SMARCB1 Antibody
-
中文名稱:SMARCB1兔多克隆抗體
-
貨號:CSB-PA623654ESR2HU
-
規格:¥440
-
圖片:
-
Western blot
All lanes: SWI/SNF-related matrix-associated actin-dependent regulator of chromatin subfamily B member 1 antibody at 8μg/ml
Lane 1: Hela whole cell lysate
Lane 2: 293T whole cell lysate
Lane 3: Mouse stomach tissue
Secondary
Goat polyclonal to rabbit IgG at 1/10000 dilution
Predicted band size: 45, 44 kDa
Observed band size: 45 kDa -
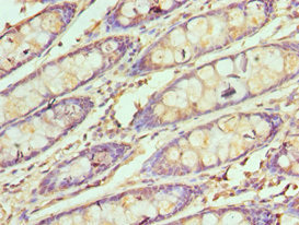
Immunohistochemistry of paraffin-embedded human colon tissue using CSB-PA623654ESR2HU at dilution of 1:100
-
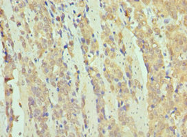
Immunohistochemistry of paraffin-embedded human colon cancer using CSB-PA623654ESR2HU at dilution of 1:100
-
-
其他:
產品詳情
-
產品名稱:Rabbit anti-Homo sapiens (Human) SMARCB1 Polyclonal antibody
-
Uniprot No.:
-
基因名:SMARCB1
-
別名:BAF47 antibody; BRG1-associated factor 47 antibody; hSNF5 antibody; INI1 antibody; Integrase interactor 1 protein antibody; Malignant rhabdoid tumor suppressor antibody; RDT antibody; RTPS1 antibody; Sfh1p antibody; SMARCB1 antibody; SNF5 homolog antibody; SNF5_HUMAN antibody; SNF5L1 antibody; Snr1 antibody; Sucrose nonfermenting yeast homolog like 1 antibody; SWI/SNF complex component SNF5 antibody; SWI/SNF-related matrix-associated actin-dependent regulator of chromatin subfamily B member 1 antibody; SWI10 antibody; Transcription factor TYE4 antibody; Transcription regulatory protein SNF5 antibody; TYE4 antibody
-
宿主:Rabbit
-
反應種屬:Human, Mouse
-
免疫原:Recombinant Human SWI/SNF-related matrix-associated actin-dependent regulator of chromatin subfamily B member 1 protein (86-385AA)
-
免疫原種屬:Homo sapiens (Human)
-
標記方式:Non-conjugated
-
克隆類型:Polyclonal
-
抗體亞型:IgG
-
純化方式:Antigen Affinity Purified
-
濃度:It differs from different batches. Please contact us to confirm it.
-
保存緩沖液:PBS with 0.02% sodium azide, 50% glycerol, pH7.3.
-
產品提供形式:Liquid
-
應用范圍:ELISA, WB, IHC
-
推薦稀釋比:
Application Recommended Dilution WB 1:500-1:2000 IHC 1:20-1:200 -
Protocols:
-
儲存條件:Upon receipt, store at -20°C or -80°C. Avoid repeated freeze.
-
貨期:Basically, we can dispatch the products out in 1-3 working days after receiving your orders. Delivery time maybe differs from different purchasing way or location, please kindly consult your local distributors for specific delivery time.
-
用途:For Research Use Only. Not for use in diagnostic or therapeutic procedures.
相關產品
靶點詳情
-
功能:Core component of the BAF (hSWI/SNF) complex. This ATP-dependent chromatin-remodeling complex plays important roles in cell proliferation and differentiation, in cellular antiviral activities and inhibition of tumor formation. The BAF complex is able to create a stable, altered form of chromatin that constrains fewer negative supercoils than normal. This change in supercoiling would be due to the conversion of up to one-half of the nucleosomes on polynucleosomal arrays into asymmetric structures, termed altosomes, each composed of 2 histones octamers. Stimulates in vitro the remodeling activity of SMARCA4/BRG1/BAF190A. Involved in activation of CSF1 promoter. Belongs to the neural progenitors-specific chromatin remodeling complex (npBAF complex) and the neuron-specific chromatin remodeling complex (nBAF complex). During neural development a switch from a stem/progenitor to a postmitotic chromatin remodeling mechanism occurs as neurons exit the cell cycle and become committed to their adult state. The transition from proliferating neural stem/progenitor cells to postmitotic neurons requires a switch in subunit composition of the npBAF and nBAF complexes. As neural progenitors exit mitosis and differentiate into neurons, npBAF complexes which contain ACTL6A/BAF53A and PHF10/BAF45A, are exchanged for homologous alternative ACTL6B/BAF53B and DPF1/BAF45B or DPF3/BAF45C subunits in neuron-specific complexes (nBAF). The npBAF complex is essential for the self-renewal/proliferative capacity of the multipotent neural stem cells. The nBAF complex along with CREST plays a role regulating the activity of genes essential for dendrite growth. Plays a key role in cell-cycle control and causes cell cycle arrest in G0/G1.
-
基因功能參考文獻:
- This is the first report of SMARCB1-deficient squamous cell carcinoma of pleura. The tumor was highly aggressive and carried a poor prognosis with short survival. PMID: 29625594
- We report two cases of SMARCB1-deficient tumours located in the meninges and occurring in young adults PMID: 27732747
- The mosaic loss of INI1 expression is a reliable marker of schwannomatosis. PMID: 28365909
- the malignancy risk in schwannomatosis is not well defined but may include an increased risk of malignant peripheral nerve sheath tumor in SMARCB1 Imaging protocols are also proposed for SMARCB1 and LZTR1 schwannomatosis and SMARCE1-related meningioma predisposition. PMID: 28620005
- cribriform neuroepithelial tumor showed large heterozygous 22q deletions (9/10) and SMARCB1 mutations. PMID: 27380723
- Loss of SMARCB1/INI1 expression is considered to be a hallmark for childhood chordomas. PMID: 28825187
- Our study, the first comprehensive analysis of RMC, supports a pivotal role for SMARCB1 in its development. PMID: 26433572
- HRAS mutations were more common in epithelial-myoepithelial carcinomas (EMCAs) with intact PLAG1 and HMGA2. Most EMCAs arose ex pleomorphic adenoma (PA)and the genetic profile of EMCA varies with the absence or presence of preexisting PA and its cytogenetic signature. Progression to higher grade EMCA with intact PLAG1 and HMGA2 correlates with the presence of TP53, FBXW7 mutations, or SMARCB1 deletion. PMID: 29135520
- Intronic hotspot variant of SMARCB1 was identified in atypical teratoid and rhabdoid tumors of two patients. This cryptic variant was absent in the germline DNA of both patients. PMID: 28722703
- These highly mobile and invasive cells no longer depend on KRAS signaling and rely on the aberrant activation of mesenchymal programs regulated by the chromatin remodeling factor SMARCB1. Mouse models showed that Smarcb1 ablation could intensify cancer spread; conversely, restoring Smarcb1 slowed tumor growth and restored the cells to their less invasive, epithelial form PMID: 28228393
- BAF57, BAF60a and SNF5 might act as novel pro-senescence factors in both normal and tumor human skin cells PMID: 28716547
- Low SNF5 expression is associated with Hepatocellular Carcinoma. PMID: 27111394
- SMARCB1 is required for widespread BAF complex-mediated activation of enhancers and bivalent promoters. PMID: 28945250
- Interactions have been indicated between SMARCB1/INI1 protein and key proteins in various pathways related to tumor proliferation and progression. PMID: 28109176
- The common loss of INI1 expression in rhabdoid and non-rhabdoid tumors will also open new therapeutic doors by developing targeted therapy strategies which may help to consolidate an initial treatment response to conventional radiochemotherapy. PMID: 27246730
- Biallelic alterations in the INI1 gene were identified in 4 of the 5 cases of atypical teratoid/rhabdoid tumors. Three of the 4 cases harbored 2 different mutations, presumably on different alleles (compound heterozygous mutations), and 1 case of which had a splice-site mutation. PMID: 28338502
- The epithelioid variant of schwannoma is rare, and loss of SMARCB1/INI1 expression has been observed in a subset of cases. Our aim was to further define the clinicopathologic features and to evaluate SMARCB1/INI1 deficiency in a large cohort of 65 epithelioid schwannomas diagnosed between 2002 and 2015 PMID: 28368924
- SMARCB1 is required for the integrity of SWI/SNF complexes. PMID: 27941797
- INI1 loss occurs rarely in colorectal carcinoma, where it is associated with higher grade, larger tumor size, poorer survival, mismatch repair deficiency, and BRAFV600E mutation. PMID: 27184481
- SWI/SNF complexes lacking SMARCB1 are vital determinants of drug sensitivity, not just to TOP2A-targeted agents, but to the much broader range of cancer drugs effluxed by ABCB1. PMID: 27503929
- SMARCB1-deficient sinonasal carcinoma represents an emerging poorly differentiated/undifferentiated sinonasal carcinoma. PMID: 28291122
- Deletions in INI1 gene is associated with Small cell undifferentiated hepatoblastomas. PMID: 27356182
- Our results confirm the pathogenic involvement of SMARCB1/INI1 in childhood chordoma PMID: 27635948
- Rpt1 domain of INI1 may participate in ubiquitin recognition or binding with ubiquitin or ubiquitin related proteins. PMID: 27261671
- Here, the authors first confirmed that SWIRM domain of BAF155 is responsible for its interaction with BAF47 and then narrowed down the SWIRM-binding region in BAF47 to the Repeat 1 (RPT1) domain. PMID: 28438634
- Our results suggest a general role of miR-206,-381, and 671-5p in SMARCB1 gene silencing of epithelioid sarcomas(ES) , extraskeletal myxoid chondrosarcomas , malignant peripheral nerve sheath tumors and synovial sarcomas . In the future, miR-765 could possibly be a diagnostic tool for ES because of its 97% specificity and 80% sensitivity. PMID: 27223121
- We conclude that in the context of 22q11-12 regional alterations present in SMARCB1-deleted tumors, simultaneous EWSR1 involvement may be misinterpreted as equivalent to EWSR1 rearrangement. A detailed clinicopathologic correlation and supplementing the EWSR1 FISH assay with complementary methodology is mandatory for correct diagnosis PMID: 27218413
- SNF5 is indispensable for CRIF1-enhanced p53 activity and its function in the suppression of cell cycle arrest in human cancer cells. PMID: 28235567
- INI1 re-expression suppresses cell proliferation and MYC-potentiated transformation. PMID: 27267444
- Interfering INI1 or the INI1-SAP18 interaction leads to the impairment of these processes. PMID: 27558426
- For the first time, we performed analysis of DNA methylation in SMARCB1/INI1-deficient sinonasal carcinomas, reporting on significantly higher methylation of RASSF1 gene in this neoplasm. PMID: 28069272
- reporting involvement of the SWI/SNF complex in the dedifferentiation process of a variety of epithelial neoplasms in different organs, including the urinary tract, and association with aggressive clinical course PMID: 27339451
- Case Report: renal cell carcinoma with Xp11.2 translocation, TFE3 rearrangement and SMARCB1 inactivation in end stage renal disease patient. PMID: 27733182
- BZ was included in this study as a proteasome inhibitor because loss of SMARCB1 led to increased phosphorylation in rhabdoid tumo.rs Administration of BZ very strongly decreased cell proliferation of all three cell lines being the most cytotoxic compound of all tested substances PMID: 27466490
- CAPZB is involved in tumor progression in cases of epithelioid sarcoma (EpiS), irrespective of the INI1 expression, and may be a potential therapeutic target. The paradoxical relationship between the tumor suppressor INI1 and the oncoprotein CAPZB in the pathogenesis of EpiS remains to be clarified PMID: 26965049
- Missense mutation in SMARCB1 gene is associated with Coffin-Siris phenotype, and schwannomatosis. PMID: 26364901
- we report on a new Italian family with recurrence of SMARCB1 germ-line deletion in two siblings due to gonadal mosaicism PMID: 26342593
- study describes a rare case of a novel nonsense mutation in SMARCB1 that causes schwannomatosis; first report of a SMARCB1 mutation in a schwannomatosis family exhibiting (unilateral) vestibular schwannoma; results constitute a significant finding given that SMARCB1 mutations can cause both conditions via a four-hit mechanism PMID: 26342709
- Case Report: SMARCB1-deficient vulvar sarcoma expressing ERG and FLI1. PMID: 26261664
- Macaca mulatta SMARCB1 showed 23 single nucleotide differences compared to the human ortholog and the amino acid sequence is 100% conserved between human and simian INI1. PMID: 26350979
- Reduced expression of SMARCB1 immunoreactivity was found to be highly sensitive and specific for synovial sarcoma. PMID: 26520417
- Mutations in INI1 that cause schwannomatosis target a hitherto unidentified N-terminal winged helix DNA binding domain that is also present in the BAF45a/PHF10 subunit of the SWI/SNF complex. PMID: 26073604
- Identification of SMARCB1 mutations adds to the growing literature regarding the role of epigenetic control mechanisms in melanoma progression and therapeutic resistance. PMID: 25754356
- a novel INI1(+) ATRT-like subtype among Taiwanese pediatric patients PMID: 26109171
- our data unravel differential roles for SWI/SNF subunits in muscle differentiation, with BAF47 playing a dual role both in the permanent cell cycle exit and in the regulation of muscle-specific genes. PMID: 25271443
- Mutations in SMARCB1 occurred in areas of chromosomal copy loss in chordoma tumor samples. PMID: 24983247
- in pancreatic undifferentiated rhabdoid carcinomas SMARCB1 loss is restricted to the anaplastic monomorphic subtype PMID: 25103069
- Myoepithelioma-like tumors of the vulvar region deficient in SMARCB1 constitute a distinct group of tumors. PMID: 26171919
- We conclude that SMARCB1-deficient vulvar neoplasms chiefly comprise epithelioid sarcoma and myoepithelial carcinoma PMID: 25651469
- BAF complex gene SMARCB1 is mutated in Coffin-Siris syndrome patients. PMID: 25081545
顯示更多
收起更多
-
相關疾病:Rhabdoid tumor predisposition syndrome 1 (RTPS1); Schwannomatosis 1 (SWNTS1); Coffin-Siris syndrome 3 (CSS3)
-
亞細胞定位:Nucleus.
-
蛋白家族:SNF5 family
-
數據庫鏈接:
Most popular with customers
-
-
YWHAB Recombinant Monoclonal Antibody
Applications: ELISA, WB, IHC, IF, FC
Species Reactivity: Human, Mouse, Rat
-
-
-
-
-
-















