SNAI1 Antibody
-
中文名稱:SNAI1兔多克隆抗體
-
貨號:CSB-PA991705
-
規格:¥1100
-
圖片:
-
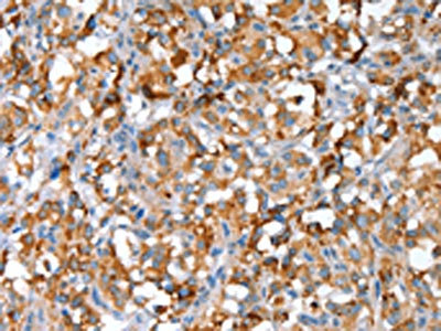
The image on the left is immunohistochemistry of paraffin-embedded Human thyroid cancer tissue using CSB-PA991705(SNAI1 Antibody) at dilution 1/30, on the right is treated with fusion protein. (Original magnification: ×200)
-
Gel: 6%SDS-PAGE, Lysate: 40 μg, Lane 1-2: 293T cells, A549 cells, Primary antibody: CSB-PA991705(SNAI1 Antibody) at dilution 1/200, Secondary antibody: Goat anti rabbit IgG at 1/8000 dilution, Exposure time: 5 minutes
-
-
其他:
產品詳情
-
Uniprot No.:
-
基因名:
-
別名:dJ710H13.1 antibody; Protein sna antibody; Protein snail homolog 1 antibody; Protein snail homolog antibody; SLUGH2 antibody; SNA antibody; Sna protein antibody; SNAH antibody; SNAI antibody; snai1 antibody; SNAI1_HUMAN antibody; Snail 1 homolog antibody; Snail 1 zinc finger protein antibody; SNAIL antibody; Snail family transcriptional repressor 1 antibody; Snail homolog 1 (Drosophila) antibody; SNAIL, Drosophila, homolog of, 1 antibody; SNAIL1 antibody; Zinc finger protein SNAI1 antibody
-
宿主:Rabbit
-
反應種屬:Human,Mouse
-
免疫原:Fusion protein of Human SNAI1
-
免疫原種屬:Homo sapiens (Human)
-
標記方式:Non-conjugated
-
抗體亞型:IgG
-
純化方式:Antigen affinity purification
-
濃度:It differs from different batches. Please contact us to confirm it.
-
保存緩沖液:-20°C, pH7.4 PBS, 0.05% NaN3, 40% Glycerol
-
產品提供形式:Liquid
-
應用范圍:ELISA,WB,IHC
-
推薦稀釋比:
Application Recommended Dilution ELISA 1:2000-1:5000 WB 1:200-1:1000 IHC 1:50-1:200 -
Protocols:
-
儲存條件:Upon receipt, store at -20°C or -80°C. Avoid repeated freeze.
-
貨期:Basically, we can dispatch the products out in 1-3 working days after receiving your orders. Delivery time maybe differs from different purchasing way or location, please kindly consult your local distributors for specific delivery time.
-
用途:For Research Use Only. Not for use in diagnostic or therapeutic procedures.
相關產品
靶點詳情
-
功能:Involved in induction of the epithelial to mesenchymal transition (EMT), formation and maintenance of embryonic mesoderm, growth arrest, survival and cell migration. Binds to 3 E-boxes of the E-cadherin/CDH1 gene promoter and to the promoters of CLDN7 and KRT8 and, in association with histone demethylase KDM1A which it recruits to the promoters, causes a decrease in dimethylated H3K4 levels and represses transcription. The N-terminal SNAG domain competes with histone H3 for the same binding site on the histone demethylase complex formed by KDM1A and RCOR1, and thereby inhibits demethylation of histone H3 at 'Lys-4' (in vitro). During EMT, involved with LOXL2 in negatively regulating pericentromeric heterochromatin transcription. SNAI1 recruits LOXL2 to pericentromeric regions to oxidize histone H3 and repress transcription which leads to release of heterochromatin component CBX5/HP1A, enabling chromatin reorganization and acquisition of mesenchymal traits. Associates with EGR1 and SP1 to mediate tetradecanoyl phorbol acetate (TPA)-induced up-regulation of CDKN2B, possibly by binding to the CDKN2B promoter region 5'-TCACA-3. In addition, may also activate the CDKN2B promoter by itself.
-
基因功能參考文獻:
- Snail1 gene silencing effectively improved the drug sensitivity of MMCs to bortezomib chemotherapy. PMID: 30365089
- Up-regulation of long non-coding RNA XLOC_010235 regulates epithelial-to-mesenchymal transition to promote metastasis by associating with Snail1 in gastric cancer. PMID: 28550287
- Study provides evidence that genetic variants in SNAI1 and TWIST1 are associated with breast cancer (BC) and ovarian cancer (OC) susceptibility and suggests a synergistic effect of those related loci on BC/OC risk. PMID: 30272327
- Ovarian cancer patients show elevated serum CXCL1/2, which correlates with Snail expression, myeloid-derived suppressor cells infiltration, and short overall survival. Snail induces ovarian cancer progression via upregulation of CXCR2 ligands and recruitment of myeloid-derived suppressor cells. PMID: 29703902
- The authors identify SNAI1 as the key Epithelial-Mesenchymal Transition transcriptional factor required for the specification of definitive endoderm. PMID: 28466868
- Snail functions as a metabolic switch between aerobic glycolysis and pentose phosphate pathway by repressing PFKP, a cancer-specific PFK-1, allowing cancer cell survival under metabolic stress. PMID: 28176759
- At the molecular level, transcription of the adherens junction protein E-cadherin is upregulated on nicotinic acid addition, leading to accumulation of E-cadherin protein at the cell-cell boundary. This can be attributed to nicotinic acid's ability to facilitate the ubiquitination and degradation of Snail1, a transcription factor that represses E-cadherin expression. PMID: 28256591
- Dub3 is identified as a bona fide Snail1 deubiquitinase, which interacts with and stabilizes Snail1. PMID: 28198361
- High SNAIL1 expression is associated with breast invasive ductal carcinoma. PMID: 29937187
- The present study illustrated that downregulation of CDK10 expression activated Snaildriven EMT and consequently promoted glioma metastasis, suggesting that CDK10 may serve as a potential molecular target for glioma therapy. PMID: 29845196
- Binding of HIV1 Tat to TIP30 enhanced epithelial-to-mesenchymal transition and metastasis by regulating the nuclear translocation of Snail. PMID: 30099830
- Chronic hypoxia-induced slug promotes invasive behavior of prostate cancer cells by activating the expression of ephrin-B1. PMID: 30058095
- FBXW7 conduction of tumour suppression was partly through degrading Snai1 directly for ubiquitylating regulation in NSCLC. PMID: 30094882
- It is concluded that epithelial-mesenchymal transition is involved in human diabetic cataract, and upregulation of miR-30a can repress epithelial-mesenchymal transition through its targeting of SNAI1 in lens epithelial cells, which make miR-30a a novel target of therapeutic intervention for human diabetic cataract. PMID: 28442786
- irradiation of Human Umbilical Vein Endothelial Cells induced the differentiation of fibroblasts into myofibroblasts through the Snail/miR-199a-5p axis. PMID: 29619372
- these results indicate that miR124 transection inhibits the growth and aggressive of osteosarcoma, potentially via suppression of TGFbetamediated AKT/GSK3beta/snail family transcriptional repressor 1 (SNAIL1) signaling, suggesting miR124 may be a potential anticancer agent/target for osteosarcoma therapy. PMID: 29488603
- MiR-30c inhibits ESCC biological behaviors and EMT progress by directly binding to the 3'-UTR of SNAI1. PMID: 29304493
- MiR-22 over-expression attenuated lung cancer cell EMT and invasion via targeted inhibiting Snail. PMID: 28925484
- High glucose enhances the formation of EZH2/Snail/HDAC1 complex in the nucleus, which in turn causes E-cadherin repression. PMID: 29705809
- Neutrophils and Snail orchestrate the establishment of a pro-tumor microenvironment in lung cancer. PMID: 29241546
- Snail-1 plays a major role in the progression and migration of urinary bladder cancer. PMID: 29032338
- In patients with gastric cancer, the positive-to-negative conversion of the Snail status-between primary tumors and lymph node metastasis may be important for confirming epithelial-mesenchymal transition and mesenchymal-epithelial transition. PMID: 28247164
- Inhibition of cell migration, invasion, and metastasis in esophageal carcinoma requires CBX8-mediated repression of Snail. PMID: 28912889
- Dermal fibroblast-to-myofibroblast transition sustained by alphavss3 integrin-ILK-Snail1/Slug signaling is a common feature for hypermobile Ehlers-Danlos syndrome and hypermobility spectrum disorders. PMID: 29309923
- increased abundance of Snail and Axin2 is highly correlated to malignant transformation of OL, making them novel biomarker(s) predicting oral cancer development PMID: 28939076
- FoxM1 may enhance the invasion and migration of cancer cells, and thus promotes their Epithelialmesenchymal transition, in a mechanism that may involve the regulation of Snai1. PMID: 28849004
- High SNAIL expression is associated with invasion, metastasis, and epithelial-to-mesenchymal transition of gastric cancer. PMID: 28424413
- Twist1 and Snail1 expression levels were associated with lymphovascular space invasion, lymph node metastasis and histological grade in cervical squamous cell carcinoma. PMID: 29101499
- Data show that miR-153 was found to target the 3'-UTR of snail transcription factors (Snail) mRNA. PMID: 28459992
- VEGFA and Snail-1 induction by meningitic Escherichia coli mediates disruption of the blood-brain barrier PMID: 27588479
- miR-199a-5p inhibited the progression of PTC by downregulating SNAI1, offering new insight into the molecular mechanism underlying PTC progression. PMID: 29427661
- our results suggest that Cx32 inhibits Hepatocellular carcinoma (HCC) invasion and metastasis through Snail-mediated EMT, Cx32 and this signaling pathway molecules may offer potential targets for HCC cancer therapy PMID: 28498415
- RND3 promotes Snail 1 protein degradation in glioblastoma tumor cells, promoting cell migration and neoplasm invasiveness. PMID: 27705942
- this study shows that EGF induces epithelial-mesenchymal transition through phospho-Smad2/3-Snail signaling pathway in breast cancer cells PMID: 27829223
- SNAI1 is a direct and functional target of miR-182. However SNAI1 negatively regulates the expression of miR-182 in breast cancer cells. PMID: 27894095
- E-cadherin expression was increased by transfection of p300 small interfering RNA in a dose-dependent manner.. There was a correlation between Snail and p300 expressions in lung cancer. Moreover, p300 acetylates Snail both in vivo and in vitro, and K187 may be involved in this modification. PMID: 28296173
- PARP3 controls of TGFbeta-induced epithelial mesenchymal transformation and acquisition of stem-like cell features by stimulation transglutaminase 2/SNAI1 signaling. PMID: 27579892
- Results show that Snai1 binds to the PXDN promoter in response to TGF-beta1 treatment of cervical carcinoma cell lines and represses its expression. PMID: 29305973
- increased Snail expression during progression to metastatic disease may prime cells for resistance to AR-targeted therapies by promoting AR activity in prostate cancer PMID: 27409172
- Snail1 may be a co-factor of TERT enhancer rs2853677 for predicting lung adenocarcinoma susceptibility and prognosis PMID: 27191258
- Snail-1 might play an important role in the progression of bladder cancer PMID: 27322434
- Study demonstrated in human breast cancer samples that MDM2 induces epithelial-to-mesenchymal transition by enhancing Snail expression in vitro and in vivo. PMID: 27184007
- Amla extract (Emblica officinalis, AE) decreases the gene and protein expression of IGF1R, a target of miR-375, and SNAIL1, a transcription factor that represses E-cadherin expression. PMID: 27129171
- The results demonstrate that knockdown of Snail can inhibit the inhibits epithelial-mesenchymal transition process of laryngeal squamous cell carcinoma cells through the vitamin D receptor signaling pathway in vitro. PMID: 28806534
- By repressing FOXA family members, SNAIL1 targets transcription factors at strategically important positions in gene-regulatory hierarchies, which may facilitate transcriptional reprogramming during EMT. PMID: 29155818
- Results show that Snail is a direct target of miR-137 and miR-34a in ovarian cancer cells. PMID: 27596137
- Results show that Snail1 transcriptional activation is regulated by SOX3 via binding to its promoter region in osteosarcoma cells promoting migration, invasiveness, and EMT. PMID: 28335789
- Cten-Snail signaling pathway contributes to cell motility in colorectal cancer (CRC), mediated by the stabilization of Snail protein. PMID: 28691764
- Mechanistic investigations found that quercetin suppressed Snail-dependent Akt activation by upregulating maspin and Snail-independent a disintegrin and metalloproteinase (ADAM) 9 expression pathways to modulate the invasive ability of NSCLC cells PMID: 28648644
- There was a significant stepwise increase of upgrading rate according to Snail1 expression in DCIS cells: weak 9%, intermediate 26%, and strong 55%, respectively. PMID: 28570750
顯示更多
收起更多
-
亞細胞定位:Nucleus. Cytoplasm.
-
蛋白家族:Snail C2H2-type zinc-finger protein family
-
組織特異性:Expressed in a variety of tissues with the highest expression in kidney. Expressed in mesenchymal and epithelial cell lines.
-
數據庫鏈接:
Most popular with customers
-
-
YWHAB Recombinant Monoclonal Antibody
Applications: ELISA, WB, IHC, IF, FC
Species Reactivity: Human, Mouse, Rat
-
Phospho-YAP1 (S127) Recombinant Monoclonal Antibody
Applications: ELISA, WB, IHC
Species Reactivity: Human
-
-
-
-
-















