SMO Antibody
-
中文名稱:SMO兔多克隆抗體
-
貨號:CSB-PA857876LA01HU
-
規格:¥440
-
圖片:
-
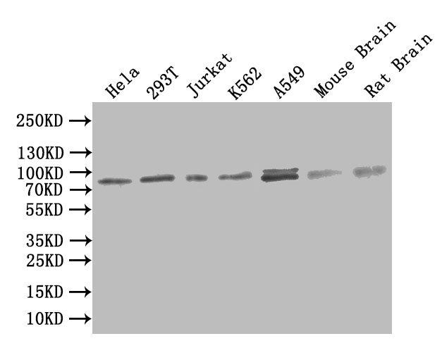
Western Blot
Positive WB detected in: Hela whole cell lysate, 293T whole cell lysate, JK whole cell lysate, K562 whole cell lysate, A549 whole cell lysate, Mouse Brain tissue lysate, Rat Brain tissue lysate
All lanes: SMO antibody at 1:1000
Secondary
Goat polyclonal to rabbit IgG at 1/50000 dilution
Predicted band size: 86 kDa
Observed band size: 86 kDa -
Immunofluorescence staining of A549 cell with CSB-PA857876LA01HU at 1:130, counter-stained with DAPI. The cells were fixed in 4% formaldehyde and blocked in 10% normal Goat Serum. The cells were then incubated with the antibody overnight at 4C. The secondary antibody was Alexa Fluor 488-congugated AffiniPure Goat Anti-Rabbit IgG(H+L).
-
Immunofluorescence staining of A549 cell with 5% goat serum, counter-stained with DAPI. The cells were fixed in 4% formaldehyde and blocked in 10% normal Goat Serum. The cells were then incubated with the antibody overnight at 4C. The secondary antibody was Alexa Fluor 488-congugated AffiniPure Goat Anti-Rabbit IgG(H+L).
-
Immunofluorescence staining of SY5Y cell with CSB-PA857876LA01HU at 1:130, counter-stained with DAPI. The cells were fixed in 4% formaldehyde and blocked in 10% normal Goat Serum. The cells were then incubated with the antibody overnight at 4C. The secondary antibody was Alexa Fluor 488-congugated AffiniPure Goat Anti-Rabbit IgG(H+L).
-
Immunofluorescence staining of SY5Y cell with 5% goat serum, counter-stained with DAPI. The cells were fixed in 4% formaldehyde and blocked in 10% normal Goat Serum. The cells were then incubated with the antibody overnight at 4C. The secondary antibody was Alexa Fluor 488-congugated AffiniPure Goat Anti-Rabbit IgG(H+L).
-
-
其他:
產品詳情
-
產品描述:
CUSABIO generated the SMO polyclonal antibody by immunizing the rabbits with the recombinant human SMO protein ((28-233aa). This SMO antibody is recommended for the recognition and detection of SMO protein from human and mouse samples. The target protein SMO is a member of the G protein-coupled receptor (GPCR) family that plays a crucial role in the Hedgehog (Hh) signaling pathway. The Hh pathway is essential for embryonic development and tissue homeostasis in adults.
This rabbit anti-human SMO polyclonal antibody has been quality tested in the ELISA, WB, IHC, and IF applications. The non-conjugated IgG got purified by protein G and reached up to 95% in purity.
-
產品名稱:Rabbit anti-Homo sapiens (Human) SMO Polyclonal antibody
-
Uniprot No.:
-
基因名:
-
別名:SMO; SMOH; Smoothened homolog; SMO; Protein Gx
-
宿主:Rabbit
-
反應種屬:Human, Mouse
-
免疫原:Recombinant Human Smoothened homolog protein (28-233AA)
-
免疫原種屬:Homo sapiens (Human)
-
標記方式:Non-conjugated
本頁面中的產品,SMO Antibody (CSB-PA857876LA01HU),的標記方式是Non-conjugated。對于SMO Antibody,我們還提供其他標記。見下表:
-
克隆類型:Polyclonal
-
抗體亞型:IgG
-
純化方式:>95%, Protein G purified
-
濃度:It differs from different batches. Please contact us to confirm it.
-
保存緩沖液:Preservative: 0.03% Proclin 300
Constituents: 50% Glycerol, 0.01M PBS, PH 7.4 -
產品提供形式:Liquid
-
應用范圍:ELISA, WB, IF
-
推薦稀釋比:
Application Recommended Dilution WB 1:1000-1:5000 IF 1:50-1:200 -
Protocols:
-
儲存條件:Upon receipt, store at -20°C or -80°C. Avoid repeated freeze.
-
貨期:Basically, we can dispatch the products out in 1-3 working days after receiving your orders. Delivery time maybe differs from different purchasing way or location, please kindly consult your local distributors for specific delivery time.
-
用途:For Research Use Only. Not for use in diagnostic or therapeutic procedures.
相關產品
靶點詳情
-
功能:G protein-coupled receptor that probably associates with the patched protein (PTCH) to transduce the hedgehog's proteins signal. Binding of sonic hedgehog (SHH) to its receptor patched is thought to prevent normal inhibition by patched of smoothened (SMO). Required for the accumulation of KIF7, GLI2 and GLI3 in the cilia. Interacts with DLG5 at the ciliary base to induce the accumulation of KIF7 and GLI2 at the ciliary tip for GLI2 activation.
-
基因功能參考文獻:
- Study present the crystal structure of the multi-domain human SMO in complex with a specially designed seven-transmembrane helices domain (TMD) ligand, shedding light on interactions between the cysteine-rich domain and TMD. Combining the structures with biophysical characterization and computer modelling results, study propose a mechanistic model of SMO activation. PMID: 28513578
- Case Report: Happle-Tinschert Syndrome is caused by mosaic SMO mutations and represents a variant of Curry-Jones syndrome. PMID: 29335739
- cholesterol within the bilayer is sufficient for constitutive Smoothened activation. Cholesterol effects occur independently of the lipid-binding Smoothened extracellular domain, a region that is dispensable for Patched1-Smoothened coupling. PMID: 29229834
- A somatic mutation in SMO likely accounts for the structural malformations and predisposition to form bowel hamartomas and myofibromas. The mutation burden in the involved tissues likely accounts for the variable manifestations PMID: 28386950
- Dual MET and SMO Inhibitors are potent antiproliferative agents in EGFR-Tyrosine kinase inhibitors resistant human non small cell lung cancer. PMID: 28787156
- Smoothened-antagonists reverse alterations in Hedgehog signaling and chondrocyte primary cilium length in homogentisic acid induced model of alkaptonuria. PMID: 28019670
- SMO mutation is associated with olfactory groove meningiomas. PMID: 28082415
- SMO is covalently modified by cholesterol. This modification is regulated by Ptch1 and Hh and is essential for Hh signaling. PMID: 28344083
- A screen for analogs revealed another six molecules, with IC50 values in the low micromolar range. Importantly, one of the most active of the new antagonists continued to be efficacious at the D473H mutant of Smoothened, which confers clinical resistance to the antagonist vismodegib in cancer treatment. PMID: 27490099
- Our studies demonstrate an important role for smoothened and glioma-associated oncogene homology-1 in gastric cancer and suggest inhibition of hedgehog pathway as a novel and potent strategy to treat gastric cancer patients PMID: 28675107
- The results suggest that Shh signaling plays an important role in rheumatoid arthritis-Fibroblast-like synoviocytes proliferation in a Smo-dependent manner. PMID: 26189371
- Mutations in SMO gene is associated with Curry-Jones Syndrome. PMID: 27236920
- The Hedgehog pathway receptor SMO is an important regulator of gastric cancer paclitaxel resistance. PMID: 28350784
- Role of SMO-mediated Hedgehog signaling pathway in the proliferation and apoptosis of multiple myeloma cells PMID: 27959416
- exogenous addition of 3beta,5alpha-dihydroxycholest-7-en-6-one, a naturally occurring B-ring oxysterol derived from 7-DHC that also accumulates in Smith-Lemli-Opitz syndrome, blocked Hedgehog signaling by inhibiting activation of the essential transduction component Smoothened, through a mechanism distinct from Smoothened modulation by other lipids. PMID: 27162362
- High SMO expression is associated with pancreatic and skin cancers. PMID: 26784250
- crystal structures of the Hh signal transducer and oncoprotein Smoothened, a GPCR that contains two distinct ligand-binding sites: one in its transmembrane domain and one in the cysteine-rich domain PMID: 27437577
- Smoothened determines beta-arrestin-mediated removal of the G protein-coupled receptor Gpr161 from the primary cilium. PMID: 27002170
- The combined inhibition of SMO and EGFR exerted a strong antiproliferative activity. PMID: 26124204
- Suggest that hypoxia promotes SMO transcription through upregulation of MAML3 and RBPJ to induce proliferation, invasiveness and tumorigenesis in pancreatic cancer. PMID: 26655998
- These findings suggest that miR-218 inhibits multidrug resistance of gastric cancer cells by down-regulating smoothened expression. PMID: 26261515
- Recipient SMO rs3824 polymorphism is associated with an increased risk of hepatocellular carcinoma recurrence following orthotopic liver transplantation. PMID: 25944162
- Strikingly, in basal cell carcinoma patients treated with Smo inhibitor, squamous cell cancers with RAS/MAPK activation emerged from the antecedent basal cell carcinoma tumors. PMID: 26130651
- report discussed two different SMO mutations representing examples of primary or secondary resistance respectively to vismodegib in two distinct basal cell carcinoma cases PMID: 25306392
- The SMOF412E mutation was not detected in ameloblastoma. The BRAFV600E-activating mutation is a common event in ameloblastomas, occurring regardless of site or histological type. This mutation is also detected in odontogenic carcinomas. PMID: 25854168
- SMO was upregulated in gliomas and was associated with tumor grade and survival period. SMO inhibition suppressed the biological behaviors of glioma cells. SMO expression was inversely correlated with miR-326 and is a novel direct target of miR-326. PMID: 25173582
- SMO expression was significantly associated with better colorectal cancer-specific survival. PMID: 25023548
- The Smoothened receptor (SMO) mediates signal transduction in the hedgehog pathway, which is implicated in normal development and carcinogenesis. PMID: 25008467
- analysis of small-molecule regulation of SMO and discussion of potential mechanisms for its endogenous regulation [review] PMID: 25785427
- SMO mutations are implicated in drug resistance in basal cell carcinoma. PMID: 25759019
- Mutations within the SMO protein are implicated in drug resistance in basal cell carcinoma. PMID: 25759020
- Studies indicate that Smoothened (Smo) inhibitor was beneficial for the treatment of advanced basal cell carcinoma (BCC). PMID: 24469022
- signaling mediated by Smo contributes to acquired chemoresistance through activating the transcriptional factor Gli PMID: 24393163
- SMO mutation is asociated with ameloblastoma. PMID: 24859340
- MicroRNA-338-3p could inhibit colorectal carcinoma cell invasion and migration by inhibiting smoothened expression. PMID: 24277750
- The structure of the Smo receptor will promote the development of small molecules interacting with a key therapeutic target with interests in regenerative medicine and cancer.[review] PMID: 24148123
- miR-338-3p could suppress colorectal carcinoma growth by inhibiting SMO protein expression. PMID: 23599646
- We observed strong correlation between higher SMO and SHH expression levels with poorer overall survival. PMID: 23379358
- Smo antagonism led to reduced Hedgehog pathway activity, resulting in decreased cell proliferation and induction of apoptosis via the intrinsic pathway in the esophageal cancer cells PMID: 23915072
- GSA-10 allows the pharmacological characterization of a novel Smo active site. PMID: 23448715
- downregulation of miR-326 may be a possible mechanism for unrestricted activation of Smo signal transducer of the oncogenic Hedgehog pathway in chronic myeloid leukemia PMID: 23341351
- Nonclassical activation of Hedgehog signaling enhances multidrug resistance and makes cancer cells refractory to Smoothened-targeting Hedgehog inhibition PMID: 23508962
- crystal structure of the transmembrane domain of the human SMO receptor bound to the small-molecule antagonist LY2940680 at 2.5 A resolution PMID: 23636324
- A subset of meningiomas lacking NF2 alterations harbored recurrent oncogenic mutations in AKT1 (p.Glu17Lys) and SMO (p.Trp535Leu) and exhibited immunohistochemical evidence of activation of these pathways. PMID: 23334667
- High SMO expression is asociated with postoperative liver metastasis in colon cancer. PMID: 23098507
- SMO mutations, which activate Hedgehog signaling, were identified in ~5% of non-NF2 mutant meningiomas PMID: 23348505
- High SMO expression is associated with colorectal cancer. PMID: 22901214
- Study shows that hedgehog signaling rewires cellular metabolism; Smo-dependent noncanonical signal rewires metabolism in vitro and in vivo. PMID: 23063129
- different pools of Smo move into cilia through distinct mechanisms PMID: 22864913
- the effects of oxysterols on Hedgehog signaling are exquisitely stereoselective, consistent with the hypothesis that they function through a specific protein target. PMID: 22231273
顯示更多
收起更多
-
相關疾病:Curry-Jones syndrome (CRJS)
-
亞細胞定位:Membrane; Multi-pass membrane protein. Cell projection, cilium.
-
蛋白家族:G-protein coupled receptor Fz/Smo family
-
數據庫鏈接:
Most popular with customers
-
-
YWHAB Recombinant Monoclonal Antibody
Applications: ELISA, WB, IHC, IF, FC
Species Reactivity: Human, Mouse, Rat
-
Phospho-YAP1 (S127) Recombinant Monoclonal Antibody
Applications: ELISA, WB, IHC
Species Reactivity: Human
-
-
-
-
-















