SLC8A2 Antibody
-
中文名稱:SLC8A2兔多克隆抗體
-
貨號:CSB-PA244891
-
規格:¥1100
-
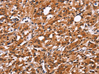
圖片:
-
The image on the left is immunohistochemistry of paraffin-embedded Human thyroid cancer tissue using CSB-PA244891(SLC8A2 Antibody) at dilution 1/15, on the right is treated with synthetic peptide. (Original magnification: ×200)
-
The image on the left is immunohistochemistry of paraffin-embedded Human gastric cancer tissue using CSB-PA244891(SLC8A2 Antibody) at dilution 1/15, on the right is treated with synthetic peptide. (Original magnification: ×200)
-
-
其他:
產品詳情
-
Uniprot No.:
-
基因名:
-
別名:SLC8A2 antibody; KIAA1087 antibody; NCX2 antibody; Sodium/calcium exchanger 2 antibody; Na(+)/Ca(2+)-exchange protein 2 antibody; Solute carrier family 8 member 2 antibody
-
宿主:Rabbit
-
反應種屬:Human,Rat
-
免疫原:Synthetic peptide of Human SLC8A2
-
免疫原種屬:Homo sapiens (Human)
-
標記方式:Non-conjugated
-
抗體亞型:IgG
-
純化方式:Antigen affinity purification
-
濃度:It differs from different batches. Please contact us to confirm it.
-
保存緩沖液:-20°C, pH7.4 PBS, 0.05% NaN3, 40% Glycerol
-
產品提供形式:Liquid
-
應用范圍:ELISA,IHC
-
推薦稀釋比:
Application Recommended Dilution ELISA 1:1000-1:2000 IHC 1:25-1:100 -
Protocols:
-
儲存條件:Upon receipt, store at -20°C or -80°C. Avoid repeated freeze.
-
貨期:Basically, we can dispatch the products out in 1-3 working days after receiving your orders. Delivery time maybe differs from different purchasing way or location, please kindly consult your local distributors for specific delivery time.
-
用途:For Research Use Only. Not for use in diagnostic or therapeutic procedures.
相關產品
靶點詳情
-
功能:Mediates the electrogenic exchange of Ca(2+) against Na(+) ions across the cell membrane, and thereby contributes to the regulation of cytoplasmic Ca(2+) levels and Ca(2+)-dependent cellular processes. Contributes to cellular Ca(2+) homeostasis in excitable cells. Contributes to the rapid decrease of cytoplasmic Ca(2+) levels back to baseline after neuronal activation, and thereby contributes to modulate synaptic plasticity, learning and memory. Plays a role in regulating urinary Ca(2+) and Na(+) excretion.
-
基因功能參考文獻:
- Structure-Dynamic Coupling Through Ca(2+)-Binding Regulatory Domains of Mammalian NCX Isoform/Splice Variants PMID: 29594857
- SLC8A2 inhibited the angiogenesis of U87MG cells, probably through combined inhibition of endothelium-dependent and endothelium-nondependent angiogenesis (vascular mimicry pattern). Totally, SLC8A2 serves as a tumor suppressor gene and inhibits invasion, angiogenesis and growth of glioblastoma PMID: 29047259
- NCX isoforms (NCX2, NCX3) contribute to mitochondrial Na(+)/Ca(2+) exchange in human DAergic neurons and may act downstream of PINK1 in the prevention of neurodegeneration by m[Ca(2+)] accumulation. PMID: 23224884
- the large cytosolic loop of NCX1, NCX2, and NCX3 is involved in acquisition of immunosuppressive drug specificity PMID: 23224887
- Functional studies, as well as mRNA and protein expression analyses, revealed that NCX1 and NCX3, but not NCX2, were divergently modulated during OPC differentiation into oligodendrocyte. PMID: 23224890
- Data suggest that NCX-mediated Ca(2+) fluxes normally exist in human ASM (potentially contributing to rapid Ca(2+) fluxes), and contribute to enhanced [Ca(2+)](i) regulation in airway inflammation. PMID: 21858195
- Results demonstrate a selective regulation of NCX1, NCX2 and NCX3 isoforms in Alzheimer's disease cortex, specifically in terminals containing amyloid-beta. PMID: 21382638
- The aim of this study was to investigate if NCX2 might be a tumour suppressor gene involved in glioma. Results indicate that DNA methylation may play a key role in the transcriptional silencing of NCX2. PMID: 20132488
- plasma membrane Na+/Ca2+ exchangers have inhibitory interactions with the 14-3-3 proteins PMID: 16679322
顯示更多
收起更多
-
亞細胞定位:Cell membrane; Multi-pass membrane protein. Basolateral cell membrane; Multi-pass membrane protein. Perikaryon. Cell projection, dendrite. Cell projection, dendritic spine.
-
蛋白家族:Ca(2+):cation antiporter (CaCA) (TC 2.A.19) family, SLC8 subfamily
-
數據庫鏈接:
Most popular with customers
-
-
YWHAB Recombinant Monoclonal Antibody
Applications: ELISA, WB, IHC, IF, FC
Species Reactivity: Human, Mouse, Rat
-
Phospho-YAP1 (S127) Recombinant Monoclonal Antibody
Applications: ELISA, WB, IHC
Species Reactivity: Human
-
-
-
-
-















