SLC6A1 Antibody
-
中文名稱:SLC6A1兔多克隆抗體
-
貨號:CSB-PA778804
-
規格:¥1100
-
圖片:
-
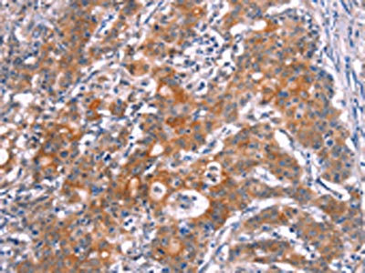
The image on the left is immunohistochemistry of paraffin-embedded Human thyroid cancer tissue using CSB-PA778804(SLC6A1 Antibody) at dilution 1/25, on the right is treated with synthetic peptide. (Original magnification: ×200)
-
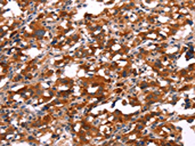
The image on the left is immunohistochemistry of paraffin-embedded Human gastric cancer tissue using CSB-PA778804(SLC6A1 Antibody) at dilution 1/25, on the right is treated with synthetic peptide. (Original magnification: ×200)
-
-
其他:
產品詳情
-
Uniprot No.:
-
基因名:SLC6A1
-
別名:GABATHG antibody; GABATR antibody; GABT 1 antibody; GABT1 antibody; GAT-1 antibody; GAT1 antibody; SC6A1_HUMAN antibody; Slc6a1 antibody; Sodium and chloride dependent GABA transporter 1 antibody; Sodium- and chloride-dependent GABA transporter 1 antibody; Solute carrier family 6 (neurotransmitter transporter GABA) member 1 antibody; Solute carrier family 6 member 1 antibody
-
宿主:Rabbit
-
反應種屬:Human,Mouse,Rat
-
免疫原:Synthetic peptide of Human SLC6A1
-
免疫原種屬:Homo sapiens (Human)
-
標記方式:Non-conjugated
-
抗體亞型:IgG
-
純化方式:Antigen affinity purification
-
濃度:It differs from different batches. Please contact us to confirm it.
-
保存緩沖液:-20°C, pH7.4 PBS, 0.05% NaN3, 40% Glycerol
-
產品提供形式:Liquid
-
應用范圍:ELISA,IHC
-
推薦稀釋比:
Application Recommended Dilution ELISA 1:1000-1:2000 IHC 1:25-1:100 -
Protocols:
-
儲存條件:Upon receipt, store at -20°C or -80°C. Avoid repeated freeze.
-
貨期:Basically, we can dispatch the products out in 1-3 working days after receiving your orders. Delivery time maybe differs from different purchasing way or location, please kindly consult your local distributors for specific delivery time.
-
用途:For Research Use Only. Not for use in diagnostic or therapeutic procedures.
相關產品
靶點詳情
-
功能:Terminates the action of GABA by its high affinity sodium-dependent reuptake into presynaptic terminals.
-
基因功能參考文獻:
- Most patients carrying pathogenic SLC6A1 variants have an myoclonic atonic epilepsy phenotype with language delay and mild/moderate intellectual disability before epilepsy onset. However, intellectual disability alone or associated with focal epilepsy can also be observed. PMID: 29315614
- results suggest that selected SLC6A1 gene variants may have a significant effect on the ADHD risk. PMID: 28442423
- the "extra" residue in transmembrane domain 10 of the GABA transporter GAT-1 provides extra bulk, probably in the form of a pi-helix, which is required for stringent gating and tight coupling of ion and substrate fluxes in the GABA transporter family. PMID: 28213519
- Results show that SLC6A1 minor genotypes/alleles were protective against risk for alcoholism in 3 ethnically diverse cohorts. PMID: 26727527
- Protein expression as assessed by Western blot showed that GABA-transporter 1 was equally expressed in mild and severe hippocampal sclerosis PMID: 26212582
- Evidence for a Revised Ion/Substrate Coupling Stoichiometry of GABA Transporters. PMID: 25824654
- Genome-wide significant associations were highly biological plausible, including associations within GABA transporter 1, SLC6A1 (solute carrier family 6, member 1), and exonic hits in LOC100129340 (mitofusin-1-like PMID: 26081443
- targeted resequencing of 644 individuals with epileptic encephalopathies led to the identification of six SLC6A1 mutations in seven individuals, all of whom have epilepsy with myoclonic-atonic seizures (MAE). PMID: 25865495
- 3p25.3 microdeletion of GABA transporters SLC6A1 and SLC6A11 results in intellectual disability, epilepsy and stereotypic behavior. PMID: 25256099
- Cysteine mutagenesis of GAT-1 pointed to conformationally sensitive proximity of extracellular loops 2 and 4 in this protein. PMID: 25339171
- The aromatic and charge pairs of the thin extracellular gate of the GABA transporter GAT-1 are differently impacted by mutation. PMID: 25143384
- a functional interaction of the external and internal gates of GAT-1 is essential for transport PMID: 23288838
- analysis of binding and translocation processes in the GABA transporter PMID: 22737235
- TM10 of GAT-1 lines an accessibility pathway from the extracellular space into the binding pocket and plays a role in the opening and closing of the extracellular transporter gate. PMID: 22235131
- GABA Transporter Mutagenesis Database (GATMD), a web-accessible, relational database of manually annotated biochemical, functional and pharmacological data reported on GAT1. PMID: 21131297
- A glutamine residue conserved in the neurotransmitter:sodium:symporters is essential for the interaction of chloride with the GABA transporter GAT-1. PMID: 21098479
- This chapter reviews data suggesting that neurogliaform cells produce electrophysiological effects onto other neurons in the cortical cell network via GABA(B)R-mediated volume transmission that is highly regulated by GAT1 activity. PMID: 20655483
- A 46 bp cis-regulator in the promoter sequence is responsible for stimulation of bone morphogenetic protein-2 (BMP2) on gat1 expression in cerebral cortex. PMID: 20237276
- The results suggest tight coupling of GAT1-mediated charge flux and GABA flux. PMID: 19622377
- role of transmembrane domain I in transition between cation leak and transport modes PMID: 12446715
- part of extracellular loop IV of GAT1 is conformationally sensitive, and its modification selectively abolishes the interaction of the transporter with GABA PMID: 12925537
- the extracellular part of TMD I is conformationally sensitive, lines the permeation pathway, and forms a more extended structure than expected from a membrane-embedded alpha-helix. PMID: 14744863
- GAT1 over-expressing transgenic mice display cognitive deterioration in associative learning and new object recognition retention, compared with wild-type littermates. PMID: 15106822
- GAT1 oligomerization is driven by an interplay of polar and hydrophobic interactions in transmembrane helix II PMID: 15496410
- transmembrane domains 1 and 3 come in close proximity within the transporter monomer PMID: 15905165
- there are substantial differences in the distribution and density of GAT-1-ir axon terminals between areas and layers of the human neocortex PMID: 17099065
- concentrative endoplasmic reticulum-export is contingent on a direct interaction of GAT1 with Sec24D. PMID: 17210573
- Weight reduction with sibutramine is associated with altered gastric functions and increased peptide YY and is significantly associated with SLC6A4 genotype. PMID: 17544870
- Owing to the low level of LD and presence of recombination hotspots, SLC6A1 may be an example of a problematic gene for association and haplotype tagging-based genetic studies PMID: 17941974
- It might therefore represent the principle, sufficient for sorting out less-effective or non-GAT ligands such as beta-Pro, (S)-nipecotic acid, (R)-baclofen, Glu, and Leu. PMID: 17967412
- The temperature and voltage dependence of GAT1 were used to estimate the physiological turnover rate to be 79-93 s(-1) (37 degrees C, -50 to -90 mV). PMID: 17994179
- Interaction with calnexin led to accumulation of GAT1 in concentric bodies corresponding to previously described multilamellar ER-derived structures. PMID: 18367207
- These data indicate a high load of genetic variance within SLC6A1 on pathological anxiety PMID: 18607529
- the insertion polymorphism leads to increased SLC6A1 promoter activity because, in part, of creation of an enhancer element when present as multiple copies PMID: 19077666
- the transmembrane domain 8 of the {gamma}-aminobutyric acid transporter GAT-1 lines a cytoplasmic accessibility pathway into its binding pocket PMID: 19201752
顯示更多
收起更多
-
相關疾病:Myoclonic-atonic epilepsy (MAE)
-
亞細胞定位:Cell membrane; Multi-pass membrane protein. Membrane; Multi-pass membrane protein. Cell junction, synapse, presynapse.
-
蛋白家族:Sodium:neurotransmitter symporter (SNF) (TC 2.A.22) family, SLC6A1 subfamily
-
數據庫鏈接:
Most popular with customers
-
-
YWHAB Recombinant Monoclonal Antibody
Applications: ELISA, WB, IHC, IF, FC
Species Reactivity: Human, Mouse, Rat
-
Phospho-YAP1 (S127) Recombinant Monoclonal Antibody
Applications: ELISA, WB, IHC
Species Reactivity: Human
-
-
-
-
-















