMID: 16533813
- These results establish an SNTA1-based nNOS complex attached to SCN5A as a key regulator of sodium current and suggest that SNTA1 be considered a rare long QT syndrome-susceptibility gene. PMID: 18591664
- SNTA1 is a new susceptibility gene for LQTS. A257G-SNTA1 can cause gain-of-function of Na(v)1.5 similar to the LQT3. PMID: 19684871
- Alpha1-syntrophin mutations identified in sudden infant death syndrome cause an increase in late cardiac sodium current. PMID: 20009079
顯示更多
收起更多
-
相關疾病:Long QT syndrome 12 (LQT12)
-
亞細胞定位:Cell membrane, sarcolemma; Peripheral membrane protein; Cytoplasmic side. Cell junction. Cytoplasm, cytoskeleton.
-
蛋白家族:Syntrophin family
-
組織特異性:High expression in skeletal muscle and heart. Low expression in brain, pancreas, liver, kidney and lung. Not detected in placenta.
-
數據庫鏈接:
Most popular with customers
-
-
YWHAB Recombinant Monoclonal Antibody
Applications: ELISA, WB, IHC, IF, FC
Species Reactivity: Human, Mouse, Rat
-
Phospho-YAP1 (S127) Recombinant Monoclonal Antibody
Applications: ELISA, WB, IHC
Species Reactivity: Human
-
-
-
-
-















