SLC9A3 Antibody
-
中文名稱:SLC9A3兔多克隆抗體
-
貨號:CSB-PA921094
-
規格:¥1100
-
圖片:
-
The image on the left is immunohistochemistry of paraffin-embedded Human brain tissue using CSB-PA921094(SLC9A3 Antibody) at dilution 1/20, on the right is treated with synthetic peptide. (Original magnification: ×200)
-
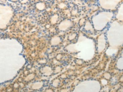
The image on the left is immunohistochemistry of paraffin-embedded Human thyroid cancer tissue using CSB-PA921094(SLC9A3 Antibody) at dilution 1/20, on the right is treated with synthetic peptide. (Original magnification: ×200)
-
-
其他:
產品詳情
-
Uniprot No.:
-
基因名:SLC9A3
-
別名:MGC126718 antibody; MGC126720 antibody; Na(+)/H(+) exchanger 3 antibody; NHE 3 antibody; NHE-3 antibody; NHE3 antibody; SL9A3_HUMAN antibody; SLC9A 3 antibody; Slc9a3 antibody; Sodium / Hydrogen Exchanger 3 antibody; Sodium/hydrogen exchanger 3 antibody; Sodium/hydrogen exchanger, apical epithelial antibody; Solute carrier family 9 (sodium/hydrogen exchanger), isoform 3 antibody; Solute carrier family 9 (sodium/hydrogen exchanger), member 3 antibody; Solute carrier family 9 member 3 antibody
-
宿主:Rabbit
-
反應種屬:Human,Mouse,Rat
-
免疫原:Synthetic peptide of Human SLC9A3
-
免疫原種屬:Homo sapiens (Human)
-
標記方式:Non-conjugated
-
抗體亞型:IgG
-
純化方式:Antigen affinity purification
-
濃度:It differs from different batches. Please contact us to confirm it.
-
保存緩沖液:-20°C, pH7.4 PBS, 0.05% NaN3, 40% Glycerol
-
產品提供形式:Liquid
-
應用范圍:ELISA,IHC
-
推薦稀釋比:
Application Recommended Dilution ELISA 1:1000-1:5000 IHC 1:25-1:100 -
Protocols:
-
儲存條件:Upon receipt, store at -20°C or -80°C. Avoid repeated freeze.
-
貨期:Basically, we can dispatch the products out in 1-3 working days after receiving your orders. Delivery time maybe differs from different purchasing way or location, please kindly consult your local distributors for specific delivery time.
-
用途:For Research Use Only. Not for use in diagnostic or therapeutic procedures.
相關產品
靶點詳情
-
功能:Involved in pH regulation to eliminate acids generated by active metabolism or to counter adverse environmental conditions. Major proton extruding system driven by the inward sodium ion chemical gradient. Plays an important role in signal transduction.
-
基因功能參考文獻:
- We demonstrate that NHE3-799C is a common variant of NHE3 that is enriched in Asian populations; however its presence seems to have limited clinical significance in humans and is not associated with compromised function or abnormal transport regulation. PMID: 28495802
- This review focuses on novel findings of NHE3 in the intestine and the kidney as well as novel drug developments targeting NHE3. [review] PMID: 27733387
- NHE3 binds to NHERF proteins via both an internal Class II PBM and C-terminal Class I PBM, which interact. The former determines NHE3 stability in the PM, and the latter determines total expression and percent PM expression. PMID: 28283572
- Expression of NHE3 and DRA was reduced with high tacrolimus levels and impaired renal function after intestinal transplantation. PMID: 27109987
- Recessive mutations in NHE3, a downstream target of GC-C, caused congenital sodium diarrhea and implied primary basal NHE3 malfunction as a predisposition for inflammatory bowel disease in a subset of patients. PMID: 26358773
- CCH-mediated inhibition of NHE3 activity is not dependent on clathrin and involves lipid rafts and requires Cdc42. PMID: 24713550
- Inflammation-induced loss of PDZK1 expression may contribute to the NHE3 dysfunction observed in the inflamed intestine. PMID: 25271043
- Results demonstrate decreased transport activity in three SNPs of NHE3 and provide mechanistic insight into how these SNPs impact NHE3 function. PMID: 25715704
- these findings indicate the importance of NHE3 in diabetic diarrhea and suggest LPA administration as a potential therapeutic strategy for management of diabetic diarrhea. PMID: 26258413
- NHE3 may play a role in the pathogenesis of human cholesterol gallstone disease PMID: 25674247
- the three NHE3 SNPs are unlikely to play a major role in the pathogenesis of SIDS in Caucasian infants;further genetic investigations in different ethnicities are required to determine whether variations in NHE3 are associated with an increased SIDS risk PMID: 24590378
- C. difficile inhibits NHE3 in vivo, which creates an altered environment favored by C. difficile. PMID: 25552580
- Myosin VI mediates the movement of NHE3 to the microvillus in intestinal epithelial cells. PMID: 24928903
- Human NHE3, but not non-primates NHE3s, is ubiquitinated by Nedd4-2. PMID: 24831004
- NHE3 can act as a direction sensor for cells and that NHE3 phosphorylation in persistent directional cell migration does not involve PI3K/Akt during electrotaxis. PMID: 24657527
- 1) NHE3 basal activity is regulated by a signaling complex that is controlled by sequential effects of two kinases, Akt and GSK-3, which act on a Ser cluster in the same NHE3 C-terminal domain that binds ezrin PMID: 24398676
- Data suggest that NHE3 expression is significantly decreased in term placenta of patients with pre-eclampsia as compared to normotensive patients; NHE3 is almost undetectable in cytosol of preeclamptic syncytiotrophoblasts. PMID: 23810111
- Data suggest that EGFR (epidermal growth factor receptor) activation mediates PPARG- (peroxisome proliferator-activated receptor gamma-) induced sodium and water reabsorption via upregulation of NHE3 and AQP1 (aquaporin 1) in proximal tubules. PMID: 23370527
- Carbachol stimulated enterocyte MUC17 endocytosis is concomitant with NHE3 internalization and CFTR membrane recruitment. PMID: 23784542
- IRBIT plays an important role in intracellular pH regulation, mediated by NHE3, and further regulated by SPAK. PMID: 23769829
- NHERF2 domain was functionally significant in NHE3 regulation, being necessary for stimulation by lysophosphatidic acid of activity and increased mobility of NHE3 PMID: 23612977
- High urine NHE3 is associated with ischemic acute tubular necrosis than other causes of acute kidney injury. PMID: 23324582
- In conclusion, LA-induced increase in NHE3 expression may contribute to the upregulation of intestinal electrolyte absorption and might underlie the potential antidiarrheal effects of probiotics. PMID: 23086913
- SLC9A3 is downregulated in patients with ulcerative colitis. PMID: 22447429
- Single nucleotide polymorphism in SLC9A3 gene is associated with cystic fibrosis. PMID: 22466613
- It was shown that lysophosphatidic acid 5 receptor transactivated the epidermal growth factor receptor and that inhibition of epidermal growth factor receptor blocked lysophosphatidic acid 5 receptor-dependent activation of NHE3. PMID: 21832242
- the potential role of SLC9A3 as a modifier of CF lung disease severity was examined. PMID: 20967843
- single-nucleotide polymorphisms and haplotypes in SLC9A3 in whites are significantly associated with preeclampsia. PMID: 20691413
- betaPix up-regulates NHE3 membrane expression and activity by Shank2-mediated protein-protein interaction and by activating Rho GTPases in the apical regions of epithelial cells PMID: 20080968
- intestinal epithelial Syt 1 plays an important role in cAMP-stimulated endocytosis of apical NHE3 through cAMP-dependent phosphorylation of S605 that is required for NHE3 and Syt 1 association PMID: 19926819
- Our findings suggest the involvement of polymorphisms in the NHE3 gene and promoter in cases of SIDS, which may result in an overexpression of NHE3 in the medulla oblongata. PMID: 19772970
- studies suggest that the NHE3 expression is regulated by a combination of cis elements and their cognate transcription factors that include the AP-2 and Sp1 family members PMID: 11841999
- NHE3 is important for cAMP sensitivity of receptor-mediated, clathrin-dependent endocytosis PMID: 12167607
- Functional NHE3 activity is required to allow optimal absorption of dipeptides across the human intestinal epithelium. PMID: 12397398
- Albumin-induced increases in expression and activity of NHE3 in proximal tubule cells suggest a possible mechanism for Na+ retention in response to proteinuria. PMID: 12799307
- binding of the KOR to NHERF-1/EBP50 facilitates oligomerization of NHERF-1/EBP50, leading to stimulation of NHE3. PMID: 15070904
- Ezrin is necessary for NHE3 recruitment to the apical membrane and NHE3-dependent pH(i) increases triggered by Na(+)-glucose cotransport. PMID: 15197272
- high degree of structural conservation of the NHE3 gene PMID: 15201541
- Akt2-dependent ezrin phosphorylation leads to NHE3 translocation and activation PMID: 15531580
- Amino acid uptake via hPAT1 is inhibited by activators of the cAMP pathway indirectly through inhibition of NHE3 activity. PMID: 15754324
- PLG has the potential to simultaneously regulate calcium signaling pathways and regulate pHi via an association with NHE3 linked to DPP IV, necessary for tumor cell proliferation and invasiveness PMID: 15911629
- Co-expression of NHE3 with SLC26A3 supports its function and may have an impact on pathophysiology of male subfertility both in congenital chloride diarrhoea and in cystic fibrosis, as well as spermatoceles. PMID: 16421216
- Transcriptional stimulation of the human NHE3 promoter activity by PMA: PKC independence and involvement of the transcription factor EGR-1. PMID: 16464174
- These data indicate that IFN-gamma and TNF-alpha may repress the NHE3 promoter activity in C2BBe1 cells by PKA-mediated phosphorylation of Sp1 and Sp3 transcription factors. PMID: 16760259
- NHE3 expression is required for dome formation in confluent polarized epithelial cells. PMID: 17276988
- Syt I plays a pivotal role in mediating cAMP- and Ca(2+)-induced endocytosis of NHE3 (but not in inhibition of activity) through cargo recognition of NHE3 and subsequent recruitment of AP2-clathrin assembly required for membrane endocytosis PMID: 17307723
- Our data suggest that the differential regulation of NHE3 gene expression by NaB and IFN-gamma/TNF-alpha is mediated through alternative pathways that converge on Sp1/Sp3. PMID: 17540780
- Level of NHE3 expression in brainstem tissue may contribute to the vulnerability of infants for sudden infant death syndrome. PMID: 18085326
- Enteropathogenic Escherichia coli EspF was found to be responsible for decreased NHE3 activity; however, neither EspF-induced apoptosis nor the interaction of EspF with sorting nexin-9, an endocytic protein, were involved. PMID: 18433466
- CK2 binds to the NHE3 C terminus and stimulates basal NHE3 activity by phosphorylating a separate single site on the NHE3 C terminus PMID: 18614797
顯示更多
收起更多
-
相關疾病:Diarrhea 8, secretory sodium, congenital (DIAR8)
-
亞細胞定位:Apical cell membrane; Multi-pass membrane protein.
-
蛋白家族:Monovalent cation:proton antiporter 1 (CPA1) transporter (TC 2.A.36) family
-
數據庫鏈接:
Most popular with customers
-
-
YWHAB Recombinant Monoclonal Antibody
Applications: ELISA, WB, IHC, IF, FC
Species Reactivity: Human, Mouse, Rat
-
Phospho-YAP1 (S127) Recombinant Monoclonal Antibody
Applications: ELISA, WB, IHC
Species Reactivity: Human
-
-
-
-
-















