SLC7A1 Antibody
-
中文名稱:SLC7A1兔多克隆抗體
-
貨號:CSB-PA021709LA01HU
-
規格:¥440
-
圖片:
-
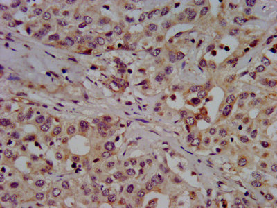
IHC image of CSB-PA021709LA01HU diluted at 1:500 and staining in paraffin-embedded human liver cancer performed on a Leica BondTM system. After dewaxing and hydration, antigen retrieval was mediated by high pressure in a citrate buffer (pH 6.0). Section was blocked with 10% normal goat serum 30min at RT. Then primary antibody (1% BSA) was incubated at 4°C overnight. The primary is detected by a biotinylated secondary antibody and visualized using an HRP conjugated SP system.
-
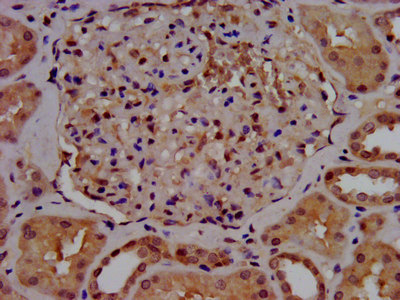
IHC image of CSB-PA021709LA01HU diluted at 1:500 and staining in paraffin-embedded human kidney tissue performed on a Leica BondTM system. After dewaxing and hydration, antigen retrieval was mediated by high pressure in a citrate buffer (pH 6.0). Section was blocked with 10% normal goat serum 30min at RT. Then primary antibody (1% BSA) was incubated at 4°C overnight. The primary is detected by a biotinylated secondary antibody and visualized using an HRP conjugated SP system.
-
Immunofluorescence staining of HepG2 cells with CSB-PA021709LA01HU at 1:166, counter-stained with DAPI. The cells were fixed in 4% formaldehyde, permeabilized using 0.2% Triton X-100 and blocked in 10% normal Goat Serum. The cells were then incubated with the antibody overnight at 4°C. The secondary antibody was Alexa Fluor 488-congugated AffiniPure Goat Anti-Rabbit IgG(H+L).
-
-
其他:
產品詳情
-
產品名稱:Rabbit anti-Homo sapiens (Human) SLC7A1 Polyclonal antibody
-
Uniprot No.:
-
基因名:SLC7A1
-
別名:Amino acid transporter cationic 1 antibody; ATRC1 antibody; CAT-1 antibody; CaT1 antibody; CTR1_HUMAN antibody; Ecotropic retroviral leukemia receptor homolog antibody; Ecotropic retroviral receptor antibody; Ecotropic retrovirus receptor homolog antibody; ERR antibody; HCAT1 antibody; High affinity cationic amino acid transporter 1 antibody; High-affinity cationic amino acid transporter-1 antibody; REC1L antibody; Slc7a1 antibody; Solute carrier family 7 (cationic amino acid transporter, y+ system) member 1 antibody; Solute carrier family 7 member 1 antibody; System Y+ basic amino acid transporter antibody
-
宿主:Rabbit
-
反應種屬:Human
-
免疫原:Recombinant Human High affinity cationic amino acid transporter 1 protein (430-492AA)
-
免疫原種屬:Homo sapiens (Human)
-
標記方式:Non-conjugated
本頁面中的產品,SLC7A1 Antibody (CSB-PA021709LA01HU),的標記方式是Non-conjugated。對于SLC7A1 Antibody,我們還提供其他標記。見下表:
-
克隆類型:Polyclonal
-
抗體亞型:IgG
-
純化方式:>95%, Protein G purified
-
濃度:It differs from different batches. Please contact us to confirm it.
-
保存緩沖液:Preservative: 0.03% Proclin 300
Constituents: 50% Glycerol, 0.01M PBS, pH 7.4 -
產品提供形式:Liquid
-
應用范圍:ELISA, IHC, IF
-
推薦稀釋比:
Application Recommended Dilution IHC 1:500-1:1000 IF 1:50-1:200 -
Protocols:
-
儲存條件:Upon receipt, store at -20°C or -80°C. Avoid repeated freeze.
-
貨期:Basically, we can dispatch the products out in 1-3 working days after receiving your orders. Delivery time maybe differs from different purchasing way or location, please kindly consult your local distributors for specific delivery time.
-
用途:For Research Use Only. Not for use in diagnostic or therapeutic procedures.
相關產品
靶點詳情
-
功能:High-affinity, low capacity permease involved in the transport of the cationic amino acids (arginine, lysine and ornithine) in non-hepatic tissues.
-
基因功能參考文獻:
- Estradiol increases arginine transport and CAT-1 activity through modulation of constitutive signaling transduction pathways involving ERK. Progesterone inhibits arginine transport and CAT-1 via both PKCalpha and ERK1/2 phosphorylation. PMID: 26062636
- The rs41318021 polymorphism in the SLC7A1 gene was not associated with essential hypertension in 50-year-old subjects. PMID: 23841815
- Overexpression of arginine transporter CAT-1 is associated with accumulation of L-arginine and cell growth in human colorectal cancer tissue. PMID: 24040099
- CAT1, CAT2, and CAT3 localized in adult brains but with uneven distribution. PMID: 22870827
- mRNA levels for high-affinity CAT-1, expressed as a percentage of the wild-type value, are increased by an average 12% and 32% in mdx and transgenic mdx:utr mice respectively. PMID: 23009292
- The data demonstrates that CAT1 significantly (but most likely not exclusively) contributes to the cellular uptake of asymmetric dimethylarginine. PMID: 22705145
- In hypoxic human pulmonary microvascular endothelial cells, overexpression of CAT-1 resulted in significantly greater L-arginine transport and NO production PMID: 21923750
- In acute congestive heart failure acute renal impairment function and the modulation of metabolism and extracellular transport by the DDAH-1/CAT-1 system determine high ADMA and SDMA levels after therapy for acute congestive heart failure. PMID: 21722652
- Insulin increased hCATs-L-arginine transport, maximal transport capacity, and hCAT-1 expression. Sp1 nuclear protein abundance and binding to DNA, and SLC7A1 promoter activity was increased by insulin. PMID: 21302286
- Data show that the CAT-1 isoform plays a role in arginine uptake. PMID: 21308737
- PKC activation also resulted in ubiquitination of CAT-1 PMID: 21212261
- analysis of the genomic organization PMID: 11665818
- Stable polarized expression of hCAT-1 in an epithelial cell line. PMID: 11891586
- Keratinocytes express cationic amino acid transporters 1 and 2. Cationic amino acid transporter mediated L-arginine essential for inducible nitric oxide synthase and arginase enzyme, which modulate proliferation and differentiation of epidermal cells. PMID: 12787129
- Insulin-mediated stimulation of the L-arginine/NO pathway is thus associated with increased hCAT-1 and hCAT-2B mRNA, and eNOS expression PMID: 15064952
- Glomerular arginine uptake is elevated through modulation of CAT-1 expression, thus, contributing to the pathogenesis of hyperfiltration. Increased nitric oxide formation may play a role in this process. PMID: 15086470
- protein kinase C(PKC) did not phosphorylate human cationic amino acid transporter hCAT-1 directly as evidenced by in vivo phosphorylation experiments and mutational analysis, indicating an indirect action of PKC on hCAT-1 PMID: 15491978
- The CAT-1 is thought to supply substrate to endothelial NOS by virtue of its co-localisation with this enzyme. PMID: 15631944
- The present study identifies a key functionally active polymorphism in the 3'UTR of SLC7A1 [which] may account for the apparent link between altered endothelial function, L-arginine, and nitric oxide metabolism and predisposition to essential hypertension PMID: 17325243
- Ornithine uptake in retinal pigment epithelium is depdendent on induction of SLC7A1 mRNA and spermine. PMID: 17494634
- distribution of human cationic amino acid transporters 1 (hCAT1) and 2 (hCAT2) in healthy skin and compared it to psoriatic skin lesions by means of immunohistochemistry PMID: 18172665
- CAT1 is directly involved in erythropoiesis through supplying arginine to the blood cells. PMID: 18574322
- Data provide novel insights into the mechanism by which ss52051869 influences SLC7A1 gene expression. PMID: 19067360
顯示更多
收起更多
-
亞細胞定位:Cell membrane; Multi-pass membrane protein.
-
蛋白家族:Amino acid-polyamine-organocation (APC) superfamily, Cationic amino acid transporter (CAT) (TC 2.A.3.3) family
-
組織特異性:Ubiquitous.
-
數據庫鏈接:
Most popular with customers
-
-
YWHAB Recombinant Monoclonal Antibody
Applications: ELISA, WB, IHC, IF, FC
Species Reactivity: Human, Mouse, Rat
-
Phospho-YAP1 (S127) Recombinant Monoclonal Antibody
Applications: ELISA, WB, IHC
Species Reactivity: Human
-
-
-
-
-















