SLIT3 Antibody
-
中文名稱:SLIT3兔多克隆抗體
-
貨號:CSB-PA270713
-
規格:¥1100
-
圖片:
-
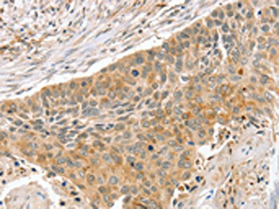
The image on the left is immunohistochemistry of paraffin-embedded Human liver cancer tissue using CSB-PA270713(SLIT3 Antibody) at dilution 1/30, on the right is treated with synthetic peptide. (Original magnification: ×200)
-
The image on the left is immunohistochemistry of paraffin-embedded Human esophagus cancer tissue using CSB-PA270713(SLIT3 Antibody) at dilution 1/30, on the right is treated with synthetic peptide. (Original magnification: ×200)
-
-
其他:
產品詳情
-
Uniprot No.:
-
基因名:
-
別名:FLJ10764 antibody; KIAA0814 antibody; MEGF 5 antibody; MEGF5 antibody; Multiple EGF-like domains protein 5 antibody; Multiple epidermal growth factor like domains 5 antibody; Multiple epidermal growth factor-like domains protein 5 antibody; SLIL 2 antibody; SLIL2 antibody; SLIT 1 antibody; Slit 2 antibody; Slit 3 antibody; Slit homolog 3 (Drosophila) antibody; Slit homolog 3 antibody; Slit homolog 3 protein antibody; Slit-3 antibody; SLIT1 antibody; Slit2 antibody; Slit3 antibody; SLIT3_HUMAN antibody
-
宿主:Rabbit
-
反應種屬:Human,Mouse,Rat
-
免疫原:Synthetic peptide of Human SLIT3
-
免疫原種屬:Homo sapiens (Human)
-
標記方式:Non-conjugated
-
抗體亞型:IgG
-
純化方式:Antigen affinity purification
-
濃度:It differs from different batches. Please contact us to confirm it.
-
保存緩沖液:-20°C, pH7.4 PBS, 0.05% NaN3, 40% Glycerol
-
產品提供形式:Liquid
-
應用范圍:ELISA,IHC
-
推薦稀釋比:
Application Recommended Dilution ELISA 1:1000-1:2000 IHC 1:25-1:100 -
Protocols:
-
儲存條件:Upon receipt, store at -20°C or -80°C. Avoid repeated freeze.
-
貨期:Basically, we can dispatch the products out in 1-3 working days after receiving your orders. Delivery time maybe differs from different purchasing way or location, please kindly consult your local distributors for specific delivery time.
-
用途:For Research Use Only. Not for use in diagnostic or therapeutic procedures.
相關產品
靶點詳情
-
功能:May act as molecular guidance cue in cellular migration, and function may be mediated by interaction with roundabout homolog receptors.
-
基因功能參考文獻:
- Overexpression of Slit3 induces its tumor suppressive effects in Breast cancer. PMID: 26542734
- Results show that silencing of Slit3 promoted proliferation, migration and invasion of A549 cells and induced epithelial-mesenchymal transition suggesting that Slit3 functions as a tumor suppressor in lung carcinoma. PMID: 26045181
- Estrogen-dependent expression of SLIT3 may play a key role in regulating nerve-vessel interactions within the complex microenvironment of endometriosis lesions. PMID: 25051436
- SLIT3 is increased with labour, and both amnion and myometrial studies describe a pro-inflammatory effect of SLIT3 in these tissues. PMID: 24286238
- High SLIT3 expression is associated with high-grade gliomas. PMID: 24158112
- SLIT3-ROBO4 activation promotes vascular network formation in human engineered tissue and angiogenesis in vivo. PMID: 24090675
- results implicate the involvement of miR-218-2 and its host gene SLIT3 in thyroid cancer cell invasion, migration, and proliferation PMID: 23720784
- Slit3 treatment increased the in vivo homing efficiency of CD34 HSPCs to the BM in NOD/SCID mice, whereas Slit3-exposed HSPC migration in vitro was inhibited. Results support a role for Slit3 in human HSPC migration in vitro and homing in vivo. PMID: 22614124
- SLIT3 duplication on 5q35.1 predisposes to major depressive disorder PMID: 21152026
- The chemorepellent Slit3 promotes monocyte migration. PMID: 21078908
- Slit3 inhibits Robo3-induced invasion of synovial fibroblasts in rheumatoid arthritis. PMID: 20298552
- Many variants in SLIT3 tend to associate with schizophrenia susceptibility in the Chinese Han population. PMID: 15231749
- data suggest that Slit proteins play a key role in guiding dorsally projecting cranial motoneurons and in facilitating their neural tube exit PMID: 16162649
- In fetal and embryonic stem cell cultures Slit-3 inhibited neurite outgrowth. PMID: 16840550
- functions to promote angiogenesis in coordinating organogenesis during embryonic development PMID: 19741192
顯示更多
收起更多
-
亞細胞定位:Secreted.
-
組織特異性:Predominantly expressed in thyroid.
-
數據庫鏈接:
Most popular with customers
-
-
YWHAB Recombinant Monoclonal Antibody
Applications: ELISA, WB, IHC, IF, FC
Species Reactivity: Human, Mouse, Rat
-
Phospho-YAP1 (S127) Recombinant Monoclonal Antibody
Applications: ELISA, WB, IHC
Species Reactivity: Human
-
-
-
-
-















