SNAP23 Antibody
-
中文名稱:SNAP23兔多克隆抗體
-
貨號:CSB-PA021871LA01HU
-
規格:¥440
-
圖片:
-
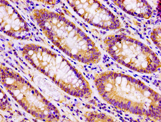
IHC image of CSB-PA021871LA01HU diluted at 1:100 and staining in paraffin-embedded human colon cancer performed on a Leica BondTM system. After dewaxing and hydration, antigen retrieval was mediated by high pressure in a citrate buffer (pH 6.0). Section was blocked with 10% normal goat serum 30min at RT. Then primary antibody (1% BSA) was incubated at 4°C overnight. The primary is detected by a biotinylated secondary antibody and visualized using an HRP conjugated SP system.
-
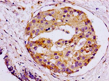
IHC image of CSB-PA021871LA01HU diluted at 1:100 and staining in paraffin-embedded human breast cancer performed on a Leica BondTM system. After dewaxing and hydration, antigen retrieval was mediated by high pressure in a citrate buffer (pH 6.0). Section was blocked with 10% normal goat serum 30min at RT. Then primary antibody (1% BSA) was incubated at 4°C overnight. The primary is detected by a biotinylated secondary antibody and visualized using an HRP conjugated ABC system.
-
Immunofluorescence staining of Hela cells with CSB-PA021871LA01HU at 1:66, counter-stained with DAPI. The cells were fixed in 4% formaldehyde, permeabilized using 0.2% Triton X-100 and blocked in 10% normal Goat Serum. The cells were then incubated with the antibody overnight at 4°C. The secondary antibody was Alexa Fluor 488-congugated AffiniPure Goat Anti-Rabbit IgG(H+L).
-
-
其他:
產品詳情
-
產品名稱:Rabbit anti-Homo sapiens (Human) SNAP23 Polyclonal antibody
-
Uniprot No.:
-
基因名:SNAP23
-
別名:HsT17016 antibody; LS-B8340 antibody; SNAP 23 antibody; SNAP-23 antibody; SNAP23 antibody; SNAP23A antibody; SNAP23B antibody; SNP23_HUMAN antibody; Synaptosomal associated protein 23 antibody; Synaptosomal associated protein 23kDa antibody; Synaptosomal associated protein antibody; Synaptosomal-associated protein 23 antibody; Vesicle membrane fusion protein SNAP 23 antibody; Vesicle membrane fusion protein SNAP23 antibody; Vesicle-membrane fusion protein SNAP-23 antibody
-
宿主:Rabbit
-
反應種屬:Human
-
免疫原:Recombinant Human Synaptosomal-associated protein 23 protein (90-196AA)
-
免疫原種屬:Homo sapiens (Human)
-
標記方式:Non-conjugated
本頁面中的產品,SNAP23 Antibody (CSB-PA021871LA01HU),的標記方式是Non-conjugated。對于SNAP23 Antibody,我們還提供其他標記。見下表:
-
克隆類型:Polyclonal
-
抗體亞型:IgG
-
純化方式:>95%, Protein G purified
-
濃度:It differs from different batches. Please contact us to confirm it.
-
保存緩沖液:Preservative: 0.03% Proclin 300
Constituents: 50% Glycerol, 0.01M PBS, pH 7.4 -
產品提供形式:Liquid
-
應用范圍:ELISA, IHC, IF
-
推薦稀釋比:
Application Recommended Dilution IHC 1:20-1:200 IF 1:50-1:200 -
Protocols:
-
儲存條件:Upon receipt, store at -20°C or -80°C. Avoid repeated freeze.
-
貨期:Basically, we can dispatch the products out in 1-3 working days after receiving your orders. Delivery time maybe differs from different purchasing way or location, please kindly consult your local distributors for specific delivery time.
-
用途:For Research Use Only. Not for use in diagnostic or therapeutic procedures.
相關產品
靶點詳情
-
功能:Essential component of the high affinity receptor for the general membrane fusion machinery and an important regulator of transport vesicle docking and fusion.
-
基因功能參考文獻:
- PKM2 promotes tumor cell exosome release via phosphorylating protein SNAP23. PMID: 28067230
- SNAP23 suppressed progression of cervical cancer and induced cell cycle G2/M arrest via upregulating p21(cip1) and downregulating CyclinB1 PMID: 29908998
- Knockdown of VAMP3 and SNAP23 reduces endothelial secretion of miR-126-3p and miR-200a-3p, as well as the proliferation, migration, and suppression of contractile markers in smooth muscle cells caused by vascular endothelial cell-coculture. PMID: 28716920
- Study showed that SNAP23 was recruited to the close sites of lipid droplet (LD) in HCV-infected cells, implying that SNAP23 was required for HCV-induced LD enlargement and, HCV production. PMID: 27550144
- A novel regulatory mechanism for SNAP23-dependent mast cell activation of T. vaginalis-secreted LTB4 involving surface trafficking of BLT1. PMID: 27795355
- Study identified SNAP23 as a novel oncogene in Ovarian Cancer (OC). It is over-expressed in OC and could promote the proliferation, migration and invasion of OC in vitro. PMID: 27855700
- Localization of SNAP23 was found in plasma membrane, lipid droplets and mitochondria of skeletal muscle. PMID: 26733245
- these data suggest that SNAP23 is a key component of the endothelial SNARE machinery that mediates endothelial exocytosis. PMID: 26266817
- Increased level of SNAP23-Syntaxin4-VAMP7 interaction correlates with decreased Syntaxin4 phosphorylation and trafficking of MT1-MMP to invadopodia during cellular invasion. PMID: 24807903
- The association of Src, EGFR and beta1 integrin is dependent upon membrane traffic that is mediated by syntaxin13 (officially known as STX12) and SNAP23. PMID: 24496451
- Data suggest SNAP23 and VAMP3 (vesicle-associated membrane protein 3) participate in interleukin-1beta-, interleukin-1 receptor-, calcium signaling-dependent secretion/exocytosis of interleukin-6 and tumor necrosis factor alpha from synoviocytes. PMID: 24373201
- Results suggest that phagosomal SNAP-23 is one of the key players regulating the phagosomal environment in macrophages. PMID: 23087210
- STX-3 and SNAP-23 are crucial for the release of all chemokines in mature human mast cells PMID: 21981832
- Data show that knockdown of SNAP-23 inhibited the production of virus. PMID: 21768361
- Introduction of the SNARE domain of SNAP-23 into neutrophils as an HIV transactivator of transcription (TAT) fusion protein significantly inhibits exocytosis of neutrophil granule subsets without altering signal transduction pathway activation. PMID: 21642540
- SNAP23 and SNAP25 palmitoylation is regulated by DHHC palmitoyl transferases PMID: 20519516
- the importance of SNAP23 in the trafficking of matrix metalloproteinases during degradation of extracellular matrix substrates and subsequent cellular invasion PMID: 19910495
- SNAP-23 and syntaxin-4 are expressed in human eosinophils and are likely candidates for association with VAMP-2 during docking, which is followed by exocytosis. PMID: 11842301
- cleaved by calpain in activated platelets PMID: 12121992
- CFTR-mediated chloride currents are inhibited by introducing excess SNAP-23 into HT29-Cl.19A epithelial cells. PMID: 12209004
- A synaptosome-associated protein of 23 kDa(SNAP23), the ubiqitously expressed homologue of SNAP25, has been shown to interact directly with ubiquitous kinesin heavy chain (uKHC). PMID: 12475239
- Palmitoylated peptides from the cysteine-rich domain of this protein cause membrane fusion depending on peptide length, position of cysteines, and extent of palmitoylation. PMID: 12551899
- an examination of the homotetrameric structure of the N-terminal domain of this protein PMID: 12556468
- studies show that synaptosomal-associated protein-23 is phosphorylated in platelets during cell activation through a protein kinase C-related mechanism at two or more sites PMID: 12930825
- Because SNAP-23 plays a central role in SNAREs complex formation, it was chosen to examine possible functional implications of the SNARE system in plasma cell Ig secretion. PMID: 16272324
- expression of SNAP-23 and syntaxin-2 on the extracellular surface of the platelet plasma membrane. PMID: 17485553
- SNAP-23 is not essential for constitutive exocytosis of secreted alkaline phosphatase PMID: 17825825
- The expression of the SNARE protein SNAP-25 and its cellular homologue SNAP-23, as well as syntaxin1 and VAMP (vesicle-associated membrane protein) in samples of normal parathyroid tissue, chief cell adenoma, and parathyroid carcinoma, was examined. PMID: 18457912
- Overexpression of a dominant negative SNAP-23 mutant suppressed expression of P-selectin, CD40L, CD41, CD61, release from dense granules and platelet aggregation PMID: 18665925
顯示更多
收起更多
-
亞細胞定位:Cell membrane; Peripheral membrane protein. Cell membrane; Lipid-anchor. Cell junction, synapse, synaptosome. Note=Mainly localized to the plasma membrane.
-
蛋白家族:SNAP-25 family
-
組織特異性:Ubiquitous. Highest levels where found in placenta.
-
數據庫鏈接:
Most popular with customers
-
-
YWHAB Recombinant Monoclonal Antibody
Applications: ELISA, WB, IHC, IF, FC
Species Reactivity: Human, Mouse, Rat
-
Phospho-YAP1 (S127) Recombinant Monoclonal Antibody
Applications: ELISA, WB, IHC
Species Reactivity: Human
-
-
-
-
-















