SMAD7 Antibody
-
中文名稱:SMAD7兔多克隆抗體
-
貨號:CSB-PA324386
-
規格:¥1100
-
圖片:
-
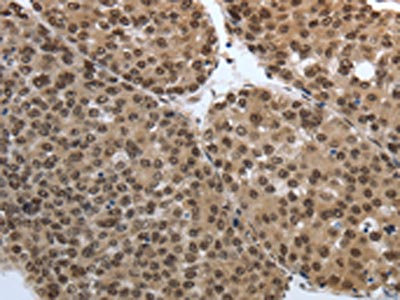
The image on the left is immunohistochemistry of paraffin-embedded Human liver cancer tissue using CSB-PA324386(SMAD7 Antibody) at dilution 1/40, on the right is treated with synthetic peptide. (Original magnification: ×200)
-
The image on the left is immunohistochemistry of paraffin-embedded Human thyroid cancer tissue using CSB-PA324386(SMAD7 Antibody) at dilution 1/40, on the right is treated with synthetic peptide. (Original magnification: ×200)
-
-
其他:
產品詳情
-
Uniprot No.:
-
基因名:
-
別名:CRCS3 antibody; FLJ16482 antibody; hSMAD 7 antibody; hSMAD7 antibody; MAD (mothers against decapentaplegic Drosophila) homolog 7 antibody; MAD antibody; Mad homolog 7 antibody; MAD homolog 8 antibody; MAD mothers against decapentaplegic homolog 7 antibody; MADH 7 antibody; MADH 8 antibody; MADH6 antibody; MADH7 antibody; MADH8 antibody; Mothers Against Decapentaplegic Drosophila Homolog of 6 antibody; Mothers Against Decapentaplegic Drosophila Homolog of 7 antibody; Mothers against decapentaplegic homolog 7 antibody; Mothers against decapentaplegic homolog 8 antibody; Mothers against DPP homolog 7 antibody; Mothers against DPP homolog 8 antibody; SMA- AND MAD-RELATED PROTEIN 7 antibody; SMAD 7 antibody; SMAD antibody; SMAD family member 7 antibody; SMAD, mothers against DPP homolog 7 (Drosophila) antibody; SMAD, mothers against DPP homolog 7 antibody; SMAD6 antibody; Smad7 antibody; SMAD7_HUMAN antibody
-
宿主:Rabbit
-
反應種屬:Human,Mouse,Rat
-
免疫原:Synthetic peptide of Human SMAD7
-
免疫原種屬:Homo sapiens (Human)
-
標記方式:Non-conjugated
-
抗體亞型:IgG
-
純化方式:Antigen affinity purification
-
濃度:It differs from different batches. Please contact us to confirm it.
-
保存緩沖液:-20°C, pH7.4 PBS, 0.05% NaN3, 40% Glycerol
-
產品提供形式:Liquid
-
應用范圍:ELISA,IHC
-
推薦稀釋比:
Application Recommended Dilution ELISA 1:2000-1:10000 IHC 1:50-1:200 -
Protocols:
-
儲存條件:Upon receipt, store at -20°C or -80°C. Avoid repeated freeze.
-
貨期:Basically, we can dispatch the products out in 1-3 working days after receiving your orders. Delivery time maybe differs from different purchasing way or location, please kindly consult your local distributors for specific delivery time.
-
用途:For Research Use Only. Not for use in diagnostic or therapeutic procedures.
相關產品
靶點詳情
-
功能:Antagonist of signaling by TGF-beta (transforming growth factor) type 1 receptor superfamily members; has been shown to inhibit TGF-beta (Transforming growth factor) and activin signaling by associating with their receptors thus preventing SMAD2 access. Functions as an adapter to recruit SMURF2 to the TGF-beta receptor complex. Also acts by recruiting the PPP1R15A-PP1 complex to TGFBR1, which promotes its dephosphorylation. Positively regulates PDPK1 kinase activity by stimulating its dissociation from the 14-3-3 protein YWHAQ which acts as a negative regulator.
-
基因功能參考文獻:
- Expression of Smad7 was negatively regulated by miR-17-5p; Smad7 expression inactivated NF-kappaB and Wnt/beta catenin pathways. PMID: 29433423
- SMAD7 Polymorphisms Are Associated with Colorectal Cancer in Patients with Lynch Syndrome. PMID: 30275229
- OTU deubiquitinase 1 (OTUD1) directly deubiquitinates Smad7 Protein (SMAD7) and prevents its degradation. PMID: 29235476
- Periostin contributes to skin fibrosis by enhancing TGF-beta signaling via Smad 7 inhibition, which may lead to extracellular matrix deposition and periostin generation. PMID: 29433908
- HO-1 plays a key role in protecting tumor cells from apoptosis, in a process that involves Smad7 and HDAC4/5 in apoptosis of B-ALL cells PMID: 29886060
- Mechanistic studies reveal that TGFbeta activates the expression of microRNA-182 (miR-182), which suppresses SMAD7 protein. miR-182 silencing leads to SMAD7 upregulation on TGFbeta treatment and prevents TGFbeta-induced epithelial-mesenchymal transition and invasion of cancer cells. PMID: 27996004
- This study reports a proinflammatory role for SMAD7 in human gestational tissues, with SMAD7 silencing attenuating the inflammatory response. PMID: 29044425
- Smad7 enables STAT3 activation and promotes pluripotency independent of TGF-beta signaling. PMID: 28874583
- Studied expression of microRNA-375 and its target gene SMAD-7 polymorphisms (rs4939827) in colorectal cancer (CRC) patients in comparison to control subjects. A very significant correlation was found between miRNA-375 level and mutant and heterozygotes genotypes of SMAD-7 rs4939827 polymorphism in CRC. PMID: 28374902
- Studies indicate that the T allele of SMAD7 protein (SMAD7)single nucleotide polymorphism rs4939827 to be significantly related with an increase colorectal cancer (CRC) risk in Chinese population [Meta-analysis]. PMID: 28467803
- this large-scale meta-analysis indicated that SMAD7 polymorphisms (rs4464148, rs4939827, and rs12953717) correlate with CRC. PMID: 28070019
- Collectively, these findings demonstrate that the miR-15a/Smad-7/TGF-beta pathway is important in HBV-associated liver cancer. PMID: 28498453
- SMAD7 promoter is hyper-methylated both in human atherosclerotic plaques and atherosclerosis patients, which is positively associated with homocysteine levels and carotid plaque scores. PMID: 29366786
- Furthermore, MERS coronavirus induced apoptosis through upregulation of Smad7 and fibroblast growth factor 2 (FGF2) expression in both kidney and lung cells. PMID: 27572168
- findings demonstrate TGF-beta enhances expression of USP26 and reinforces SMAD7 stability by limiting the ubiquitin-mediated turnover of SMAD7; clinically, loss of USP26 correlates with high TGF-beta activity and confers poor prognosis in glioblastoma; data identify USP26 as a novel negative regulator of the TGF-beta pathway and suggest that loss of USP26 expression may be an important factor in glioblastoma pathogenesis PMID: 28381482
- In conclusion, our study demonstrated that COL1A2-AS1/miR-21/Smad pathway plays an important role in inhibiting hypertrophic scar formation, and suggested this novel pathway may be a new target for hypertrophic scar treatment. PMID: 29117538
- Our data revealed the SMAD7 loci is associated with hepatocellular carcinoma susceptibility and its clinicopathologic development. PMID: 26989026
- Smad7 expression in necrotizing enterocolitis macrophages interrupts TGF-beta signaling and promotes NF-kappaB-mediated inflammatory signaling in these cells through increased expression of IKK-beta PMID: 26859364
- SMAD7 gene and specifically the allele C could be protective for colorectal cancer (CRC). An independent protective association was also observed between high adherence Mediterranean diet pattern and CRC risk. PMID: 29084532
- Smad7 inhibition diminishes interaction of PKR with protein kinase inhibitor p58 (p58(IPK)). PMID: 28300830
- Smad7 regulates TGF-beta1 signaling via a negative feedback loop and mediates the interaction between TGF-beta1 and other signaling pathways; suggesting that Smad7 over expression may have therapeutic potential in ALL. PMID: 28732737
- Missense variant in smad7 gene is associated with colorectal cancer. PMID: 28218435
- ASPP2 suppresses invasion, peritoneal dissemination and TGF-beta1-induced EMT by inhibiting Smad7 degradation mediated by ITCH in gastric cancer cells. PMID: 28400336
- Transforming Growth Factor beta inhibitor peptide P144 downregulates SKI and an upregulates SMAD7 at both transcriptional and translational levels in glioblastoma cell lines. PMID: 27473823
- The inverse correlation between Smad7 and AhR expression helps to propagate inflammatory signals in the gut in Crohn's disease. PMID: 26818761
- RNF11 sequestration of the E3 ligase SMURF2 on membranes antagonizes SMAD7 down-regulation of transforming growth factor beta signaling PMID: 28292929
- NR2F2 could promote TGF-beta-induced epithelial-mesenchymal transition of colorectal carcinoma cells and inhibit Smad7 expression via transactivation of miR-21. PMID: 28192117
- this study shows that in refractory celiac disease, high Smad7 associates with defective TGF-beta1 signaling and sustains inflammatory cytokine production PMID: 27861825
- miR-590-5p promotes osteoblast differentiation by indirectly protecting and stabilizing the Runx2 protein by targeting Smad7 gene expression. PMID: 27192628
- miRNA-181a appears to play a potential role in pancreatic beta-cells dysfunction via SMAD7. PMID: 26892629
- Carboplatin may upregulate SMAD7 through suppression of miR-21 to inhibit TGFbeta receptor signaling mediated non-small cell lung cancer cell invasion. PMID: 27185036
- Downregulation of Smad 7 promotes migration and invasion through enhancing epithelial mesenchymal transition in esophageal squamous cell carcinoma. PMID: 27619676
- miR-424-5p -SMAD7 pathway contributed to esophageal squamous cell carcinoma invasion and metastasis. PMID: 27628042
- Polymorphisms in the SMAD7 rs4939827 is associated with rectal cancer. PMID: 26779637
- microRNA-497 modulates breast cancer cell proliferation, invasion, and survival by targeting SMAD7. PMID: 27303812
- SMAD7 overexpression might represent a mechanism limiting TGF-beta-mediated fibrogenesis in human hepatic diseases; therefore, SMAD7 induction likely represents a candidate for novel therapeutic approaches. PMID: 26856334
- Data show that protein kinase LKB1 physically interacts with BMP type I receptors and requires Smad7 protein to promote downregulation of the receptor. PMID: 26701726
- Study founds the levels of CYLD and SMAD7 significantly decreased in oral squamous cell carcinoma (OSSC) cells and proposes a model that CYLD suppresses OSCC metastases through SMAD7. Downregulation of CYLD appears to directly contribute to the distal metastases of primary OSCC and subsequently poor prognosis. PMID: 26982322
- Data indicate that, in irritable bowel disease, high Smad7 contributes to sustain detrimental immune responses and knockdown of this molecule can help attenuate the ongoing mucosal inflammation in patients with such disorders PMID: 26651974
- Results showed that SMAD7 was up-regulated in hepatocellular carcinoma tissues and was found to be the target of UPF1. PMID: 26759305
- The expression of Smad7 increased. PMID: 26278416
- MiR-185-3p and miR-324-3p can modulate NPC cell growth and apoptosis, at least partly through targeting SMAD7. PMID: 26390174
- Meta-analysis showed that for SMAD7 gene, rs4939827 and rs4464148 are risk factors for colorectal cancer (CRC) among Caucasians whereas rs12953717 could elevate the susceptibility to CRC in both Caucasians and Asians. PMID: 26579801
- The decrease in miR-195 led to an increase in Smad7 expression and corresponding up-regulation of p65 and the AP-1 (activator protein 1) pathway, which might explain the mechanism of steroid resistance in ulcerative colitis patients PMID: 26303523
- Increased miR-16 expression promotes liver fibrosis through downregulation of HGF and Smad7 in hepatitis C patients. PMID: 26071245
- miR-181a promotes TGF-beta-mediated epithelial-to-mesenchymal transition via repression of Smad7. PMID: 24394555
- Results suggest that Itch is a positive regulator of the TGF-beta-mediated Smad signaling pathway via Smad7 ubiquitination and protein degradation. PMID: 25518932
- Overexpression of Smad7 in human HaCaT keratinocyte cells and mouse skin tissues elevated EGF receptor (EGFR) activity by impairing ligand-induced ubiquitination and degradation of activated receptor, which is induced by the E3 ubiquitin ligase c-Cbl. PMID: 26055326
- The study found a significant association between colorectal cancer risk and rs4464148 AG genotype of the SMAD7 gene in affected women, but did not detect the same association in colorectal cancer male patients. PMID: 25640388
- SMAD7 is a target of miR-132 in glioma cells. PMID: 25983322
顯示更多
收起更多
-
相關疾?。?/div>Colorectal cancer 3 (CRCS3)亞細胞定位:Nucleus. Cytoplasm.蛋白家族:Dwarfin/SMAD family組織特異性:Ubiquitous with higher expression in the lung and vascular endothelium.數據庫鏈接:
Most popular with customers
-
-
YWHAB Recombinant Monoclonal Antibody
Applications: ELISA, WB, IHC, IF, FC
Species Reactivity: Human, Mouse, Rat
-
-
-
-
-
-















